brunch

앞니 벌어짐 교정 방법 뭐가 좋을까?

앞니 벌어짐 교정 방법

by 허영준
앞니 벌어짐 교정 방법 뭐가 좋을까?



앞니 벌어짐으로 고민하는 분들 계시죠? 앞니는 웃거나 말할 때 눈에 보이는 부분으로, 앞니가 벌어져 있으면 심미적으로 보기 좋지 않을 뿐 아니라 대면 관계에서 위축되기 쉽습니다. 때문에 가급적 빨리 치료하는 것이 여러 가지 면에서 좋습니다. 오늘은 앞니 벌어짐을 교정하는 다양한 방법에 대해 알아보도록 하겠습니다.




앞니가 벌어지는 원인은 다양합니다. 일반 부정교합이 치아가 날 자리보다 악궁이 좁아 생기는 경우가 많다면, 앞니가 벌어지는 원인은 악궁이 넓어 치아 사이가 벌어지는 현상이 나타나기도 합니다. 치아 자체가 작은 왜소치의 경우에도 치아 사이가 벌어져 보이죠. 그 외에도 잇몸질환이나 충치 등으로 잇몸이 주저앉거나 치아에 문제가 생기며 치아 사이가 벌어져 보이기도 합니다.



이렇게 치아가 벌어져 보이는 이유는 다양한데요. 특히, 앞니는 눈에 띄는 부분으로 치료가 시급합니다. 앞니 벌어짐 교정방법도 벌어짐의 정도나 다른 치아와의 관계 등을 고려하여 다양한 방법이 있습니다.


우선 가장 간단한 치료방법은 레진치료입니다.

레진은 충치치료에도 많이 쓰이는 방법이죠. 벌어진 공간을 레진으로 메우는 방식입니다. 단순히 메우는 방식이기 때문에 대칭성 등에 문제가 될 수 있어 한계가 있습니다. 벌어짐 정도가 크지 않을 때 사용할 수 있습니다. 가격적인 면에서 가장 저렴한 것이 장점이 될 수 있으나 수명이 길지 않고, 탈락할 수 있습니다.


최근 가장 많이 선호하는 방법은 라미네이트 입니다.

라미네이트는 치아 겉면을 깎아 손톱 모양의 도자기를 붙이는 방식으로, 자연치아와 유사해 심미적이고 레진치료보다 자연스럽습니다. 하지만 치아를 삭제한다는 부담이 있을 수밖에 없는데요. 치아 상태에 따라 치아를 삭제하지 않고 진행하는 무삭제 라미네이트 등도 가능합니다.


라미네.jpg


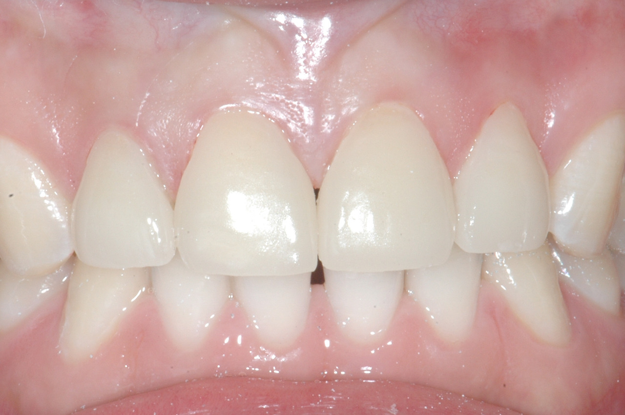
레진이나 라미네이트 등의 심미치료 이외에 교정치료로 앞니 벌어짐을 교정할 수도 있습니다.

다른 치아에는 문제없이 앞니만 벌어진 경우에는 전체 교정을 할 필요 없이 앞니만 부분교정으로 교정할 수 있습니다. 앞니만 부분 교정하기 때문에 교정시간도 3~6개월 정도면 교정이 가능합니다. 하지만 레진이나 라미네이트 같은 심미치료에 비하면 시간이 오래 걸리고, 비용 부담도 클 수밖에 없는데요. 라미네이트처럼 치아를 삭제하지 않고, 자연치아를 그대로 유지할 수 있다는 점이 장점입니다.



앞니 부분교정을 하기 위해서는 정확한 진단을 통해 앞니만 부분 교정해도 되는지, 아니면 어금니 등 전반적인 교합에 문제가 있는지 살펴 전체 교정이 더 나은지 잘 파악하는 것이 중요합니다. 교합에 큰 문제가 없고, 골격적으로 부정교합 요소가 없다면 앞니 부분만 부분 교정하는 것으로 충분히 해결이 가능합니다.


지금까지 앞니 벌어짐 교정을 위해 가장 많이 쓰이는 치료방법에 대해 살펴봤는데요.

개개인마다 앞니 벌어짐 상태도 다르고, 원인도 다른 만큼 정확한 진단과 분석을 통해 본인에게 가장 적합한 치료방법을 찾는 것이 중요합니다.


진료상담6-1 (21).JPG


앞니 벌어짐으로 치료를 원하신다면 교정치료와 심미치료 경험이 많은 신뢰할 만한 치과병원에서 정확한 진단과 상담을 통해 치료하시는 것이 좋습니다.




keyword