brunch

로봇 갑상선 수술 이야기 2

BABA

by Jeunghun Lee

BABA(bilateral axillo-breast approach, 그림 1)와 나의 인연은 15년 전부터다. 38개월의 공중의를 마치고 전임의를 시작하면서 인연이 시작되었다. 그러나, 근무지 변동과 함께 그 인연은 잠시 소원해졌는데, 당시 아주대에서는 액와부 절개법만 시행했기 때문이다. 그러다 BABA와의 인연을 다시 이어갈 수 있었던 것은 절실함 때문이었다.

그림1. 양측(bilateral) 겨드랑이(axillo) 유방(breast) 접근법(approach)

꽃은 아름다움의 대명사다. 그 한시성이 경이로운 것은 씨앗 때문일 것이다. 그러나, 삶과 죽음, 진화 등의 미사여구로 꾸미기 전 전에 꽃은 그저 아름답다. 어쩌면 그 매력에 사료 잡혀 볼 수 있어 꽃은 더 아름다워 보일지 모른다.

신체의 아름다움 역시 한 때이지만 경이로워서 꽃과 다르지 않다. 그중 목의 아름다움은 화려함은 아니다. 이목구비를 타고 내려오는 아름다움은 목에서 수려함으로 드러난다. 그런 면에서 목은 다보탑보다는 석가탑을 연상케 한다. 또한 목은 모나리자의 눈썹 같다. 모자란 듯 모자라지 않고, 더하자니 더할 수 없는 아름다움. 그래서 그 목은 여러 치장들 중에 목걸이를 선택했을지 모른다.

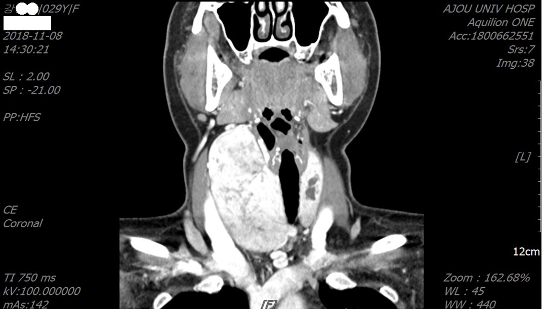
내 진료실에는 수려하였을 목에 툭 튀어나온 혹을 가졌거나, 며칠 후 절개선을 남겨야 하는 분들이 찾아온다. 커다란 혹도 오점이지만, 수술 후에 남는 절개선도 흠집이다. 그런데, 진료실에서 그 여성의 절실함은 지켜주지 못하는 의사에게 안쓰러움을 느끼지만, 안쓰러움은 미안함으로, 그리고, 결 다른 절실함으로 의사인 나에게도 다가왔다. 기존에 시행해 왔던 액와부 절개법은 갑상선, 또는 혹이 크거나, 갑상선 좌우 양 엽에 암이 있어서 완전절제 (R0 resection)을 하기 어려운 경우가 있기 때문이다. BABA는 이러한 환자들의 절실함을 해결해 주었다. 그림 2는 10cm가 넘는 갑상선 결절을 가진 환자를 BABA로 수술한 사람의 CT 사진이다. 혹이 크다 보니 수술시간이 길었으나, 그만큼 기억에 남아있다. 이 수고로움은 외래에 찾아오실 때마다 나에게는 추억의 편지로 남았다.

그림2

그런 BABA를 시행하는 첫날 수술실 간호사들의 반응은 인상적이었다. 수술실 간호사들은 대부분 젊은 여성들이라 아름다움에 관심이 높다. 그리고 수술의를 도와주기도 하지만 수술의의 숙련도를 가장 가까이서 평가할 수 있는 결 다른 전문가들이기도 하다. 아주대에서 액와부접근 로봇수술만을 봐 오다가 BABA를 경험한 간호사들이 수술 후 나에게 하는 BABA의 평가는 ‘안 아파요?이었다. 아마도 촉각과 경험에 의존하여 작업공간을 만드는 장면을 보고, 박리를 한다는 이성보다는 찔린다는 감정이 앞선 것이다. 사실 액와부 접근법에 비해 수술 후 통증은 BABA에서 심한 것이 맞다. 그래서 국소 통증조절 장치를 추가 사용하기도 한다.

