brunch

효모는 인간을 위해 술을 만들지 않는다.

원래 술은 미생물들의 처절한 생존 결과물이었다.

by 윤한샘

태초의 술은 무엇이었을까? 과일이나 꿀이 발효된 술, 아니 액체 비슷한 것일 가능성이 높다. 농익은 과일이 바닥에 떨어져 속살을 드러내면 미생물들은 시큼한 향과 약간의 알코올을 남기며 파티를 벌였다.


아마 근처에 있는 동물이 그 매력적인 잔여물을 먼저 경험하는 행운을 누렸을 것이다. 인간은 한참 뒤에야 우발적으로 탄생한 이 액체를 우연히 맛보았다. 하지만 과일과 꿀이 향기로운 액체로 바뀌는 비법이 드러나자, 술은 인류의 가장 친한 친구가 됐다.

메소포타미아 시대 맥주 기록 @윤한샘

애초 술에는 신의 가호가 필요했다. 정성을 들이고 보듬을수록 신은 인간에게 알코올의 축복을 허락했다. 밋밋한 물과 달리 과일과 꿀이 변한 액체는 맛있었고 힘을 북돋았으며 기분을 좋게 했다. 게다가 마셔도 배가 아프거나 죽지 않았다.


술은 국가적 행사에서는 축제를 위한 음료로, 노동이 끝나면 받는 대가로, 친구와 이야기꽃을 피우게 하는 마중물로 함께 했다. 허나 술이 인류의 삶에 정착할수록 이상한 착각이 시나브로 스며들었다. 술이 인간을 위해 존재한다는 위험한 독선, 이 독선은 남용과 중독이라는 파멸을 낳았다.


처절한 생존의 결과물, 술


지구 생태계에서 미물들의 역할은 인간보다 위대하다. 식물이 광합성으로 만든 열매는 포도당의 결합체인 탄수화물로 이루어져 있다. 초식동물은 열매를 먹고 탄수화물을 포도당으로 분해한 후, 생명을 이어간다. 식물이 기꺼이 동물의 먹이가 되는 이유는 번식 때문이다. 자신 대신 씨앗을 퍼뜨릴 수 있는 동물은 고마운 존재다.


탄수화물은 식물에게도 에너지원이 된다. 적절한 온도와 물이 제공되면 식물은 열매의 탄수화물을 해체해 포도당으로 바꾸고 힘껏 뿌리를 내린다. 땅에 내린 뿌리는 성장하기 위한 동력이 필요하다. 이때 미생물은 생태계의 밑바닥에서 원초적이고 중요한 역할을 담당한다.


미생물은 동물과 식물의 사체를 유기물로 분해하고 흙으로 돌려보낸다. 식물은 여기서 영양분을 얻고 다시 새로운 생명을 잉태한다. 그런데 눈에 보이지 않는 녀석들이 그 과정에서 인간에게 베푼 시혜가 있다. 발효다.


발효는 철저히 인간의 관점이 섞인 단어다. 발효와 부패는 발생 기작이 동일하다. 미생물들은 대부분의 유기물을 대사 한다. 그 과정에 인간에 대한 고려는 없다. 유기물과 미생물의 종류도 상이하고 결과도 한 가지로 정의하기 힘들다. 하지만 과정이 어떻든 우리는 결과물이 인간에게 해로우면 부패, 그렇지 않으면 발효라고 부른다.

대영제국에 있는 메소포타미아 시대 맥주의 기록 @윤한샘

분명 인간에게도 의도치 않은 모험의 결과였다. 아마 오래된 음식을 먹은 사람은 대부분 죽거나 아팠을 것이다. 우연히 누군가 제한된 환경에서, 특별한 미생물이 관여한 음식을 먹고 탈이 나지 않았고, 그 경험이 오랫동안 전수되며 발효 식품이 탄생했다.


술은 다른 발효 식품보다 섬세한 관심이 필요하다. 물이라는 매개체는 흔들리기 십상이다. 알코올이라는 물질을 만드는 미생물도 흔치 않다. 자칫 시간과 조건이 조금이라도 뒤틀리면 가혹한 결과물을 얻게 된다.


