brunch
매거진 HEALTH

X-ray촬영 O장은 원전 피폭과 같아요

by 배뚱뚱이

by 일상건강

벌써 2023년의 두 번째 포스팅이네요. 오늘은 오랜만에 제 전공으로 돌아와 X-ray 얘기를 해볼까 합니다. 홀수년도 출생자라면 올해 건강보험공단에서 하는 국가건강검진의 대상자입니다. 그럼 당연히 X-ray가 포함되어 있겠네요. 어떤 사람은 방사선 때문에 X-ray는 가급적 찍지 않는 게 좋다고도 하죠. 그런데 건강검진 항목을 보면(특히, 회사 건강검진의 경우) 선택사항으로 X-ray와 비슷해 보이는 CT, PET-CT 등을 추가할 수 있게 되어 있습니다. 이거 이렇게 찍어도 되는 걸까요? 괜히 찍었다가 방사선 피폭때문에 오히려 안좋아지는 거 아닐까요?


# X-ray의 원리는 그림자놀이

X-ray는 우리가 어렵지 않게 경험할 수 있는 영상의학 검사 장비입니다. 하지만, X-ray의 원리 그렇게 간단하지 않습니다. 전자물리학 개념까지 동원해야 하죠. X-ray 기계 안에는 구리나 텅스텐으로 된 필라멘트가 있습니다. 여기에 전압을 가하면 우리 눈에는 보이지 않는 열전자가 방출되고 전압에 의해 가속이 됩니다. 가속된 전자를 금속판에 충돌시키면 빛과 열을 발산하죠. (정확하게는 빛이라기보다는 파장 에너지이지만 이해하기 쉽게 빛으로 설명할게요.) 여기까지가 위의 X-ray 기계 안에서 발생하는 일입니다. (벌써부터 어렵나요? 이제 거의 다 왔습니다.)

CK_cm280029337_l.jpg

이때 발생한 빛을 사람에게 조준해 지나가게 하는데, 빛 에너지가 통과하는 곳은 검게, 통과하지 못하는 곳은 하얗게 나오게 되는 것이죠. 뼈, 금속, 석회 등은 X-ray가 통과를 못해서 X-ray 필름에는 하얗게 보이는 겁니다. X-ray는 어떻게 보면 투과력이 더 센 (사람 몸을 일부 통과하는) 빛으로 하는 그림자놀이라고 생각하면 쉬워요. 뼈 정도는 돼야 X선을 막아서 하얗게 보이는 거죠.

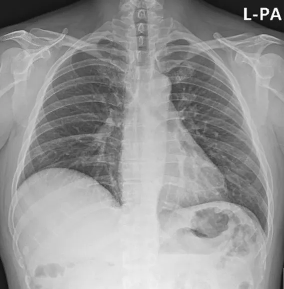
엑스레이_1.JPG

위의 사진이 제 흉부 X-ray 사진입니다. 세상에! X-ray가 투과를 했는데도 비대한 몸통은 감출 수가 없군요!


# X-ray를 수십 장 찍어서 적분(積分)하면 CT

위의 사진과 같이 X-ray는 2차원적인 결과물입니다. 하지만 우리 몸은 평면이 아니죠. 보다 더 정확한 이미지를 얻기 위해 고민하던 차에 컴퓨터가 발전하면서 그 고민을 해결해 줬습니다. 바로 CT입니다. CT는 Computed Tomography, 컴퓨터 단층 촬영의 약자입니다.

CK_cm280029350_l.jpg

위의 사진이 바로 CT입니다. 이 동그란 도넛 안에는 빙글빙글 돌아가는 X-ray 촬영 장치가 있습니다. X-ray가 돌아가면서 촬영을 하면 그것을 컴퓨터가 재합성해서 아래와 같이 단층 사진을 만듭니다. (이 역시 제 사진입니다.)

CT.JPG


# X-ray 진짜 위험해? 걱정만 하지 말고 과학적으로 접근해 봅시다!

자 그러면 여기서, X-ray는 몇 번까지 찍어도 되는지 궁금증이 생길 수밖에 없는데요. (우리 일상건강 편집장님이 주신 질문도 이거였어요) 정답은 ‘가능한 한 최소한’입니다. “알라라(ALARA)”라는 말을 들어봤나요? 영어로 As Low As Reasonably Achievable, 직역하자면 ‘가능한 낮게 합리적인 수준까지’란 의미죠. 이는 1997년 국제방사선방호위원회가 도입한 원칙입니다. 방사선에 조금이라도 연관이 있는 직종 (의사, 간호사, 방사선사 등)라면 무조건 시험에 언급되는 정말 중요한 개념입니다.

