이젠 아기집이 보여야만 해

임신 4주차, 응급실 퇴원 후 아기집을 기다리며

by 하나비


임신 4주 3일차


내 베드에는 두 가지 표시가 붙었다.
“절대안정”
“금식”

8인 병실 문 앞이 바로 화장실이었는데, 물도 못 마시는 금식 중이어도 수액 때문인지 화장실에 들락거리다 간호사 선생님에게 혼이 날 정도였다. 절대 안정하셔야 된다며.. 가만히 누워만 계시라며..

그렇다고 화장실 가는 걸 참을 순 없잖아요. 아님 여기서 저기 가는데 휠체어라도 타라는 건가..? 아프기야 했지만 뭔가 병증에 비해 과한 처치(랄 것도 없이 수액만 맞고 있었지만)를 받는 것 같은 느낌이었다.

입원 이튿날 오전 채혈을 하고 결과를 기다리니 다행히 빈혈 수치는 약간이나마 떨어졌다고 했다. 이제 출혈은 멎었으니 자궁외가 아닌 것만 확인하면 되었다. 병실에선 꼼짝 않고 가만히 있을 뿐이라 굳이 더 이상 입원할 필요는 없을 것 같아 교수님과 면담할 때 귀가하고 싶다고 말씀드리고 오후 5시쯤 퇴원했다. 대신 내일은 따로 내원해서 피검수치 두배로 뛰는 것 확인해야 한다고 한다.




임신 4주 4일차


오후에 내원하여 채혈 후 결과가 나오기까지(1-2시간 정도) 대기하다가 결과까지 듣고 가기로 했다. 이때까지도 나는 2,551이라는 이상한(?) 숫자에 사로잡혀 있었다. 자연임신이라 쌍둥이가 착상될 가능성도 없는데, 분명 난포 한 개만 자라고 있다고 했는데 단태아로 4주 2일 차에 2천이 넘는 수치가 가능한가?

혹시, 설마, 만에 하나, 포상기태 아닐까?


포상기태.. 과한 검색질로 쓸데없는 걱정만 늘었다. 포상기태는 우리나라 옛날 말로 개구리알 임신이라고 불리기도 한다는데, 아기집처럼 생긴 게 뽀글뽀글 여러 개 증식하는 이상 임신으로 이 경우 피검 수치가 높게 나올 수 있다고 한다. 포상기태일 경우 6개월 이상 피임하면서 항암치료(!!)까지 병행해야 한다는데..

자궁외든 포상기태든 너무나 두려워서 채혈 후 기다리는 한 시간 반 가량의 시간 동안 나는 의자에 앉아 덜덜 떨고 있었다. 괜찮다고, 혼자 병원 갈 수 있다고 개미 씨를 출근시켰던 것이 이 순간 약간 후회가 되었다. 하지만 그가 옆에 있었다면 나는 그의 걱정까지 마음에 이고 있었을 것이다. 일이 잘못된다면 그의 슬픔까지도. 이럴 땐 그냥 혼자가 더 낫다. 긴 기다림 끝에 간호사 선생님이 나의 이름을 불러주셨다. 결과 나왔으니 진료실 앞에서 대기하라고. 나는 급한 마음에 선생님을 붙잡고 물었다.

- 저.. 혹시 피검 결과 나왔나요?? 얼마예요?
-(모니터를 계속 보면서)..... 음... 쫌 올랐어요. 자세한 건 교수님한테 설명 들으세요.

쫌? 쫌 올랐다고?
그 말인 즉 두배는 되지 않는다는 건가??


이때부터 나의 두려움은 곱절이 되었고 앞이 흐릿해지는 것을 느꼈다. 손바닥에선 땀이 나기 시작했다. 심호흡을 몇 번 한 후 감았던 눈을 뜨니 응급실에서 봐주셨던 교수님이 복도에서 걸어오시는 게 보였다. 오늘 외래진료가 없으셔서 다른 의사가 배정될 것이라 들었는데, 굳이 내 경과를 봐주시기 위해 와 주신 걸까? 엊그제 처음 만난 교수님이 마치 오래된 은사님처럼 얼마나 반갑고 또 감사하던지, 눈물이 핑 돌 정도였다.



교수님은 오늘 채혈한 피검수치가 5,379로 지난번 응급실에서 채혈했을 때보다 아직 48시간이 되지 않았음에도 두 배 이상 올랐으니 자궁외 임신은 아니라는 결론을 내려주셨다. 아아, 이때 정말 눈물이 날 뻔했다. 간호사 선생님의 그 “쫌”이란 단어 때문에 내가 눈 앞이 새하얘졌던 걸 생각하면... 자궁외는 아니니 가서 초음파를 보고 다시 보자고 하셨다. 이 정도 수치라면 아기집이 보일 것 같다시면서.

