On food and cooking - Meat 1


On food and cooking - Meat 1





우리가 동물과 식물로부터 얻는 모든 식품 중에서, 고기는 가장 높은 가치를 지닌 음식이었다. 그러한 위상의 근원은 인간 본성 깊은 곳에 자리하고 있다. 우리의 유인원 조상은 약 200만 년 전까지 거의 식물성 식품만을 먹고 살았다. 하지만 아프리카의 기후 변화와 식생의 감소로 인해 동물의 사체를 찾아 먹기 시작했다. 동물의 살과 기름진 골수는 대부분의 식물성 식품보다 더 고농도의 에너지와 단백질을 제공했다. 이것은 초기 인류의 뇌가 커지고, 인류로 진화하는 데 중요한 영양원이 되었다.


이후 고기는 인간이 아프리카에서 벗어나 유럽과 아시아의 추운 지역으로 이주하고 생존할 수 있도록 만든 식품이 되었다. 그 지역들에서는 식물성 식품이 계절적으로 부족하거나 아예 없기도 했기 때문이다. 약 10만 년 전, 인간은 본격적인 사냥꾼이 되었고, 동굴 벽화에 그려진 야생 소와 말의 모습에서도 볼 수 있듯, 인간은 먹잇감을 힘과 생명의 상징으로 여겼다. 이러한 속성은 고기에도 그대로 투영되어, 성공적인 사냥은 오랫동안 자부심과 감사, 축하의 잔치로 이어졌다. 비록 오늘날 우리는 더 이상 사냥에 의존해 고기를 먹지는 않으며, 생존을 위해 고기에만 의존하지도 않지만, 고기는 여전히 전 세계 많은 지역에서 식사의 중심에 자리하고 있다.


그런데 역설적으로, 고기는 주요 식품 중 가장 널리 기피되는 음식이기도 하다. 고기를 먹기 위해서는 반드시 다른 생명체를 죽여야 하며, 그 생명체는 두려움과 고통을 느끼고, 그 살은 인간의 살과도 유사하다. 역사 속에서 많은 이들이, 이러한 대가를 영양과 기쁨을 위해 지불하는 것은 도덕적으로 용납할 수 없다고 여겼다. 고기를 먹지 말아야 한다는 윤리적 주장은, 인간의 진화를 이끌어온 이 음식이 이제는 ‘인간다움’의 완성을 방해한다고 주장한다.


하지만 인간의 식습관에 영향을 끼친 생물학적, 역사적 배경 또한 강력한 힘을 가진다. 아무리 문화적으로 세련된 사회에 살고 있더라도, 인간은 여전히 잡식성 동물이며, 고기는 만족감을 주고 영양이 풍부한 음식이며, 대부분의 음식 문화에서 없어서는 안 되는 한 축으로 존재하고 있다.




사람과 신에게 적합한 고기와 부적합한 고기


트로이 외곽에서, 그리스 제사장들은 아폴론에게 소를 제물로 바친다.
그들은 먼저 제물의 머리를 뒤로 젖히고, 목을 그어 피를 뺐으며, 가죽을 벗기고 넓적다리뼈에서 고기를 도려낸 뒤,
그 고기를 두 겹으로 자르고 지방으로 감싼 후, 그 위에 살코기를 얹는다.
노인은 마른 장작 위에 그것을 태우고, 넓적다리 부위에는 반짝이는 포도주를 붓는다.
그의 곁에서는 젊은이들이 다섯 갈래 쇠꼬챙이를 들고 서 있다.
그들은 뼈를 태우고 내장을 맛본 다음, 남은 고기를 조각내어 꼬챙이에 꿰어 알맞게 구운 뒤 불에서 꺼낸다.
— 호메로스, 『일리아드』, 기원전 약 700년


"신의 제단이 살인을 통해 더럽혀지는 것은 마땅하지 않으며,
그런 종류의 음식을 인간이 손에 대는 것도 옳지 않다.
마치 인간이 서로를 먹는 것이 부적절한 것과 같다."
— 포르피리오스, 『금욕에 대하여』, 기원후 약 300년


이 두 기록은 고기를 바라보는 인간의 상반된 시선을 보여준다.
한쪽에서는 고기가 신에게 바쳐지는 신성한 의식의 일부로 여겨졌고,
다른 한쪽에서는 그것이 윤리적으로 인간에게도 신에게도 부적절한 행위라고 본다.




img.png


이 이미지는 근육 조직의 구조를 단계적으로 보여주는 그림이다. 아래는 각 부분의 해설이다:


� 상단 이미지 설명 (단면 및 확대):



Muscle fibres (근섬유) 근육을 구성하는 기본 단위. 다핵 세포이며, 매우 길고 실처럼 생긴 구조.