CK_ti219a23113_n.jpg

좀 더 근원적인 질문을 해보겠습니다. 방사선은 왜 위험할까요? 어떻게 사람을 위험하게 만들까요? 방사선은 눈에 보이지 않지만 사람을 통과합니다. 그리고 그냥 통과하는 것이 아니라, 방사선 종류에 따라서 우리 몸의 세포를 부수며 통과합니다. 정확히는 DNA를 부수면서 통과합니다. 바로 이 과정에서 우리가 알고 있는 방사선의 독성이 나타나게 됩니다.


방사선의 독성은 급성부작용이 있고, 만성 부작용이 있습니다. 만성부작용은 대부분 방사선으로 인한 2차 종양, 즉 암이 생길 가능성이 올라가는 것입니다. 급성부작용은 방사선에 노출된 그 자체로 발생하는 부작용으로 피부나 신체 조직의 괴사가 대표적이며 특히, 전신에 방사선이 노출되었을 때에는 조혈기능(피를 만드는 기능) 자체가 0으로 떨어지면서 사망에 이르게 됩니다. 슬프지만 이런 급성 부작용은 대부분 일본 원폭 피해자들과 체르노빌 원전 사고 당시 사망자들의 의무기록을 통해 알게 됐습니다.

CK_psxtg0583992_l.jpg

이제 방사선의 문제점을 얘기할 텐데, 우선 단위부터 배우고 가겠습니다. 일단 신체에 흡수되는 방사선의 양은 Gy(그레이)라는 단위로 나타냅니다. 방사선치료는 Gy단위로 환자에게 치료할 방사선 양을 결정합니다. 그런데 우리가 방사선 노출에 사용하는 단위는 Sv(시버트)입니다. 왜 이게 다르냐면, 방사선은 한 가지 종류가 아니기 때문에 방사선의 종류에 따라 사람에게 영향을 일으키는 정도가 다릅니다. (Relative biological effectiveness RBE라고 합니다). 그래서 이 RBE를 고려하여 사람에게 진짜 영향을 미치는 것을 정량화 한 단위가 Sv이고 Sv는 너무 큰 단위라 보통 mSv(미리시버트: 1/1000 시버트)를 사용합니다.


# CT의 방사선량은 X-ray의 100배 이상

그럼 이제 X-ray나 CT 등을 촬영하면서 걱정하는 부작용은 급성 부작용보다 만성(지연성) 부작용이란 걸 알 수 있겠죠? 급성으로 방사선에 의해 사망하려면 8~12Sv(시버트) 즉 8,000~12,000 mSv(미리시버트) 정도를 일시에 쬐야 하는데, 보통 복부X-ray 한번 촬영할 때 X-ray 피폭량은 0.6 mSV, 그러니까 X-ray를 2만 장 정도 찍어야 급성부작용으로 사망합니다. 우리가 살면서 한 번에 X-ray 2만 장을 찍을 일은 없겠죠? 그런데 아주 안심할 수는 없는 것이 있으니 그건 바로 CT입니다. 흉부 CT는 1회당 7~10 mSv정도가 피폭되는데, 이 정도면 X-ray 2만 번이 1천 번 정도로 줄어드는 것이죠. 실제로 CT가 등장하면서 영상의학검사로 인한 방사선피폭을 걱정하기 시작했습니다.


# MRI와 초음파는 방사선 Free!

X-ray와 CT와 비슷해 보이는 영상 검사인 MRI와 초음파는 어떨까요? MRI의 정식 명칭은 Magnetic(자기) Resonance(공명) Imaging(영상)으로, 이름 그대로 사람의 몸을 강력한 자기장 안에 들어가게 한 후 전파를 쏴서 반향(튕겨져 나오는 자기장들)을 측정해 영상을 얻는 검사 방법입니다. 신체 내에 자기장을 걸어서 신체 내 물 분자, 정확히는 수소 원자에서 반사되어 돌아오는 자기장을 측정하는 것이죠. 이런 원리를 적용하면 고체냐 액체냐, 고체의 경우 물체의 밀도가 높냐 낮냐 등에 따라 신호가 달라집니다. 그 신호를 모아 지도처럼 그려내면 우리가 알고 있는 MRI 영상이 됩니다.