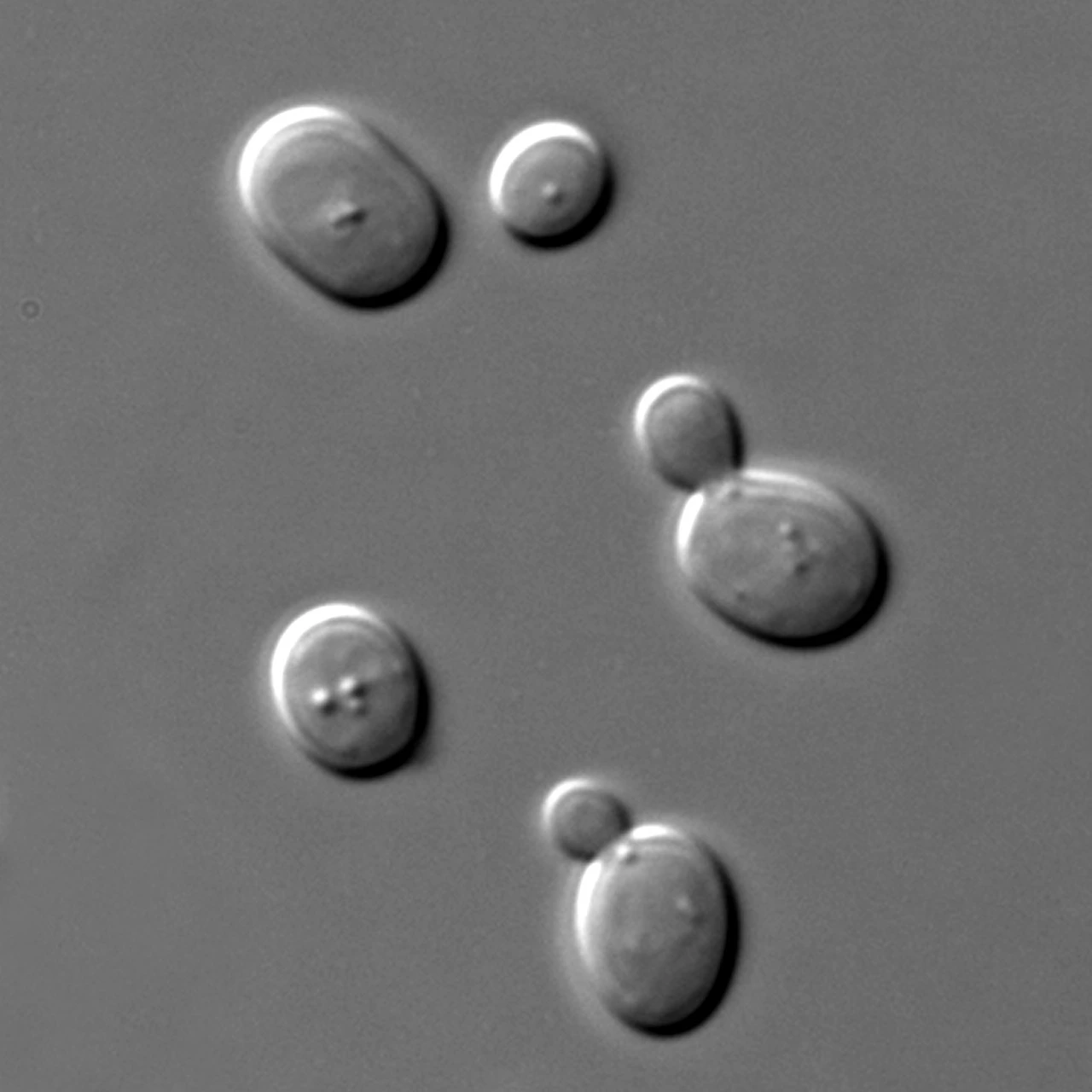
이상하고 아름다운 효모의 세계


술에 관여하는 미생물은 독특하다. 간장이나 김치에는 균(박테리아)이 관여하지만, 술은 효모(이스트)의 결과물이다. 균과 효모는 완전히 다른 군이다. 균이 단순 분열을 통해 번식을 하는 원핵생물이라면 효모는 체세포 분열을 하는 진핵생물이다. 근원적으로 효모와 인간은 같다.


효모와 인간의 공통점은 체세포 분열 번식 하나만 있는 게 아니다. 형체를 이루는 세포벽 안에는 미토콘드리아를 갖고 있어 산소가 있는 환경에서 호흡을 한다. 포도당과 산소를 먹고 에너지를 얻으며, 이산화탄소를 뱉고 물을 만드는 모든 과정은 우리와 다를 바가 없다. 그러나 효모와 인간이 다른 점은 환경이 극단적으로 바뀌었을 때 드러난다.

