몰라... 하지만 사랑해(9)

늘어난 나의 시간

by ㅇㅅㅇb

기적이 일어났다. 하루가 지났지만, 이번에는 기억이 사라지지 않았다.
솔직히 과거, 소파에서 자고 일어나 기억을 잃지 않았던 경험이나, 실험적으로 자정이 넘어서 잠들었을 때 기록된 기억 유지 사례만으로는 ‘기억상실이 일어나는 순간’을 이해할 수 없었다. 하지만 지금, 만약 내가 치유되고 있는 상황이라면, 모든 것이 설명 가능해졌다.

문득 메모장이 떠올랐다. ‘매일 약 먹기.’ 나는 매일 약을 챙겨 먹으며 회복을 이어왔던 것이다. 아마 이 약 덕분에 내 뇌가 서서히 살아나고 있는 게 아닐까. 마음이 설렜다.

나는 급히 약 봉투에 적힌 병원으로 향했다. 다행히 급하게 예약을 잡았지만 나의 상황을 알고 있던 병원에서 편의를 봐주어, 곧바로 검사를 받을 수 있었다. 여러 검사를 끝낸 후, 진료실 앞에서 기다리는 내 마음은 수능 성적표를 받던 그때처럼 떨렸다.
만약 이번 치료가 성공한다면, 매일 불안에 떨며 현지를 만나야 하는 일은 더 이상 없을 것이다.

드디어 내 이름이 불렸다. 진료실 문을 열자, 머리가 반쯤 벗어진 의사 선생님이 나를 기다리고 있었다.
“어서 오세요.”
나는 심장이 뛰는 것을 느끼며 자리에 앉았다. 의사는 모니터를 내 쪽으로 돌리며 조심스럽게 말했다.

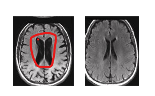
“여기 보시면, 왼쪽이 한 달 전 사진이고, 오른쪽이 오늘 찍은 사진입니다. 정상 뇌와 비교하면 아직 검은 부분이 많지만, 한 달 전보다 확연히 줄어든 것을 볼 수 있습니다.”

화면 캡처 2025-09-22 122418.png 왼(한 달 전 사진), 오(정상 사진)

화면을 바라보자, 의사의 말대로 한 달 전 사진의 검은 공간이 줄어들어 있었다. 하지만 여전히 빈 곳이 남아 있었다.
“이 정도까지 치유되는 경우는 저도 처음 봅니다. 열심히 노력하신 결과가 분명하네요. 지금 상태라면, 짧게는 3일, 길게는 4일 정도는 기억이 유지될 것 같습니다.”

혹시 어제 현지에게 보낸 편지에 대한 반응을 확인하고 싶은 마음이 통한 걸까. 신께서 나에게 시간을 더 주신 것만 같았다.

“하지만 앞서 말씀드렸듯, 이런 경우는 처음이라 확신할 수 없습니다. 매일 쓰던 일기는 계속 쓰시고, 약도 잊지 말고, 두뇌 자극 훈련도 꾸준히 하세요.”

“네, 알겠습니다. 감사합니다, 선생님.”
진심 어린 감사 인사를 건네고, 나는 진료실 문을 나섰다.

오늘이 주말이라는 사실이 떠올랐다. 현지가 밥을 준비하지 못했을 테니, 오므라이스라도 만들어야겠다.
그리고 마음속에서 작은 설렘이 피어올랐다. 상태가 괜찮다면, 오랜만에 여행을 떠나볼 수도 있겠다.
시간은 조금씩, 그러나 확실히 다시 내 편이 되어가고 있었다.






출처:

1달 전 사진:https://blog.naver.com/lisume77/221542398008

일요일 연재
이전 08화몰라... 하지만 사랑해(8)