brunch

뇌 검진 결과상 뇌혈관 질환이 있데요.

우연히 발견된 뇌혈관 질환으로 심난할 때

최근 건강 검진, 특히 뇌 검진을 하시는 분들이 많습니다.


오늘은 '우연히 뇌 검진상 발견된, 무증상 이상 소견'에 대해 말씀드릴게요. 최근 치매, 뇌혈관 질환에 대한 사회적 관심도가 상승하여 예방 차원에서 미리 검사하시는 분들이 많아요. 특히 가족력이 있는 40-50대 분들이 관심을 많이 갖고 있으시죠.


결론적으로 말씀드리면, 아직은 비용 대비 뇌 검진 결과의 가치나 효용성이 크다고 말할 수는 없습니다. 특별한 예방책을 미리 마련할 수 없는 경우 불필요한 불안감을 야기시킬 수도 있어서 뇌신경 질환의 위험도가 분명하지 않고 일반적인 건강관리를 잘하고 계신 분들에게는 뇌 검진을 권유하지는 않습니다.




뇌 질환 검진의 대상은 주로 다음과 같은 것들을 보기 위함입니다.

뇌혈관 협착 혹은 폐쇄, 경동맥 질환, 뇌 동맥류 (보통 꽈리로 알려짐), 뇌종양, 뇌 위축, 뇌혈관 기형 등.


어떤 분들이 주로 뇌혈관 질환 검진의 대상이 될까요?

1) 50대 이후에 고혈압, 당뇨, 고지혈증, 흡연, 복부 비만 등의 혈관 질환 위험도가 있을 때

2) 60대 이후, 기억력 문제나 기타 인지 장애가 일상생활에 지장을 유발하는 경우

3) 뇌졸중(뇌경색, 뇌출혈)이나 뇌동맥류의 가족력이 있는 경우


왜 이런 분들에게 주로 뇌 검진을 권유할까요? 사실 이런 배경이 없는 분들이 뇌 검진을 했을 경우 발견되는 이상의 임상적 의미를 해석하기 어렵기 때문입니다.

신경과 클리닉에는 뇌 검진 결과를 가지고 신경과 의사의 해석을 듣고자 내원하시는 분들이 꽤 있습니다.




고혈압이 있으나 잘 조절되고 있고, 뇌혈관 질환 가족력이 없는 53세의 남자분이 뇌 검진 결과 뇌 MRI에서 3-5mm 정도의 미세한 하얀 점 여러 개가 앞쪽 뇌 깊숙한 위치에서 산발적으로 발견되어 내원한 환자 분이 있습니다.
고혈압이 5년 이상 있었는데 뇌경색이 아니냐, 뇌경색의 위험도가 있으니 예방약을 미리 먹어야 되는 게 아니냐며 내원하신 것이죠.


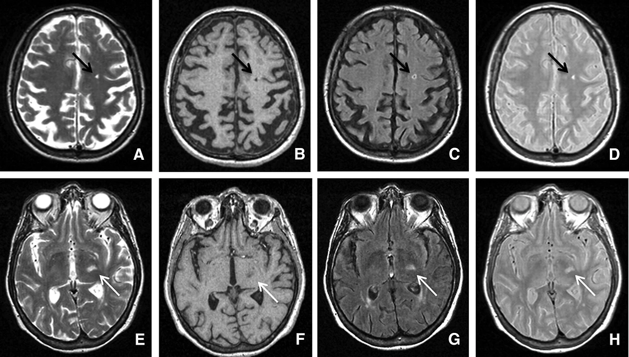
이런 MR 이상 소견은 크기와 위치, MR 신호 강도에 따라 만성 뇌 허혈 변화, 미세 출혈, 무증상 뇌경색 의심 소견, 무증상 뇌경색으로 판독할 수 있는데요, MRI 진단 기준에 대해서도 학계에서 계속 업데이트 중입니다. 뇌척수액이 있는 빈 공간(Virchow-Robin Spaces)은 무증상 뇌경색과 매우 닮은꼴을 하는 경우도 있습니다.


