6주, 포도와의 첫 만남

by 이다래
6주

#8월 3일


2~3주 전부터 이유 없이 몸이 피곤하고 기력이 없었다. 원래 비염이 오면 몸살 기운이 같이 오는데, 그렇다고 치기엔 비염 증세도 그리 심각하지 않았다. 게다가 생리도 두 달 가까이하지 않고 있었다. 워낙 주기가 불규칙해서 이 정도쯤은 대수롭지 않은 일이었지만 아무래도 몸살 기운이 신경 쓰였다. 의심은 갔지만 임신 여부를 확인하는 건 최대한 늦게 해 보기로 했다. 괜히 실망하기 싫었기 때문이다. 이러다가 갑자기 생리가 시작될 수도 있는 거고.


첫 번째, 그리고 두 번째 유산이 그랬다. 아이를 기다리고 있던 중이어서 조금이라도 증상이 있으면 임신테스트기를 해보았다. 사실 첫 번째 유산은 내가 임신테스트기를 해보지 않았다면 임신했는지도 모르고 지나갈 수도 있는 정도였다. 혈액검사로 나온 임신 수치도 낮았고, 병원에서 임신 확인을 받고 2일이 지난 후에 생리가 찾아왔으니까. 두 번째 유산은 임신 확인을 받을 때부터 의사가 그랬다. 아기집이 있긴 하지만 모양이 좋지 않으니 무슨 일이 생기면 바로 병원으로 오라고. 이때도 역시 병원을 다녀온 2~3일 후에 생리가 시작됐고, 소파수술을 했다. 회복실에서 들었던 아기 울음소리가 아직도 선명하다.


쉬는 날, 아인이를 등원시키고 집으로 돌아오는 길에 임신테스트기를 샀다. 결과는 선명한 두 줄. 테스트기를 잘 숨겨뒀다가 아인이를 재우고 남편에게 보여주었다. 남편의 반응은 그닥 기뻐보이지도, 들떠보이지도 않았다. 평소에도 남편은 가끔씩 둘째가 있었음 좋겠다는 이야길 하곤 했다. 하지만 아인이를 임신하는 과정이 쉽지 않았고, 2번의 유산을 겪은 터라 나에게는 어떠한 강요도 없었다. 그래서인지 남편의 반응이 조금은 의외였다. 병원에 빨리 가보자는 남편에게 또 실망하기 싫으니 조금 시간이 지나면 가고 싶다고 했다. 다소 싱겁게 끝난 임밍아웃. 왜인지 조금 서운한 마음이 들어서 다음 날 다시 남편에게 말했다. 나도 지금 이 상황이 당황스러우니 너는 생각이란게 없어보일 정도로 기뻐해줬음 좋겠다고. 그랬더니 남편이 말한다. 이번에도 혹시 유산이 될까 봐 두렵다고, 그래서 빨리 병원에 가서 확인받고 마음껏 기뻐하고 싶었다고. 나는 남편에게도 유산이 힘든 일이었다는 걸 처음 알았다.



