아킬레스건 재파열 환자의 치료

재파열 수술 후 회복까지의 경과

by 김운

운동을 좋아하는 사람들이 흔하게 다치는 부위 중 하나가 아킬레스건이다.

운동을 하다 갑자기 발목 뒤쪽에서 “뚝” 하는 소리와 함께 통증이 발생했다고 이야기하며 진료실을 찾는 환자들을 종종 만나게 된다.


아킬레스건 파열은 비수술 치료와 수술 치료가 모두 가능한 질환이다. 어느 한쪽이 반드시 잘못된 치료라고 말할 수는 없다. 다만 나는 일반적으로 수술적 치료를 조금 더 선호하는 편이다.

수술을 하더라도 절개 부위는 대부분 5cm 이내로 크지 않고, 재활 속도도 비교적 빠른 편이다. 무엇보다 재파열의 가능성 역시 수술적 치료에서 더 낮게 보고된다.


또 한 가지 이유는 환자의 순응도에 대한 문제다. 비수술적 치료 역시 충분히 좋은 치료가 될 수 있지만, 환자가 재활 과정에서 지켜야 할 것들을 제대로 지키지 못해 뒤늦게 수술을 하게 되는 경우도 적지 않다. 만약 100명의 환자 중 단 한 명이라도 이러한 상황을 겪게 된다면 환자가 잃게 되는 시간과 기능은 결코 작지 않다고 생각한다.


수술을 받고 재활 과정에서 특별한 사고만 발생하지 않는다면 대부분의 환자는 일상생활로 돌아가는 데 큰 문제가 없다.

하지만 간혹 예상하지 못한 사고로 인해 재파열이 발생하는 경우가 있다. 넘어지거나 발을 헛디디는 작은 사고가 원인이 되기도 한다. 이런 상황이 발생하면 치료는 훨씬 복잡해진다.


물론 재수술을 한다고 해서 환자가 발목을 사용하지 못하게 되는 것은 아니다. 하지만 잘 회복되고 있던 상황에서 이러한 사고가 발생하면 환자는 큰 공포를 느끼게 된다.

또 MRI를 통해 아킬레스건이 다시 붙어 있는 것은 확인할 수 있지만, 실제로 기능이 얼마나 회복될지에 대한 정보는 환자 입장에서 쉽게 얻기 어렵다.


모든 치료가 그렇겠지만 정형외과에서 수술을 하는 이유는 단순히 찢어지거나 부러진 조직을 붙이기 위해서가 아니다.

환자가 다시 일상으로 돌아가고, 이전에 하던 생활과 운동을 무리 없이 할 수 있는 기능을 회복하는 것이 훨씬 더 중요하다.

그러한 점에서 오늘은 실제 사례를 함께 이야기해 보며 재파열을 경험한 환자들도 막연한 공포에 빠지지 않고 충분히 회복할 수 있다는 희망을 전하고자 한다.




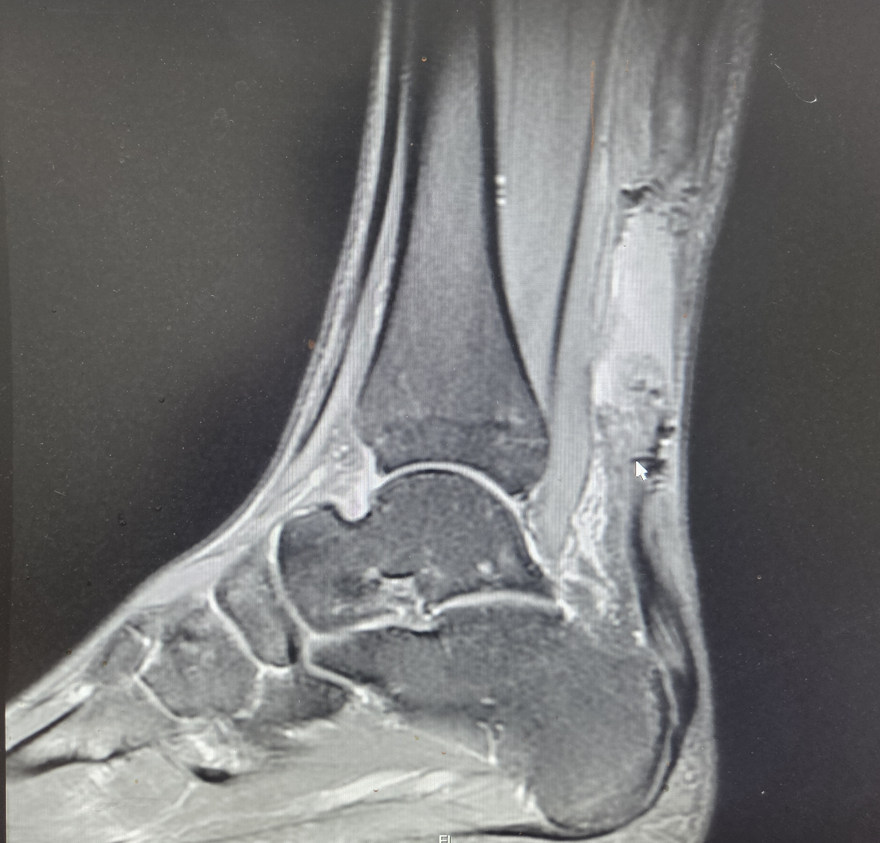
20대 초반의 남자 환자로 농구를 하던 도중 발목에서 “뚝” 하는 소리를 들은 뒤 심한 통증이 발생해 내원한 환자였다.

