brunch

수술 후 첫 정기검진-착한 뇌종양은 없다.

재활을 얼마나 열심히 했는지 알 것 같네요. 그동안 고생 많으셨어요.

by 씩씩한 스텔라

2024.12. 수술 후 첫 정기검진


수술 후 첫정기검진은 ct를 찍고 그 판독결과를

수술해 주신 교수님이 외래 전에 미리 확인을 하셔야 했기 때문에

아침 7시에 ct 촬영이 예약되어 있었다.


내가 사는 곳에서 당일 아침 7시까지 수술한 병원까지 갈 수 있는 방법은 없었기 때문에

전날 미리 서울에서 하룻밤 자야 했다.

수술하는 동안 간병으로 고생해 준 조카집에서 하룻밤 자기로 했다.


간병해 준 조카 퇴근시간에 맞춰 조카의 월세집에 있는 천호동 십자성마을로 갔다.

행여나 서울길에 어두운 이모가 헤맬까 봐 걱정이 됐는지

수시로 전화를 걸어서 얼마나 왔는지 확인하더니

내가 먼저 도착하기도 전에 굽은다리역에 와있었다.


혼자 사는 조카집은 반지하였다.

아직은 사회 초년생이라 모아놓은 돈이 별로 없었을 거라는 걸 감안해도

반지하라니... 서울 집값이 비싸다는 게 실감 났다.

현관문을 열자 흰털의 귀여운 강아지가 조카를 반겼다.


"이모 개털 알레르기 없지? 안 그래도 엄마가 우리 집에서 잤다가 병을 더 얻어가는 거

아니냐고 걱정하던데 ㅎㅎㅎ. 얘 이름은 소예야"

" 알레르기 없어. 괜찮아. 귀엽네 ㅎㅎㅎ. 나 간병해 주는 동안 소예는 누가 봐줬어?"

"엄마가. 이모 수술 동의서 써주러 올라왔을 때 엄마한테 맡겼지. 엄마가 이모 퇴원하는 날 바로 데려다주던데ㅎㅎㅎ"

"암컷이야?"

"아니, 수컷. 근데 수술했어"


사람을 좋아한다는 소예를 날 보자 반가워서 어쩔 줄을 몰라했다.

나 또한 달리 어떻게 해야 할지 몰라 한 손을 내밀었다.


촵촵촵

소예가 격하게 내손을 핥더니, 그것으로 부족했는지

거의 나한테 안기다시피 나한테 파고들었다.

소예가 다가올수록 내 몸은 점점 뒤로 기울어졌다.


그렇다고 소예가 싫은 건 아니었지만, 나에게는 아직 시간이 필요했다.

우리가 만난 지 아직 10분도 안 됐는데 소예는 혀로 내 얼굴까지 핥으려고 했다.


"어.. 어.. 아직은... 안돼. 나 뽀뽀해 본 지 오래됐거든"


소예가 민망하지 않게 정중하게 거절했지만,

이런 격한 애정표현에 당황한 나는

오늘 밤 제대로 자기는 틀렸구나 싶었다.


한 침대에서 벽 쪽에 나, 그 옆에 조카 발 밑에 소예.

불편해서 못 잘 것 같았지만 불을 끄자 나도 같이 꺼졌다.




아침 5시 40분

알람소리에 조용히 침대에서 나와 병원 갈 준비를 시작했다.

세수도 하고 옷도 갈아입고 어느 정도 준비가 다 끝나자

잠에 덜 깬 목소리로 조카가 말했다.


"이모 내가 택시 불러줄게. 그거 타고 가"

"응 고마워. 더 자고 있어. 나랑 점심 같이 먹자"

"어.."

조카는 더욱 졸린 목소리로 말했다.

금방 다시 잠에 빠져든 조카를 뒤로 하고 소예의 꼬리 인사를 받으며

병원으로 나섰다.


일찍 서두른 탓에 길 막힘 없이 여유있게 도착했다.

