뇌를 연구한다는 것

뇌과학자 블로그

by 지식한잔


우리는 뇌를 어떻게 연구할 수 있을까? 방법은 여러 가지가 있다. 그리고 이 방법들은 그 연구의 타깃 사이즈 그리고 타깃의 기능 정도에 따라서 달라진다.


Brain-illustration.jpg


우선 첫 번째로는, 인간의 뇌를 연구하기에 앞서 다른 포유류의 뇌를 연구하는 방법이 있다.

이러한 방법은 우리의 생물학적인 지식을 바탕으로 하는데, 현재 지구에 있는 모든 생물은 진화적인 조상을 공유하며, 그 공통조상이 같을수록 더욱 많은 형질을 공유한다는 지식이다. 그렇기 때문에, 우리는 우리와 진화적으로 가까운 생물들을 인간 대신 사용하여 연구한다. 예를 들어, 쥐, 원숭이 등이 대표적인데, 원숭이의 뇌를 연구하는 것은 원숭이가 그만큼 더 크고 더욱더 많은 윤리적인 사항이나 위생적인 사항들이 고려되기 때문에 쥐의 뇌가 더욱더 많이 연구된다.

monkey-test1.jpg?width=982&height=726

그리고 특히 쥐를 연구할 때는 연구하는 방법이 인간을 연구하는 방법보다 조금 더 실험적이다. 예를 들어, 파킨슨병이나 알츠하이머를 연구할 때, 인간에서는 할 수 있는 방법이 상당히 제한적인 반면, 쥐를 이용하면, 어떠한 유전자가 파킨슨병이나 알츠하이머를 유발하는지 이해하기 위해, 우리가 알고 있는 유전적 지식상 그러한 병을 유발할 것으로 여겨지는 유전자를 제거한 쥐를 만들고 동시에 이 유전자를 갖고 있는 쥐를 만든다. 그렇게 해서 이 두 그룹의 쥐를 똑같은 환경에서 기르고 그들의 행동학적 패턴을 기록하고 나이가 되면 이 쥐들의 뇌를 꺼내어 관찰한다. 실제로 어떠한 변화가 행동학적 패턴 변화와 연관관계가 있는지 알아보기 위해.

20151022SFNCircuitDefects-844.jpg


원숭이를 연구할 때는 쥐보다는 제약이 크지만 사람보다는 제약이 적기 때문에 조금 더 높은 레벨의 연구를 할 수가 있다. 예를 들어서, 우리가 알고 있는 인공지능인 Artificial Neural Networks (ANNs) 혹은 Deep Convolutional Neural Networks (DeepCNNs) 같은 데에서 사용되는 Neural networks의 개념은 고양이나 원숭이의 시각피질 연구에서 얻어진 아이디어를 기반으로 만들어졌다.

1*VMYAQF9SCqJDlRnUI4RZWQ.png


다음으로 넘어가 사람의 뇌도 다방면으로 연구된다. 하지만, 사람의 뇌를 아무 때나 마구 열고 닫고 할 수 없기 때문에 사람 뇌 연구는 다양한 우회방법을 이용하여 연구된다.


가장 기본적으로는, 환자의 뇌에 종양이 있거나 하는 문제점등으로 인하여 뇌를 절개해야 하는 일이 생길 때, 환자의 동의를 받은 후 뇌 절개 수술을 받을 때 같이 안에 연구자들이 연구를 하고 싶은 부분에 전극을 꽂아놓는다.


가장 대표적인 예시가 일본에서 진행되었던 연구인데, 이 연구에서는 한 환자가 간질수술 때문에 뇌 절개 수술을 받아야만 했고, 이 뇌 절개 수술을 받을 당시 환자의 Fusiform이라는 대뇌피질 중 한 부분에 연구자들이 전극을 꽂아 놓았다. 이 피질은 인간의 뇌에서 얼굴 담당을 하는 것으로 알려져 있었는데, 확실한 인과관계적 증거가 없는 상황이었다. 환자가 수술을 받고, 연구자들이 환자에게 실험을 하였는데, 이 실험에서 환자는 몇 가지의 물체와 사람의 얼굴들을 관찰하였다. 그리고 환자가 관찰을 할 때마다 연구자들은 이 전극을 통하여 약한 전기신호를 흘려보냄으로써, 이 대뇌 피질의 활성도에 영향을 주었는데, 결과가 참 흥미로웠다.

F3.large.jpg


환자가 농구공을 볼 때, 이 피질에 전기를 흘려보내면, 환자는 농구공에서 사람의 눈 코 입이 보인다고 했으며, 환자가 사람의 얼굴을 볼 때, 이 피질에 전극을 흘려보내면, 환자는 사람의 얼굴이 만화 속의 캐릭터 얼굴처럼 이상하게 변해 사람의 얼굴을 제대로 인식할 수 없었다.


