8주, 아인이와 포도

by 이다래
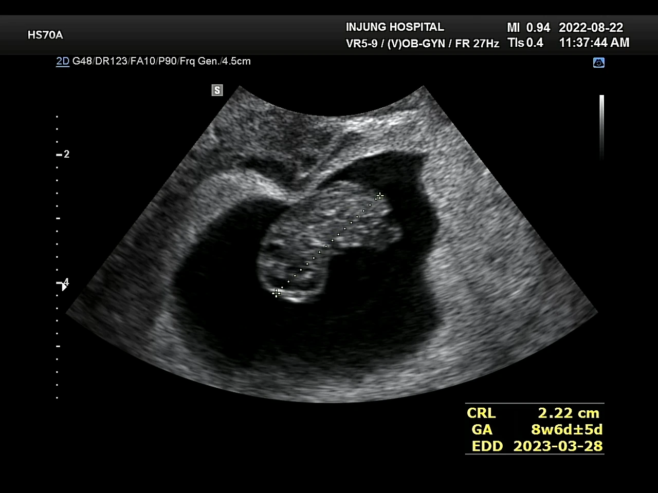
8주


본격적으로 입덧이 시작되었다. 뭘 먹든 소화가 잘 안 되는데, 소화하기 힘든 음식을 미리 예측하기가 어려웠다. 먹을 땐 맛있게 먹었는데도 갑자기 속이 더부룩하면서 구토를 하는 경우도 있었다. 잘 먹던 음식도 어쩌다 한번 체하고 구토를 하고 나면 다시 먹기 힘들어지기도 했다. 그런데 뭔가를 잘못먹고 속이 더부룩할 때, 땡기는 음식을 먹으면 갑자기 소화가 잘 되곤 했다. 신비한 입덧의 세계.


이 시기엔 주로 맵고 짠 음식을 많이 먹었다. 특히 달달한 음식이 너무나 땡겨서 평소에 잘 먹지도 않던 과일을 식후에 꼭 챙겨 먹었다. 물도 미지근한 건 도저히 못 먹겠어서 외출할 때도 텀블러에 얼음을 가득 넣어서 다니곤 했다. 그래도 이 정도면 입덧이 심한 편은 아니라고 생각했는데, 한 가지 아쉬웠던 건 그렇게 좋아하던 해산물을 먹는 게 힘들어졌다는 것. 임신되기 직전에 어머니가 만들어주신 간장게장이 있었는데, 다 먹지도 못하고 버렸다…… 어찌나 아깝던지. 양치를 할 때마다 구역질을 심하게 하다가 구토로 이어지는 일이 잦았다. 양치질이 겁이 나서 점심 양치는 건너뛰기도 했다. 내 치아가 제발 무사하길 바라며.


체력이 딸리는 게 온몸으로 느껴졌다. 자꾸 졸리고 아직 배가 나올 때도 아닌데 몸이 천근만근이었다. 일하는 곳에서도 배려를 해주셔서 틈틈이 누워서 쉴 수 있었다. 남편도 집안일을 도맡아 해 주었다. 체력도 그렇지만 음식물쓰레기 냄새를 맡은 게 너무 힘들어져서 모든 설거지는 남편이 도맡아 했다. 아인이를 씻기고 장난감을 정리하고 청소를 하는 것도 모두 남편이 해주었다. 설거지를 할 때마다 듣는 팟캐스트가 있는데, 언젠가 팟캐스트 목록을 살펴봤더니 듣지 못한 에피소드가 10개도 넘게 쌓여있었다. 임신 전에는 새로운 에피소드가 올라오기 무섭게 듣곤 했는데.... 고마운 남편.



아인이에게 임신 소식을 알렸다. 듣자마자 거짓말하지 말라는 아인이. 초음파 사진을 보여주면서 진지하게 한번 더 얘기해주자 눈물을 펑펑 터트렸다. 아인이는 동생이 늦게 태어났으면 좋겠다고 했다. 평소에도 동생은 필요 없다고 말해왔기도 하고, 어린이집에서도 자기보다 한참 어린 친구들에게는 전혀 관심이 없어서 기뻐하진 않을 거라는 것 정도는 예상했다. 그런데 이 정도로 싫어할 줄이야. 아인이를 겨우 달래서 문구점에 가서 좋아하는 스티커를 사주었다. 평소와 달리 크게 좋아하지 않아서 더 마음이 쓰였다.


그 무렵 아인이는 이상할 정도로 소변을 자주 봤다. 잠들기 전엔 5분에 한 번씩 가기도 했다. 병원에 가서 증상을 말했더니 의사선생님이 요로감염이나 방광염과 같은 증상은 아닌 것 같은데, 혹시 환경의 변화가 있냐고 물으셨다. 최근에 임신을 했다고 말했더니 그것 때문인 것 같으니 따로 처방은 필요 없을 것 같다고, 아이가 소변을 자주 보는 것에 너무 신경 쓰지 말고 소변을 보고 싶다고 하면 아무렇지 않게 대해주라고 하셨다. 집에 돌아오는 길, 아인이가 소변을 자주 보는 걸로 나도 모르게 짜증냈던 일들이 떠올랐다. 그저 모든 상황이 미안했지만 마음껏 미안해하기엔 뱃속의 아기가 마음에 걸렸다.