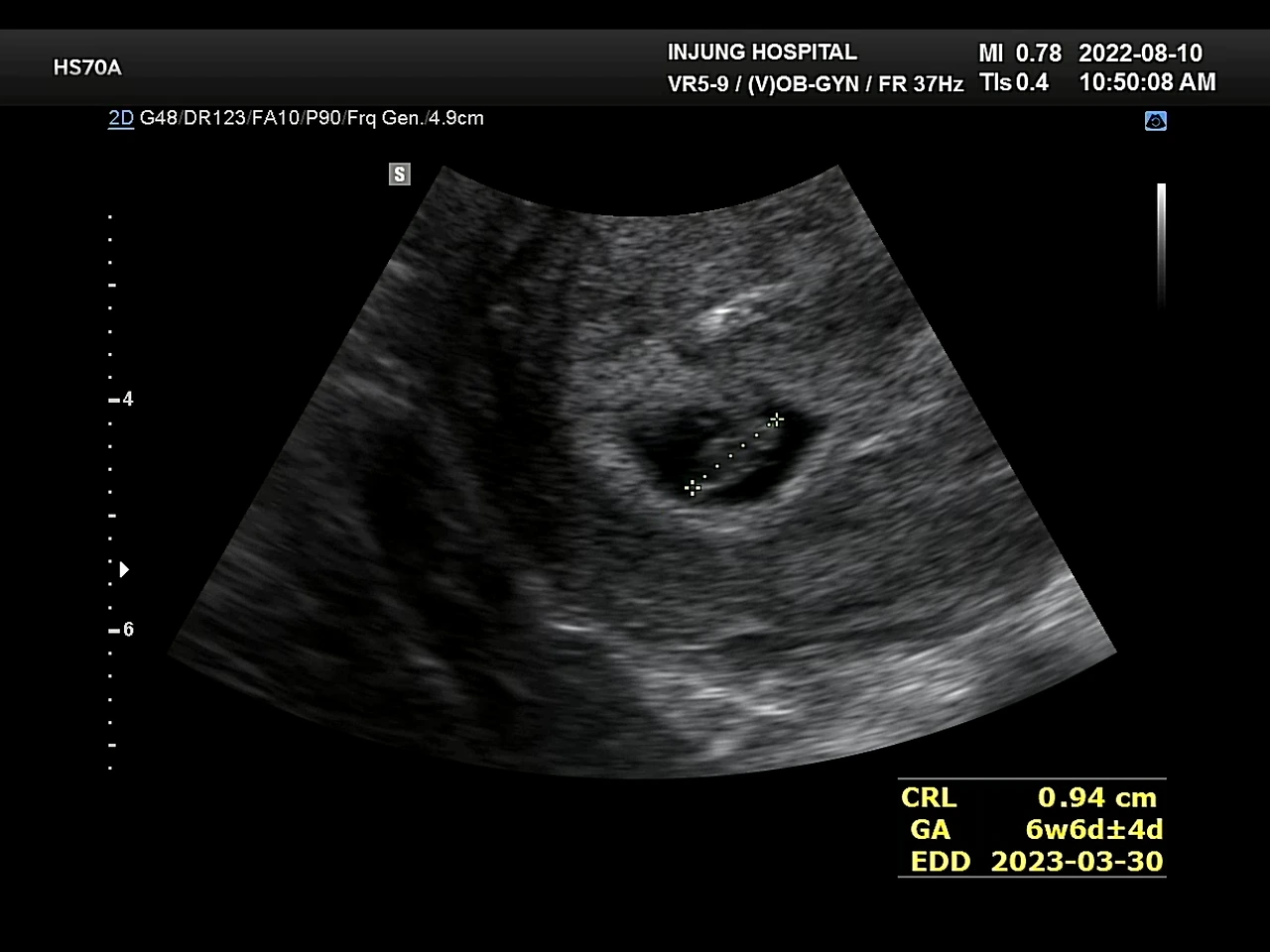
#.8월 10일


테스트기를 하고 1주일 뒤 병원을 찾았다. 아기집을 보고 젤리곰같은 태아도 봤다. 심장도 잘 뛰고 있었다. 벌써 6주 6일. 혹시나 임신이 아니면 어쩌지, 다른 문제가 생긴거면 어떡하지라는 걱정들이 무색했다.



임신 전, 누군가 둘째에 대해 물어보면 늘 두 가지 마음이 들었다. 둘째를 갖고 싶긴 하지만 아인이를 임신하는 과정이 쉽지 않았고, 그걸 다시 반복하고 싶지 않았다. 그런데 이상하게 주변에서 누군가 둘째를 가졌다는 소식을 들으면 마음이 철렁 내려앉곤 했다. 나에겐 어려운 일이 저 사람에겐 쉽구나 하는 생각이 들어서였다. 그러면서 한편으론 누군가를 기르고 돌보는 일은 내 적성에 맞지 않는다는 생각도 했다. 아인이는 비교적 순한편이었다. 자주 아프지도 않았고, 성장과정에서 크게 고민을 하게 만드는 일도 없었다. 그럼에도 둘째, 셋째까지 키우는 엄마들에 비해 내가 더 힘듦을 자주 호소하는 기분이었다. 또다시 육아를 처음부터 하는 것이 엄두가 나지 않았다. 그런 고민들 속에 아인이는 무럭무럭 자라 6살이 되었으며, 나는 일도 하고, 쉬는 날엔 글도 쓰는 소소한 일상에 만족을 느끼고 있었다. 어쩌면 뜬금없는 타이밍에 찾아온 둘째.


병원을 다녀오고 얼마 지나지 않아 태몽 비슷한 걸(?) 꿨다. 집에 다 죽어가는 화분이 있었다. 원래 하얀 꽃을 피우던 초록색 식물이었는데, 꽃이 지고 관리에 잠시 소홀했더니 잎이 모조리 갈색으로 변해버렸다. 다른 화분들은 웬만하면 다시 살아나던데 그 화분만큼은 아무리 햇빛을 많이 보여주고 물을 줘도 살아날 기미가 보이지 않았다. 꿈에 그 화분이 나왔다. 하얀색 꽃이 활짝 핀 모습으로. 오랜만의 컬러꿈이었다. 지지 않고 잘 자라주었으면. 아직은 혼란스럽지만, 또다시 임산부가 된 내 모습에 금방 적응할 것 같은 기분이 들었다.