brunch

왜 그들은 위대하고 나는 아닌가?

by 수퍼문

평범, 아니 평범 아래, 상위 60%, 인문계 턱걸이

재수생, 보류 140번, 사업 망함, 빚 3억 5천



내 30년의 인생을 몇 가지 단어들로

압축할 수 있다면 위와 같다.



무언가 특출 나게 잘하는 것이 하나도 없었다.

그때는 그게 내 운명이었다.



무하마드 알리, 메시, 타이거 우즈, 아인슈타인, 피카소, 스티브 잡스

그들과 나는 무엇이 다르길래 그들은 위대하고 나는 아닐까?



그들도 두 눈과 두 다리 두 팔이 달렸고

나도 그런데 왜 이렇게 엄청난 차이가 날까?



항상 궁금했다.

근본적인 이유를 알고 싶었다.



근본적인 이유를 알아낸다면

그들처럼 위대해지지는 못할지라도

탁월해질 수 있지 않을까?



그 답을 찾았다.

그 답은 바로 우리 두뇌에 있었다.



인간은 과학이 발전한 이래

뇌에 대한 궁금증을 증폭시켜 왔다.



그리고 뇌에 대해서 상당히 많은 것들을 알아냈다.

하지만 아직도 여전히 뇌는 미지의 세계이다.


photo-1617791160536-598cf32026fb?q=80&w=1000&auto=format&fit=crop&ixlib=rb-4.0.3&ixid=M3wxMjA3fDB8MHxwaG90by1wYWdlfHx8fGVufDB8fHx8fA%3D%3D

이 신비로운 뇌에 답이 들어있다.



뇌는 너무나 복잡하게 이루어져 있고

정교하게 작동하지만

우리는 기본적인 것들만 이해해도 된다.



뇌를 구성하고 있는 물질에는 대표적으로 뇌세포가 있다.

뇌세포 = 신경세포 = 뉴런(Neuron)이라고 생각해도 된다.



yjc9DVYflTw_N-8ugSsg9Qx9CRQf0AFCkLOxkinzcQikNG7PNq5WLlkQqQRNdrLqPO3OVHm-WiFkt6BYcXfKuUQ0cn52IG24K0leQh4dhdJNI1CiPJEUrN3T2qKl8uU4ocfSgEy_wAPqAyPcux0iog.png

뉴런은 대략적으로 이렇게 생겼다.

이 뉴런은 일반적으로 우리 두뇌에 1000억 개가 있다고 알려져 있다.


d.png

이 뉴런은 미세 전기로 통신한다.

방향은 머리 부분(세포체)에서 꼬리 부분(축삭말단)이다.



sas.png

우리 두뇌에는 뉴런이 이런 식으로 복잡하게 얽혀있다.

실제 사진을 보면 이렇다.



20240403_075057.png




yjc9DVYflTw_N-8ugSsg9Qx9CRQf0AFCkLOxkinzcQikNG7PNq5WLlkQqQRNdrLqPO3OVHm-WiFkt6BYcXfKuUQ0cn52IG24K0leQh4dhdJNI1CiPJEUrN3T2qKl8uU4ocfSgEy_wAPqAyddPcux0iog.png

뉴런의 꼬리 부분(축삭말단)은 그림상에는

몇 개 안 되는 것으로 보이지만

이 부분은 무려 약 10,000개의 가지가 있다.



ddfd.png

뉴런의 꼬리 부분은 다른 뉴런의 머리 부분과 연결되는데

이 부분은 완전히 붙어있지 않고 조금 띄어져 있다.

이를 시냅스라고 한다.


3.png

이 시냅스는 연결부위를 뜻하며

인간 두뇌의 시냅스는 약 100조 개로 추산되고 있다.



시냅스는 화학적으로 통신한다.

이를 신경전달 물질이라고 하며

신경전달 물질에는 도파민, 엔도르핀, 세로토닌 등이 있다.



우리가 손을 들고 운동을 하고 책을 읽고 밥을 먹고 하는 우리의 모든 행동과 생각이

이 뉴런의 전기적 통신과

시냅스의 화학적 통신에 의해 가능하다.