Protein fibrils (단백질 섬유) 근섬유 안에 존재하는 세포 내 구조물. **근원섬유(myofibril)**라고도 하며, 이 안에 수축 단백질들이 배열되어 있음.



� 하단 이미지 설명 (단백질 수준의 구조):



Actin (액틴) 가는 필라멘트(thin filament)로, 주로 근육의 수축에서 역할을 함.


Myosin (미오신) 굵은 필라멘트(thick filament)로, 액틴과 상호작용하여 근수축을 유도함.


Contractile proteins (수축성 단백질) 액틴과 미오신이 대표적이며, 이들의 상호작용을 통해 근육이 수축함.



이 그림은 근육 구조의 세 가지 수준을 보여준다:



조직 수준: 근육 섬유 (muscle fibres)


세포소기관 수준: 근원섬유 (myofibrils)


분자 수준: 액틴/미오신 등의 수축 단백질



이 구조는 고기(육류)의 품질, 연도(tenderness), 숙성(aging) 과정과도 밀접한 관련이 있다.
근육 단백질의 분해가 고기 맛과 질감에 어떤 영향을 미치는지 설명할 때 유용한 이미지다.




근육 조직과 고기의 구조는 다음과 같다.


고기는 **여러 개의 개별 근육 세포(또는 근섬유)**로 구성되어 있다.
이 근섬유 안에는 **수많은 근원섬유(fibrils)**가 들어 있으며,
이 근원섬유는 **운동 단백질인 액틴(actin)과 미오신(myosin)**으로 이루어져 있다.


근육이 수축할 때는 이 액틴과 미오신 필라멘트가 서로 **미끄러지듯 이동(slide)**하며,
그 결과 전체 구조의 길이가 짧아지고, 근육이 수축하게 된다.


이 구조적 원리는 고기(육류)의 조직감(tenderness), 식감(texture),
그리고 숙성 과정에서 일어나는 단백질 분해에도 결정적인 영향을 준다.




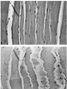
img.png




근육 수축. 이 사진은 토끼의 근육 섬유를 광학 현미경으로 관찰한 모습으로, 위는 이완된 상태, 아래는 수축된 상태이다.


최근 수십 년간 고기의 품질 변화로 인해 요리사들에게는 철학적 질문보다 더 즉각적이고 실용적인 문제들이 제기되고 있다. 산업의 효율성 추구와 소비자의 동물성 지방에 대한 우려로 인해, 고기는 점점 더 어린 상태에서 도축되고, 지방 함량이 줄어들면서 건조하고 풍미 없는 결과를 낳는 경우가 많아졌다. 이로 인해 전통적인 조리 방식이 현대의 고기에는 잘 맞지 않게 되었고, 요리사들은 이에 맞는 조리법을 새롭게 조정할 필요가 있다.


인류는 곤충, 달팽이부터 말, 고래에 이르기까지 움직이는 거의 모든 생물을 식재료로 삼아 왔다. 이 장에서는 선진국에서 흔히 소비되는 육류에 대해 다루지만, 여기에서 설명하는 조리 원리는 모든 동물성 고기에 공통으로 적용된다. 비록 생선과 조개류도 육류나 가금류처럼 동물성 단백질 식품이지만, 그 조직은 여러 면에서 다르기 때문에 별도의 설명이 필요한데, 이는 4장에서 다룰 예정이다.




'고기를 먹는다는 것'


고기라는 말은 개구리 다리부터 송아지의 뇌에 이르기까지 식용이 가능한 동물의 체조직 전반을 의미한다. 일반적으로 고기 중에서도 특정 구분을 두어, 동물의 움직임을 담당하는 근육 조직을 '고기(meats proper)'라고 하며, 간, 신장, 장 등 내장을 '내장육(organ meats)'이라고 구별한다.


동물의 본질: 근육에서 비롯된 이동성


무엇이 한 생물을 '동물'로 정의하는가? ‘동물’이라는 단어는 본래 인도유럽어 계통의 어근에서 유래했으며, 그 의미는 ‘숨 쉬다’, 즉 몸 안팎으로 공기를 이동시키는 것이다. 동물의 가장 핵심적인 특징은 스스로 몸을 움직여 주변 세계에 영향을 미칠 수 있는 능력, 즉 '이동성'이다. 우리가 먹는 대부분의 고기는 바로 이 이동을 가능하게 하는 기관인 '근육'이다. 근육은 동물이 초원을 가로지르고, 하늘을 날며, 바다를 헤엄치도록 돕는 추진 기관이다.


