brunch
매거진 건강

두통 생기면 '이 병' 의심

by 데일리
다운로드.jpg

우리는 일상에서 두통을 비교적 자주 겪는다. 스트레스를 받거나, 피로할 때 우리는 머리가 지끈거리거나 누가 바늘로 머리를 콕콕 찌르는 듯한 통증을 느끼곤 한다. 쉽게 나타나는 편두통이나 긴장성 두통이 심각한 질환과 연결되어 있는 경우가 많지는 않지만, 간혹 심각한 질환이 두통을 유발하는 경우가 있다. 따라서 전에 없던 두통이 반복적으로 나타나면 질환으로 인한 것은 아닌지 의심해보아야 한다. 두통이 일어나면 의심할 만한 질환 10가지는 다음과 같다.

중간선 확정.png

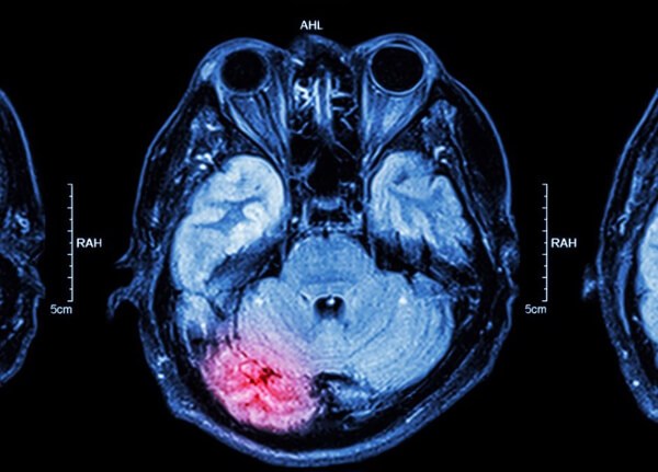
뇌동맥류 파열


뇌동맥류는 뇌동맥의 일부가 꽈리처럼 부풀어 오르는 병으로, 출혈이 일어나기 전까지는 자각증상이 없는 경우가 대부분이다. 그러나 뇌동맥류가 파열되어 뇌지주막하 출혈을 야기시키기 시작하면 머리를 꽝 치는 듯한 느낌과 함께 생애에서 가장 심한 두통을 경험하게 된다.

중간선 확정.png

뇌경색


뇌나 목의 혈관이 막히는 뇌경색은 신체에 일어나면 갑작스런 반쪽 마비, 안면·감각마비, 두통을 동반한 구토증상, 의식저하(혼수), 발음 또는 언어 장애 등의 증상이 단독 또는 복합적으로 나타난다. 이전에는 두통과 울렁거림, 구토 등의 증상이 나타나는데, 대부분은 이러한 증상을 단순 만성두통으로 생각하는 경우가 많다.

중간선 확정.png

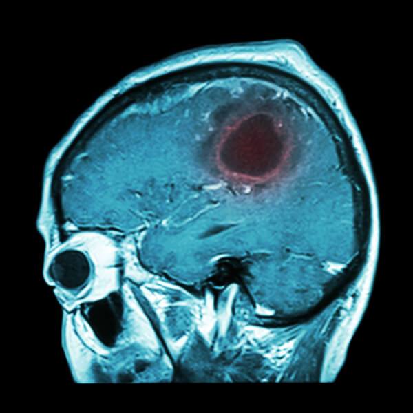
뇌출혈


뇌출혈은 말 그대로 뇌혈관의 출혈이 원인이 되어 일어나는 것으로, 뇌혈관장애, 뇌일혈이라고도 한다. 뇌졸중을 일으키는 대표적 질환인 뇌출혈의 공통된 초기 증상은 두통과 구토다. 두통이 반복적으로 일어나면서 극심한 고통을 수반하는 경우에는 병원에 가보는 게 좋다.

