보험 하나 팔려고 많이 애쓰시네요.

잊혀지지 않는 한마디

by 갑돌이

이번 한마디는

이제는 많이 괜찮아졌지만 거의 10년이 지난 지금까지도 잊혀지지 않는 한마디이다.

심지어 이말을 들었을때의 그 말투와 그 상황 , 현장까지도 생생히 기억이 난다.


말은 힘이고, 위로이며 , 격려이기도 하지만 칼이며 총이다.


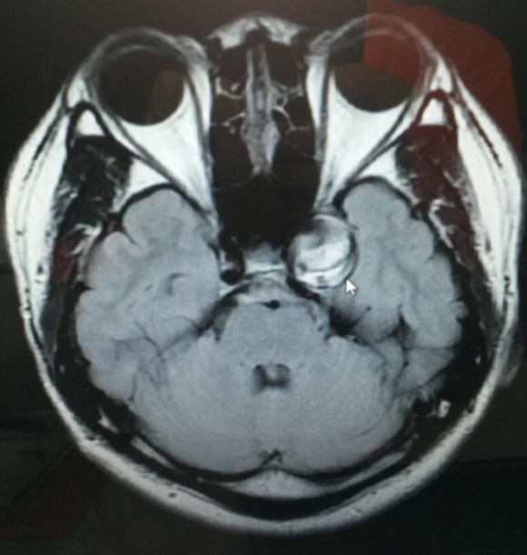
2014년에 복시(사물이 두개로 보임) 증상으로 안과를 찾았다가

원인을 잘 모르겠으니 큰 병원에가서 머리속을 들여다보라는 허무맹랑한 의사의 소견을

무시하듯 회사선배한테 말하니

그래도 한번 가보는게 좋지 않겠냐며 마침 그주에 친한 영상의학과 전문의를 만나러 간다고 하셔서 검사도 받을 겸 따라가서 찍었던 MRI 판독지는

의학적 지식이 하나도 없는 내가 봐도 뭔가 문제가 있어 보였다.

mri.png

이후 혈관조영술이라는 더 내혈관을 자세히 볼수 있는 시술을 마친후에 내 머릿속에 "거대 뇌동맥류" 라는것이 있는걸 확인할수 있었다.

기회가 되면 이 이야기는 다시 써보는게 좋겠다.


"저렇게 되기전에 혈관이 터져서 뇌출혈이 오고는 하는데 , 정말 운이 좋았다고 밖에요.. 혈전(선지같은거)이 점점 늘어나면서 터지지않고 부풀기만 했었습니다."


당시 30대 중반. 폭탄 선고를 받은 나의 머릿속에는 아무 생각이 없었고 와중에 기름지거나 피를 끈끈하게 만드는 육류나 탄산음료를 좋아하는 내 식습관에게 감사해야 하는 생각도 들었다.


' 미쳐가는구나... '


일을 쉬기로 했다. 쉬어야 했다.

이정도로 큰것도 별로 본적이 없으며 몰랐으면 모를테지만 이미 이런게 머릿속에 있는걸 알고나서 더이상 스트레스를 받고싶지 않았다.


앞으로 6개월 이상은 쉬어야 할것 같다. 회사에 가서 필요한것좀 챙기고 앞으로 만날 스케줄을 잡아놓은 사람들에게 상황을 설명하고 약속은 무기한 연기해야겠다.

그리고 그럴일을 없겠지만 "혹시 수술이 잘못된다면" 이라는 생각이 들기도 했고

그동안 연락이 뜸했던 , 관계가 소원했던 주위 사람들의 목소리도 듣고싶었다.


지금 이야기할 친구는 관계가 소원하지도 , 연락이 그렇게 뜸하지도 않았던 학교 동생 녀석이다.

겸사겸사 약속을 잡아놨던 사람들이나 주위사람들에게 연락을 돌리고 나의 상황들을 설명하고.

참 감사했다. 간만에 연락을 했던 사람들도 나를 걱정을 해주고 위로를 해주고.

그런 마음은 그 다음 전화 한통 그 한마디에 산산히 조각나고 말았다.


"오랜만이다. 잘 지내냐? "로 시작된 전화는

그냥 평범한 일상적인 대화로 이어지고 뒤에는

나의 상황을전하게 되었다.


"건강 잘 챙겨라. 사실 이런저런 일로 병원에 갔다가 머릿속에 탁구공만한 뭐가 있더라.