CK_pc0020603569_l.jpg

초음파, 정확하게는 초음파를 이용해 획득하는 영상 검사를 초음파 검사라고 해요. 신체에 파장을 보내서 그 메아리가 돌아오는 신호를 영상화해 마치 살 속을 들여다볼 수 있습니다. 초음파는 딱딱한 물체(ex. 뼈)를 통과하지 못하기 때문에 뇌 내부의 확인은 어렵지만, 뼈가 없는 부위인 복부 내 구조물을 확인하는 데에 아주 효과적이죠. 초음파의 장점은 기계가 상대적으로 저렴하고 방사선이 전혀 발생하지 않는다는 점입니다. 그래서 X-ray처럼 행정관청에 신고를 하고 감독받아야 하는 번거로움도 없어 개원가에서도 많이 활용합니다. 아이가 있는 독자라면 친숙할 텐데요. 초음파 검사는 방사선이 없어 신생아의 성장을 확인하는데 필수적이죠.


# 그런데, 생각보다 우리는 방사선에 많이 노출되어 있습니다.

브라질에 구아라파리 (Guarapari)라는 유명한 해변 관광지가 있는데 이곳은 방사선과 관련된 일을 하는 사람에게는 매우 유명한 동네입니다. 바닷가 모래와 암석이 방사선을 발생시켜 자연방사선이 높은 곳으로 유명하거든요. 여기 해변에서 살면 자연방사선 피폭량이 175 mSv/1년으로 우리나라의 3.08 mSv/1년(식약처 정보)의 50배가 넘습니다. 그럼에도 이 동네가 특별히 방사선으로 인한 질환이 더 생겼다는 보고는 없습니다. 사실 우리나라도 자연방사선 피폭량이 전 세계 평균 보다 조금 높기도 합니다. 우리나라는 자연방사선 발생이 좀 있는 화강암이 많기 때문이죠. 참고로 세계 평균은 연구에 따라 다르지만 보통 2.4 mSV/1년 정도로 보고 있습니다. 참고로 자연방사선의 기원 물질은 매우 다양합니다. 우주에서 오는 우주 방사선, 공기 중 미량의 라돈에서 발생하는 방사선, 땅/암석에서 발생하는 방사선, 음식으로 섭취하는 방사선 이 모든 것이 합쳐진 것이 자연방사선입니다.

CK_cm08270814_l.jpg

2008년쯤 뉴스에서 한참 다룬 적이 있는데, 북극항로 항공사 직원(스튜어디스, 조종사) 중 여성 직원들의 불임률이 높았다고 합니다. 북극은 우주에서 오는 방사선을 막아주는 물질이 적어 방사선 노출이 더 많다고 합니다. 그래서 북극항로를 자주 다니면서 우주 방사선에 과다피폭되어 난자의 손상으로 불임이 높아졌다고 합니다. 난자는 고환에서 새로 생산되는 남자의 정자와 달리 이미 만들어진 채로 난소에 보관되어 있다 보니 여성 불임이 더 많았던 것이죠. 그 이후로 병원의 방사선 관련 직종과 마찬가지로 항공사 직원 역시 특정 항로에 대한 비행 횟수의 제한을 두고 있습니다. 2021년 5월 우리나라에서도 이와 동일한 원인의 산재 신청이 받아들여져 동일한 피폭선량제한 시스템을 운영하고 있습니다.

CK_yaytg414448_l.jpg

선택받은 사람들만 운이 좋아야 볼 수 있다는 오로라를 만드는 태양풍 역시 우주 방사선의 한 종류입니다.


# X-ray, CT 1년에 OO번 까지는 찍어도 됩니다

제게 암을 고치기 위해 방사선치료를 받는 환자들은 앞에서 언급한 수치의 몇 배 많게는 몇 십배가 되는 방사선을 신체 일부에 쬐기 위해 병원에 옵니다. 암 치료라는 명확한 목적이 있고 최소한으로 노출을 제한하기 때문에 이런 것이 가능합니다. 그럼 암이 아닌 보통의 환자들은 어떻게 해야 할까요? 암이 있어 CT로 여러 번 추적관찰을 하더라도 1년에 10회 이상 CT를 찍는 경우는 매우 드뭅니다. X-ray는 수백 장을 찍지 않는 이상 비행기 한번 타고 여행하는 것 이상의 위험도 없고요. 그래서 많은 사람이 궁금해하는 “X-ray와 CT는 1년에 몇 번까지 찍을 수 있어요?” 이 질문에 대한 답은 없습니다. 병원에서 필요할 때 찍으면 되고 병이 없이 검진을 위한 목적의 CT라면 (PET-CT도 포함됩니다.) 1년에 1~2회가 넘지 않도록 하시는 것이 좋을 것 같습니다. 그런데 병이 의심되거나 내가 가지고 있는 질환의 상태를 보기 위해서라면? 네, 그때는 의사 선생님이 찍어야 할 것 같다고 하면 너무 걱정하지 말고 그냥 촬영해도 괜찮습니다.



keyword
매거진의 이전글영양제, 함량 높으면 좋은걸까?