brunch

잠을 잘 자는 게 치매 예방에 왜 중요한가요?

숙면이 왜 중요한지 궁금합니다.


최근 수년간 수면 연구학자들에게 핫한 토픽은 수면-치매의 연관성입니다.

수면이 기억력에 중요하고, 잘 자면 뇌 건강에 좋다는 건 다들 아는데, 구체적으로 어떤 과정을 통해서 그런 건지 규명할 수 있는 논문이 속속 나오고 있습니다. 수면의 질이 뇌에 어떠한 영향을 주는지 알게 된다면 치매 예방에 대단히 도움이 될 것입니다.


'Brainwashed during sleep', 말 그대로 자는 동안 뇌가 깨끗해진다고 합니다.


뇌는 두개골 안에 그냥 덩그러니 놓여있지 않습니다. 그럼 머리를 움직일 때마다 뇌가 받는 충격, 뇌진탕을 피할 수가 없는데요. 따라서 뇌 주변을 둘러싸는 질긴 막과 물이 외부 환경(충격 혹은 감염원)으로부터 보호해줍니다. 뇌 주변에 차있는 물을 '뇌척수액(CSF, cerebrospinal fluid)'이라고 합니다. 뇌척수액은 고여있지 않습니다. 매일 일정량이 새로 생기고 흡수되면서 '순환'을 합니다.




치매 환자들은 낮에도 침대 주변에서 시간을 보내면서 밤 중 수면의 질이 떨어지고 깊은 수면 시간이 줄어드는 경우가 많습니다. 2009년 <사이언스>지에서 알츠하이머 치매 병인의 핵심 인자인 베타 아밀로이드가 각성-수면 주기와 관련이 있고, 각성 시간이 길수록 뇌의 베타 아밀로이드의 축적이 심해진다는 것을 보여주었습니다.



연구자들은 좀 더 구체적으로 파고 들어갑니다. 자는 동안 뇌척수액이 어떤 기능을 하는지 2013년에 밝혀집니다. 뇌척수액이 순환하면서 알츠하이머 치매의 병인인 노폐물 단백질(베타 아밀로이드)을 씻어냅니다.

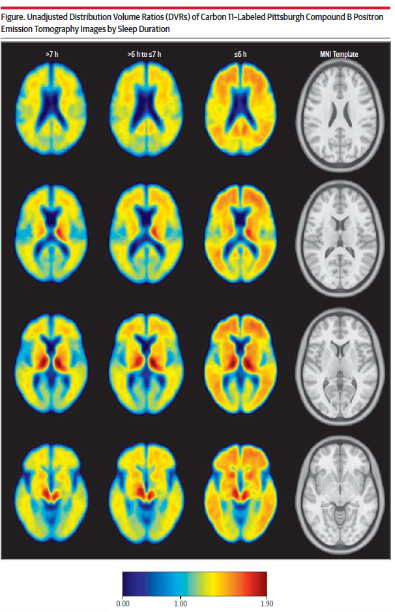
수면 시간이 적고, 수면의 질이 나빠지면 베타 아밀로이드가 더 많이 축적된다는 것을 영상(PiB-PET amyloid imaging)으로 확인하였습니다. 병인이 뇌에 침착된다는 것을 눈으로 확인할 수 있는 시대가 온 것이죠.

세 번째 칼럼(수면시간이 6시간 이하)으로 갈수록 신호가 붉게 나타나는 것이 베타 아밀로이드의 축적을 보여줌.(JAMA Neurol. 2013)




수면 의학에서 뇌파는 오랜 기간 중요한 연구 도구였습니다. 두부에 전극을 붙여 뇌 세포의 전기적 활동을 기록하는 뇌파는 수면 클리닉에서 시행하는 수면 다원 검사(PSG) 모니터링에서도 같이 기록됩니다. MRI 같이 통에 들어가서 하는 영상 검사는 시끄러운 소리 때문에 수면 검사에 적절하지 않은데, 뇌파는 수면 시에도 생리적인 활동 그대로 실시간 기록할 수 있는 최적의 검사이지요.

깊은 단계의 수면(Non REM 수면) 시 보이는 느린 뇌파 수면(서파 수면, slow wave sleep)은 일시적인 단기 기억을 장기 기억으로 전환하는데 중요합니다. 수면 시 나타나는 느린 뇌파와 뇌척수액의 순환이 어떻게 연관이 되는지 그 연결 고리를 2019년에 규명한 것입니다.


느린 파동이 나타나는 깊은 수면은 수면의 질에 중요합니다. 수면의 깊이가 깊어져 서파 수면에 도달할수록, 뇌의 혈류량은 10% 감소합니다. 뇌의 혈류량이 감소한 만큼 뇌척수액은 뇌의 뇌실(일종의 room space)로 유입해 들어옵니다. 뇌실에 모인 뇌척수액 속 노폐물들이 씻겨나가는 순환이 촉진되는 것이지요. 자는 동안 뇌 세포의 업무량이 줄어들고 그만큼 요구하는 혈류량이 줄어드니, 뇌척수액의 유입을 통해 뇌 전체 압력의 균형을 유지할 것이라는 게 전문가들의 의견입니다.

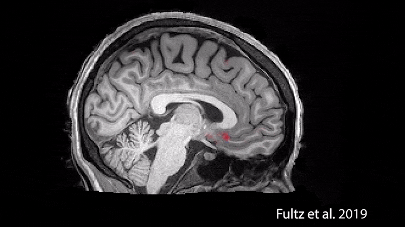
2019년 연구자들은 functional MRI로 피험자들의 수면 시 뇌척수액의 흐름(pulsing wave)을 촬영하여 눈으로 확인하였습니다.


수면 시 뇌혈류(붉은 신호)와 뇌척수액의 흐름(파랑 신호) (Image: © Laura Lewis])


나이가 들면서 이 느린 뇌파(서파)가 감소합니다. 느린 뇌파의 비중이 감소함에 따라 순환하는 뇌척수액의 wave power도 떨어지고 그만큼 (원래는 씻겨나갔어야 할) 노폐물 단백질이 서서히 축적되어 퇴행성 질환인 치매를 유발할 수 있다고 설명할 수 있는 것이죠.




이런 일련의 논리를 인간 피험자에게서, 영상으로 직접 눈으로 확인하며 규명해내고 있다는 것이 의미가 있고 놀랍습니다. 아직까지 뇌파-뇌혈류-뇌척수액의 흐름의 관계도를 명확한 인과 관계로 설명하기 어려워 후속 연구가 필요하지만, 지금까지 진행된 결과를 보면 앞으로도 많은 기대가 됩니다.

keyword
매거진의 이전글매년 주기적으로 빙빙 도는데 어쩌죠?