brunch

흔한 무릎 손상인반월상연골파열원인과 치료법

by 에이스병원

앉고 일어서고, 걷고 뛸 때를 비롯해 사소한 움직임을 줄 때도 무릎 관절을 움직이는 경우가 많아요. 이렇듯 우리가 신체를 움직일 때 항상 사용하는 무릎에는 다양한 질환들이 발생하는데요. 조금은 생소한 질환인 반월상연골파열은 무릎 손상 중 가장 흔한 증상 중 하나입니다.



전연령대에 발생하는 반월상연골파열, 젊다고 방심하지 마세요



무릎에 발생하는 질환의 가장 큰 원인은 노화로 인한 것이지요. 그러나 반월상연골파열은 전 연령대에 발생할 수 있는 질환입니다. 실제 나이가 들어 연골이 약해지고 얇아져 일상생활에서 발생하는 퇴행성 반월상연골파열이 아니더라도 무릎이 뒤틀려서 발생하게 되는 경우도 많아 취미로 운동을 즐기는 40대 이전의 젊은 층에서도 반월상연골파열 환자들이 증가하고 있어요. 에이스병원 관절센터의 정형외과 전문의인 오진철 원장님“어떤 연령의 누구라도 반월상연골이 파열될 수 있다”고 무릎 건강에는 나이가 따로 없다고 당부하십니다.




_M5O4026.jpg "반월상연골파열은 운동을 즐기는 젊은 층에게도 발생할 수 있는 흔한 무릎질환"이라는 오진철 원장님




무릎에서 소리가 난다면~



반월상연골판은 무릎관절에 가해지는 비/전형적인 충격을 흡수하는 중요한 역할을 합니다. 이외에도 반월상연골은 관절이 흔들거리는 것을 막는 안정 기능, 관절 액을 원활하게 분산시키는 윤활 기능 등 많은 기능을 가지고 있어요.

그런데 이런 반월상연골이 찢어지거나 제거되어 제 기능을 할 수 없다면 무릎 관절에는 정상보다 2~3배의 힘이 더 걸리게 되어 통증 발생 및 관절연골이 다 헤어지는 외상 후 관절염이라는 합병증이 오게 되지요.




pixta_66164702_M.jpg




반월상연골파열이 생기면 부종과 함께 관절 내 염증으로 인해 관절 안쪽 또는 바깥쪽에 통증이 나타납니다. 관절 안에서 걸리는 느낌과 소리가 나기도 하고요 계단을 내려갈 때 갑자기 무릎에 힘이 빠져 휘청거리게 되기도 하지요. 심한 경우에는 무릎을 구부리고 펼 때 걸리는 느낌이 듭니다. 처음에는 걷거나, 뛰거나, 계단을 내려올 때 통증이 느껴지지만 시간이 지날수록 서있거나, 가만히 있을 때, 잘 때도 통증이 느껴집니다.



pixta_74782525_M.jpg



파열 모양과 크기, 부위에 따라 비수술적 치료가 가능해요



반월상연골판이 파열되었더라도 비수술적 치료가 가능한데요. “파열이 작고 바깥쪽에 위치해 있고 증상이 경미한 경우, 증상이 지속되지 않고 간헐적으로 나타나는 경우, 무릎 불안정성이 없는 경우, 수평파열로 증상이 경미한 경우는 비수술적 치료가 가능하다”라고 오진철 원장님은 말씀하십니다.

보통 비수술적 치료로는 RICE 요법과 통증과 부기를 줄여 주기 위한 항소염제를 투여하는데요. RICE 요법이란 휴식(Rest), 얼음주머니나 얼음 백을 사용한 냉찜질(Ice), 붕대를 이용한 압박(Compression), 다리를 심장보다 높게 올리는 방법(Elevation)을 말합니다.



pixta_80490519_M.jpg



수술로 연골판 조직을 보존해 기능을 할 수 있도록 해줍니다



비수술적 치료를 할 수 없는 경우에는 수술을 고려해야 합니다. 에이스병원에서는 연골판 조직을 보존해 기능을 제대로 수행할 수 있는 수술은 크게 연골판 부분 절제술, 연골판 봉합술, 그리고 연골판 이식술을 시행합니다.



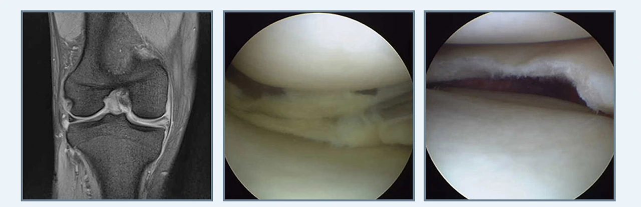
연골판 부분절제술



부분절제술.PNG



연골판이 파열되었을 때 파열된 연골판 조직을 제거하고 온전한 연골판 조직을 보전해 기능을 할 수 있도록 하는 수술입니다. 크게 수평형 파열과 피판형 파열로 구분되는데요. 오진철 원장님“별다른 외상 없이도 주 후방의 연골판 자체의 퇴행성 변화에 의해 발생하는 수평형 파열은 온전한 위쪽의 연골판 조직이 기능을 할 수 있도록 손상된 아래쪽 연골판 조직을 부분적으로 제거하고, 파열된 연골판 조직이 피판 형태로 떨어져 관절운동 시 충돌을 일으켜 심한 통증을 일으키는 피판형 파열은 불안정한 파열 부위를 부분 절제해 증상을 소실시킬 수 있습니다”라고 연골판 부분절제술에 대해 자세히 설명해 주시네요.



연골판 봉합술



봉합술.PNG



연골판을 봉합해 제 기능을 수행하도록 하는 연골판 봉합술은 크게 후각부 파열과 양동이 손잡이형 파열로 나뉩니다. 연골판의 기능을 보존하기 위해 연골판과 뼈가 부착되어 있는 부분의 가장 후방부인 후각부의 파열을 봉합하는 후각부 파열, 파열부위가 손잡이 젖혀지듯이 움직이기 때문에 관절 사이에 끼어 무릎이 움직이기 힘들어지는 양동이 손잡이형 파열이라고 합니다.

특히 무릎을 구부리는 동작에서 많은 스트레스를 받게 되는 후각부 파열은 생활 습관상 양반다리를 많이 하게 되는 좌식 생활권인 동양권에서 많이 발생합니다. 덧붙여 후각부가 파열되면 연골판의 뿌리가 견고하게 고정되지 않기 때문에 체중이 가해졌을 때 연골판이 고정되지 못하고 밖으로 이탈되는 현상이 발생되어 관절염이 급속하게 진행되기도 한답니다.



연골판 이식술



이식술.PNG



연골판에 외상 또는 퇴행성 파열이 발생하여 기능이 소실될 정도로 전체 또는 부분 절제되었을 때 연골판의 기능을 보존하기 위해 동종 연골판을 이식하는 수술로 이식된 연골판은 관절연골을 보호하는 기능을 합니다.



_M5O5897.jpg 무균수술센터와 체계적인 진료 시스템으로 환자들을 치료하는 에이스병원



에이스병원에서는 세계적인 클리닉들과 똑같은 수술장비와 철저한 무균관리 소독시스템을 유지하고 있으며 전담 재활치료팀을 운영해 수술 후에 환자들이 빠르게 일상으로 복귀할 수 있도록 하고 있어요.


keyword
작가의 이전글"등이아파요" 등 통증으로 알 수 있는 관절질환