만 30살이 되던 해 뇌종양을 진단받았다.

잊지 못할 2022년 봄

by 김재인

딱히 글 쓰는 것을 배운 것도 아니고 책도 가까이하는 편은 아니지만, 평소 나름대로 건강하게 유지하는 생활에도 갑작스럽게 찾아온 뇌종양이란 질병을 공유하고, 당시 나의 감정과 경험과 더불어 내 글이 누군가에겐 힘이 될 수 있을까 해서 투병 일기를 작성하게 됐다.


2008년 중학교 3학년 재학 중 우리 가족은 캐나다 이민을 결정했고 처음 간 곳은 캐나다의 수도 오타와였다. 이때 유학 붐으로 같은 교실 친구들만 해도 평균 두 명 정도가 유학길에 올랐는데 그게 내가 될 줄은 몰랐다. 사실 같은 동네에서 10년을 살며 친해진 친구들과 헤어지는 것도 싫었고 새로운 걸 경험하고 싶어 하는 친동생은 정말 가고 싶어 했다. 한국에서의 열띤 학구열에 우린 중하위권 낙오자였기 때문에 공부를 못해도 더 기회가 있는 캐나다로 떠난 거 같다. 도피성 유학이었다고 보면 된다. 그렇게 아버지는 한국에 남아 ‘기러기’ 생활을 하시고 어머니와 나 친동생은 캐나다로 떠났다. 사실 캐나다라는 나라도 잘 모르거니와 수도인 오타와를 처음 들었을 땐 내 주변 친구들은 물론이고 나조차 캐나다가 아닌 일본 어느 도시라 생각했다. 분명 부모님은 캐나다로 간다고 했는데 왜 일본이지? 라며. 그렇게 오타와로 이민을 가서 고등학교, 대학교를 마치고 취직을 해야 했던 나로서는 비교적 오타와보다 일 자리가 많고, 한인 인구도 훨씬 많은 경제 대도시 토론토에 홀로 나와서 살고 있다.


우연히 현 직장에 인턴으로 시작해 취직할 수 있었고 어느덧 만으로 4년이 지났을 무렵이었다. 기독교 기반으로 세워진 캐나다는 4월 초중순쯤 부활절이라 해서 십자가에 매달려 사망하시고 사흘 만에 부활하신 예수님을 기념하는 절기를 가지는데 대체공휴일이 있는 캐나다는 보통 금요일, 월요일을 쉬며 긴 연휴를 갖는다. 꼭 기독교인이 아니더라도 명절을 맞이하여 연례행사처럼 보내는데 보통 가족, 지인들과 모여 성대한 만찬을 즐긴다. 우리가 새해에 떡국, 생일에는 미역국이 상징적이듯이 캐나다인들에게는 부활절에는 ‘삶은 달걀’과 ‘토끼’가 상징적인데, 달걀은 ‘재생’,’ 부활’의 의미를 내포하고 있다고 한다. 특히 3월 말쯤부터 삶은 달걀을 매년 풍습처럼 동네 마트를 포함하여 어디서나 판매하기도 하고 아이들은 ‘달걀 꾸미기’를 하며 즐겁게 보낸다. 긴 연휴를 갖는 만큼 직장인인 나로서는 휴가까지 쓸까 생각했지만 10월에 한국에서 결혼식을 앞두고 몰아서 사용해야 했기 때문에 아쉽게도 다음을 기약하며 사용하지 않았다.


2022년 4월 15일 금요일, 여느 때와 같이 부활절 연휴를 맞이했고 웨이트에 중독되어 있는 나로서는 그저 또 다른 주말 정도로 생각했고 오후 2시쯤 집 근처 Goodlife Fitness라는 헬스장으로 향했다. 주로 대 근육 위주로 40분가량 운동을 하고 그다음으로 20분 정도 소 근육을 하는데, 그날은 주요 운동으로는 등, 팔을 보조 운동으로 할 때였다. 등 운동을 다섯 종목 정도 하고 나서 이두근, 삼두근을 나눠 슈퍼세트를 할 때였는데, 돌이켜보면 몸은 이미 한번 신호를 줬던 거 같다. 팔운동 시작 후 갑작스러운 어지럼증을 느꼈는데 그땐 힘주다가 갑자기 일어나기도 했고 그저 컨디션이 안 좋다고 착각했다. 다시 30 Lbs 짜리 덤벨을 각 손에 쥐고 팔 운동을 시작하려는데, 시야가 흐려짐과 동시에 쓰러졌다. 그것이 부활절의 시작이었고 내 마지막 기억이었다.


