인슐린 저항성에서 전립선 결석까지

대사증후군과 미네랄 결핍 그리고 전립선 문제들

by 자유로

대사증후군...


여러분들께서는 대사증후군이란 말을 혹시 접해보신 적이 있으신지?


1980년대 말 여러 연구자들은 인슐린 저항성과 그에 따른 보상적 인슐린 수치 증가가 제2형 당뇨병, 관상동맥질환, 고혈압, 비만 및 이상지질혈증 등과 공통된 관련성을 나타낸다는 것을 발견했다.


현재 이러한 질환군을 통칭하여 대사증후군으로 부르고 있다. 대사증후군은 서구화된 생활 방식을 가진 나라에서 흔하다. 미국을 포함한 우리나라 성인 인구의 약 34-39% 정도 차지하며, 남녀의 유병율은 거의 비슷하다고 알려져 있다. 하지만 임상의로서의 경험상 이 수치는 더욱 높을 것으로 추정한다.


대사증후군과 관련해서는 무척 방대한 양의 연구가 진행되어 있으며 또한 되고 있다. 너무나도 할 말이 많지만 이번 장에서는 비뇨의학과적인 문제중에서도 전립선과 관련하여 말씀드려 볼까 한다.


대사증후군.jpg


1. 인슐린 저항성이 전립선 비대증을 촉진한다.


진료실에서 전립선 비대증(BPH)으로 내원하는 환자들을 꾸준히 진료하면서 반복적으로 마주하는 공통점이 있다. 바로 이들 중 상당수가 당뇨 또는 당뇨 전단계 상태에 있다는 점이다. 실제로 혈당이 잘 조절되지 않는 환자일수록 배뇨 장애 증상(야간뇨, 잔뇨감, 빈뇨, 약한 줄기 등) 이 뚜렷하게 나타난다.


당뇨병의 전단계로 간주되는 인슐린 저항성(insulin resistance).

인슐린 저항성은 대사질환의 핵심이다.


근육, 지방, 간 등 주요 조직이 인슐린에 대해 둔감해지면 이를 보상하기 위해 고인슐린혈증(hyperinsulinemia) 이 유발된다.

이는 단지 혈당 조절의 문제를 넘어, 전립선에 직접적인 영향을 미치는 중요한 인자가 된다.



ERC-22-0403fig1.jpeg


고인슐린 상태는 IGF-1(Insulin-like Growth Factor-1) 수용체를 과도하게 자극하여 (비정상적인) 세포 성장과 증식을 촉진하게 된다. 전립선은 IGF-1 수용체가 풍부한 조직으로, 이 자극에 민감하게 반응하며 이로 인해 전립선 세포의 비정상적 증식, 즉 전립선 비대증(BPH)으로 연결된다.


전립선이 커지면 무슨 일이 벌어질까?


전립선은 단단한 캡슐(capsule)이란 질긴 섬유조직이 밖을 둘러싸고 있다. 이로 인해서 전립선은 밖으로 커지지 않고 안으로(즉 요도안쪽으로) 그리고 위로(방광 쪽으로) 자라난다. 이로 인해서 방광의 용적이 상대적으로 줄어드는 효과가 나타나며 요도가 좁아져서 소변 배출이 용이해지지 않게 된다. 전립선 비대증이 문제가 되는 지점이 바로 여기에 있다.


(임상적으로 혈액 검사를 통한 인슐린 수치와 IGF-1은 인슐린 저항성 및 대사증후군의 생체표지자로 활용될 수 있다.)

46476829_l.jpg 정상적인 전립선과 달리 전립선이 커지면 요도 내 구경이 좁아지게 된다.



