brunch

[임신준비] 산모 기초검사를 받자! 8주전

임신을 준비하는 한 부부의 이야기

by 산부인과 추쌤
pregnancy preparation.png

33세 아내, 30세 산부인과 의사 남편

아이 출산 경험에 의거한 'FACT'에 'FICTION'을 가미한 “FACTION”입니다.

대부분의 내용은 산부인과 교과서를 기반으로 하였습니다.

의학적 지식은 계속 바뀌므로 참고만 하시고 최종 결정은 지정의와 상의 후에 신중히 결정하시기 바랍니다.

모든 산모는 개개인에 맞춘 진료가 필요합니다.

조금이나마 도움이 되었으면 좋겠습니다.

대화에 개인적인 가치관이 반영되어 있습니다. 읽으시는데 참조하시어 읽으시면 감사하겠습니다.



임신 전에 하는 산전 검사와 임신 초기에 시행하는 검사는 거의 겹치므로 오늘의 포스팅은 '임신을 준비하는 맘'과 '예비 맘'께서 보시면 도움이 되겠습니다.


참고로, 보건소에서도 다양한 모자 보건사업이 진행되고 있다는 사실을 확인할 수 있으니 꼭! 꼭! 확인하시기 바랍니다. 강남구 보건소 임산부 건강관리-바로보기

현재 종로구 보건소에서 시행중인 '모자보건사업'중 일부

산부인과 의사이기에 앞서 저도 한 여자의 남편으로서 아내가 산부인과 초기 검사를 받을 곳을 정해야 하였습니다. 저의 선택에서 가장 중요했었던 내용은 아내의 근무시간이었고, 보건소에서 받을 수 있는 혜택이 많았지만
갈 수 없었기 때문에 병원으로 가게 되었습니다.


개인의 휴가나 보건소 위치에 따라서 결혼 전이나 결혼하고 바로 보건소에서 한번 검사받고, 출산 준비할 때 산부인과 진료를 보면서 검사를 할 수도 있겠네요. 활용법은 무궁무진하겠습니다.

보건소에서 검사 가능한 시간대 (9시~오후 5시 30분)

오늘 말씀드릴 임산부 및 임신 전 기본검사는 병원마다 조금씩 다를 수 있습니다. 질병이 있어서 검사한다기보다는 검진에 가까운 개념이어서 병원마다 추천하는 검사가 있을 것 같습니다. (예, vitamin D)


아내의 임신 초기 검사 결과는 정상이었습니다.

본인과 가족 검사 결과 기다릴 때 초조한 마음은 의사여도 어쩔 수 없는 것 같습니다.


검사에 대해서 하나씩 알아보겠습니다.

병력 청취 (월경력, 과거 병력)

산부인과에 가면 많이 물어보는 질문 중에 하나가 '생리를 규칙적으로 하세요?'인 것 같습니다. 산부인과에서 월경력 및 출산력은 매우 중요한 정보여서 대부분 물어보는 것 같습니다. 하지만 산부인과에 가신 적이 없는 '예비맘'의 경우에는 긴장이 되어 잘 생각도 안 나고 힘들어하시는 것 같습니다. 미리 생각해보고 가시면 진료 보시는데 편하시겠죠?


임신을 한 적이 있는지

유산을 한 적이 있는지

출산을 한 적이 있는지, 이전 임신에서 문제가 없었는지

출산한 아기는 건강한지


그 외에도 '예비맘'이 가지고 있으신 질병에 대해서 알려주시면 맞춤식 검사가 진행될 수 있습니다.

고혈압이 있는지

갑상선 질환이나 당뇨가 있는지

간질 발작한 적이 있는지

유전질환이 있는 가족이 있는지


일반 혈액검사 (Hemoglobin)-피검사

빈혈 유무를 확인하게 됩니다. 여성에게서 철결핍성빈혈의 흔한 원인은 과다월경입니다. 평소 생리양이 조금 많으신 분들의 경우에는 빈혈로 확인될 수 있고, 그런 경우에는 철분을 보충하는 게 좋습니다. 임신을 하시게 되면 생리를 하지 않아 초기에는 오히려 혈색소가 늘어나게 됩니다. 하지만 주수가 지남에 따라 태아가 철분을 많이 사용하게 되면서 산모에게 빈혈이 오게 됩니다.


풍진 혈청 검사-피검사

풍진이 아기에게 기형을 초래할 수 있어서, 풍진 항체가 '예비맘'의 혈액 내 존재하는지 확인합니다. 결과에 따라서 예방접종을 시행을 권유받을 수도 있습니다. 단, 예방접종을 하고 나서는 일정 간격을 두고 임신을 시도해야 하기 때문에 상담이 필수입니다.


간염검사-피검사

산모가 간염(hepatitis) 바이러스에 대한 항체와 항원이 있는지 검사하게 되며, 혈액검사입니다. A형, B형, C형이 있고, B형 검사는 필수적으로 시행합니다.

산모가 B형 간염 보균 시 신생아에게 주산기 감염의 위험이 높아 분만 후 신생아 감염예방이 필요합니다.


