[육아일기]#8 부분전치태반. 그리고

by 찹쌀아빠

2025.08.04

임신34주차 4일

34주차 정기검진 날, 이전 정밀 초음파에서 자궁경부와 태반 간 거리가 2.78cm라고 들었고,

임신이 진행되면서 태반이 자연스럽게 위로 올라가기 때문에 크게 걱정할 필요가 없다고 들었다.

그래서 마음 한켠에서는 “곧 괜찮아지겠지”라는 안도감이 있었지만, 오늘의 초음파는

그 기대를 산산이 깨뜨렸다.

화면 속 태반은 여전히 낮은 자리에서 움직이지 않았다.

“부분 전치태반으로 확정해야겠네요.”

담당 선생님의 말은 단호했고, 그 순간 아내의 손끝이 내 손을 더 세게 움켜쥐었다.

선생님은 차분하게 그림 보여주시며 완전 전치태반과 부분 전치태반의 차이를 설명했다.

서울아산병원 출처 부분전치태반.png 이미지 출처 서울아산병원

완전 전치태반은 태반이 자궁 경부를 완전히 막아 자연 분만이 불가능하며,

출혈 위험이 높아 응급 제왕절개가 필수라고 했다.

부분 전치태반은 자궁 경부 일부를 막고 있어 자연 분만 진행시 과다 출혈의 위험 때문에

제왕절개를 해야한다고 했다.

철분제를 꾸준히 복용하고, 필요하면 수술 전 철분 주사를 맞는 것이 중요하다는 말까지 들었다.

간단한 설명 같았지만, 그 안에 담긴 무게는 결코 가볍지 않았다.

이어서 채혈 검사 결과가 나왔다. 양수 지수는 21로 정상 범위 15를 훌쩍 넘어 ‘과다’라는 표시가 붙었고,

혈당 수치도 136으로, 임신성 당뇨 기준치를 초과했다.

단음료, 밀가루, 탄수화물을 줄이려 아내가 얼마나 애썼는지 나는 옆에서 지켜봤다.

그 노력이 무색해진 듯한 결과 앞에서, 아내는 씁쓸한 미소를 지었고, 나는 차마 눈을 마주치지 못했다.

검진실을 나오며 아내가 작게 말했다.

“그래도 아기 배둘레는 34주니까 다행이지 뭐.”

나는 억지로 웃어보였지만, 마음 한켠은 여전히 무겁게 내려앉았다.




차 안은 오래도록 침묵이 흘렀다. 창밖 풍경이 회색빛으로 스며드는 듯 보였다.

결국 내가 먼저 입을 열었다.

“괜찮아. 우리 지금까지도 잘 해왔잖아. 이번에도 잘 넘길 수 있을 거야.”

아내는 작은 고개 끄덕임으로 대답했지만, 눈빛에는 여전히 불안이 어려 있었다.




집으로 돌아와 우리는 나란히 앉아 말없이 휴대폰을 들여다 보았다.

‘전치태반 제왕절개 후기’, ‘양수 과다 원인’, ‘임신성 당뇨 관리법’…

끝없는 정보의 바다 속에서 서로 다른 목소리들이 흘러나왔다.

어떤 글은 대학병원 전원을 권했고, 어떤 글은 동네 병원에서도 무사히 수술했다고 했다.

하지만 글을 읽으면 읽을수록 확신은 사라지고, 불안은 커져만 갔다.

아내는 스크롤을 내리며 말했다.

“다들 위험하대. 우리도 대학병원 가야 되는 거 아냐?”

나는 잠시 머뭇거리다 대답했다.

“선생님이 전원 얘기 안 한 건 자신이 있으셔서 그런 거야. 괜히 걱정할 필요 없어.”

그렇게 말하면서도, 마음속에는 같은 의문이 끊임없이 피어올랐다.

정말 여기서 괜찮을까? 만약 수술 중에 과다출혈이 생기면?

밤이 깊어갈수록 아내의 얼굴에는 근심이 짙게 드리웠다. 그녀는 배 위에 손을 얹고 천천히 눈을 감았다.

양수도 많고, 혈당도 높고, 전치태반까지 확정. 무엇 하나 마음 편히 넘길 수 있는 게 없었다.

하지만 찹쌀이의 심장은 여전히 힘차게 뛰고 있었다.

그 심장 소리만이 우리의 불안을 달래주는 유일한 위로였다.

“찹쌀아, 조금만 더 힘내자. 엄마 아빠가 기다리고 있어.”

그 목소리는 작았지만, 내 마음을 강하게 흔들었다. 나는 곁에서 조용히 두 손을 모았다.

부디 큰 탈 없이, 건강하게 나와주기를.

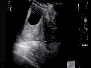
KakaoTalk_20250928_202835448.jpg 자궁경부와 태반까지 3.02cm


2025.08.18

임신36주차 4일

막달 검진 날, 아침 일찍 병원으로 향하는 길은 한층 더 무거웠다.

지난 34주차 검진 이후 전치태반 확정, 양수 과다, 혈당 초과. 그날의 불안과 근심이 아직도

마음 한켠에 남아 있었다.