술 마시고 ‘꽐라’ 돼서 필름이 끊긴 적은 있어도 운동을 포함해서 쓰러진 것은 난생처음 겪는 일이었다. 이때 나는 쓰러지지 않으려고 안간힘을 썼는데 그 순간조차 덤벨을 살포시 내려놓으려고 했던 기억이 난다. 내 의지와는 별개로 몸은 이미 대각선으로 고꾸라지고 있었고 바닥에 닿기도 전에 의식을 잃었다. 눈을 떴을 땐 꿈을 꾸다가 일어난 거처럼 정신도 없고 구급 대원 두 명과 헬스클럽 트레이너, 사람들에 둘러 쌓여 나를 내려다보고 있었다. 무슨 상황인지 인지하는데 체감상 30초 정도 걸렸던 거 같다. 구급 대원들은 내가 바닥에서 2분간 발작(Seizure)을 일으킨 사실을 알려줬고 10분간 무의식에 있었다고 한다. 지독한 ‘가위’에 눌린 거 같았다. 거품 물거나 눈이 뒤집힌 상황은 오지 않았고 평소에 운동하면서 기절한 사람들 유튜브 영상을 많이 봤었기 때문에 단순히 과호흡으로 인한 기절이라고 생각했다.


구급 대원들은 어지럼증은 없는지, 자체적으로 걸을 수 있는지를 확인했다. 나는 다행히 난간을 잡고 걸을 수 있어서 같은 층에 있는 개인 사물함 겸 탈의실로 향했다. 이때 너무나도 익숙한 자물쇠 비밀번호를 몇 번이나 틀렸고 4번 정도를 시도한 후에나 열 수 있었다. 개인 사물함이 3층에 위치하고 있었기 때문에 부축임을 받고 겨우 소지품을 챙기고 나서 환자용 들것에 묶여 엘리베이터로 이송됐다. 살다 살다 구급차를 타게 될 줄이야. Goodlife Fitness 앞에 주차돼 있는 네모난 구급차 뒤에 실려 탔다. 구급 대원은 온타리오주 도로 교통부 서류를 주며 절차상 내 운전 면허증을 임시 정지 해야 하며 의사 동의서와 함께 제출하면 재 취득할 수 있다고 고지해 줬다. 보통 발작 환자 같은 경우 반년에서 1년간 지켜보다가 기간 내에 의사가 무발작(Seizure Free) 증세라고 판단하면 그제야 서류에 사인을 해준다고 한다. 그래도 다행인 것은 헬스장바닥재는 충격 흡수 매트로 마감되어 있었고 트레이너들은 모두 심폐소생술(CPR) 자격증이 있는 사람들로 이루어져 있다는 것이다.


인근 병원 중 가장 가까웠던 Sunnybrook 병원이 뇌 질환에 있어서는 가장 투자를 많이 할뿐더러, 실력 있는 의료진과 전 세계 상위 25위권 안에 있는 병원이라는 점이 신기하기도 했다. 캐나다에 이런 병원이 있네라며. 나는 우연히 이 병원으로 이송되었고 씻지도 못한 채 응급실 복도에 있는 환자용 침대에서 부활절을 맞이했다. 나 같은 응급환자들은 검사해야 할 것이 많아서 이동이 편한 복도에 자리를 했는데 할머니, 할아버지 할거 없이 전부다 응급실 복도 생활을 전전했다. 당시 결혼을 앞두고 있어 설레기만으로도 벅차야 할 여자친구는 졸지에 응급실로 같이 끌려와서 눈이 부은 채 ‘뭐 먹고 싶은 거 없어?’라 물었고 나는 평소에는 비싸서 자주 못 먹는 ‘초밥’라 답했다.