모든 근육의 기본적인 역할은 신경계로부터 적절한 신호를 받으면 스스로를 단축시키는 것, 즉 '수축'하는 것이다. 근육은 길고 가느다란 세포, 즉 근섬유로 구성되어 있으며, 이들 각 세포 안에는 수축 기능을 가진 두 종류의 특수 단백질 필라멘트가 서로 얽혀 있다. 이 단백질 필라멘트의 조밀한 구조 덕분에 고기는 단백질의 영양원이 되는 것이다. 근육에 연결된 신경에서 전기 자극이 전달되면, 이 단백질 필라멘트는 서로를 스치듯 움직인 후, 교차 결합(cross-bridging)을 통해 서로를 고정시키며 근육 수축을 일으킨다. 이 필라멘트의 상대적 위치 변화는 근육 세포 전체를 단축시키며, 교차 결합은 그 수축 상태를 유지시킨다.




휴대용 에너지: 지방


어떤 기계든 작동하려면 에너지가 필요하고, 근육 단백질이라는 생체 기계도 마찬가지다. 동물에게 있어 이동을 위한 추진 기관만큼이나 중요한 것은, 이동에 방해가 되지 않을 정도로 가볍고 효율적인 에너지 저장 방식이다. 지방은 탄수화물보다 동일한 무게당 두 배의 열량을 저장할 수 있기 때문에, 활동성이 높은 동물들은 대부분의 에너지를 지방 형태로 저장하며, 움직이지 않는 식물과 달리 전분질이 아니라 지방이 풍부한 구조를 가진다.


지방은 동물 생존에 필수적인 요소이므로, 대부분의 동물은 먹이가 풍부할 때 지방을 축적할 수 있는 능력을 가지고 있다. 곤충에서 물고기, 새, 포유류에 이르기까지 많은 종들이 철새 이동, 번식, 계절적 먹이 부족에 대비해 스스로를 비축시킨다. 일부 철새는 불과 몇 주 만에 제 몸무게의 50%에 해당하는 지방을 축적한 후, 미국 북동부에서 남아메리카까지 3,000~4,000킬로미터를 쉬지 않고 날아간다.


계절적으로 추운 지역에서는 가을이 다가오면 동물들의 몸이 가장 살찐 시기이며, 이는 사냥감이 가장 매력적으로 여겨지는 시기이기도 하다. 동시에 인간 또한 수확과 저장을 통해 겨울의 결핍을 준비하는, 문화적 의미의 ‘비축’ 행위를 실천해 왔다. 인간은 오랫동안 가축의 이러한 지방 축적 능력을 활용해, 도축 전 사육 과정을 통해 고기를 더 부드럽고 풍미 있게 만들기 위해 일부러 과잉 급여해 왔다.




인간과 육식


고기가 인간 식단의 예측 가능한 일부가 된 것은 약 9,000년 전, 중동 지역의 초기 인류가 일부 야생 동물들을 길들이기 시작하면서부터다. 처음에는 개를, 그다음으로는 염소와 양, 이후에는 돼지, 소, 말 등을 가축으로 삼아 인간과 함께 살아가도록 만들었다. 가축은 먹을 수 없는 풀이나 음식 찌꺼기를 영양가 있는 고기로 바꾸어줄 뿐 아니라, 언제든 필요할 때 꺼내 쓸 수 있는 ‘이동식 저장고’ 역할도 했다.


가축은 인간의 통제에 순응할 만큼 충분히 적응력이 있었기 때문에, 이들 고기 생산 동물들은 번성하여 오늘날 그 수가 수십억 마리에 이르렀다. 반면 야생 동물들은 도시와 농지 확장으로 인해 점점 더 좁은 서식지로 밀려나면서 개체 수가 줄어들고 있다.




육류 소비의 역사


농경 사회에서의 고기 부족


인류가 동물을 가축화하기 시작한 시기와 거의 같은 무렵, 다양한 풀(곡식류)도 함께 재배하기 시작했다. 이 풀들은 넓은 지역에 걸쳐 자라며 영양이 풍부한 씨앗을 대량으로 생산하는 식물들이었다. 이것이 바로 농업의 시작이다. 보리, 밀, 쌀, 옥수수 등의 작물이 가축화되면서, 유목 생활을 하던 사람들은 점차 정착하여 땅을 경작하게 되었고, 식량 생산이 가능해지면서 인구도 급격히 증가했다. 그러나 대부분의 사람들은 고기를 거의 먹지 못했다.


같은 면적의 땅에서 곡물을 재배하는 것이 방목을 통한 육류 생산보다 훨씬 더 효율적인 식량 확보 방법이었기 때문에, 고기는 상대적으로 값비싼 음식이 되었고, 이는 주로 지배층만이 누릴 수 있는 사치품이 되었다. 선사시대 농업이 발명된 이후부터 산업혁명 이전까지, 지구상의 대다수 사람들은 곡물로 만든 죽이나 빵을 주식으로 삼았다.