진찰 당시 아킬레스건 부위가 움푹 들어가 있었고 MRI에서도 완전 파열이 명확하게 확인되었다. 환자와 보호자에게 치료 방법과 이후의 과정에 대해 충분히 설명한 뒤 수술적 치료를 진행하기로 결정하였다.


image.png


수술은 큰 문제없이 진행되었다. 수술실에서 발목을 강하게 움직여도 봉합 부위가 벌어지지 않는 것을 충분히 확인한 뒤 수술을 마쳤다.

수술 후 3주 동안 흔히 발생할 수 있는 피부 문제도 없이 환자는 비교적 빠르게 회복하고 있었다.

image.png

그러던 어느 날 병동에서 연락이 왔다.

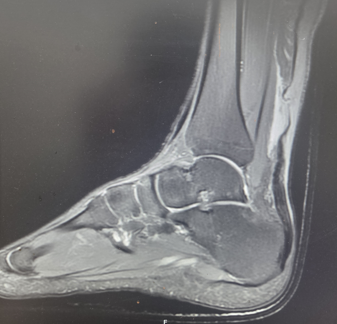
환자가 침대에서 내려오는 과정에서 발을 헛디디며 미끄러져 넘어졌다는 것이었다. 넘어지는 순간 발목에서 다시 “뚝” 하는 느낌과 함께 통증이 발생했다고 했다.

환자의 상태를 확인했을 때 재파열이 강하게 의심되는 상황이었다.


image.png


현재 상태와 치료 방향에 대해 환자와 보호자와 충분히 상의한 뒤 재수술을 진행하기로 결정하였다. 환자의 나이를 고려했을 때 절개 부위는 더 커질 수 있지만, 이후 적극적인 재활을 통해 기능을 최대한 회복하는 것이 더 중요하다고 판단하였다.


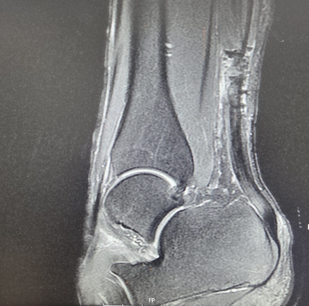
수술 당시 힘줄은 1차 봉합이 어려울 정도로 심하게 파열된 상태였다.

하지만 힘줄이 직접 이어져 회복되는 것이 이후 강도와 기능 면에서 훨씬 유리하기 때문에 먼저 갈라진 힘줄들을 하나로 모아 보강하는 과정을 거쳤다. 이후 타가건을 이용하여 봉합 부위를 추가로 보강하는 방식으로 수술을 진행하였다.

수술 후 발목을 움직여도 다시 파열이 일어나지 않을 정도의 강도를 확인한 뒤 수술을 마쳤다.


image.png





재파열 이후의 재활 과정은 처음 수술을 받았을 때보다 훨씬 길고 어렵다.

절개 부위가 처음보다 약 세 배 정도 커지기 때문에 통증도 더 오래 지속되고 발목의 움직임 역시 처음에는 매끄럽지 못한 경우가 많다.


하지만 시간이 더 걸릴 뿐 재활의 순서와 원칙 자체는 동일하다.

초기에는 상처의 회복을 기다리며 발목을 제한된 범위 내에서 가볍게 움직이도록 한다. 이후 상처가 회복되면 보호대를 착용한 상태에서 발목의 각도를 2주 간격으로 조절하며 체중 부하 보행을 시작한다.


