1년 2개월 간 엄지 발바닥이 아파 잘 걷지 못한 환자

내측 종자골 골절의 치료

by 김운

이곳에서의 진료를 마무리하며 환자들의 마지막 경과를 살피던 요즘, 모처럼 반가운 환자가 찾아왔다. 처음 만났을 때의 근심 어린 표정은 온데간데없고, 이제는 씩씩하게 잘 지내고 있다며 웃어 보이는 20대 초반의 청년이다.


발바닥을 만지며 통증 여부와 움직임, 기능을 평가했다. 현재는 장시간 무리하게 활동할 때만 약간의 불편함이 있을 뿐, 일상생활에는 큰 지장이 없다고 한다.


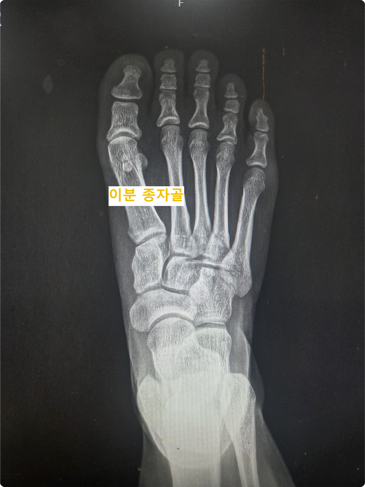
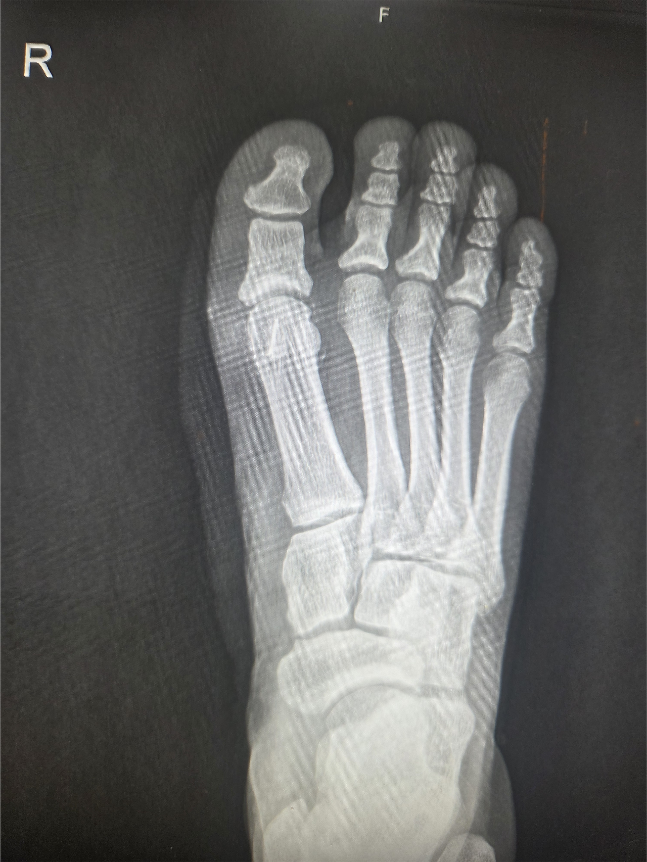
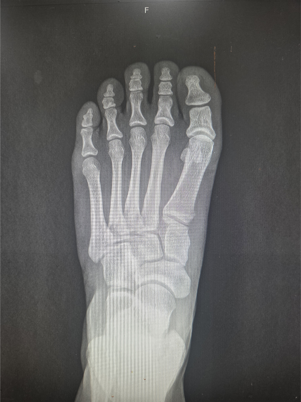
그가 처음 내 진료실을 찾은 것은 2024년 11월이었다. 당시 그는 이미 6개월 이상 엄지발가락 통증에 시달리며 여러 병원을 전전하던 상태였다. 깁스와 목발, 물리치료와 주사 치료까지 해볼 수 있는 건 다 해봤지만, 통증은 날카롭게 찢어지는 듯 심해졌고 보행조차 점차 어려워지고 있었다. 우선 시행한 X-ray 검사에서 통증 부위인 우측 종자골이 두 조각으로 나뉜 '이분 종자골' 형태가 확인되었다.

image.png
image.png


특이한 점이 있었다. 보통 이분 종자골은 80% 이상의 환자에서 양쪽 발 모두 관찰되는데, 이 환자는 유독 통증이 있는 우측에만 존재했다. 물론 한쪽만 이분 종자골인 경우도 드물지 않고, 환자의 직업 특성상 발에 충격이 잦아 '종자골염'일 가능성도 컸다.


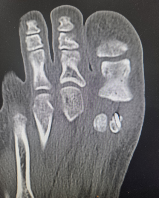
하지만 증상이 계속 악화되고 있다는 점, 그리고 이분 종자골을 가진 사람도 사이 연골 결합이 손상되면 골절과 같은 양상의 통증을 느낄 수 있다는 점에 주목했다. 나는 환자에게 '종자골 골절'의 가능성을 설명하고 CT와 MRI 등 정밀 검사를 진행했다.


image.png
image.png

정밀 검사에서도 명확한 골절 소견은 나오지 않았다. 이때부터 깊은 고민이 시작됐다. 안전하게 '종자골염'으로 진단하고 지켜볼 수도 있었지만, 이미 6개월간의 보존적 치료에 실패한 상태였다. 결국 경험에 비추어 가장 확률 높은 진단을 추려야 했다. 사실 종자골 골절은 발생 빈도가 매우 낮은 희귀 질환이라 확진을 내리는 것 자체가 조심스러운 일이다.