19세기부터 유럽과 미주 지역에서 산업화가 시작되면서, 관리된 목초지와 배합사료의 개발, 고기 생산에 특화된 가축 품종 개량, 농장에서 도시로의 운송 인프라 발전 등으로 인해 고기는 점점 더 값이 싸지고 널리 소비될 수 있게 되었다. 하지만 오늘날에도 개발도상국에서는 여전히 고기가 부유층의 전유물로 남아 있다.




음식 언어: 고기(Meat)


영어 단어 'meat'는 본래 동물의 살코기를 뜻하지 않았으며, 그 의미의 변화는 영어권 사람들의 식습관 변화와 밀접한 관련이 있다. 『옥스퍼드 영어사전』에 기록된 'meat'라는 단어의 첫 사용례는 서기 900년으로, 이때는 음료와 대비되는 ‘고체 음식 전반’을 의미했다. 이 초기 의미의 흔적은 오늘날에도 ‘견과류의 속살(meat of nuts)’이라는 표현에 남아 있다.


1300년경에 이르러서야 'meat'는 동물의 살코기를 의미하는 뜻으로 사용되기 시작했고, 이후 시간이 지나면서 이 의미가 주도적인 뜻으로 자리 잡았다. 이는 동물성 고기가 영어권 식단에서 우선시되기 시작했다는 것을 보여준다. 같은 의미 변화는 프랑스어의 'viande'에서도 나타난다. 고기에 대한 선호는 1732년에 출간된 찰스 카터의 『Compleat City and Country Cook』에서도 확인할 수 있다. 이 요리책은 고기 요리에 50쪽을 할애한 반면, 가금류에는 25쪽, 생선은 40쪽, 채소는 25쪽, 빵과 페이스트리는 몇 쪽에 불과하다.


북미의 풍부한 육류 소비


미국인들은 초창기부터 이 대륙의 광활한 땅과 풍부한 자원을 바탕으로 육류를 풍족하게 소비해 왔다. 19세기에 미국이 도시화되고 점점 더 많은 사람들이 농장을 떠나 도시에서 생활하게 되면서, 고기는 운반과 보존을 위해 소금에 절여진 상태로 유통되었다. 이 시기 '소금 돼지고기(salt pork)'는 빵만큼이나 필수적인 주식이었으며, 'scraping the bottom of the barrel(바닥까지 긁어모으다)'이나 'pork-barrel politics(선심성 정치)'와 같은 표현도 이와 관련된 것이다.


1870년대에는 소고기를 중심으로 신선한 고기의 유통이 확대되었다. 이는 서부에서의 축산업 성장, 철도용 가축 운송차량의 도입, 그리고 구스타버스 스위프트(Gustavus Swift)와 필립 아머(Philip Armour)에 의한 냉장 철도차량의 개발 덕분이다.


오늘날 미국은 전 세계 인구의 15분의 1밖에 되지 않지만, 전 세계 육류 소비의 3분의 1을 차지한다. 이처럼 대규모의 육류 소비는 미국처럼 부유한 사회에서만 가능한 일이다. 왜냐하면 동물성 식품은 식물성 단백질보다 훨씬 비효율적인 영양 공급원이기 때문이다. 사람을 직접 곡물로 먹이는 것보다, 곡물을 동물에게 먹인 후 그 동물을 먹는 방식은 훨씬 더 많은 자원을 필요로 한다. 현대의 생산 방식에서도 닭고기 1파운드를 얻기 위해 곡물 2파운드가 필요하고, 돼지고기는 4대1, 소고기는 8대1의 비율이 요구된다. 미국이 육류를 주된 식량원으로 삼을 수 있는 이유는 곡물 단백질의 여유분이 있기 때문이다.




사람들은 왜 고기를 좋아할까?


고기 섭취가 인류가 생존하고 지구 전역으로 번성하는 데 도움을 주었다면, 많은 사람들이 고기를 먹는 습관을 갖게 된 것은 자연스러운 일이며, 고기가 인간 문화와 전통에서 중요한 위치를 차지하게 된 것도 이해할 수 있다. 하지만 고기를 먹을 때 느끼는 깊은 만족감은 본능과 생물학적 요인에서 비롯된다고 볼 수 있다. 우리가 문화적 존재가 되기 이전부터, 영양에 대한 지혜는 우리의 감각 체계 — 즉 미뢰, 후각 수용체, 뇌 — 속에 이미 내장되어 있었다.


특히 우리의 미뢰는 중요한 영양소를 인식하고 추구하도록 설계되어 있다. 우리는 필수 염분, 에너지원이 되는 당류, 단백질을 구성하는 아미노산, 에너지를 전달하는 뉴클레오타이드 분자를 감지할 수 있는 수용체를 갖고 있다. 생고기는 이러한 모든 맛을 자극한다. 왜냐하면 근육 세포는 상대적으로 연약하고 생화학적으로 매우 활발하기 때문이다. 반면 식물의 잎이나 씨앗의 세포는 단단한 세포벽으로 보호되어 있어, 씹는 것만으로는 내부 성분이 잘 풀어지지 않으며, 그 안의 단백질과 전분도 불활성화된 저장 입자 형태로 존재한다.


