brunch

스케일링 주기적으로 받아야 하는 이유

스케일링 주기

by 허영준
스케일링 주기적으로 받아야 하는 이유


스케일링을 받을 때의 불편 감과 받은 후의 시린 증상 등으로 인해 스케일링을 꺼리는 분들이 생각보다 많습니다. 하지만 스케일링, 즉 치석 제거는 건강한 치아를 유치하기 위해 꼭 필요한 시술인데요. 오늘은 스케일링을 꼭 받아야 하는 이유와 적절한 스케일링 주기, 스케일링 후 주의사항 등에 대해 살펴보도록 하겠습니다.




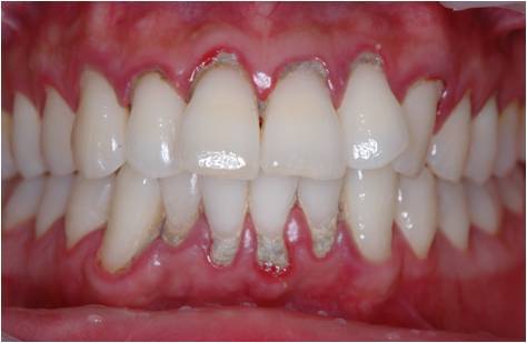
식사 후에 아무리 양치질을 잘한다고 해도 치아 사이에 낀 음식물 찌꺼기를 완전히 제거하기는 어렵습니다. 이렇게 제거되지 않은 음식물 찌꺼기는 치태가 되고, 오래 방치되면 침 성분으로 인해 석회화되면서 치석이 되는 것이죠.


치석은 구강 내 세균의 온상이라고 할 수 있는데요. 치석에 붙은 균들이 염증을 유발해 잇몸질환을 유발하게 됩니다. 잇몸안쪽까지 치석이 쌓이면 치아 뿌리까지 염증이 악화되기도 하죠. 결국에는 발치해야 하는 상황이 될 수도 있습니다. 이처럼 잇몸질환의 원인이 되는 것이 바로 치석이라고 할 수 있습니다. 때문에 구강건강을 위해서는 반드시 치석을 제거해야 합니다. 초기의 잇몸 질환은 스케일링을 하는 것만으로도 치료가 가능합니다.



스케일링은 치아에 부착된 치태와 치석을 제거하는 것뿐 아니라 치아표면을 활택 하게 함으로써 거칠어진 치아표면을 매끄럽게 해 재부착을 방지하는 효과도 있습니다.


요즘에는 치아도 심미적인 부분을 많이 따지게 되죠. 치석이 있는 치아는 아무래도 심미적으로 보기에 좋지 않고, 입냄새를 유발하기도 하기 때문에 치석을 오래 방치해 키우기보다는 주기적으로 스케일링을 해주는 것이 좋습니다.


그렇다면 스케일링 주기는 어느 정도가 좋을까요?


일반적으로 6개월에 1번 정도는 스케일링받는 것을 권고하고 있습니다.

그 이유는 치태가 치석으로 고착화되는데 보통 6개월 정도의 시간이 소요되기 때문인데요. 치아관리를 제대로 하지 않는 분이라면 치석이 더 빨리 쌓일 수도 있고, 치아관리가 잘 된다면 1년에 1번 정도도 무방합니다.


성인의 경우 년 1회는 스케일링이 보험적용도 되기 때문에 비용부담 없이 스케일링을 받을 수 있습니다. 보통 만원 정도면 받을 수 있는데요. 보험적용이 되지 않는다면 5~7만 원 정도의 비용부담으로 스케일링을 받을 수 있습니다.


스케일링만 주기적으로 받는다면 건강한 잇몸과 치아를 유지할 수 있습니다.


ㅠㅠ.jpg


스케일링 후 피가 나거나 잇몸이 붓는 증상 때문에 스케일링을 꺼리는 분들도 있습니다. 이와 같은 증상은 스케일링 때문이 아니라 치석으로 인한 염증 때문으로, 시간이 지나면 잇몸이 가라앉고 피도 멈추기 때문에 걱정할 필요가 없습니다.


치아 사이에 구멍이 생긴다며 난감해하시는 분들이 있는데요. 치석이 제거되면서 공간이 나타나는 것으로, 원래 잇몸이 있어야 할 자리가 치석으로 인해 밀려 내려가 생기는 것입니다. 때문에 치석 오랫동안 쌓이지 않도록 주기적으로 스케일링을 받는 것이 필요합니다.


스케일링 후 지켜야 할 주의사항으로는


먼저, 양치질을 올바른 방법으로 열심히 해주는 것이 좋습니다. 칫솔질뿐 아니라 치실이나 치간칫솔등을 활용해 치아 사이와 잇몸 사이의 음식물 찌꺼기를 제거해 주는 것이 좋습니다. 귀찮고 번거롭지만 습관이 된다면 건강한 치아를 유지할 수 있습니다.


노원치과추천4.jpg


스케일링 후에는 잇몸이 자극을 받은 상태이기 때문에 회복할 시간이 필요합니다. 때문에 일주일정도는 흡연이나 음주는 피하는 것이 좋습니다.


스케일링 후 이가 시린 증상이 있는 분들은 차가운 음식을 삼가는 것이 좋습니다. 이가 시린 증상이 나아진 후에 섭취하시면 됩니다.


진료1 (3).JPG


지금까지 스케일링의 필요성과 주기에 대해 살펴봤는데요. 스케일링을 받으신 지 6개월이 넘으셨다면 주저하지 마시고 스케일링을 받으시기 바랍니다.





keyword