brunch

무릎에서 소리가 나는 반월상연골파열증상

by 에이스병원


야외활동이 많아지는 봄이 되었습니다. 햇빛을 받으며 기분이 좋아진다는 장점도 있지만 그동안 사용하지 않던 우리 몸의 관절부위에 무리가 가해져 질환이 생길 위험도 높아지는데요.



그중에서 오늘은 안산 관절 척추 에이스병원 김학수 원장과 함께 반월상연골파열에 대해 알아보겠습니다.




_M5O5077.jpeg 모든 연령에서 발생하는 반월상연골파열의 원인과 증상에 대해 알려주는 안산 관절 척추 에이스병원 김학수 원장




전 연령층 모두에게 발생할 수 있는 질환


반월상연골파열은 질환명만 들으면 정말 심각한 상황이라고 생각하게 되는데요.


그러나 반월상연골파열은 전 연령대에서 발생할 수 있는 질환이랍니다.


보통 젊은 층에서는 과격한 운동이나 사고 등으로 인한 외상이 대부분이며, 중년 이상의 연령층에서는 나이가 들어감에 따라 연골이 약해지고 얇아져서, 일상생활 중에서 발생할 수 있습니다. 이렇게 나이가 들어 생기는 것을 퇴행성반월상연골파열이라고 하지요.



연골판위치와기능.PNG




반월상연골은 무릎의 쿠션 역할



반월상연골판은 무릎 관절에 가해지는 충격을 흡수하는 매우 중요한 역할을 하는 기관입니다. 그런데 만일 이런 반월상연골이 찢어지거나 제거된다면 어떤 상황이 벌어질까요?



_M5O5039.jpeg 반월상연골파열을 치료하지 않으면 발생하는 질환에 대해 설명하는 안산 관절 척추 에이스병원 김학수 원장



김학수 원장님“외상이나 퇴행으로 인해 반월상연골이 제 역할을 하지 못한다면 무릎관절에는 정상보다 2~3배의 힘이 가해지면서 관절연골이 모두 손상되고, 관절염까지 이어지게 됩니다. 더군다나 반월상연골은 충격을 흡수하는 역할만이 아니라 관절이 흔들거리는 것을 막는 안정기능, 관절액을 원활하게 분산시키는 윤활기능 등 많은 기능을 가지고 있어 매우 중요한 역할을 하는 기관이지요”라고 조금은 생소한 반월상연골에 대해 자세히 설명해 주시네요.




반월상연골파열 증상



반월상연골파열 증상으로는 관절면의 통증이 대표적입니다. 또한, 관절 안에서 걸리는 느낌이나 소리가 나기도 하지요.


그러나 대부분은 무릎을 구부리거나 펼 때 불편하거나 통증이 느껴지지 않아서, 그리고 무릎에 힘이 들어가지 않아 반월상연골파열을 의심하게 되는데요. 처음에는 걷거나, 뛰거나, 계단을 내려올 때 무릎이 불편했다면 점차 계단을 내려갈 때 갑자기 무릎에 힘이 빠져 휘청거리는 느낌이 들거나 가만히 서있거나 심지어는 잘 때 무릎에서 통증이 느껴집니다. 무릎 관절을 움직일 때마다 통증과 함께 무릎 내부에서 파열음이 나기도 한답니다.




IT_tc02470020370.jpg




덧붙여 반월상연골이 파열되면 관절 내 염증이 생겨 부종이 나타날 수 있어요.


김학수 원장님“평소에는 반월상연골파열 증상이 나타나지 않다가도 양반다리를 하거나 쪼그리고 앉는 것처럼 특정자세를 했을 때, 계단을 오르내리는 것처럼 무릎을 구부릴 때 통증이 심해지기도 합니다”라고 통증양상을 알려주시네요.




퇴행성관절염으로 이어질 수 있으니 주의!!



반월상연골파열 증상이 나타나면 빠른 시일 내에 치료를 받아야 하는 이유 중 하나가 그냥 방치한 반월상연골파열이 시간이 가면서 퇴행성관절염으로 이어지기 때문인데요.


반월상연골판이 닳거나 찢어지게 되면 그 충격이 그대로 뼈에 전달되고 일단 한번 찢어진 연골의 손상이 무릎의 움직임으로 가속화되면서 퇴행성관절염이 발생할 수 있습니다.



