brunch

눈에 띄는 앞니 교정 치료방법에는 뭐가 있을까?

앞니교정방법

by 허영준
눈에 띄는 앞니 교정 치료방법에는 뭐가 있을까?


앞니는 다른 곳 보다 눈에 띄는 곳이기 때문에 신경이 쓰일 수밖에 없습니다. 이렇게 눈에 띄는 앞니를 교정하기 위해 굳이 치아 전체 교정을 할 필요는 없는데요. 오늘은 눈에 띄는 앞니 교정을 위해서는 어떤 방법이 있는지 알아보도록 하겠습니다.




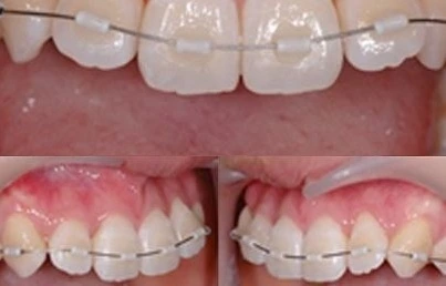
전체적인 치열에는 크게 문제가 없지만 앞니만 문제가 있어 교정치료를 하고 싶다면 부분교정치료를 통해 치료 시간과 비용을 획기적으로 줄일 수 있습니다.


보통 전체적인 치아를 교정하기 위해서는 1~2년 이상의 시간이 소요됩니다. 하지만 앞니만 부분교정을 진행하는 경우에는 빠르면 3개월, 보통 6개월 정도의 기간이면 효과를 얻을 수 있습니다.


부분교정 치료방법으로는 MTA교정과 2D교정이 대표적인데요.


MTA교정은 작고 낮은 원형 튜브를 이용해 교정을 하기 때문에 이물감이 적고 눈에 잘 띄지 않을 뿐 아니라 찔릴 염려가 없습니다.


2D교정은 설측 자가결찰장치의 하나로, 기본 설측교정장치에 비해 얇고 작아 발음문제나 이물감이 덜합니다.



이렇게 교정장치를 이용한 앞니교정 방법이 있는가 하면 요즘에는 심미치료를 통해 교정효과를 얻으려는 분들도 많습니다.


대표적으로는 라미네이트입니다.


라미네이트는 치아 겉면을 0.5~0.7mm 정도 다듬어 삭제한 후에 치아 겉면에 인조 손톱과 비슷한 느낌의 도자기로 된 얇은 보철물을 붙여서 형태를 만들어주는 방법입니다.


시술기간이 짧고, 자연치아와 색상이 비슷해 심미적입니다. 하지만 자연치아보다 강도가 약할 수밖에 없고, 변색이나 깨짐, 부식 현상이 발생할 수 있습니다.


무리하게 치아를 삭제하는 경우 치아 수명이 단축되고 신경손상이 발생할 수도 있습니다.


빠른 시간에 치아교정과 미백효과를 볼 수 있어 연예인들처럼 남 앞에 얼굴을 드러내야 하는 직업을 가진 분들이 많이 하는 치료방법 중 하나입니다.


20791227.jpg


라미네이트로 앞니교정이 충분히 가능한 정도라면 좋겠지만 앞니가 심하게 불규칙한 경우에는 올세라믹 치료를 통해 앞니교정 효과를 얻을 수 있습니다.


올세라믹은 치아 전체를 삭제한 후에 고강도 특수 세라믹을 씌워주는 치료입니다.


자연스러운 인공치아를 얻을 있고, 금속이 들어가지 않아 잇몸에 검은 라인이 생기지 않습니다. 치료기간도 짧아 시간에 쫓기는 직장인들이 많이 찾습니다.


하지만 변색이나 부식, 깨짐 현상이 발생할 수 있고, 치아 삭제량이 많다는 점이 단점이라고 할 수 있습니다.


8950458_xl.jpg


라미네이트나 올세라믹을 잘 유지하기 위해서는 주의할 점이 있는데요.


자극적인 음식이나 색소가 들어간 음식, 단단하고 끈적거리는 음식은 멀리해야 합니다.


또한 충치나 잇몸질환 등은 부작용을 일으킬 수 있기 때문에 정기적인 검진과 구강 위생관리가 필수적입니다.


라미네이트나 올세라믹은 심미적이고 단기간에 교정 효과를 볼 수 있다는 점에서 각광받고 있습니다. 하지만 치아를 삭제해야 한다는 점이 가장 큰 단점이라고 할 수 있는데요. 당장은 보기에 좋을지 몰라도 자연치아의 수명이 줄어들 수밖에 없습니다.


때문에 무리하게 자연치아를 삭제해 교정효과를 보기보다는 개개인의 구강상태와 여러 가지 조건을 고려하여 최선의 선택을 하는 것이 좋습니다.


진료상담6-1 (3).JPG


앞니 교정을 고민 중이라면 교정과 심미치료 경험이 많은 치과병원에서 상담을 받아보시기 바랍니다.




keyword