House M.D. 시즌 1 1화

29/F, CC: seizure

by 이인성

주의: 이 문서는 드라마 <House (2004)>에서 다루어진 환자의 케이스를 기반으로 작성되었으며, 스포일러를 담고 있습니다.


Case

29세 여성. 한 달 전 첫 발작을 주소로 응급실에 내원하였다. 간헐적인 정신적 이상 및 실어증을 보이며, 정신상태는 악화되는 중이다.

직업은 유치원 교사이고, 평소 햄이 들어간 샌드위치를 즐겨 먹는 식습관을 가지고 있다. 뇌종양 및 신경학적 질환에 대한 가족력은 없다.

방사선 치료에는 반응이 없었으며, 대량의 스테로이드에 일시적으로 호전되었다가 급격하게 악화되면서 시야 장애 및 발작 후 심정지를 보였다.

혈액검사상 티아민 수치는 정상이다. Plain X-ray를 찍은 결과 허벅지(thigh)에 다음과 같은 소견이 발견되었다.

thigh plain X-ray


다음 중 가장 가능성이 높은 진단은?

(1) 베르니케 뇌병증 (Wernicke's encephalopathy)

(2) 뇌혈관염 (Cerebral vasculitis)

(3) 뇌종양 (Brain tumor)

(4) 뇌유낭미충증 (Neurocysticercosis)

(5) 크로이츠펠트 야콥병 (Creutzfeldt-Jacob disease)


답: (4) 뇌유낭미충증 (Neurocysticercosis)

해설:

Plain X-ray 상 대퇴골 (femur) 옆쪽으로 총알같이 생긴 갈고리촌충의 유충이 발견된 것이 뇌유낭미충증의 결정적인 증거입니다. 이외에도 평소에 햄을 즐겨 먹은 것, 스테로이드 단독 치료에 대해 호전 후 급격히 악화되는 경과를 보인 것 역시 뇌유낭미충증의 가능성을 뒷받침합니다. 다른 선지들의 가능성이 낮은 이유는 아래와 같습니다.

(1) 티아민 수치가 정상이므로 베르니케 뇌병증의 가능성은 낮다.

(2) 뇌혈관염은 스테로이드 투여 후 급격하게 악화된 경과를 설명할 수 없다.

(3) 뇌종양에 대한 가족력이 없으며, 방사선 치료에 반응이 없었으므로 가능성이 낮다.

(5) 야콥병 진단의 gold standard는 뇌 생검 (brain biopsy)인데, 현재 환자에서 시행하지 않았으므로 이에 대한 판단은 불가하다. 또한 스테로이드에 대한 반응 경과나 plain X-ray 검사를 설명하지 못하므로 가능성이 낮다.


Case 분석

드라마 하우스 시즌 1 1화에서는 뇌유낭미충증 (Neurocysticerosis)에 의해 발작 및 신경학적 증상을 보이는 29세 여성에 대한 케이스를 다루고 있습니다.

뇌유낭미충증은 갈고리촌충(Taenia solium)의 유충에 감염되면서 발생하는 기생충 질환입니다. 사람의 경우, 촌충에 감염된 돼지고기를 완전히 익히지 않고 먹거나, 충란에 오염된 물이나 음식을 먹으면서 감염됩니다. 주로 돼지를 키우는 개발도상국에서 발생하는 질환이지만, 해외 여행객의 증가 및 돼지고기의 수입으로 인해 선진국에서도 발생되는 사례가 존재한다고 합니다.

갈고리촌충 (Taenia solium)의 생활사. 충란에 오염된 물이나 음식을 먹으면 감염된다.


섭취된 촌충의 알은 위장에서 유충으로 부화하고, 혈류로 들어가 뇌 및 척수를 포함한 전신으로 퍼지면서 낭종을 형성합니다. 낭종은 보호벽 안에 있는 유충 무리를 의미하며 면역 억제 능력이 있기 때문에 이때까지는 큰 증상을 유발하지 않지만, 낭종이 퇴화하고 유충이 죽으면 면역 억제 능력을 잃게 되면서 염증을 유발하게 됩니다. 이때부터 발작, 성격 변화 및 정신 장애 등 신경학적 증상이 나타나는 것입니다. 간혹 낭종이 뇌척수액의 흐름을 방해하면서 뇌압이 증가할 수 있는데 이로 인해 두통, 메스꺼움, 구토 등의 증상이 함께 나타날 수 있습니다.


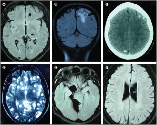
촌충을 직접 분리해 내기는 어렵기 때문에 영상학적 및 혈청학적 검사를 통해 진단합니다. 영상학적 검사상 뇌 CT 혹은 MRI 상 결절이 다량으로 관찰되며 hole-with-dot라는 특징적인 소견이 나타날 수 있고, LLGP를 이용한 혈청학적 검사상 촌충에 대한 항체를 검출할 수 있다는 것이 특징입니다. 나아가 드라마 속에서처럼 허벅지에서 유충의 흔적을 발견할 수 있고, 이는 때때로 진단에 유용한 정보로 사용될 수 있습니다.


뇌유낭미충증의 영상 소견

알벤다졸(albendazole) 혹은 프라지콴텔 (praziquantel)등의 구충제를 이용해 치료하는 것이 일반적입니다. 경우에 따라 염증을 조절하기 위해 스테로이드를 병행하거나, 뇌압을 낮추기 위해 배액관을 삽입하거나 낭종을 직접 제거하는 수술이 시행될 수도 있습니다.


드라마 속 쟁점 & 의문점

1. 방사선 치료나 스테로이드 투여와 같이 부작용이 상당할 수 있는 치료를, 진단적 목적으로 시행하는 의사 하우스의 행동은 정당화될 수 있을까?

2. 신경학적, 정신적 증상이 있는 환자가 치료거부권을 행사했을 때 이는 유효한가?

3. 스테로이드와 알벤다졸 병행 요법은 알벤다졸 단독 치료에 비해 얼마나 효과가 더 좋을까?


한 줄 코멘트

돼지고기는 꼭 익혀 먹자.


출처

1. Garcia HH, Nash TE, Del Brutto OH. Clinical symptoms, diagnosis, and treatment of neurocysticercosis. Lancet Neurol. 2014 Dec;13(12):1202-15. doi: 10.1016/S1474-4422(14) 70094-8. Epub 2014 Nov 10. PMID: 25453460; PMCID: PMC6108081.

2. Bustos JA, Garcia HH, Dorregaray R, Naranjo M, Pretell EJ, Gonzalez AE, Gilman RH; Cysticercosis Working Group in Peru. Detection of muscle calcifications by thigh CT scan in neurocysticercosis patients. Trans R Soc Trop Med Hyg. 2005 Oct;99(10):775-9. doi: 10.1016/j.trstmh.2005.04.011. PMID: 16099008.

3. https://www.msdmanuals.com/ko-kr/%ED%99%88/%EB%87%8C, -%EC%B2%99%EC%88%98, -%EC%8B%A0%EA%B2%BD-%EC%9E%A5%EC%95%A0/%EB%87%8C-%EA%B0%90%EC%97%BC/%EA%B8%B0%EC%83%9D%EC%B6%A9-%EB%87%8C-%EA%B0%90%EC%97%BC



keyword