그래서 고기는 대부분의 식물성 식품과는 달리 입 안을 가득 채우는 듯한 풍부한 감각을 제공한다. 고기를 조리할 때 퍼지는 진한 향 역시 이와 같은 생화학적 복합성에서 비롯된다.




음식 용어: 동물과 그 고기


소설가 월터 스콧을 비롯한 여러 이들이 오래전부터 지적했듯이, 1066년 노르만의 영국 정복은 일반적인 고기 이름에서 영어 어휘의 분리를 초래했다. 색슨족은 동물에 대해 자신들의 게르만어 이름을 사용했다 — 소, 스티어, 암소, 암송아지, 송아지(ox, steer, cow, heifer, calf), 양, 숫양, 거세 숫양, 암양, 새끼양(sheep, ram, wether, ewe, lamb), 돼지, 수퇘지, 암퇘지, 새끼돼지(swine, hog, gilt, sow, pig) — 그리고 이 동물의 고기를 표현할 때는 “~의 고기(meat of ~)”라는 식으로 이름 붙였다.


그러나 노르만 정복 이후 수세기 동안 프랑스어가 영국 귀족의 언어가 되자, 동물의 이름은 시골 지역에서 계속 사용되었지만, 조리된 고기들은 궁정 요리 방식에 따라 새로운 이름으로 불리게 되었다. 영어로 쓰인 초기 요리책에서는 프랑스어에서 유래한 ‘beef(boeuf)’, ‘veal(veau)’, ‘mutton(mouton)’, ‘pork(porc)’ 같은 이름들이 사용되었다.




고기와 건강


고기의 고대적, 그리고 즉각적인 영양학적 이점


야생 동물의 고기는 초기 인류 조상들의 식단에서 단백질과 철분의 가장 농축된 천연 공급원이었으며, 기름진 견과류와 더불어 에너지의 가장 농축된 공급원이기도 했다. 또한 고기는 여러 종류의 비타민 B를 공급하는 데 있어서도 탁월하다. 고기, 칼슘이 풍부한 잎채소류, 그리고 활발한 활동이 어우러져 초기 수렵채집인들은 튼튼한 골격과 턱, 치아를 가진 건강한 체형을 유지할 수 있었다.


약 1만 년 전 중동 지역에서 농경과 정착 생활이 시작되면서 인간의 식단과 활동 범위는 현저히 좁아졌다. 고기와 채소는 쉽게 재배할 수 있는 전분질 곡물로 대체되었고, 곡물은 칼슘, 철, 단백질이 상대적으로 부족했다. 여기에 인구 증가와 밀집 생활로 인해 감염병의 유행이 더해지면서, 농경 사회의 등장은 인류의 평균 신장, 골격 강도, 치아 건강의 전반적인 저하를 불러왔다.


그러나 19세기 후반부터 산업화가 진행된 세계에서는 수렵채집인의 강건함에 가까운 건강 상태가 다시 회복되기 시작했다. 이와 같은 신장 증가와 평균 수명 연장의 광범위한 개선은 의학의 발전과 특히 위생 환경의 향상(수질 개선, 오폐수 처리 등)에 크게 기인했지만, 고기와 우유의 영양 기여 또한 핵심적인 역할을 했다.




…그리고 현대 사회에서의 장기적인 단점


20세기 중반에 이르러, 우리는 일상적인 건강 유지를 위한 영양 요구에 대해 상당히 잘 이해하게 되었다. 서구 사회의 대부분의 사람들은 충분한 식량을 섭취할 수 있었고, 평균 수명은 70~80세로 늘어났다. 이후 의학 연구는 삶의 질을 떨어뜨리는 주요 질병, 주로 심장병과 암에 있어 영양의 역할에 집중하기 시작했다.


이 시점에서 고기의 강한 매력은 분명한 단점을 드러냈다. 고기 섭취 비중이 높은 식단은 심장병과 암의 발생 위험 증가와 연관되어 있다. 신체 활동이 줄어들고, 고기에 대한 욕구를 거의 제한 없이 충족할 수 있는 탈산업화 시대의 삶에서, 고기의 높은 에너지 밀도는 오히려 비만을 유발하며, 이는 다양한 질병의 위험 요소가 된다. 고기에서 흔히 발견되는 포화지방은 혈중 콜레스테롤 수치를 높이고 심장병의 원인이 될 수 있다. 또한 고기가 식단에서 채소와 과일을 대체할수록, 심장병과 암 예방에 도움이 되는 식물성 식품의 섭취가 줄어들게 되어, 이들 질환에 대한 취약성이 높아진다.