응급실 복도에서

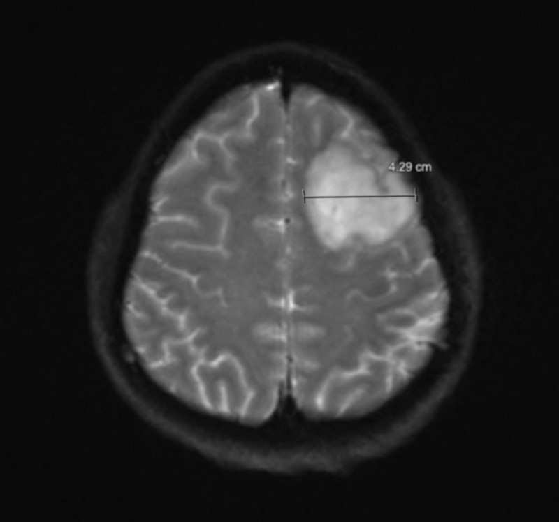
참고로 현재 내가 거주하고 있는 온타리오주 의료보험인 Ontario Health Insurance(OHIP)은 내가 병원에서 검사한 모든 비용을 보장해 줬다. 캐나다 의료 시스템은 악명 높기로 유명한데 이때 정말 위독한 사람에겐 다양한 혜택이 있는 시스템인 것을 처음으로 몸소 느꼈다. 피검사, CT, MRI까지 실험용 쥐 마냥 여기저기 끌려 다니며 정신없이 다음 날이 됐고 의사 선생님이 조심스럽게 부르더니 뇌에 종양이 발견됐다며 내 MRI 사진을 보여줬다. 그렇게 난 만 30살이 되던 해에 뇌종양을 진단받았다.


종양은 좌측 전두엽에 4.29cm로 크게 자라 있었고 우측 측두엽에 작게 위치하고 있었다. 측두엽에 자리 잡은 종양은 내 눈에는 보이지 않을 정도로 작았다. 의사 선생님은 수술을 해야 한다고 했고 머리를 열어야 하는 ‘개두술’을 진행해야 할 것이라고 했다. 전두엽, 측두엽 모두 뇌의 깊은 깊숙한 곳이 아닌 표면에 자리 잡고 있어서 수술 자체는 어려운 편은 아니라고 했다. 이틀간 응급실 복도 생활을 하며 뇌종양이 발견되자 나는 추가 검사를 받기 위해 병실을 배정받았다. 3인실을 사용했는데 나를 제외한 두 분은 백인 할아버지가 사용 중이셨다. 이때 당시에는 코로나로 인해 면회 금지였으며 나는 하루빨리 일상으로 돌아가기만을 고대했다. 사실 이때만 해도 내 상황이 크게 와닿지도 않고 수술 빨리 끝내고 회복해서 결혼식이나 빨리 올리고 싶었다.

좌우 반전 된 나의 뇌 MRI

발작을 일으키며 사흘이 째 오전, 나는 병실에서 ‘요추 천자(Lumber Puncture)’ 시술을 한다고 해서 의사선생님로부터 간략하게 설명을 들었지만 처음 들어보는 의료 용어에 나는 급하게 휴대폰으로 검색해 봤다. 척추 사이로 긴 바늘을 꽂아 넣는 다는데 어차피 받아야 하는 거 무덤덤하게 받아들였다. 오후 정도 됐을까, 중국인 의사 선생님과 인턴 분이 들어와서 내 정소(精巢)를 주물럭거렸는데 정확한 건 아니지만 아무래도 고환 암을 의심해서 만져 본 것은 아닐지 생각했다. 원인 모를 치욕스러움에 만진 이유는 딱히 물어보고 싶지 않았다. 그리고 의사 선생님이 휴대폰으로 읽은 대로 일회용 주머니에서 긴 바늘을 꺼내고 나선 인턴분에게 건네주었다.