효모

만약 지금 산소가 갑자기 사라졌다고 가정해 보자. 허약한 인간은 2분도 채 안 되어 모두 사망할 것이다. 산소가 들어오지 않아 생명 활동에 필요한 에너지를 만들어 내지 못하기 때문이다. 하지만 효모는 다르다. 이 녀석들은 바로 죽지 않는다. 대사 시스템을 바꿔 산소가 없는 환경에서도 어떻게든 생존을 도모한다.


미량의 당이 있다면 효모는 산소가 없어도 생존에 필요한 최소한의 에너지를 만들어 낼 수 있다. 이때 나오는 것이 이산화탄소 그리고 바로 에탄올, 즉 알코올이다.


코로나 시절 경험했듯이 알코올은 항균성이 있다. 효모가 만드는 알코올은 먹이 경쟁자가 될 수 있는 다른 미생물의 접근을 막는다. 이렇게 무산소 환경에서 효모가 살기 위해서 당을 먹고 이산화탄소와 알코올을 만드는 과정을 알코올 발효라고 한다.


술에 들어있는 알코올은 인간이 아닌 효모가 생존을 위해 남기는 흔적이다. 이렇게 순수한 알코올을 생산하는 미생물은 찾기 힘들다. 인간은 이런 효모의 처절한 생존 결과물에 발효라는 이름을 붙이고, 술이란 이름 아래 즐기고 있으니, 아이러니하지 않은가?


보리, 맥주의 주인공이 되다.


과일이나 꿀의 단순 당을 발효해서 만든 와인이나 미드와 달리 곡물이 주인공인 맥주는 복잡다단한 과정을 품고 있다. 곡물 속 탄수화물은 당으로 분해해야 효모가 먹을 수 있다. 약 1만 년 전 메소포타미아에서 맥주가 태어났을 때, 건조시킨 곡물을 갈아 만든 빵이 1차적인 역할을 했다.


물론 효모의 먹이가 되기 위해서는 세포 단위의 분해가 일어나야 한다. 곡물을 빻거나 분쇄하는 정도로 될 일이 아니다. 탄수화물을 당으로 바꾸기 위해서는 효소가 필요하다. 효소는 촉매제 역할을 하는 단백질이다. 가장 비근한 예로 침에 있는 아밀레이즈 또는 아밀라아제를 들 수 있다. 아밀레이즈는 탄수화물 가수분해효소로 적당한 온도의 물속에서 전분을 당으로 쪼개준다.


포도는 그 자체로 단당이기에 효소가 필요 없었지만 맥주는 달랐다. 도대체 수천 년 전에는 무슨 수로 효소를 구했을까? 설마 침 속에 있는 아밀레이즈를 이용했던 건 아닐까?


술의 역사를 보면 침에 있는 아밀레이즈를 사용한 예들을 볼 수 있다. 지금도 아프리카 원주민들이 침을 뱉어 술을 만드는 경우를 볼 수 있다. 초기 맥주 또한 먹던 빵이나 곡물 죽 속에 남아있는 아밀레이즈가 기폭제 역할을 했을 것이다. 허나, 도시국가 단위로 성장한 메소포타미아에서 침 속 아밀레이즈로 맥주를 양조하는 건 너무나 비효율적이다. 도대체 효소는 어디에 있는 것일까?


답은 보리였다. 보리에는 탄수화물을 당으로 전환할 수 있는 아밀레이즈가 들어있었다. 고대인들은 싹튼 보리를 건조시킨 후, 빻아서 따뜻한 물에 넣으면 당물이 된다는 사실을 오랜 경험으로 알았다. 우리 선조들도 같은 원리를 이용해 식혜를 만들었다. 밀, 귀리, 호밀 등 다양한 곡물을 제치고 보리가 지금까지 맥주의 주재료로 남아있는 가장 결정적인 이유다.


인간이 중요한 술, 맥주


19세기 와서야 효소와 효모 그리고 발효의 원리가 과학적으로 밝혀졌으니, 인간이 술을 향유한 대부분 시간, 양조는 경험과 전수의 과정이었다. 특히 다른 술에 비해 맥주는 인간의 개입이 더 두드러졌다.