2. 전립선 비대증과 전립선 분비액의 정체: 결석의 씨앗을 만든다


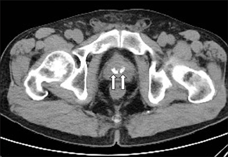
전립선 크기를 측정하기 위해서 경직장 (전립선) 초음파를 시행하다 보면 종종 전립선내 결석을 관찰하게 된다. 또한 요로 결석을 확인하기 위해서 복부 CT를 촬영했을 적에도 우연히 전립선내 결석을 확인하는 경우가 있다. 문제는 이런 전립선내 결석이 생각보다 흔히 보게 된다는 점이다.


wjmh-36-15-g005-l.jpg 복부 CT에서 전립선내 결석(화살표시)


전립선내 결석은 대개 큰 문제를 일으키지 않지만, 혈뇨나 요정체같은 배뇨 문제나 회음부 및 골반통증과 같은 증상들과 연관된다.


많은 분들이 전립선내 결석이 왜 생기냐고 묻는다. 그 질문에 대한 한 가지 설명이 바로 대사증후군과 관련이 깊다. 전립선이 비대해지면 요도의 압박이 생긴다 했다. 여기서 알아야 할 것은 전립선은 사정액의 20~40% 기량을 생성한다. 정낭이란 부분에서 대부분의 정액이 만들어지지만 전립선 역시 사정관을 포함하여 사정에 지대한 역할을 한다. 전립선이 비대해지면 요도뿐만 아니라 이로 인해 전립선내 있는 사정관과 그와 연결된 작은 도관 내 분비물의 배출이 저해된다. 배출되지 못한 전립선 액은 점차 농축되고 석회화되면서 전립선 결석(Prostatic calculi) 이 형성된다.


전립선 옆 모습.jpg 1번과 2번 사이로 사정관이 지난다. (Seminal Vesicle: 정낭)


특히 만성염증(chronic prostatitis) 이 함께 존재하면, 염증세포의 잔해와 칼슘 등이 섞이면서 결석 형성의 환경이 더 가속화된다. 결국, 전립선 비대증은 단순한 증식 이상이 아니라 결석이라는 2차 병변을 유도하는 구조적·기능적 장애로 이어진다. (종종 전립선내 결석으로 인한 혈사정증, 즉 사정액에서 혈흔이 관찰되는 증상이 나타나기도 한다. 전립선 결석이 전립선 관을 따라 이동하거나 주변 조직을 자극할 경우 미세출혈이 발생하기도 한다. 또한 세균 감염 위험을 높여서 전립선염을 유발하며 염증으로 인해 혈관이 취약해지면서 출혈이 발생할 수 있다.)


3. 미네랄 결핍은 숨은 원인이자 가속 인자로 작용


인슐린 저항성이라든가 그로 인한 대사 증후군과 같이 어려운 말을 언급했지만 실질적으로 도대체 왜 이런 일이 유발되는가 하고 의아할 것이다. 앞서 잠시 기술되어 있지만 이는 바로 생활 습관병이다. 특히 식습관과 밀접한 관련이 있다. 단순히 많이 먹고 적게 움직여서가 아니다.


우리의 식단은 나트륨 및 염소와 같은 특정 미네랄은 과다하지만, 마그네슘, 칼륨, 아연, 셀레늄 등 생리학적 기능에 필수적인 미네랄은 결핍되어 있는 경우가 많다.


특히 마그네슘 부족은 인슐린 감수성을 떨어뜨려 인슐린 저항성을 악화시킨다. 인슐린은 혈당(포도당)을 세포 안으로 넣어주는 '열쇠' 역할을 한다. 마그네슘은 이 열쇠가 제대로 작동하도록 도와주는 '윤활유' 같은 존재이다. 즉 마그네슘이 부족하면 인슐린이 제 역할을 못 하게 되고, 그 결과 몸이 인슐린에 '무뎌져서' 인슐린 저항성이 더 심해다.


또한 아연 결핍은 전립선의 항산화 방어체계를 무력화시켜 염증을 유발한다. 전립선 역시 활성 산소로부터 보호되어야 하는데 이때 아연이 항산화 효소(예: SOD)와 함께 전립선 세포를 지키는 '방패' 역할을 한다. 아연이 부족하게 되면 전립선 세포가 쉽게 손상되고 염증 반응을 일으키면서 전립선염이나 관련 질환의 위험이 증가한다.