이와 비슷한 방법으로 사람의 뇌도 뉴런 수준에서 연구가 가능하며, 여러 국가에서의 협력적인 연구를 통해 아주 많은 데이터가 현재 쌓여있는 상태이다.


하지만, 사람의 뇌를 여는 일은 극히 적기 때문에, 이러한 방식의 연구는 한계가 명확하며, 전박적으로 연구될 수 없다.


그래서 사용되는 방법이 EEG (Electroencephalo graphy) 혹은 fMRI 등의 방법이 있다. EEG란 우리의 두계골에 최소 4개부터 최다 200개가 넘는 전극들을 연결시켜, 뇌 안에서 발생하는 전기신호를 간접적으로 측정하는 방법이다. EEG를 기반으로 할 수 있는 연구는 수면 연구 혹은 아주 큰 스케일의 뇌 활성도 패턴을 분석하는 연구는 할 수 있지만, 단위가 작아질수록 한계가 명확한 연구 방법이다.

419678_1_En_1_Fig1_HTML.gif

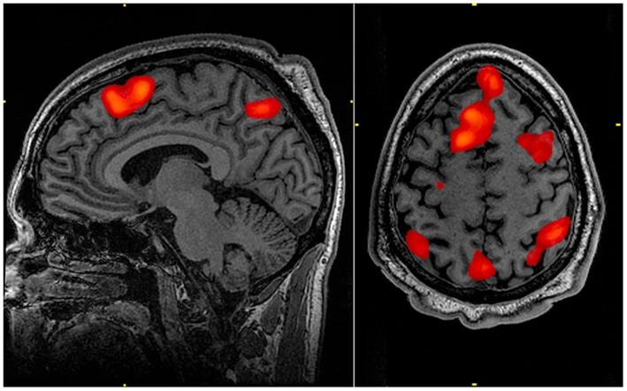
이와 반대로 fMRI (functional Magnetic Resonance Imaging)은 아주 다 방면에서 이루어지며 많은 한계점을 극복한 연구이다. MRI는 물리학적으로 원리가 아주 복잡하여 설명하기가 까다로우니 간단하게만 설명하면, MRI에는 두 가지 방식의 촬영기법이 있다. 첫 번째는, 노출을 장시간 동안 하여 아주 깨끗하고도 정밀한 이미지를 얻는 것이고, 두 번째는 노출시간을 짧게 여러 번 단층촬영을 진행하여 뇌에서 짧은 시간 동안 일어나는 일을 낮은 해상도로 관찰하는 것이다.

what-is-an-fmri-scan-and-how-does-it-work-fig1.jpg

여기서 핵심 지식은, 우리의 뇌는 일종의 모듈들의 집합체처럼 작동하는데, 예를 들어서, 각 부분들마다 담당하는 기능이 전반적으로 다르다. 그리고, 뇌의 특정 부분은 활성화되는 과정에서 에너지를 다른 부분들보다 많이 필요로 하고, 이는 그 특정 부분에 혈류량의 증가로 이어진다. 그리고 fMRI는 아주 간단하게 설명하여, 피실험자에게 특정 이미지들을 보여주면서, 그에 따라 뇌의 활성도 패턴을 관찰하는 방법이다.

0*Wm5SxicojqfrKw8a

그리고 내가 하고 있는 일이 이 fMRI를 이용하여 사람 뇌의 기능적인 특성들을 연구하는 것인데, 이는 고도의 통계학적 지식과 긴 시간의 코딩을 요구로 한다. 하지만, 그 결과로 얻는 결과물들이 아주 흥미롭고 그리고 이러한 결과물들을 통하여 새로운 인공지능 방법 등이나, 인간의 뇌에 대한 이해도가 높아짐으로써, 인간 본질에 대한 이해도가 높아져왔다.


인간의 뇌를 이해하고 결국 인간을 이해한다는 것은 아주 흥미로운 과정이다. 나는 뇌과학자이고 현재 fMRI를 이용하여 인간은 어떻게 해서 살아있는 것을 살아있지 않은 것과 구분하는지에 대한 뇌의 기능적 부분을 연구하고 있지만, 이를 위해서 분석기법으로서 많은 코딩과 통계학 공부를 진행함과 동시에 정말 많은 심리학 논문들을 읽었다. 그러한 과정을 통하여 인간의 뇌에 대한 지식이 높아졌고, 이는 사람을 관찰할 때에 생각하는 방법조차 바꾸어 놓았다.


오늘은 처음으로, 뇌과학자로서 무엇을 하는지에 대한 간단한 글을 써보았습니다.

혹시나 관심이 생겨 조금 더 깊이 이해하고 싶은 부분이 있으면 댓글에 남겨주세요.

keyword
매거진의 이전글자유 의지