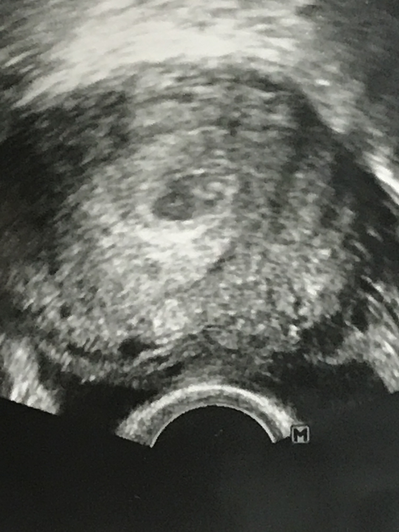
초음파실은 진료실 건너에 있었다. 초음파 선생님께 간략히 그간의 일을 말씀드리고 베드에 누웠다. 선생님께서 보여주시는 화면 속 내 뱃속엔 여전히 피가 차있고 피혹이 커다랗게 있었지만, 이제 나의 관심사는 온통 아기집에 있었다. 보통 hcg수치가 1500만 넘어도 아기집은 보인다던데, 이틀 전 2,551일때에는 보이지 않았지만 오늘은 보여야만 했다. 아무리 자궁외가 아니라는 진단을 받았다 해도 눈으로 확인하기 전까진 안심할 수 없다. 정확히 말하면 출혈의 원인이 나팔관 파열이 아니었다, 라는 것을 교수님이 그냥 알아듣기 쉽게 자궁외가 아니다, 라고 표현하신 것이고, 나에겐 아직 확인되지 않은, 어디에 뿌리내렸을지 모를 수정란이 존재하고 있으므로.


초음파 선생님이 열심히 봐주셨는데 이놈에 아기집은 딱 보이지 않았다. 나에게 주먹으로 허리를 받치고 있어 보라 하셨다. 자궁각.. 자궁외.. 포상기태... 내 머릿속에는 여러 단어가 흘러지나 갔다. 한참을 보시다 어, 이건가? 하시며 그늘진 한 구석에서 동그란 무언가를 발견하셨다. 안쪽에 어두워서 잘 보이지 않는다시며 선생님은 배초음파로 바꾸셨다. 배를 꾹꾹 눌러가며 동그라미를 찾으신 선생님은 아직 작아서 확실치는 않다시며 GS(아기집) 옆에 ?물음표를 붙이셨다. 크기는 0.6cm 정도..

찾았다 요놈!


초음파 결과를 보신 교수님은 아기집이 맞는 것으로 보인다며 너무 걱정말고 다음 주에 한번 더 내원하여 난황과 아기가 잘 생겼는지까지 보자고 하셨다. 아 그럼 포상기태에 대한 두려움은 떨쳐내도 되는 걸까?



임신 4주 6일차


미리 예약되어있던 마리아 내원일은 추석 당일이었다. 결혼 후 두 번째 맞는 추석인데 새벽부터 병원행이라니. 덕분에 어머님껜 할 수 없이 임신 사실을 알려야만 했다.


마리아 선생님께 그간 있었던 일을 하소연하듯 줄줄 쏟아냈다. 선생님은 놀라시며 초음파를 봐주셨는데, 역시나 피고임과 커다란 피혹이 보인다고 말씀하셨다. 그나마 다행인 것은 출혈이 자궁 내가 아니기 때문에 임신유지에 크게 문제가 될 것은 없다는 점, 그리고 초음파상 아기집이 좋은 위치에 잘 보인다는 것이었다. 그림자가 져서 잘 안보이기는 하는데요,, 하시며 세 장이나 뽑아주신 사진에는 그러나,

이게.... 아기집이라고?


얼룩만 보일 뿐이었다.. 까페에서 보던 또렷한 아기집이 아니라 얼룩 같은 느낌. 아기집이 또렷해야 건강하다던데.. 선생님은 그림자 때문이지 괜찮다 잘보인다 하셨지만 이거 잘보이는거 맞나요? 백병원에서 배초음파로 봤을 때보다 훨씬 흐린 모습에 불안한 마음은 전혀 나아지질 못한 채,

우선 1차 면역 글로불린 시작.

출혈은 출혈이고, 아기집을 확인했으니 원래 예정대로 면역 글로불린 주사 처방이 내려졌다. 이제부터 본격적으로 임신유지를 위한 처치에 들어가는 것이다. 잘 해낼 수 있을까.. 잘 지킬 수 있을까... 어지러운 생각들과 함께 1병 맞는데 한 시간 반 내외가 걸렸고, 비싸다고 익히 들었으나 20만원대의 어마무시한 가격이 찍힌 병원 영수증을 들고선 좀 뜨악하긴 했으나 곧 생각을 고쳐 먹기로 했다. 그래, 돈이 중요하진 않지. 널 지킬 수만 있다면!




황체낭종—


과배란도 없이 이게 왜 생겨서 왜 터졌을까 생각해보다 퍼뜩 아스피린이 떠올랐다. 3주 차부터 꾸준히 먹고 있던 아스피린. 이게 혈액순환을 도와 혈전을 방지해주지만 같은 기능 때문에 출혈이 있을 경우 지혈을 방해한다고 들었다. 저용량이긴 해도 계속 복용하고 있었고 이게 아무래도 출혈에 좀 영향이 있지 않았을까 싶다. 낭종 생기는 건 과배란하지 않아도 그냥 주기에 따라 생겼다 줄어들었다 하기도 한다고 하는데 터졌을 때 출혈이 정상보다 더 과하게 되었다던가, 해서 약간의 출혈과 통증만 있을 수도 있었던 게 크게 번진 건 아닐까 하는 의심.



교수님은 아스피린이 저용량이라 크게 문제 될 것은 없다 하셨지만 암튼 당분간 아스피린 복용은 중단하기로 했다. 마리아 선생님도 아스피린 끊는 것에 대해 찬성하셨고 나의 s단백질 수치가 낮기는 하지만 그것만 낮고 관련한 다른 것들은 정상수치여서 이런 경우 의사의 판단에 따라 정상으로 보고 아무런 처방을 하지 않는 경우도 많다며 걱정 말라고 안심시켜 주셨다. 혈전의 이유로 아기가 잘못되는 일은 없기를 바랄 수밖에...

매거진의 이전글임신 4주 2일, 여기는 응급실