포도와 꿀과 달리 곡물은 빻아야 했고 물을 덥히고 저어야 비로소 당물이 나왔다. 인간의 손길이 더 필요했지만, 오히려 그 과정은 인간이 더 간여할 수 있다는 것을 반증했다. 맥주 양조사는 마시기 수월하고 보존도 오래할 수 있는 방법을 고심했고, 각종 허브와 향신료를 대안으로 찾았다.


그루트라고 불리는 허브 향신료 믹스는 단맛이 강조되는 맥주에 쓴맛을 부여해 균형을 맞추고 복합적인 향을 부여했다. 알코올이 높지 않아 쉽게 상할 수 있는 맥주에 약간의 보존성도 추가했다. 어떤 허브와 향신료를 선택하는지에 따라 맥주는 색색의 옷을 갈아입었다.

건조 홉들 @윤한샘
다양한 맥아들

16세기 들어서는 홉이라는 식물이 그루트를 대신했다. 홉은 더 다채로운 향을 갖고 있었고 무엇보다 보존성이 뛰어났다. 끓는 물에 넣으면 쓴맛도 강력해 맛의 범위를 넓힐 수 있었다. 어떤 홉을 어느 타이밍에 얼마나 넣는지에 따라 맥주는 천차만별의 모습을 띠었다. 그 속에서 양조사의 아이디어와 경험은 맥주 세계를 무한히 확장시켰다.


건조 기술이 발달될수록 맥아의 색도 다양해졌다. 아주 밝은 색부터 완전히 검은색까지, 맥주의 색은 변화무쌍해졌다. 효모 또한 인간이 원하는 방향으로 함께 진화했다. 19세기 이후 파스퇴르, 코흐, 에밀 크리스티안 한센 같은 미생물학자들은 효모를 길들이는데 혁혁한 공을 세웠다.


맥주, 무한한 세계로 향하는 여행

닌카시에게 바치는 헌시

닌카시, 당신은 꿀과 함께 큰 삽으로 빵의 도우를 만드시네.

닌카시, 당신은 큰 틀에서 빵을 구우시고, 곡물을 정리하시네.

닌카시, 당신은 땅에서 맥아를 만드시고, 당신의 개로 하여금 지키게 하시네.

닌카시, 당신은 큰 통에 맥아를 섞으시고, 위아래로 저으시고 저으시네.

닌카시, 당신은 뜨거운 죽을 큰 통에 뿌리시고 차갑게 식히시네.

닌카시, 그 훌륭한 달콤한 맥즙을 손에 놓으시고 꿀과 와인과 함께 맥주를 만드시네.

닌카시, 발효통 안에서 울려 퍼지는 즐거운 거품소리를 만드시네.

닌카시, 당신은 유프라테스 강과 티그리스 강의 물결처럼 맥주를 통으로 옮겨 담으시네.


<메소포타미아 맥주의 여신, 닌카시에게 바치는 헌시 중>


지금의 맥주와 중세의 맥주, 더 나아가 메소포타미아 시대의 맥주는 색과 향미, 모두 다를 것이다. 하지만 기원전 쓰인 <닌카시에게 바치는 헌시>를 보면 재료와 과정은 수 천 년이 지난 지금과 크게 다르지 않다. 맥주 정체성의 뿌리는 바로 여기에 있다.


양조사는 21세기의 닌카시다. 80여 종류가 넘는 맥아, 200여 종의 홉, 수 백 개의 효모 그리고 각종 미네랄이 섞인 물은 양조사의 철학과 기술에 따라 수 만 가지의 맥주로 거듭난다. 철학 뒤에는 인류가 쌓아놓은 문화가 있다. 시작이 미약했던 맥주는 끝없이 변화하며 창대해지고 있다.


보리, 홉, 효모 그리고 물, 맥주를 이루는 재료들이 맥주로 변해가는 과정으로 초대한다. 단맛과 쓴맛은 어떻게 나는지, 발효 속에서 효모는 무슨 일을 하며, 그리고 물은 왜 가장 중요한 근본인지, 짧은 여행을 떠나보려 한다. 그 전에, 인간에게 술을 선물한 눈에 보이지 않는 친구들에게 감사의 인사를 했으면 좋겠다. 효모야, 땡큐.


keyword
매거진의 이전글효모, 신이 내린 발효 마법사