매독 및 AIDS 검사-피검사

산모의 HIV 감염 및 매독 감염 여부를 혈액검사를 통해 실시하게 됩니다. 신생아에게 수직감염의 위험이 높아지고, 매독의 경우에는 기형 및 유산 등의 가능성이 있어서 치료를 필요로 합니다.


소변검사

소변검사를 통해서 단백뇨가 있는지, 방광염 여부에 대해서 알아볼 수 있으며, 소변에 당이 발견되면 추가적인 검사가 진행될 수 있습니다.



자궁경부암 검사

노란색 원이 그려져 부분이 자궁경부(cervix of uterus)입니다.

자궁경부암 검사는 피검사가 아니라 자궁경부의 세포를 채취하여 검사를 시행하므로, 다리를 벌리고 검사합니다(쇄석 위 자세). 산부인과 검진을 하게 되나 개인적으로는 남자의사를 선호하는지라, 남자 선생님께 진료 보도록 아내를 설득하였습니다. 남자 선생님이 불편하다면 여자 의사 선생님께 진료를 보면 됩니다. 자궁경부에 이상이 있는지, 만져지는 복강 내 종괴가 있는지 검진을 하게 됩니다. 상당수 여성에서 불편함을 느끼는 것 같습니다. 마음의 준비를 하고 진료를 보시러 가시길 권유드립니다.

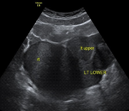
초음파 검사

임신을 준비하는 여성들의 초음파 검사에서 관찰되는 영상입니다.

1. 양성종양 (Benign ovarian cyst)

2. 자궁근종 (Myoma uteri)

3. 자궁내막증 (Endometriosis)으로 인한 다수의 자궁내막종 (multiple endometrioma)


자궁근종이 있는지, 자궁 용종이 있는지, 난소에 혹이 있는지 확인할 수 있는 간편하면서도 정확도가 높은 검사입니다. 비용은 병원마다 천차만별이오니 꼭 미리 확인하고 가시기 바랍니다. 자궁근종, 자궁 용종, 난소에 자궁내막종의 여부에 따라 난임에 대한 접근방법이 바뀔 수 있어 필수적으로 시행하는 검사입니다.


초음파는 일종의 음파 (Sound wave)이며,

우리가 들을 수 있는 주파수 20Hz~20,000Hz를 넘어선 월한 음파 입니다. 초음파의 경우 X-ray이나 CT와 달리 방사선 피폭이 없어서 태아를 관찰하기에 용이합니다.


하지만 검사 결과의 정확성이 시술자의 능력에 따라 좌우되기 때문에 타 병원에서 시행한 검사는 100% 신뢰하지 않습니다. 그래서 초음파의 경우엔 그 자료를 참고하되 다시 보는 경우가 많지요.

"초음파 찍고 왔는데 또 찍어야 하나요?"라는 질문엔 "네..."


여성 생식기를 보게 되며, 보는 방법에는 질식 초음파복식 초음파, 음순을 이용한 초음파 방법이 있습니다만, 가장 많이 이용하는 방법은 복식 초음파(Transabdominal USG)질식 초음파(Transvaginal USG)입니다. 쉽게 설명하면, 산모의 태아를 보듯 배를 통해서 보면 복식 초음파이고, 질(vagina), 아기가 나오는 길(산도)을 통해서 보게 되면 질식 초음파입니다.

임신하지 않은 여성이나 10~12주 이전 산모의 경우에는 태아가 작아서 질식 초음파를 이용해서 태아를 관찰하는 경우가 많습니다. 그리고 20주 이후에도 자궁경부를 확인하기 위해서 질식 초음파를 관찰할 때가 있습니다.

일반 여성 환자의 경우, 복부 초음파로 검사를 시행할 수도 있지만, 하복부 지방으로 인해서 복식 초음파가 쉽지 않을 때가 많고, 질식 초음파가 훨씬 선명하기에 질식 초음파를 사용하게 됩니다.
단!!! 성경험이 없는 여성의 경우에는 처녀막(hymen)의 손상의 가능성이 있어 질식 초음파로 접근을 시도하지 않습니다. 이런 경우 항문을 통해서 자궁과 난소를 관찰하게 되고, 보통 질초음파보다 불편함을 더 호소합니다.


지금까지 산부인과에서 시행하시게 될 산전검사에 대해서 알아보았습니다.

내용을 쉽게 풀어쓰려고 노력했는데 아마 100% 이해가 되지는 않으실 것 같습니다.

병원에 방문하시어 문의하시면 각 병원의 선생님들께서 좋은 상담을 해주실 것이라 믿습니다.


다음 주에도 재미있고 유익한 글로 찾아뵙도록 노력하겠습니다.

이상 @forhappywomen이었습니다.

감사합니다.



아래 교과서를 참조하며 글을 작성하고 있습니다.

1.Berek & Novak's Gynecology. 15th edition.
2.Clinical Gynecologic Endocrinology and Infertility 8th Edition.
3.Williams Obstetrics. 24th Edition


forhappywomen.com 배너 가로 긴것.jpg


keyword
매거진의 이전글[임신 준비] 어디에서 해야 해...? 9주전