고양이 수염이 네 개 남았다

항암치료의 부작용 ①

by 소곤

주말마다 집안 청소를 했다. 결혼 전의 나였다면 꼭 일주일에 한 번씩(이나) 청소를 해야 하나 했겠지만… 집안에 뭉텅이로 날아다니는 고양이털을 영 모르는 척할 수도 없었다. 청소하기 전에는 두 고양이를 빗질해줬는데, 털갈이가 대충 끝났는지 아리는 요샌 털이 별로 빠지지 않았다. 그런데 상대적으로 털 빠짐이 덜하던 제이가 오히려 빗을 대는 대로 죽죽 털이 묻어 나왔다.


물론 털 빠짐은 모든 고양이들의 일상이니 별 대수로운 것도 아니었다. 하지만 갑작스레 털이 우수수 빠지는 것은 물론, 척추 부근이 뭔가 거무죽죽한 느낌이 들었다. 자세히 보니 척추 라인을 따라 털이 빠져서 거의 피부가 드러날 정도였다. 그 면적이 크지는 않았지만 단순한 털 빠짐이 아니라 탈모인 것은 확실했다. 실은 그렇지 않아도 최근 한 열흘 사이에 제이의 수염이 많이 빠지고 있던 참이었다. 남은 수염은 왼쪽에 두 개, 오른쪽에 세 개. 수염의 개수가 한눈에 셀 수 있을 정도로 부실해진 것이다.


IMG_0200.JPG 다섯 개 남은 아까운 수염


고양이의 수염은 공간 가늠이나 균형 잡기 등 일상생활에 꼭 필요한 것은 물론이고, 뭐랄까, 고양이의 자존심이랄까? 어릴 때 고양이 그림을 그릴 때도 뾰족한 귀와 코 옆의 수염을 그릴 만큼 고양이의 상징 같은 것인데… 나는 제이를 볼 때마다 수염 개수를 헤아렸다. 남편에게는 볼 때마다 면도하라고 잔소리를 하는데 고양이 수염을 하나씩 소중하게 세어볼 날이 올 줄이야. 그러는 며칠 사이에 오른쪽에 있던 수염 한 개가 더 빠져 어느덧 네 개밖에 남지 않았다. 아무래도 심각하다는 생각이 들었다. 게다가 이번 주는 움직임도 적어지고 체온도 좀 내려간 듯했다.


식욕부진이나 구토 등 다른 증상은 없었고, 그래서 웬만한 건 심각하게 생각하지 않고 싶었다. 대수롭지 않게, 그냥 당연히 밟아가는 과정인 것처럼 여기려고 했다. 항암치료를 하면 당연히 부작용이 있을 수 있다고 납득해왔고, 그래도 큰 문제없이 치료가 진행되고 있어서 감사했다. 하지만 털과 수염이 심각하게 빠지는 게 아무래도 항암 부작용이지 싶어 병원에서 선생님에게 상담하니 일단 이번 주는 항암을 중단하자고 하셨다. 입원 없이 다시 제이를 데리고 돌아오는 길이 마냥 좋지만은 않았다. 제이는 병원에 오자마자 집에 가는 게 좀 어리둥절하면서도 좋은지, 갈 때와 달리 이번엔 의자에 편히 앉아 드라이브를 즐겼다.


아, 우리 지금 제대로 가고 있는 건가? 치료 기간 내내 수십 번도 넘게 바뀌던 내 마음은 도통 단단해지지 못했다. 자꾸 물렁하게 흐트러지고 의구심이 삐죽 새어나왔다. 일단 내가 선택한 병원, 수의사 선생님을 믿고 쭉 간다고 생각하면서도 이게 맞게 가고 있는 건가, 선생님이 잘 모르는 건 아닐까, 걱정되고 의심됐다. 힘든 치료라는 것, 완치가 없다는 걸 알고 있으면서도 그동안 잘 해온 시간들이 한순간에 모두 못미더워졌다. 지난주에 약 시간을 너무 못 지킨 건 아닌가, 혹시 그래서 갑자기 부작용이 생긴 건가, 왜 갑자기 이럴까 속상했다. 거의 21, 22주차로 치료도 끝이 보이는 시점인데 눈에 보이는 부작용 앞에서 지난 노력들은 부스스 빛을 잃었다.


그 주, 항암치료를 못하고 매일 먹는 항암 약도 끊었다. 그러니 제이의 컨디션은 조금 좋아지는 듯했지만 마음이 짠해서 매일 맛있는 걸 먹였다. 선반 안에 쌓여 있는 캔과 파우치를 아껴서 뭐하나 싶었다. 제이가 손이나 발목을 깨물어서 신랑이 ‘쓰읍!’ 하고 훈계를 하려고 하면 내가 신랑을 혼내며 제이를 감쌌다. 어릴 때 아이가 아프면 엄마가 아이를 오냐오냐 버르장머리 없게 키울 수밖에 없는 이유를 좀 알 것 같았다. 사고치고 물어도 되니까 아프지 말고 건강하게만 자라라, 그런 심정이었다.


다행히 항암을 한 주 건너뛰자 제이는 활기를 좀 되찾는 듯했다. 종양이 나쁜 건지 항암이 나쁜 건지 알 수 없는 시점이 다가오고 있었다.