나는 등이 파인 환자복을 입은 채로 새우잠 자듯이 누운 채로 집도 하시는 인턴 분을 등 지고 시술을 받았다. 당시 인턴 분은 이 시술이 처음인 듯했고 그렇기 때문에 졸지에 마루타가 된 나는 덤덤히 받아들일 수밖에 없었다. 그렇다고 그분을 믿지 못하는 건 아니었지만 조금 더 능숙한 의사 선생님이 집도 했으면 했다. 옆에서 의사 선생님의 지도 아래 마취까지 15분간의 긴 여정이 시작됐다. 짧은 시간이었지만 1분 1초가 그렇게 안 갈 수가 없다. 처음에는 잘 안되고 있는지 느낌상 주사 바늘을 꽂은 채로 좌우로 몇 번 돌리는 느낌이 들었다(나는 반대편을 보고 있었기 때문에 느낀 대로만 설명이 가능했다). 시술은 다행히 잘 끝났고 부작용으로 두통이 있을 거라곤 했지만, 나는 허리에 통증이 심했고 시술 부위가 끊어지듯이 아팠다. 다시는 하고 싶지 않은 기분 나쁜 그런 시술이었다. 모든 검사를 마친 후 들은 건데 다행히 나는 척수에는 전이되지 않는 종류라고 했다. 뇌종양 같은 경우 뇌벽이 존재해 뇌와 척수 외에 다른 장기에는 전이되지 않는다고 들었다.


시술 후 담당 신경과 의사 선생님과 면담을 가졌고 정확한 건 조직 검사를 해야 알 수 있겠지만 ‘저등급 신경교종(Low Grade Glioma)’이 의심된다고 했다. 어려운 의학 용어에 다시 한번 휴대폰을 찾아서 검색했다. 또, 이때 뇌종양이 뇌 암으로 분류된다는 거도 처음 알게 됐다. 췌장암, 폐암, 대장암 등등 수많은 암이 있지만 뇌 암은 뇌종양이라 불리고 구분한다. 이 나이에 암 투병은 생각도 하지 못했던, 나름 건강하게 살았다고 자신했던 나의 오만이었을까. 우선, 시급한 좌측에 커다란 종양부터 적출 하자는 의사 선생님 말을 그저 들을 수밖에 없었다. 아직까지 실감이 나지 않았다. 처음에는 10월에 한국에서 있을 결혼을 먼저 생각했고, 그다음으로 근력 손실과 머리스타일을 걱정했다. 평소 악성 곱슬머리라서 볼륨 매직을 하는데 캐나다는 남자 볼륨 매직도 비싸기 때문에 세금과 팁까지 200달러 이상 줬다. 이때 당시 볼륨 매직한 지 딱 1주일 정도 지났을 때였다. 어차피 개두술 하면 밀릴 머리를 괜히 했다 싶었다.


신경과 의사 선생님 말로는 내 질병은 아직 원인을 알 수 없다며. 정확하게는 교통사고에 비유했다. 환자 입장에서는 교통사고가 원인 없이 나듯이 내 종양도 원인 없이 자라난 것이라고. 평소 어릴 때부터 두 달에 한 번 꼴로 편두통을 앓았었는데 돌이켜보면 그 주기적으로 찾아왔던 두통이 전조증상이었나 싶다. 젊은 환자에게 발생하는 경우는 드물다며 사례 연구(Case Study)를 병행하기를 추천하여 동의서에 사인을 했다. 이상한 사명감 때문에 연구가 필요한 미지의 세계인 뇌를 공부하는 이들과 비슷한 병을 앓고 있는 사람들에게 도움만 될 수 있다면 뭐든 하고 싶었다.


급하게 다니고 있던 회사에 연락을 했고 어떻게 조치를 할지 고민했다. 우선, 수술 전까지는 재택근무를 하고 수술 날짜 이후 휴직을 들어가는 거로 협의가 됐다. 단순 과호흡이 아닌 뇌종양 소식은 가족들에게도 큰 충격이었던 거 같다. 부모님과 친동생도 걱정이 컸는지 오타와에서 왕복 800km가 넘는 거리를 당일치기로 오고 갔다. 부모님 두 분 다 내 앞에서는 애써 울지 않으려 하신 게 감사했다. 만약 두 분이 우셨으면 내 잘못은 아니지만 죄책감이 떠 쌓였을 거만 같다(후일담이지만 아버지가 원래 눈물이 없는 편이 신데, 밤에 몰래 나가 차 안에서 오열을 하셨다고 들었다). 그렇게 나는 부활절 내내 병원에 있으며 연휴가 끝나는 월요일이 돼서야 퇴원을 시켜줬고 수술 날짜가 잡히기 만을 기다렸다


keyword