아내는 아침 공기 속에서 평소보다 창백해 보였다. 나는 손을 꼭 잡아주며 마음을 달랬다.

병원에 도착하자마자 긴 검사 일정이 시작됐다.

피검사, 소변검사, X-ray, 심전도, 태동검사까지 꼬박 한 시간이 걸렸다.

아내는 겉으로는 담담한 표정이었지만, 나는 그녀의 몸에서 뚜렷하게 드러나는 피로와

긴장을 읽을 수 있었다. 그럼에도 그녀는 묵묵히 끝까지 버텼다.

그리고 마지막, 가장 중요한 순서가 기다리고 있었다. 태반 위치를 정확히 확인하는 질내 초음파 검사.

아내는 늘 이 검사를 꺼렸지만, 이번에는 선택의 여지가 없었다. 억지로 웃음을 지으며 내 손을 잡았다.

“힘들어도 조금만 참자. 금방 끝날 거야.”


잠시 후, 선생님의 목소리가 차분하게 울렸다.

“태반이 4cm 정도 떨어져 있습니다. 이 정도면 자연분만도 가능합니다.”

그 순간, 아내의 눈이 크게 뜨였다.

“정말요? 제왕절개 안 해도 돼요?”

떨리지만 기쁨이 묻어난 목소리였다. 나도 연신 “정말요?”를 되뇌며 초음파 화면을 뚫어지게 바라봤다.

화면 속 찹쌀이는 고개를 살짝 돌린 채, 통통한 볼을 내밀고 있었다.

아내와 나는 순간 모든 긴장을 잊고 미소를 지었다.

그동안 내 마음을 짓눌렀던 불안과 근심이 한순간에 풀리는 듯했다.

34주차 검진 이후, 자연분만은 사실상 불가능할 것이라는 생각이 마음 한켠을 차지하고 있었기 때문이다.

그러나 지금, 우리는 다시 열린 길을 확인했다. 희망은 이렇게 예상치 못한 순간에 나타났다.

그러나 선생님은 거기서 멈추지 않았다. 이어서 자궁문 상태를 확인하기 위한 내진 검사가 진행되었다.

갑작스러운 통증에 아내는 “억!” 소리를 내며 몸을 움찔했지만, 나는 손을 꼭 잡고 다독였다.

“힘 빼고 숨을 천천히 내쉬세요.”

선생님의 안내에 따라 아내는 숨을 훅훅 내쉬며 긴장을 풀었다.

검사 결과 자궁문은 1cm정도 열려있었다.

선생님은 앞으로 적절한 운동과 꾸준한 관리가 필요하다고 조언했다.

질내 초음파와 내진을 마치고 나오는 순간, 아내의 얼굴에는 고통과 기쁨이 동시에 남아 있었다.

자연분만 가능하다는 소식 하나가, 지난 몇 주간 쌓였던 모든 불안을 덮어버린 듯했다.

KakaoTalk_20250928_205002017.jpg 걱정말라며 태반뒤에서 얼굴을 보여주는 찹쌀이




집으로 돌아오는 길, 아내는 차 안에서 갑작스럽게 웃음을 터뜨렸다.

“자연분만도 무섭지만, 제왕절개는 더 무섭거든. 이제 운동 열심히 해야지!”

그 웃음 속에는 새로운 의지가 담겨 있었다. 찹쌀이는 이미 2.7kg

찹쌀이는 건강하게 자라고 있었다.


그날 밤, 아내는 배를 어루만지며 속삭였다.

“찹쌀아, 건강하게 태어나줘. 엄마 아빠가 기다리고 있어.”

나는 그녀의 곁에서 눈을 감았다. 지난 몇 주간 무겁게 내려앉았던 마음이 조금은 가벼워졌다.

우리 부부는 남은 기간 동안 어떻게 찹쌀이를 맞이할지 마음속으로 계획을 세웠다.

운동과 관리, 그리고 마음의 준비.

막달이 다가올수록 체력적으로 힘들고, 호흡이 불편하며, 매번의 검진이 긴장과 걱정을 동반했지만,

이제 우리는 한 가지 중요한 확신을 얻었다. 찹쌀이는 충분히 건강하게 자라고 있고,

우리는 다시 희망을 품을 수 있다는 것.


나는 속으로 기도했다.

‘부디 마지막까지 큰 문제 없이, 찹쌀이가 건강하게 우리 곁으로 와주기를.’

아내와 나는 서로의 손을 꼭 잡았다.

지난 몇 주간 겪었던 모든 불안과 긴장이 손끝으로 흘러나가고, 남은 것은 단단한 믿음과 사랑뿐이었다.

그날 밤, 나는 오랫동안 창밖을 바라봤다. 밤하늘은 고요했지만, 마음속은 기대와 긴장으로 가득 찼다.

이제 남은 건 출산을 기다리는 설렘뿐이었다. 찹쌀이를 만나게 될 순간을 상상하며,

나는 아내와 함께 작은 숨을 내쉬었다.

이 길고도 긴 여정의 끝에, 우리 가족에게 어떤 기쁨이 기다리고 있을지 마음속으로 그려보며

잠자리에 들었다.

일요일 연재
이전 08화[육아일기]#7 20분의 숨바꼭질