그러나, BABA 수술 후 외래에서 보는 환자들의 미용적 만족도는 액와부 절개법을 능가한다. 수술 후 절개선이 보이지 않은 장점은 BABA의 수술실 경험이 없는 외래 전담간호사에겐 더 호소력이 있는 건 사실이다. 그러다 보니 로봇 선택 시에 집도의의 의중을 배제하기 위해 전담간호사와 수술방법을 선택하게 했던 시기에 BABA 수술이 점차 늘어서 액와부 절개법과 비등하게 시행되기도 했다.

시간이 흐르면서 이런저런 이유들로 수술방법이 하나 둘 늘어나면서, 로봇 갑상선 수술 중에 세 가지 방법으로 수술을 하게 되었다. 어느 병원이든지 로봇 수술 방법을 두 개 정도 시행하는 것이 일반적이지만 세 가지를 하는 수술의는 드물다. 그러다 보니 외래 환자들의 질문도 많아지고 상담시간은 길어졌다. 그 질문들 중 하나가 ‘어느 수술이 더 좋아요?’였다. 수술의에게 익숙한 수술법을 환자가 선택하는 것이 가장 현명한 환자의 선택일 수 있다. 그러나, 완전절제라는 전제 조건하에 수술의는 복잡한 것보다는 간단한 것을, 긴 수술시간보다는 짧은 수술시간을 선호하는 게 일반적이다. 그러니, 다양한 수술법이 시행되고 있는 시대에 환자분이 수술법을 알고, 본인이 원하는 것을 명확히 안다면, 의사들의 편애에 의해 호도 되지않고, 자신에게 적절한 수술방법을 찾을 수 있을 것이다. 그래서 이번에는 액와부 접근법에 이어서 BABA 수술의 장점과 단점을 기록하여 수술방법을 선택할 때 도움을 주고자 한다.

BABA는 다리에서 머리 쪽으로 바라보는 시야(caudal to cranial view)를 제공한다. 갑상선 수술 집도의에게는 약간 생소한 시야일 수 도 있다. 특히 경부 중앙구획은 흉골과 쇄골에 가려 제한적으로 보인다. 그러나, 이러한 단점을 무시할 수 있게 만드는 장점은 넓은 작업공간(working space)을 만들 수 있다는 거다. 이때 쓰는 기술이 꼬집기 방법(pinch method), 수액박리 (hydrodissetion)이다. 이 방법들은 광경근(platisma)과 띠근육 사이에 공간을 만들고 (꼬집기 방법), 그 공간을 수액으로 채워 (수액박리, hydrodissection) 넣어 수액 주머니의 크기를 확장하는 기술이다. 그다음에는 이 공간을 혈관 터널러 (vascular tunneler)로 보지 않고 박리(blunt dissection)하여 광경근과 띠근육 사이로 작업공간을 만든다. 꼬집기 방법은 경부 중앙 구획에서 시행하며, 수액박리와 더불어 작업공간 만들기 위한 기초작업이다. 그런데 이 기초작업이 잘못되면 혈관 터널러로 광경근하 작업공간을 만들 때 여러 가지 문제를 초래한다. 예를 들면 수액 주머니가 너무 표면에 만들어지면, 혈관 터널러로 광경근을 손상시켜 목 미용에 치명적 상처가 남길 수 있고, 수액주머니가 너무 깊이 만들어지면 잘못된 박리면으로 띠근육이나 혈관을 손상시켜서 출혈이 생기며 이로 인해 시야가 좋지 않게 된다. 그래서, 경험이 많지 않을 때에는 이런 실수들에 대한 걱정과 함께 보이지 않은 광경근하 공간을 적절히 박리하고 있다는 확신을 가지기는 쉽지 않다.