수술을 해야한다고 하고 앞으로 일을 꽤나 쉬어야 할것 같아. 너도 건강 잘 챙겨라."

그런말로 적당히 인사를 하고 끊으면 아무일도 없었을것을


뒤에 들었던 그 한마디가 10년이 지난 지금도 기억이 나는걸 보면 꽤나 임팩트가 있었나보다.


"........... 하아......... 형...... 뻥을 치려면 좀 그럴듯하게 치세요.....

보험 하나 팔려고 많이 애쓰시네요."


잘못들었나..


"응? 무슨..."


명확하게 확인사살까지 시켜주는 친절한 동생


"힘드신가봐요 보험하나 팔려고 되게 열심히시네요."


뒤에 어떤말을 했었어야 할까...

영혼이 빠져나가는 느낌이라는걸 첨 경험했던것 같다.


"미안하다. 건강하고"

짧은 인사를 남기고 전화를 끊었다.


처음느껴보는 기분을 주위 사람들에게 들키고 싶지않다.

작은 회의실로 들어가서 가까운 의자에 앉아 책상에 엎드려 방금 있었던 일을 생각했다.

무슨일이 일어난거지..


기분은 점점 설움과 분노 그리고 슬픔으로 변했고

나도 모르게 눈물이 나왔다.


그 기분을 어떻게 표현해야 할까

30년간 살아온 인생을 전부 부정당하는 느낌이었다.


"내가 뭘 그렇게 잘못하고 살았지?.... 다른사람에게 폐를 끼치고 살았나"


그날 어떻게 집에 왔는지는 기억이 잘 나지않고

그 말을 듣고도 머릿속에 있는 시한폭탄이 터지지 않았음에 지금와서 내 몸에 감사한다.


수술을 성공적으로 마치고

다시 복귀를 했다. 기억에 8개월정도 걸렸던것 같다.

그때 들었던 그 말을 잊을수가 없었고 너무 큰 충격에 전화에 대한 트라우마까지 생긴것 같은 그때

이건 정리를 한번 하고 넘어가야되겠다는 생각이 들었다.

아니면 평생 나에게 따라다닐것 같은 생각이 들어서..


그 녀석에게 다시 전화를 했다.


"수술 잘 됐고 복귀했다. 그때 니가 한말이 나한테 상처로 남았다. 정리를 한번 하고 넘어가야할것 같은데, 니가 밥한번 사라"


그 사이에 다른친구들에게 나의 상황을 들었을것이다. 미안하다고 했던것 같고

회사가 멀지 않았던 우리둘은 점심약속을 잡았다.

밥한번 얻어먹고 남자답게 멋지게 털여내면 된다.


혹시 얼굴을 다시 보면 분노가 치밀어오르지 않을까.

걱정과는 달리 반가운 얼굴이었고 우리는 서로 일상처럼 점심을 먹었다.


메뉴는 잘 기억이 나지 않지만 그 당시에 강남의 점심값이 7~8천원 했던것 같은데

밥한번 얻어먹고 멋지게 털고 싶어서 12,000정도하는 5천원정도 비싼 음식을 시켰던 기억은 난다.


그 후로 그 친구와 예전만큼 연락을 안하게 되고 가끔 대학동창들의 결혼식에서 마주쳤지만

애서 웃으면 인사하는 정도의 예의는 보였고

안타깝게도 머릿속에 박힌 그 한마디는 지울수가 없었다.

올드보이 마지막 장면의 기억을 못지운 오대수정도라고 할까.


10년이 지난 지금도 너무 생생히 기억이 난다.

내가 소인배라 그럴거다. 왜 멋지게 털어내지 못할까.


글이 길어진다.

마지막으로 요즘 연락을 안하는 그 동생에게 브런치 스토리를 통해서 한마디를 하자


"미안한데 애써 잊어보려 해봐도 잊을수가 없을것 같다. 그냥 내 기억의 일부라고 인정하고 평생 살아야 할것 같다. 나도 약속을 못지켰으니 혹시 그때 먹은 점심 값 돌려달라면 다시 줄께."


"잘 살아라. 가정도 있는데 꼭 건강하게. 이건 진심이다."

여기저기 아파보니 건강이 최고더라.

항상 말 조심하고...

그럼 이만"

keyword
작가의 이전글언제 사시게요? 70되면 사시게요?