이 글을 쓰며 키보드 두드리는 나의 손가락도

뉴런과 시냅스의 통신으로 인해 가능한 것이다.



뉴런과 시냅스는 많이 들어봤을지도 모른다.

여기에 딱 한 가지만 더 추가해 보자.



바로 미엘린이다.

yjc9DVYflTw_N-8ugSsg9Qx9CRQf0AFCkLOxkinzcQikNG7PNq5WLlkQqQRNdrLqPO3OVHm-WiFkt6BㅇYcXfKuUQ0cn52IG24K0leQh4dhdJNI1CiPJEUrN3T2qKl8uU4ocfSgEy_wAPqAyPcux0iog.png

미엘린은 전기적 통신을 하는 뉴런에

마치 비엔나소시지 마냥 감겨 있다.



생각해 보면 우리 몸의 70%는 물로 이루어져 있고

뇌는 심지어 75%가 물로 이루어져 있다.



그렇다면 도대체 뉴런은

어떻게 전기적으로 통신을 하는 것일까?



20240403_083536.png

여기서 미엘린이 제 역할을 한다.

미엘린을 절연 테이프라고 생각하면 좋다.



미엘린은 외부와 뉴런을

구분 지어 전기가 잘 흐르도록 도와준다.



ㅇㅇ.png



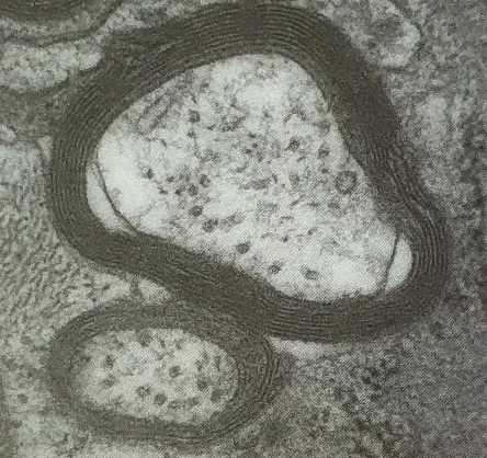
미엘린을 반으로 잘라내면

마치 나이테 같은 느낌을 준다.



우리가 특정한 목적을 가지고

특정한 연습에 집중할 때 미엘린은 천천히 감긴다.



1621039810492.jpg?type=w800 실제 미엘린 사진

그렇게 되면 뉴런의 절연율은 올라가고

전기적 통신의 속도는 엄청나게 빨라진다.


16840a958e24b2e51.jpg
66986105.gif



특정한 목적을 가지고

엄청난 몰입과 연습을 하게 되면



미엘린이 두껍게 감기게 되고

위와 같은 말도 안 되는 능력이 발현된다.



밝혀진 연구에 따르면

잘 감긴 미엘린이 있는 뉴런은 그렇지 않은

뉴런보다 최대 100배 빠른 속도로 전기적 통신을 한다.



이는 거북이의 이동속도가

150km로 달리는 자동차 속도로 바뀌는 셈이다.



또한 불응시간(한 신호와 다음 신호 사이에 필요한 대기 시간)이

30배 감소한다.



증가한 신호 속도와 감소한 불응시간의 효과가 합쳐지면

전반적인 신호처리능력이 약 3000배가량 증가하게 된다.



결론은 미엘린이 잘 감겨있어야

어떤 것에 특출 날 수 있다는 것이다.



그렇다면 어떻게 해야

미엘린을 잘 감을 수 있을까??



글이 길어지니

다음 글로 작성해 보겠다.



<탤런트 코드> 참고



----------------------------------------------------------------


변화를 시도했지만 잘 안 되나요?

무엇을 해야 할지 막막한가요?


근본적인 변화 없이는 매번 같습니다.

부자가 되고 성공하는 구체적 방법을 알려드립니다.


함께하면 빠르게 부자 되고 성공합니다.

수퍼문(초월) 네이버 카페

https://cafe.naver.com/supermoon0

keyword
작가의 이전글4분 이내로 달린다면 심장과 허파가 파열될 겁니다.