따라서 인간이 고기에 빠져 있는 습관을 절제하는 것이 바람직하다. 고기는 인간을 지금의 모습으로 만드는 데 기여했지만, 이제는 우리를 해치는 요인이 될 수 있다. 고기는 절제해서 섭취하고, 채소와 과일을 곁들여 고기의 영양적 장점과 한계를 보완해야 한다.


고기 조리 시 유해 부산물 최소화하기


고기를 조리할 때에도 주의가 필요하다. 과학자들은 고기를 조리하는 과정에서 생성되어 실험동물의 DNA를 손상시키고 암을 유발하는 세 가지 종류의 화학물질을 확인했으며, 이들은 사람의 대장암 위험을 높일 수도 있다.


헤테로사이클릭 아민 (Heterocyclic Amines, HCAs)
HCAs는 고온에서 소량 존재하는 고기 성분인 크레아틴, 크레아티닌이 아미노산과 반응하여 형성된다. HCA는 고기 표면 온도가 가장 높고 육즙이 모이는 곳에서 가장 많이 생성되며, 특히 고온으로 그릴이나 브로일링, 튀김 조리된 고기에서 많이 나타난다. 오븐 로스팅은 고기 자체에는 비교적 적은 HCAs를 남기지만 팬에 남는 드리핑에는 많은 HCAs가 포함된다. 산성 마리네이드는 HCA 생성을 줄이는 데 도움이 되며, 조리 온도를 낮추고, 레어나 미디엄 정도로 익히는 것도 효과적이다. 채소, 과일, 그리고 산균(락토바실러스 등)은 HCA를 소화기관에서 결합시켜 그 피해를 막아주는 것으로 알려져 있다.


다환 방향족 탄화수소 (Polycyclic Aromatic Hydrocarbons, PAHs)
PAHs는 나무, 지방 등 유기물질이 탈 때 발생한다. 따라서 나무 연기를 이용한 조리는 고기에 나무로부터 PAHs를 침착시킨다. 숯불은 연기가 거의 없지만, 고기에서 떨어진 지방이 숯에 떨어져 타거나 고기 표면에서 직접 불꽃이 일면 PAHs가 생성될 수 있다. 고온의 튀김 조리에서도 소량의 PAHs가 생성된다. 이를 줄이려면, 장작은 숯이 된 후 사용할 것, 그릴 뚜껑을 열어 그을음과 증기가 빠지게 할 것, 지방이 떨어져 불붙지 않게 조심할 것, 훈제육 섭취는 가급적 줄일 것 등이 권장된다.


니트로사민 (Nitrosamines)
니트로사민은 아미노산 등 질소 화합물과 니트라이트(질산염) 사이의 반응으로 형성된다. 니트라이트는 수천 년 전부터 육류 염장에 사용되어 왔고, 보툴리누스균의 증식을 억제하는 기능이 있다. 이 반응은 소화기관 내에서도 일어나며, 아주 뜨거운 팬에서의 조리 시에도 발생할 수 있다. 니트로사민은 강력한 DNA 손상 유발 물질로 알려져 있으나, 현재로서는 니트라이트가 암 발생 위험을 높인다는 명확한 증거는 없다. 그럼에도 불구하고, 염장육의 섭취를 줄이고 부드럽게 조리하는 것이 현명하다고 할 수 있다.




고기와 식중독


고기가 심장병과 암에 기여함으로써 우리의 수명을 서서히 단축시킬 수 있는 위험을 내포하고 있다는 점 외에도, 훨씬 더 즉각적인 위협인 감염성 미생물로 인한 식중독의 원인이 될 수 있다. 이 문제는 오늘날에도 여전히 매우 흔하게 발생한다.


박테리아 감염


고기는 영양가가 높은 물질이기 때문에 박테리아를 비롯한 미생물의 번식에 특히 취약하다. 그리고 동물의 피부와 소화기관은 박테리아의 풍부한 저장소이기 때문에, 도살 및 가죽, 깃털, 내장을 제거하는 과정에서 처음에는 깨끗했던 고기 표면이 오염되는 것은 불가피하다. 이 문제는 기계화된 일반 도축 공정에서 더 악화되는데, 이러한 곳에서는 숙련된 정육사보다 고기를 덜 섬세하게 다루고, 감염된 고기 한 조각이 다른 여러 고기를 오염시킬 가능성이 더 높기 때문이다.


대부분의 박테리아는 해롭지 않으며, 고기의 영양분을 소비해 부패시키고 결국 불쾌한 냄새와 끈적한 표면을 만들어낸다. 그러나 일부 박테리아는 우리의 소화기관 세포에 침입하고, 숙주의 세포와 면역 방어 체계를 파괴하며, 체외로 빠르게 빠져나가기 위해 독소를 생성한다.


심각한 고기 유래 식중독의 주요 원인은 살모넬라(Salmonella)대장균(Escherichia coli, E. coli) 이다.


