brunch

허리디스크 한약으로 흡수될까?

디스크 탈출증은 수술없이 치료가 가능하다는 것은 이미 많이 알고 있는 사실입니다. 게다가 한방 치료의 효과 역시 충분하다는 것도 모두 익숙한 사실이지요. 그런데 만약 누군가가 MRI 로 디스크 탈출증이 흡수되는지에 대해서 문의한다면, 응 충분히 흡수가 가능해! 라고 대답할 수는 있을 것입니다. 저도 경험적으로 많이 보아왔으니까요. 그런데 과연 환자의 몇 프로에서 얼마만큼의 디스크 탈출증이 흡수가 가능한지는 수치로 이야기 할 수 있을까요? 여기에 대한 연구가 있어서 소개하려고 합니다.



disc.jpg?type=w2



Inclusion & Exclusion


이 연구는 2008년부터 2011년까지 디스크 탈출증으로 입원치료한 환자를 대상으로 한 연구입니다. 연구에 포함되기 위한 조건은 디스크 탈출증의 증상을 반드시 만족해야하는데요.


1) 하지 방사통이 있으면서 SLR 테스트에서 양성이 있을 것. 그리고 하지 근력의 저하 혹은 감각이상이 하지에 동반될 것. -> 신경학적 이상 증상이 반드시 있어야 한다는 것이지요?

2) 탈출된 디스크가 MRI상에 확연하게 확인 될 것 -> 디스크 탈출 여부가 증상 뿐만 아니라 영상의학 검사상에도 있어야 한다는 의미입니다.

3) 디스크가 탈출된 부위와 증상이 있는 부위가 연관성이 있을 것. -> 예를 들어 S1 신경근이 압박되고 있는 상황인데 다리로 저린 부위가 허벅지 앞쪽이라면 논리적이지 않는 것이죠? 증상과 신경근 압박의 연관성이 없다는 것이기 때문입니다.


물론 임신을 했거나 간, 신장의 손상이 있거나, 자가면역성 질환을 앓는 등 다른 질환이 겹쳐 있는 경우는 환자 군에서 제외를 했습니다. 이렇게 총 모집된 환자는 102명이였습니다.



Treatment


치료는 입원치료를 통해서 한달간의 안정화 기간을 가지면서 한약치료를 실시 하였습니다. 한약은 퇴원하고도 지속되었는데요. 환자마다 다르지만 2달에서 4달까지 복용을 하였습니다. (퇴원 후 1달 ~ 3달). 그리고 적절한 운동치료를 추가했으며, 통증이 너무 심할 때에는 양약 진통제를 썼는데 초기 한~두주를 제외하고는 크게 필요하지 않았다고 합니다.



Evaluation


측정은 주로 허리 디스크의 증상과 관련된 JOA score를 사용하였는데요, 75%의 호전은 excellent를, 50~75%에는 good, 25%~50%에는 fair, 25% 미만의 호전에는 poor 로 단계를 나누어서 분석하였습니다.


1.png?type=w2

이 논문의 가장 큰 특징은 MRI를 촬영해서 디스크의 상하 단면적에서 가장 넒은 부위를 측정하면서 F/U했다는 것인데요, 위의 사진처럼 단면적 측정을 여러부위를 하여 부피를 계산해내는 방법을 사용하였습니다.


통증에 대한 지표는 첫 치료 후 3, 6, 12, 24 개월에 맞추어서 진행하였고 MRI 촬영은 첫 방문과 24개월째 방문에서 촬영되었습니다. 그리고 102명의 모든 환자는 f/u 되었답니다.






Results


과연 그렇다면 그 결과는 어떻게 되었을 까요?


1) 수술 탈락률


총 102명의 환자 중에 83명의 환자 (81.37%)에서 완벽한 호전, 혹은 부분적인 호전이 있었습니다. 반대로 이렇게 치료를 하는 과정에서도 통증 호전이 되지 않거나, 하지 방사통이 악화되는 경우. 마미총증후군이 생기는 경우, MRI 재촬영시 흡수량이 없거나 오히려 증가한 경우에는 수술을 권유하였는데요, 결국 수술을 받은 환자는 19명 (18.63%) 였습니다.



2) 호전률 JOA score


총 83명의 호전 환자에서 JOA score상 excellent의 비율은 (75% 이상의 호전) 3개월에 79.52%, 6개월에 81.93%, 1년에 81.93%, 2년차에 83.13% 인것으로 확인 되었습니다. 즉, 80%의 이상의 환자들에서 높은 호전율 (75% 이상 호전)을 보였습니다. 그리고 그 호전은 대부분 발병 초기 3개월에 일어나는 것을 알 수 있었습니다.


3) 디스크 흡수율


평균적인 디스크 흡수량은 1000~1500 mm3 정도가 되어 통계적으로 의미가 있었으며, 평균적으로 27.25% 내외의 흡수를 보였습니다. 약 20%의 환자에서는 50% 이상의 디스크가 흡수되는 것으로 확인되었습니다.