IT_twi001t3394116.jpg




조기치료가 중요하니 반월상연골파열 증상 꼭 알아두세요!!



간혹 반월상연골파열 증상이 나타나도 비용에 대한 부담으로 병원을 찾지 않는 경우가 있는데요.


김학수 원장님“초기에 병원을 찾아 보조기 착용, 약물치료, 주사치료, 운동치료 등 적절한 치료를 받는다면 증상이 호전되지만 오랜 기간이 지난 후 병원을 찾아 상당히 진행이 된 후라면 수술 밖에는 치료가 없을 수 있습니다”라고 설명하며 안산 관절 척추 에이스병원에서는 환자의 개별 상태에 맞춰서 치료가 이루어지니 비용에 대한 부담으로 병원을 찾지 않는 일은 피하라고 조언하시네요.



IT_tc00550000048.jpg




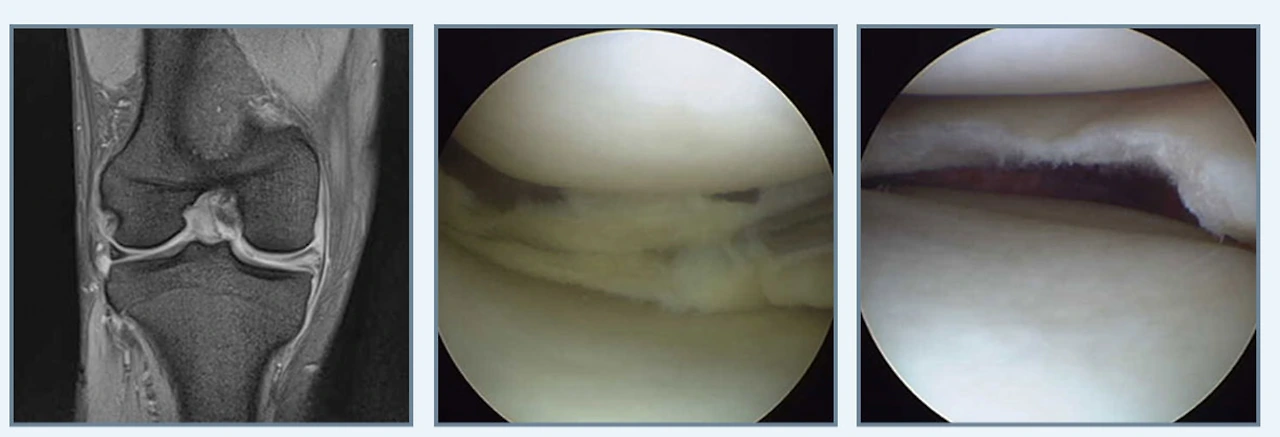
만일 반월상연골파열 증상을 그냥 넘겼다가 병원을 찾았다면 수술적 치료를 해야 하는 경우가 많은데요.


수술적 치료에는 개별 환자의 반월상연골의 파열 정도에 따라 연골판 부분 절제술, 연골판 봉합술, 연골판 이식술이 있습니다.


연골판 부분 절제술이란, 파열된 연골판 조직을 제거하고 온전한 연골판 조직을 보존해 기능하도록 하는 수술방식으로, 수평형 파열과 피판형 파열과 같은 파열 형태에 따라 수술이 진행됩니다.



연골판부분절제술.PNG




다음 연골판 봉합술은 연골판의 기능을 보존하기 위해 후각부의 파열을 봉합하는 것으로 체중을 가하거나 심한 운동을 할 경우에 재발할 수 있다는 단점이 있어 면밀한 검사가 필수입니다.




연골판봉학술.PNG



마지막 연골판 이식술은 파열된 반월상연골을 대신할 연골판을 이식하는 방법이지요.




연골판이식술.PNG




일상에서 경험하는 반월상연골파열 증상은 그냥 지나치기 쉽습니다. 그러나 작은 증상이라도 놓치지 않는다면 큰 통증과 수술까지 가는 것을 방지할 수 있어요.


keyword
작가의 이전글봄맞이 대청소 후 통증 심해진 손목터널증후군치료