살모넬라(Salmonella) 는 2,000종이 넘는 박테리아 유형을 포함하는 속(genus)으로, 유럽과 북미에서 가장 심각한 식중독을 유발하는 미생물이며, 그 발생이 증가하고 있다. 이들은 온도, 산도, 습도의 극한 환경에 잘 적응하는 회복력이 강한 균들로, 물고기를 포함한 대부분의 동물에서 발견된다. 미국에서는 특히 가금류와 달걀에서 자주 검출되며, 이는 대규모 가금류 산업의 관행과 관련이 있다. 가금류 부산물(깃털, 내장 등)을 다음 세대의 사료로 재활용하거나 동물들을 매우 밀집된 공간에서 사육하는 방식이 박테리아의 확산을 조장한다. 살모넬라는 동물에게는 별다른 증상을 보이지 않지만, 인간에게는 설사와 만성 감염을 유발할 수 있다.


대장균(E. coli) 은 사람을 포함한 온혈동물의 장 내에 정상적으로 존재하는 다양한 균주를 지칭한다. 그러나 그중 일부는 외래 균주로서 섭취되면 소화기관 세포에 침입해 병을 일으킨다. 특히 O157:H7 균주는 출혈성 설사와 어린이에게는 신부전까지 일으킬 수 있는 가장 위험한 대장균이다. 미국에서는 이 균에 감염된 환자의 약 3분의 1이 입원하고, 약 5%가 사망한다. 이 균은 주로 송아지를 포함한 소의 장에 존재하지만, 동물에게는 큰 영향을 미치지 않는다. 간쇠고기(다진 쇠고기) 가 O157:H7의 주요 감염원이며, 이는 오염된 고기 일부가 분쇄 과정에서 전체 고기에 퍼지기 때문이다.


예방


박테리아 감염을 예방하기 위해서는 모든 고기가 최소한 일부 병원성 박테리아에 오염되어 있다고 가정하는 것이 기본이다. 이 박테리아가 다른 음식으로 전파되지 않도록 하고, 조리 과정에서 완전히 제거되도록 해야 한다.



고기를 다룬 손, 칼, 도마, 조리대 등은 뜨거운 비눗물로 철저히 세척해야 하며, 다른 식재료 준비 전에 반드시 청결 상태를 유지해야 한다.


E. coli는 섭씨 68도(화씨 155도) 이상에서 사멸하므로, 다진 고기는 내부까지 이 온도에 도달하도록 조리하는 것이 가장 안전하다.


살모넬라 및 기타 박테리아는 섭씨 5도60도(화씨 40도140도) 사이의 온도에서 빠르게 증식하므로, 고기를 이 범위에 2시간 이상 방치하지 말아야 한다.


뷔페 요리는 항상 뜨겁게 유지하고, 남은 음식은 즉시 냉장 보관한 뒤, 섭씨 70도(화씨 160도) 이상으로 재가열해야 한다.



트리키넬라증(Trichinosis)


트리키넬라증은 기생충인 트리키나(Trichina spiralis) 의 낭포에 감염되어 발생하는 질병이다. 미국에서는 과거 쓰레기를 사료로 먹인 돼지고기에서 발생하는 경우가 많았고, 이 쓰레기에는 종종 감염된 설치류나 다른 동물의 사체가 포함되어 있었다. 1980년에 이러한 생쓰레기를 돼지 사료로 사용하는 것이 금지된 이후, 미국에서의 트리키넬라증 발생 건수는 연간 10건 이하로 급감하였다. 현재는 대부분 곰, 멧돼지, 바다코끼리 등 야생 동물 고기로 인해 발생한다.


과거에는 트리키넬라 제거를 위해 돼지고기를 완전히 익혀야 한다는 권고가 있었으나, 현재는 섭씨 58도(화씨 137도) 이상의 미디엄 정도의 익힘 수준에서도 기생충이 사멸된다는 것이 밝혀졌다. 섭씨 65도(화씨 150도) 로 조리하면 더 안전한 여유를 확보할 수 있다. 또한 섭씨 –15도(화씨 5도) 이하에서 20일 이상 냉동 보관하는 것도 트리키넬라를 죽이는 데 효과적이다.






광우병(Mad Cow Disease)


“광우병(Mad Cow Disease)”은 소해면상뇌병증(BSE, Bovine Spongiform Encephalopathy)의 일반적인 명칭이다. 이 질병은 소의 뇌를 점진적으로 파괴하는 질환이며, 감염 원인이 살아 있는 미생물이 아니라 비생명성 단백질 입자, 즉 **프라이온(prion)**이라는 점에서 특히 우려를 낳는다. 이 단백질은 가열 조리로도 파괴되지 않으며, 감염된 쇠고기를 먹은 사람에게도 유사한 치명적 뇌질환을 유발할 수 있는 것으로 보인다. 이 질병에 대해서는 아직 밝혀지지 않은 부분이 많다.