SOD.jpg SOD의 작용-산소 라디칼을 물과 산소로 바꾼다


칼슘과 인산의 균형이 깨질 경우, 전립선 내 석회침착을 촉진하게 된다. 몸 안에 있는 체액들은 일정한 용해도를 유지하고 있는데 이 것이 불균형 상태가 되면 과포화 상태가 되어 결정화가 된다. 전립선액도 예외는 아니다. 전립선액 내 칼슘과 인산염은 일정한 용해도로 존재해야 하는데 칼슘이나 인산염의 농도가 과해질 경우 이는 과포화 상태로 이어진다. 또한, 미네랄 불균형은 소변 pH 조절 실패(신장 pH 조절 기전의 저하)를 야기할 수 있으며, 이로 인해서 요중 칼슘 및 인산염 침전이 발생되고 결석 형성으로 이어질 수 있다


미네랄 결핍은 인슐린 저항성 악화 + 결석 형성 촉진 + 항염 기능 약화라는 삼중 효과를 통해 전립선 문제의 진행을 더욱 촉진하게 된다.


image-45.png


인슐린 저항성과 전립선 비대증 및 결석 그리고 미네랄 결핍은 별개의 문제가 아닌 하나의 시스템 속에서 작동하는 순환 고리와 같다. 전립선 비대증은 단순한 노화의 결과가 아니다. 대사 시스템 전체의 불균형에서 비롯된 결과다. 따라서 그 해결책도 증상 완화에 머무르지 않아야 한다.


전립선 건강을 지키는 것은 단순히 소변을 잘 보게 만드는 것이 아니라, 전신 대사의 균형을 회복하고 미네랄의 질서를 바로잡는 것에서 출발해야 한다.


배뇨 장애를 호소하는 많은 어르신들께서 진료실에 오셔서 "나이 들면 다 이런거지" 하시며 애써 씁쓸한 마음을 달래려 하신다. 하지만 이는 단순히 나이가 들어서 생기는 병이 아니다. 누차 말하지만 병이 점점 젊어지고 있다.


지금 '전립선 비대증'이라고 하는 이 질환은 십대 후반의 젊은 친구들까지도 진료실 문을 두드리게 만든다. 심지어 그 젊은이들이 스스로 '진단'을 내리며 검사를 요청하러 오는 어처구니없는 상황마저 연출한다.


십대 후반인데 전립선 비대증이라?? 있을 수가 없는 일이지 않는가? (임상 현장에서 이러한 확언은 금물이다.)

왜냐면 전립선은 어느 정도 나이에 따라서 생리적으로 커진다. 필자가 전공의 생활을 할 때만 해도 나이가 듦에 따라서 자연스럽게 전립선은 커지는 것이라고 배웠다. 특히 남성 호르몬(DHT, dihydrotestosterone)의 역할로 인해서 전립선은 그 노출 정도가 길어짐에 따라서 점점 커진다고 생각했다.


dht-dihydrotestosteron-1024x480.jpg


DHT는 전립선 성장의 '필수 조건'이 맞다. 그러나 DHT에 오래 노출된다고 해서 전립선이 지속적으로 커지는 것은 아니다. 실제로 배뇨 장애를 가지고 오신 65세 이상의 많은 어르신들 중에서 전립선의 크기가 정상 범주 이하인 20g 미만이신 분들도 많이 본다.


전립선 문제로부터 자유로워지려면 우리의 식단을 점검해봐야 한다. 대사 증후군은 기본적으로 '먹는 것'으로부터 오는 문제이기 때문이다.


남성 호르몬 문제도 맞지만 그 호르몬도 사실은 여러분의 식사에서 기인된다는 걸 잊지 말자!


참고문헌>

1. GH-dependent growth of experimentally induced carcinomas in vivo in: Endocrine-Related Cancer Volume 30 Issue 5 (2023)

2. Benign Prostatic Hyperplasia (BPH) - familydoctor.org

3. Superoxide Dismutase Supplement and Food Sources - Superfoodly

keyword