<Silent Brain infarcts, Stroke Volume 42, Issue 4, April 2011>에 수록된 영상 이미지


MRI 소견 하나로 정답이 나오는 게 아니라, 판독 결과와 임상 소견을 종합하여 앞으로의 치료와 추적 관찰 계획을 정합니다.


2017년 미국 뇌졸중학회에서도 지침을 발표해 무증상 뇌혈관 질환 환자의 진단과 치료의 방향을 제시하였습니다. 어떤 경우든 '증상이 있는 급성 뇌경색'과 또 다른 문제로, 과거에는 발견할 수 없었던 미세한 이상을 미리 발견하게 되면서 대두된 새로운 카테고리입니다. 특히 고령화가 빠르게 진행하고, 검진 인구가 많은 우리나라에서 많이 볼 수 있는 경우이지요.

'무증상 뇌경색'으로 확정할 수 있다면 2차 예방법은 '증상이 있는 뇌경색'의 2차 예방법과 동일하지만, 무증상 뇌경색의 진단 기준이 너무 느슨할 경우 불필요한 치료가 문제가 되고 기준이 너무 엄격할 경우 예방할 수 있는 경우를 놓치게 되는 것이지요.




'만성 뇌 허혈'은 '뇌경색'과 다릅니다. 뇌경색은 혈액 공급을 받지 못해 급작스럽게 뇌 세포가 죽는 병리 현상을 의미하고, 뇌 허혈은 오랜 기간 뇌혈관이 좁아져 혈액 공급이 부족해지는 만성 상태입니다. 이런 만성 뇌 허혈 소견과 종종 동반되는 것이 '미세 출혈'입니다. 이 역시 오랜 기간 약해진 혈관에서 서서히 균열이 생기면서 출혈이 생기는 것인데요, '증상을 동반한 급성 뇌출혈'과는 다릅니다.


통계적으로 '만성 뇌 허혈'소견이 나이에 따라 그 비율이 증가하는 것은 사실입니다.

하지만 나이가 많다고 해서 이런 이상 여부를 screening 하기 위해 뇌 MR 검진을 의무화해야 하는지는 아직 명확한 가이드라인이 없습니다. 임상적으로 가치가 떨어지는 단순한 노화에 따른 결과이지, 주목해야 할 병리적 소견이 아닌 경우가 많아 가성비가 떨어지는 것이지요. 석회화나 혈관 단면을 미세 출혈로 잘못 판독하는 경우도 있고요.


가성비가 떨어지는 것보다 더 문제는, 잘못된 임상 판단으로 인해 엄한 치료를 시작하게 되는 경우입니다. '무증상 뇌경색'으로 오인하여 뇌경색 예방을 위한 항혈소판 제재 투여로 인해 생기는 소화기계 부작용, 의료비 증가 등이 큰 문제입니다. 평균 수명이 100세인 시대에 항혈소판 제재나 항응고제를 시작하여 투여하게 되는 기간이 40-50년으로 길어지는 부분에 대해 고려해야 합니다.


만성 뇌 허혈 소견이든, 무증상 뇌경색이든 증상이 없고 아직 경미한 초기 뇌혈관 질환에서 가장 중요한 치료는 아스피린이나 플라빅스(성분명 : clopidogrel) 같은 항혈소판 제재가 아닙니다. 이 약제들의 뇌졸중 예방률은 10%를 넘지 않습니다. 더 중요한 것은 고혈압, 당뇨, 고지혈증, 흡연, 복부 비만 같은 위험인자 관리라는 것을 항상 염두하세요.


우리가 비싼 돈을 들여서 뇌 검진을 시행하는 이유는 '예방'에 있다는 것을 다시 상기하셨으면 좋겠습니다.

keyword
매거진의 이전글수면제는 무조건 배척해야 하나요?