BSE는 1980년대 초, **스크래피(scrapie)**라는 뇌질환에 걸린 양의 부산물을 소에게 사료로 급여하면서 시작된 것으로 알려져 있다. 스크래피는 화학적으로 안정된 프라이온 응집체로 인해 발생하며, 이 프라이온이 소의 체내에서 적응하여 뇌질환을 일으키게 된 것이다.


사람은 양의 스크래피에는 감염되지 않는다. 하지만 **크로이츠펠트-야코브병(CJD)**이라는 유사한 인간 뇌질환이 있으며, 이 역시 프라이온에 의해 발생한다. CJD는 대개 노년기에 발병하며, 운동 실조와 치매 증상을 동반하고 결국 사망에 이른다. 그런데 1995년과 1996년, 영국의 젊은 성인 10명이 새로운 형태의 CJD로 사망하였고, 그들의 체내에서 발견된 프라이온은 BSE 프라이온과 유전적으로 매우 유사한 형태였다. 이는 BSE에 감염된 소고기를 먹은 사람이 심각한 뇌질환에 걸릴 수 있음을 강하게 시사한다.


프라이온은 소의 뇌, 척수, 망막에 특히 많이 존재한다고 알려져 있지만, 2004년 발표된 연구 결과에 따르면 근육 조직에서도 발견될 수 있어 일반적인 쇠고기 부위에도 소량 존재할 가능성이 제기되었다.


영국에서는 감염된 개체의 도태, 사료 성분 변경, 질병 감시 체계 강화를 통해 현재 BSE를 거의 근절한 것으로 보인다. 그러나 유럽 일부 국가, 미국, 캐나다, 일본 등에서도 BSE 감염 소가 보고된 바 있다.


이에 따라 여러 국가는 다음과 같은 조치를 예방 차원에서 일시적으로 시행했다.



노령 소의 고기 섭취 제한 (BSE 보유 가능성이 높음)


뇌, 흉선(미각 부위), 비장, 장기 조직 섭취 금지 (면역계 관련 조직 포함)


머리뼈나 척추로부터 기계적으로 추출된 고기(기계 회수육)의 사용 금지



이러한 규제는 향후 빠른 진단 기술의 개발 및 적용, 그리고 전염 경로에 대한 추가 연구 결과에 따라 점진적으로 조정될 가능성이 있다.


현재까지 BSE 감염 쇠고기로 인해 사망한 인원은 수백 명 수준으로 파악되며, 사람에게 감염될 확률은 매우 낮은 편으로 여겨지고 있다.




현대 육류 생산의 논란


육류 생산은 거대한 산업이다. 불과 몇십 년 전만 해도 미국에서는 자동차 산업 다음으로 큰 산업이었다. 산업계와 정부는 오랫동안 육류 생산과 그 비용을 통제하는 혁신적 방법에 대한 연구를 지원해왔다. 그 결과, 비교적 저렴하고 안정적인 육류 공급이 가능해졌지만, 그 생산 시스템은 점점 가족 농장의 초지, 돼지 우리, 닭장에서 멀어진 형태가 되었고, 다양한 측면에서 우려를 낳고 있다.


많은 혁신은 동물의 대사 작용을 조절하기 위한 화학물질의 사용을 포함하고 있다. 이러한 화학물질은 동물에게는 약물처럼 작용하며, 이것이 인간 건강에 영향을 미칠 수 있다는 우려를 낳고 있다. 또 다른 혁신은 동물의 사육 환경과 관련되어 있으며, 이는 갈수록 인공적이고 밀집된 환경이 되었고, 사료 또한 다양한 농업 산업의 폐기물을 재가공한 물질을 포함하게 되었다. 이러한 사료 사용은 광우병의 발생 원인이 되었고, 닭에서 살모넬라가 지속적으로 검출되는 원인이 되기도 했다.


수십만 마리의 가축이 한 시설에 집중되어 사육되는 현대의 육류 생산 시스템은 심각한 수질, 토양, 대기 오염을 초래하고 있다. 이러한 변화에 대해 소비자와 생산자 모두 불안감을 느끼기 시작하면서, 현재는 보다 전통적인 방식으로 사육된 육류, 즉 소규모로 사육되며 동물의 삶의 질과 육질에 더 많은 관심을 기울이는 방식으로 생산되는 육류를 다루는 산업 부문도 생겨나고 있다.




#고기문화 #육식의역사 #식품과건강 #고기조리법 #식중독예방 #광우병 #육류산업 #축산의미래 #지속가능한고기 #고기철학 #육식윤리 #근육구조 #건강한고기소비




img.png


keyword
작가의 이전글MEAT -BEEF