중간선 확정.png

일과성 뇌허혈증


일과성 허혈 발작은 혈전에 의해 혈관이 막히기 전에 저절로 녹아 그 증상이 몇 분 또는 몇 시간 이내(24시간 이내)에 사라지는 것이다. 질환의 원인은 고혈압, 고지혈증, 당뇨, 흡연 등이 있으며 한쪽 팔다리가 마비되거나 감각이 이상해지고, 눈이 안 보이거나 둘로 보이고, 벼락 치듯 심한 두통이 온다. 그러나 일시적인 어지럼증과 복시 또는 두통만이 별도로 발생할 시에는 일과성 허혈발작으로 보기는 어려우므로 병원을 찾는 것이 가장 좋다.

중간선 확정.png

뇌진탕


뇌진탕은 머리에 물리적 충격을 받은 뒤 뇌의 물리적 손상 없이 일어나는 뇌 기능 장애를 말한다. 뇌가 단단한 두개골 안에서 과도하게 흔들리게 되면서 뇌 기능이 일시적으로 중단됐다가 회복되는 경미한 뇌 손상이라 볼 수 있다. 외상 후 두통, 어지럼증, 구토 등의 가벼운 증상이 나타나며, 일부는 만성두통으로 이어질 수 있다.

중간선 확정.png

뇌종양


전신에서 발생하는 종양 중 세 번째로 많이 발생하는 뇌종양. 뇌종양의 가장 흔한 증상은 두통이다. 뇌종양의 두통은 종양이 인접한 뇌수막이나 혈관을 압박하고 팽창시키거나, 종양이 상당한 크기로 자라 뇌압이 상승하여 뇌수막을 자극하게 되면서 발생하게 되는데, 주로 새벽이나 아침에 심한 양상을 보인다.

중간선 확정.png

뇌수막염


뇌수막염은 바이러스로 인해 뇌를 둘러싸고 있는 막인 뇌수막에 염증이 생기는 질환이다. 뇌수막에 생긴 염증이 통증을 느끼는 신경을 자극하면 두통이 나타나는 것인데, 주로 몸에서 열이 나거나 목이 뻣뻣해지는 증상과 함께 나타난다.

중간선 확정.png

녹내장


눈에는 영양분을 공급하고 노폐물을 씻어내는 '방수'라는 액체가 있는데, 이것이 눈 밖으로 제대로 빠져나가지 못하면 녹내장이 생기는 것이다. 방수가 눈에 많이 쌓이면 안압이 높아지고, 시신경 주변의 통증 신경을 자극해 안구 통증과 두통이 함께 나타나는데, 눈이 아픈 쪽의 머리가 아프기 때문에 한쪽 머리만 아픈 편두통으로 오인하기 쉽다.

중간선 확정.png

일사병

일사병은 장시간 고온에 노출되어 열이 체외로 잘 배출되지 못해 체온이 37도에서 40도 사이로 상승하는 것이다. 일사병이 발생하면 심박동이 빨라지므로 어지럼증과 두통이 발생하게 된다. 무더운 날씨에 두통이 나타난다면 이처럼 일사병, 열사병 등의 열성 질환을 의심해보아야 한다.

중간선 확정.png

간염


간염은 간세포 및 간 조직의 염증을 의미한다. 주요 원인으로는 바이러스, 알코올, 여러 가지 약물들 및 자가면역 등이 있다. 평소 피로감과 두통을 동반한 감기몸살과 같은 증상이 나타나면 간염을 의심해볼 필요가 있다. 만성으로 진행될 만큼 간염을 방치하면 간경화, 간암과 같은 질환으로 이어질 수 있기 때문에 주의가 필요하다.

중간선 확정.png
더욱 다양한 이야기가 궁금하시다면?

중간선 확정.png
삼겹살이 미세먼지 제거에 도움될까? 미세먼지에 좋은 음식의 진실
미백주사 오해 No! 아이유처럼 찰떡같이 새하얀 피부되는 방법
당신은 어떤 스타일? 함께하면 좋은 여행메이트 유형들


keyword
매거진의 이전글여드름 나는 이유