하지만 내게는 특별한 기억이 있었다. 4년 전 학회에서 스승님이 20년 가까이 환자들을 보며 집도하셨던 종자골 골절 8 케이스에 대하여, 내가 직접 진단과 치료 결과를 분석하고 연구하여 발표를 진행했던 적이 있다. 그 이유도 흥미로운데, 내가 전공의 시절 나의 이모님이 바로 이 희귀한 종자골 골절로 우리 병원에서 수술을 받으셨기 때문이다.


족부 전문의로서 첫 시작을 가족이 앓았던 질환에 대한 연구로 장식하고 싶어 진행했던 과정들이었다. 그렇게 정성 들여 연구했던 질환과 유사한 환자를 마주하게 된 순간, 내 안에서는 확신과 함께 묘한 흥미가 되살아났다.


나는 환자에게 이모님의 사례와 과거 내가 연구했던 데이터들을 보여주며 골절 가능성을 설명했다. 다만 내 경력이 당시 10년이 채 되지 않았기에, 20년 넘게 발만 진료하신 대학병원 교수님들의 의견을 한 번 더 듣고 치료를 결정하자고 권유했다.


그렇게 환자는 수긍을 하고 떠나갔고, 한동안 잊고 지냈을 무렵 그가 다시 찾아왔다. 세 곳의 병원을 더 다녀온 그는 결국 종자골 골절 가능성이 높다는 진단과 함께 수술을 권고받았다. 이전 병원들은 문제가 되는 종자골 일부를 제거하는 '절제술'을 제안했다. 통증 감소 효과는 확실하지만, 종자골은 충격을 흡수하고 힘줄의 지렛대 역할을 하는 중요한 기관이다. 나는 수술은 훨씬 어렵더라도 뼈 이식을 통해 해당 부위를 고정하는 '유합술'을 제안했다. 뼈가 워낙 작아 고난도의 수술인 만큼, 충분한 고민을 하고 본인이 더 신뢰할 수 있는 곳에서 수술받으라고 덧붙였다.


image.png 가운데 부위가 서로 떨어져 불안정하게 움직이는 모


환자는 고민 끝에 3주 뒤 나를 다시 찾아왔고, 그렇게 많은 이야기를 나눈 후 수술을 진행하였다. 수술은 약 1시간 동안 진행되었다. 추가 절개를 피하기 위해 기존 절개창 내 주변 조직에서 이식할 뼈를 채취했다. 환부를 확인하고 움직여보자, 놀랍게도 두 분절이 따로 노는 불안정성이 관찰되었다. 수술실에서 종자골 골절임을 명확히 확진하는 순간이었다.


image.png
image.png


수술 후 6주간은 수술 부위 보호를 위해 목발 보행을 하며 발을 땅에 딛지 않게 했고, 이후 점진적으로 체중을 싣는 연습을 시작했다. 엄지발가락이 굳지 않도록 운동하되, 과하게 꺾일 경우 통증이 악화될 수 있어 회복 정도에 맞춰 가동 범위를 늘려갔다. 3개월 차부터는 운동화를 신고 일상에 복귀했고, 5개월 차에는 모든 훈련에 참가할 수 있게 되었다.


그리고 수술 후 9개월이 지난 오늘, 환자는 다시 진료실을 찾았다. 흉터는 거의 사라졌고 통증도 없었다. 영상 검사 결과, 이식한 뼈는 단단하게 붙어 있었다.


image.png
image.png

환자는 이제 까치발을 들어 수술 부위에 압력을 주어도 전혀 불편함을 느끼지 않는다. 달리기 연습을 하며 꾸준히 운동 능력을 올리고 있다는 그의 뒷모습을 보며, 1년에 한 번 정도 상태를 확인하자며 배웅했다.


사실 이번 케이스는 운이 좋았다. 우연히 내가 이 질환을 깊이 연구했던 경험이 있었기에 진단과 치료가 가능했다. AI를 즐겨 활용하는 나로서 항상 고민하는 지점은 '지식으로부터의 해방'이다. 단순히 교과서나 논문에 있는 내용을 아는 것만으로는 AI를 이길 수 없다. 앞으로의 교육은 지식의 습득이 아니라 '어떻게 질문하고 사유하는가'에 초점이 맞춰질 것이다.


하지만 AI 혁명의 파고 속에서도 끝까지 인간의 영역으로 남을 곳은 결국 '경험'이라고 생각한다. AI는 데이터를 시뮬레이션하고 또 인간의 경험을 간접적으로 체험할 수 있지만, 한 명 한 명이 고유한 우주인 환자의 미세한 통증 양상과 수술대 위에서의 미묘한 조직 질감을 완벽히 이해할 수는 없다. 이번 진단의 핵심 역시 논문 속 텍스트가 아니라, 과거의 연구 데이터와 환자의 발바닥을 직접 만지며 느꼈던 그 미세한 불안정성에 있었다.


결국 미래에 의사로 남을 수 있는 길은 '올바른 경험의 확장'에 있다. 효율과 수익이 지배하는 분야는 끊임없이 쌓이는 데이터로 인하여 머지않아 로봇과 AI가 대체할 것이다. 하지만 연구가 부족하고 관심이 적은 분야, 그 틈새에서 쌓아 올린 깊은 경험이야말로 기술이 대체할 수 없는 의사의 본질이 된다. 그리고 그 과정에서 얻은 경험들이 결국 AI 시대에도 의사가 끝까지 지켜내야 할 자리가 아닐까 생각한다.



작가의 이전글동행