논문에 실린 몇가지 예를 보도록 하겠습니다.


2.png?type=w2


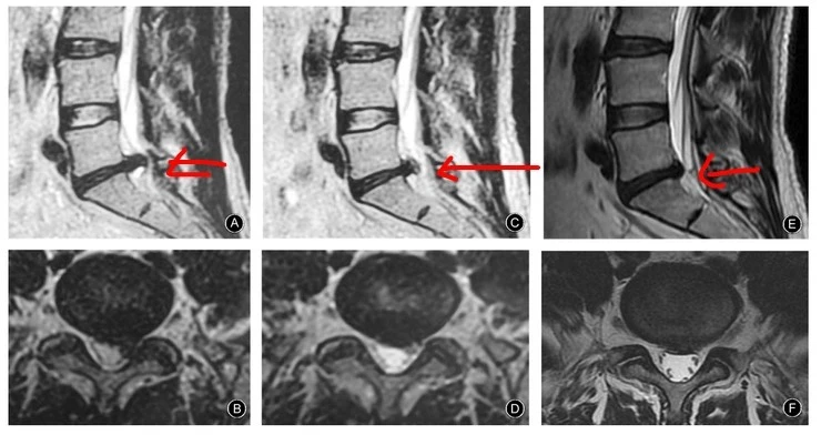
이 논문 영상은 극심한 요통과 하지통을 호소했던 48세 남환의 사진입니다. 초기 SLR은 좌측 하지 60도 우측 하지 10도 정도였으며 약 2030mm3 정도 였습니다. 그런데 4달이 지나자 SLR은 모두 회복되었으며, 최종 MRI 재검사에서는 통증은 모두 사라졌고 디스크는 대부분 흡수된 상태였습니다.


3.png?type=w2



이 환자는 47세의 환자로 3일전에 삐끗하면서 아주 많은 양의 디스크가 탈출된 환자로 극심한 요통과 좌측 하지 방사통을 호소하던 환자였습니다. SLR은 좌측이 15도 우측이 70도 정도였지요. 그런데 한약을 복용하고 꾸준한 운동치료를 실시한 결과 2달이 지나자 (C, D) SLR은 70도 90도 회복되었고 일상생활이 가능해졌으며 어느 정도 디스크도 흡수되었습니다. 최종 MRI 재검사에서도 디스크가 완전히 흡수되었으며 정상적인 생활을 하게 되었습니다.




4) 그러나 디스크가 그대로인 환자도 있다.



4.png?type=w2


그런데 MRI 촬영을 한 결과 디스크의 변화가 거의 그대로인 경우도 있었습니다. 약 38명이라는 적지 않은 숫자에서 디스크의 양이 변하지 않았었는데요, 그럼 그들의 통증은 그대로였냐? 그것은 또 아닙니다 . 38명 중에서 JOA score상 치료의 호전이 75%이였던 그룹이 8명, 그리고 50~75% 정도의 호전이 있는 경우가 19명 정도가 있었습니다. 디스크 흡수가 되지 않아도 적어도 절반 이상의 확률로 치료에 효과를 보았다는 것입니다. 물론 50% 이상의 흡수된 환자는 치료 효과도 가장 좋았습니다.







간단히 정리해보겠습니다. 누가 물어봅니다.


"저기 한약 먹고 디스크 치료하면 효과가 있을까? 디스크는 흡수가 되니?"




위의 논문을 기초로 답을 해 봅시다.



"응~ 그렇지 않아도 그런 연구가 있어, 급성 디스크 탈출증으로 극심한 통증을 호소하는 환자 100명을 대상으로 연구를 했더니 글쎄 절반이 넘는 경우에서 디스크가 흡수됬어. 그리고 그 면적을 계산해 봤더니 평균적으로는 27% 정도가 흡수됬고, 50%이상 흡수되는 경우도 20%정도 있었어.

그런데 말이야. 꼭 디스크 탈출증은 디스크 탈출로 인해서 발생하는 신경근과의 염증 반응이 가장 주가 되기 때문에 꼭 MRI상 흡수되지 않아도 증상은 좋아질 수 있단다. 이런 경우 증상의 회복 확률은 50% 정도의 확률이라고 보면 될 것 같아!"








자생한방병원 압구정 본원
- 한방재활의학과 전문의 수료

- 前 교통사고 클리닉 진료원장

- 자생의료재단 척추관절연구소 연구원

한의약융합연구정보센터 IP

네이버 지식 iN 전문 상담 한의사

SBS 생활경제 건강 상담 한의사

메디컬리포트, ㅍㅍㅅㅅ 칼럼니스트

민족의학신문 '척추관절보감' 연재

'움직임을 위한 가이드' 번역

FMS, SFMA certification

한의사 김지


Facebookfacebook.com/spineteller

Blog l spinepain.co.kr

K_iN l kin.naver.com/kimjeeyong

Brunchgoodbyepain.org

Instagraminstagram.com/kimjeeyong

매거진의 이전글10월 2일 우석대학교 한의과대학 특강 안내