이 시기는 재파열이 가장 쉽게 발생할 수 있는 시기이기도 하다. 또한 봉합 부위가 늘어나 추후 후유증으로 이어질 수 있기 때문에 발목의 움직임과 체중 부하는 매우 신중하게 조절하며 진행해야 한다.


약 두 달 정도의 시간이 지나면 기초적인 근력 운동과 자전거 운동을 시작한다. 이 단계의 목표는 환자가 까치발을 들 수 있을 정도의 근력을 회복하고 발목의 움직임을 자연스럽게 만드는 것이다.


자전거 운동을 통해 발목 움직임이 어느 정도 회복되면 이후에는 트레드밀을 이용한 보행 훈련을 진행한다.

초기에는 시속 3km 정도의 속도로 평지에서 걷기부터 시작하고 운동 후 통증 여부를 확인한다. 통증이 없다면 속도와 경사도를 조금씩 증가시키며 운동 강도를 높여 간다.


이 시기에 반드시 병행해야 하는 것이 하체 근력 운동이다.

장기간 하체를 충분히 사용하지 못한 상태이기 때문에 처음에는 머신을 이용해 허벅지와 종아리를 포함한 전체적인 하체 근력 운동을 진행하고 이후에는 스쿼트와 같은 운동으로 점차 강도를 높여 간다.


또한 수술한 발로 균형을 잡는 훈련과 같은 균형 감각 회복 훈련도 반드시 함께 진행해야 한다.


마지막 단계에서는 민첩성과 같은 고차원적인 기능을 회복하는 훈련을 시행한다. 사이드 스텝이나 한 발 뛰기와 같은 동작들을 통해 실제 운동 복귀를 위한 준비를 하게 된다.

이 과정이 무사히 마무리되면 환자는 다시 운동에 복귀할 수 있다.


여기서 환자들이 반드시 알아야 할 것이 있다.

재활 과정에서 단계가 올라갈 때마다 통증이 증가하거나 발이 붓는 시기가 반드시 한 번씩 찾아온다는 점이다.

각 단계의 운동은 수술 부위의 회복 단계에 맞추어 설정된 것이다. 이전 단계에 적응한 몸이 다음 단계로 넘어가면서 일시적으로 통증을 느끼는 것은 매우 자연스러운 반응이며 걱정할 필요는 없다.

만약 운동 강도가 높다고 느껴진다면 초기 강도를 조금 낮추거나 2일 정도 휴식을 취한 뒤 다시 운동을 이어가는 것도 도움이 된다.


이러한 과정을 차근차근 거치게 되면 아래 영상(수술 후 13개월)과 같이 환자는 다시 원래의 운동 기능을 회복할 수 있다.

image.png





물론 수술을 하지 않고도 치료가 가능한 경우도 있다.

하지만 어떤 치료를 선택하든 가장 중요한 것은 환자와 의사 사이의 신뢰 관계다. 그리고 수술, 비수술 어떠한 치료를 선택하든 치료 과정에서 단순히 힘줄이 붙는 것만을 목표로 하기보다 장기적인 기능 회복에 초점을 맞추는 것이 훨씬 중요하다.


순간적인 통증이나 변화에 지나치게 불안해하며 치료 과정을 흔들리게 되면 수술 부위가 잘 회복되더라도 이후 기능 장애가 남을 수 있다.


의사는 환자가 잘 회복할 수 있는 환경을 만들어 줄 뿐이다.

실제로 회복을 만들어 가는 것은 결국 환자 자신의 몫이다.

하지만 의사는 이러한 환자들을 많이 치료해 왔기 때문에 치료 과정과 결과를 알고 있다. 그래서 환자에게 괜찮다고 말할 수 있다.


반면 환자는 자신과 같은 환자들이 어떤 과정을 거쳐 회복되는지 알지 못한다. 그렇기 때문에 치료 과정에서 불안이나 우울감을 느끼는 경우도 적지 않다.


이럴 때 환자들은 인터넷 환자 카페나 여러 온라인 글들을 찾아보게 된다.

문제는 그곳에 잘못된 정보가 너무 많다는 것이다. 서로 정반대의 이야기를 접하게 되는 경우도 많고, 이러한 정보들은 오히려 치료 과정에 악영향을 줄 수 있다.


그래서 이 글을 남긴다.

재파열을 경험했다고 해서 모든 것이 끝난 것은 아니다.
시간은 더 걸릴 수 있지만 올바른 치료와 재활을 통해 충분히 다시 일상과 운동으로 돌아갈 수 있다.

그리고 그 과정에서 가장 중요한 것은 환자와 의사가 같은 방향을 바라보며 치료를 이어가는 것이다


작가의 이전글나는 운이 좋다