아직 해가 뜨지 않아 밖은 어두웠지만 로비의 크리스마스트리가

병원을 찾은 모든 이들에게 희망을 약속하는 길잡이의 등불처럼 반짝거렸다.

나도 희망의 빛 하나 품고서 ct실로 향했다.

수술 후 처음 찍는 ct는 금방 끝났다.

이제 9시 40분 외래 시작 할 때까지 기다리는 동안 병원주위를 돌아보기로 했다.



병원 길건너에 직원들 사택으로 보이는 아파트가 보였고,

병원 앞 공원의 나무들 사이사이 조각상들도 있었다.

공기는 차가웠지만 햇빛이 드는 화창한 아침이라 기분이 좋았다.


9시 40분 외래시간에 맞춰 신경외과로 가서 도착 접수를 했다.

순서를 보니 내가 처음이었다.


수술 후 처음 다시 교수님을 뵐 생각에 떨렸다.

ct 결과도 좋게 나오길 빌면서 내 이름이 불려지자 노크를 하고 들어갔다.


"교수님 덕분에 제가 다시 태어났습니다. 정말 고맙습니다."


정말 드리고 싶었던 말을 첫인사로 드렸다.


"ct 보시면 종양은 거의 다 제거가 됐어요."

"그럼 완치인가요? 100% 제거예요?"

"뇌종양에서는 100% 제거라는 말은 잘 안 써요. 내년 2월에 MRI 찍고
별다른 이상 없으면 1년에 한 번씩 뵙는 걸로 하죠

"네 알겠습니다. 정말 고맙습니다. 교수님"


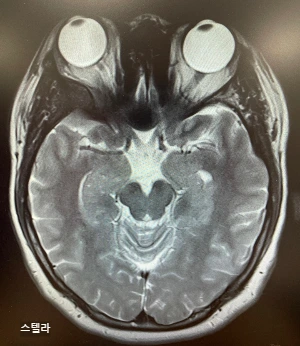
수술 전


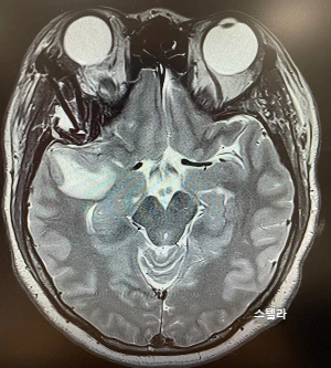
수술 직후


교수님은 수술 전 후 MRI 사진을 비교해 주셨다.


사진을 보고 있자니 나도 모르게 눈물이 났다.

수술실 들어가기 전의 긴장과 두려움, 중환자실에서의 정말 힘들고 아팠던 기억,

나이 40줄에 걷기부터 다시 시작했던 재활병원의 생활.



뇌경련 예방차원에서 먹고 있는 약도 남은 것까지만 먹고

더 안 먹어도 된다고 하셨고,

2월 MRI경과가 좋으면 6개월 정기검진은 건너뛰고

1년 후에 보자고 하신다.


경과가 좋을수록 만나는 주기가 길어진다는 말을 들어서인지

마음속에 품어놨던 희망씨앗이

꿈틀대기 시작했다.


슬픈 이야기를 읽으면서 내가 주인공처럼 그 슬픔을 겪으며 산다고 상상하는 건 참 재미있지만 실제로 이런 일을 당하는 건 별로예요. 그렇죠?"

진료실을 나와 눈물을 닦으며 다음 진료일을 상의하다 말고 하소연하는 나에게

간호사 선생님이 따뜻한 위로를 건네주셨다.


수술 후 첫 정기검진시 보호자 없이 혼자 오실 수 있을 만큼 보행도 가능하고 인지도 좋으신 거 보면 이젠 슬플 일은 없을 거예요. 그동안 고생 많으셨어요.



keyword
작가의 이전글너 원서 못내면 초졸 되는거 알지?