그래서 누가 하든 누굴 하던 변하지 않은 광경근하 공간으로 접근할 수 있는 해부학적 표지자를 찾는 것이 주요하다. 나는 그게 쇄골임을 확신했으며, 수액 주머니를 쇄골 위에서 만들었다. 왜냐하면 쇄골을 싸고 있는 근막 바로 위에 광경근이 있으므로, 쇄골에 맞닫아 수액박리를 하면 꼬집기방법을 쓰지 않더라도 광경근하 공간으로 접근이 가능하고 비만하더라도 항상 광경근하 공간을 만들 수 있다. (그림 3) 그리고, 수액박리는 쇄골에서 시작하여 목 중앙으로 진행한다. 이때는 이게 신의 한 수라고 생각했다. 지금은 더 좋은 방법이 있으리라 생각한다.

그림 3. 광경근이 쇄골 바로 위에 있으므로 주사기 바늘을 쇄골에 접축 시킨후 수액박리를 하면 광경근하 공간을 쉽게 만들수 있다.

이런 기초작업이 끝나면 혈관 터널러를 이용해 광경근하에 이산화탄소로 채워진 작업공간을 만든다. 이때 양쪽 목빗근 사이의 중앙부는 혈관 터널러로 작업 공간을 만들지 않는데, 이 중앙부위에는 띠근육 표면에 주행하는 혈관들에서 피부로 향하는 혈관들이 있기 때문이다. 그래서 이 부위는 전기소작기, 초음파 절삭기를 이용하여 박리를 해야 한다. 여기가 BABA의 첫 번째 관문이다. 여기만 지나면 그다음은 익숙한 수술 시야를 갖게 된다. 작업공간의 넓이는 환자의 상태에 따라 조절이 가능하다. 이후에는 띠근육의 중앙선을 따라 위아래로 절개하고 갑상선을 노출 후 갑상선 절제술을 시행한다.

BABA에서 갑상선을 바라보는 시야는 다리에서 머리 쪽을 향하게 되고 대부분의 갑상선절제술은 다리 쪽에서 머리 쪽으로 진행하게 된다. 이때부터는 고식적 갑상선 절제술의 원칙에 따라 갑상선은 제거하되, 후두신경들과 부갑상선들은 보존해야 한다. BABA는 이런 원칙을 고수하며 수술하기에 유리하며, 무엇보다 작업공간이 넓다는 것은 최대의 장점이다. 넓은 작업공간은, 손발을 움직여서 일을 하는 사람들이라면 공감할 수 있는, 공간적, 심리적 여유를 제공하기 때문이다.

그림4. 경부 중앙 림프절제술시에 좌측 그림처럼 로봇팔이 더 들려야 경부 중앙 림프절 절제술을 시행할 수 있다.

그러나 등잔 밑이 어둡다는 격언처럼 BABA는 경부중앙림프절절제술하는데 한계가 있다. 흉골과 쇄골 근처에 경부 중앙 림프절은 쇄골로 인해 로봇 기구들이 방해를 받아 접근이 어려운데. 특히 초음파 절삭기는 절삭과 봉합을 같이 해주는 기구로 꼭 필요하지만, 기구에 관절이 없어 원하는 각도로 꺾이지 않아 경부 중앙구획으로 접근이 어렵다. 이러한 한계를 극복하고자 하여 그림 4처럼 여성에서는 기구들을 들어 올려야 경부중앙구획에 접근을 시도하지만 한계는 여전하다.

이런 한계점이 있음에도 불구하고 BABA는 갑상선 전절제술에 용이하고, 갑상 설하 낭종 절개술, 턱밑침샘 절개술, 5cm 이상의 갑상선 결절, 커져있는 갑상선 수술도 용이하다는 많은 장점을 가지고 있어서 그 효용성은 다른 수술법이 개발되더라도 그 입지는 여전하다.

결론적으로, BABA는 초기 갑상선암, 큰 종양, 갑상 설하 낭종, 턱밑침샘 종양의 수술 시에 유리하고, 경부중앙림프절 절제술에는 한계가 있다. 이러한 장점과 단점을 알고 적용한다면 환자와 집도의 모두에게 만족할만한 성과를 가져올 것이다.


작가의 이전글로봇 갑상선 수술 이야기 1