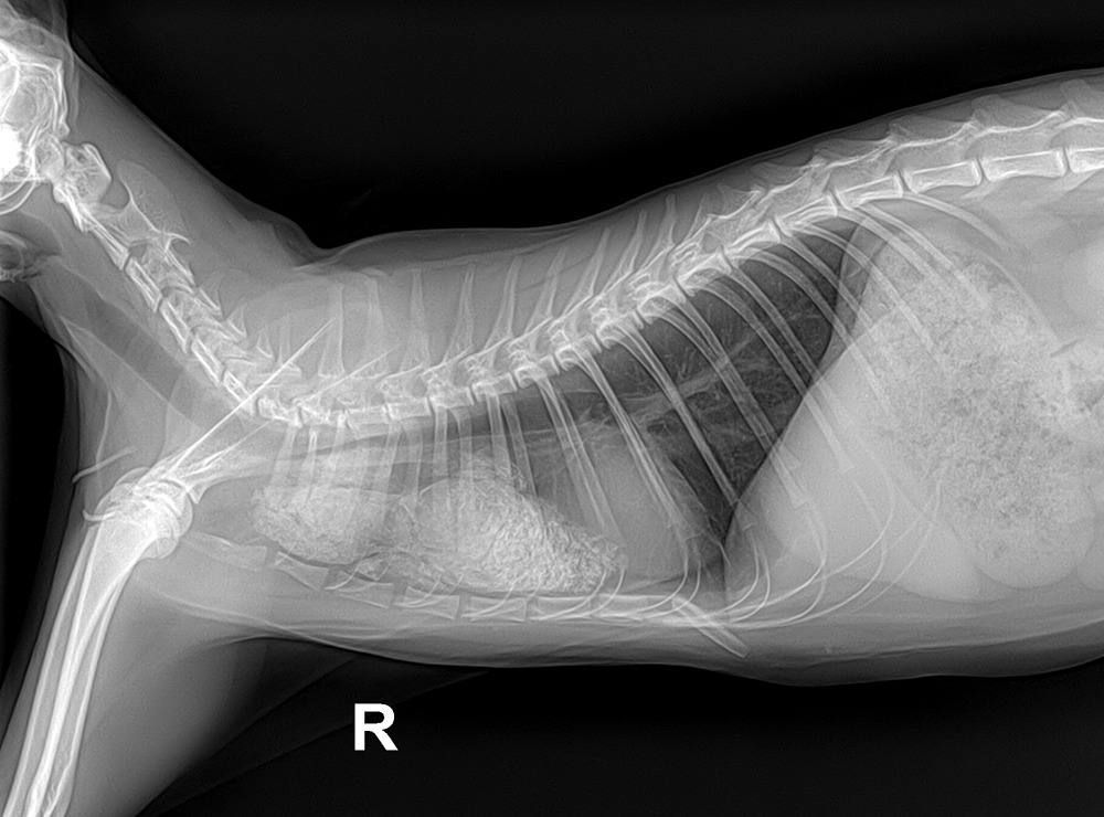
제이0.jpg 항암치료 4주차의 엑스레이
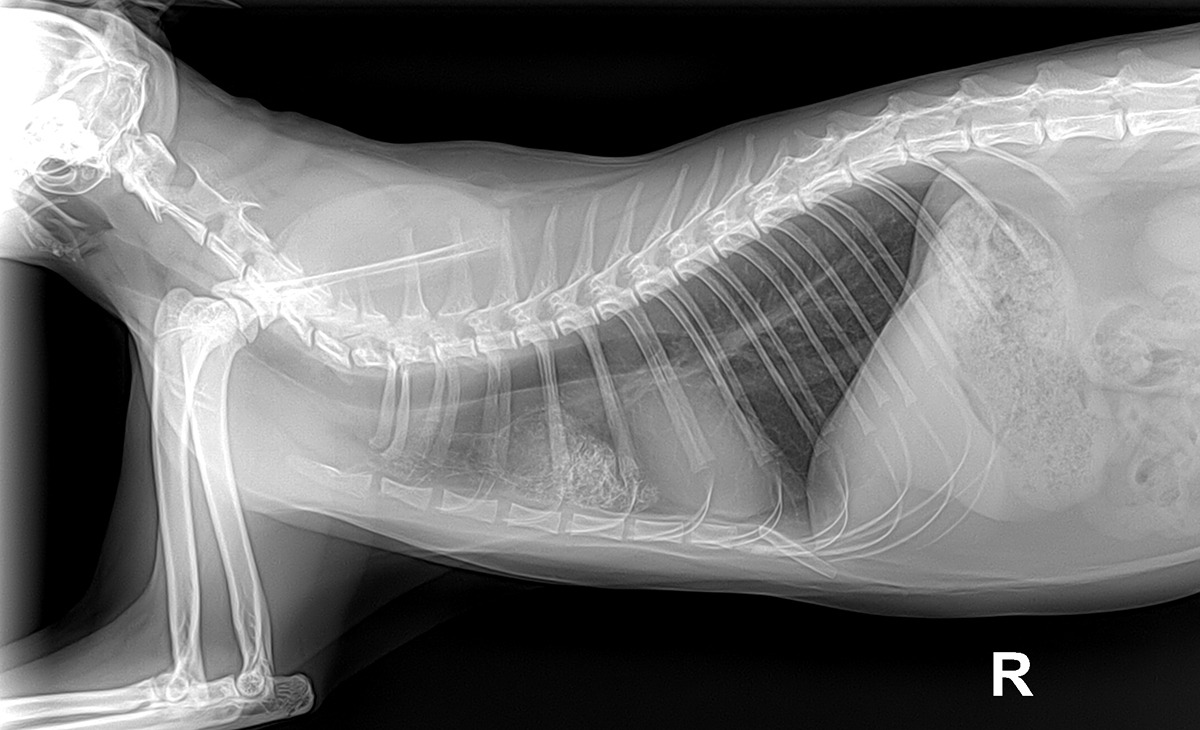
21.jpg 항암치료 21주차의 엑스레이


keyword