머릿속 시한폭탄 ‘뇌동맥류’
중년 여성이 많은 이유

by 힐팁
강동경희대병원200-뇌동맥류1.jpg

머릿속 시한폭탄 ‘뇌동맥류’ 중년 여성이 많은 이유

뇌혈관에 발생하는 문제 중 사망률이 높은 질환이 있습니다. 뇌혈관 벽이 풍선처럼 비정상적으로 부풀어 오르는 ‘뇌동맥류’입니다. 풍선이 너무 부풀면 터지듯 뇌동맥류도 점차 부풀어 오르다 터져서 ‘뇌 지주막하 출혈’이라는 뇌출혈을 일으킵니다.


특히 뇌동맥류 환자 중 중년 여성 비율이 가장 높은 것으로 보고돼 여성들의 관심이 필요합니다. 뇌동맥류의 특징과 주요증상, 치료법에 대해 알아보겠습니다.


▶여성 환자 남성 1.7배‧‧‧폐경 후 호르몬 감소 영향

강동경희대병원200-뇌동맥류2.gif

뇌동맥류는 전체 인구의 약 1%에서 발생합니다. 뇌동맥류로 뇌혈관이 터지면 사망에 이를 수도 있습니다. 뇌동맥류는 파열되기 전 증상이 없다가 일단 터지면 높은 사망률과 영구적인 후유장애를 남기기 때문에 ‘시한폭탄’이라고도 부릅니다.


뇌동맥류는 남성보다 여성 환자가 많은 것으로 보고됩니다. 강동경희대병원 신경외과 고준석 교수팀이 지난 9년간(2007~2015년) 병원을 내원한 뇌동맥류 환자 1912명을 분석했습니다.


그 결과 뇌동맥류 환자의 절반 이상이 50‧60대였습니다. 특히 여성 환자 비율이 남성보다 높았습니다.


1_뇌동맥류 성별 분포1.jpg
1_뇌동맥류 성별 분포2.jpg


세부적으로 살펴보면 여성 환자가 63%(1207명)로 남성보다 1.7배 많습니다. 여성 환자의 경우 50‧60대가 56%(678명)로 절반 이상을 차지했습니다.


중년 여성에게 뇌동맥류가 많이 발생하는 이유는 폐경 이후 혈관을 보호하는 에스트로겐 호르몬의 감소 때문인 것으로 생각됩니다.


▶환자, 고혈압 등 만성질환 갖고 있어

3_뇌동맥류 기저 질환.jpg

조사 대상 환자가 갖고 있는 질환(기저질환)은 고혈압이 가장 많았습니다. 남녀 전체 환자의 46%가 고혈압이 있었습니다. 이어 당뇨병(13.7%), 고지혈증(5.6%) 순으로 나타났습니다.


고혈압은 뇌동맥류 파열과 관련이 가장 큰 기저질환이어서 혈압 관리가 매우 중요합니다.


▶조기 진단 및 적절한 수술법 선택 중요

4.jpg

뇌동맥류는 증상이 없다가 갑자기 파열돼 생명을 위협하거나 심각한 후유증을 남깁니다. 때문에 뇌동맥류 환자에게 많이 동반되는 만성질환이 있으면 미리 뇌동맥류 검사를 받고, 파열 전 발견해 수술을 하는 것이 가장 이상적입니다.


다행히 최근 비파열 상태에서 뇌동맥류를 진단 받는 환자가 늘고 있습니다. 이는 뇌혈관 CT‧MRI 등의 진단 장비 발달과 조기 검진 등이 활성화되고 있기 때문입니다.


뇌동맥류는 수술이 유일한 치료법입니다. 수술 방법은 ‘코일색전술’과 ‘클립결찰술’ 두 가지로 나뉩니다. 서로 다른 장‧단점을 갖고 있어서 뇌동맥류의 크기, 위치, 모양, 환자 나이, 상태 등 여러 상황을 고려해 적절한 치료법을 선택해야 합니다.


뇌동맥류 수술의 발전으로 치료 결과가 많이 좋아졌습니다. 조기 검진을 통한 뇌동맥류 발견과 적절한 치료법의 선택이 중요합니다.


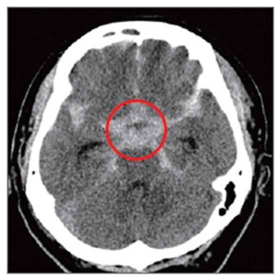
▶뇌동맥류 & 뇌 지주막하 출혈 사진

5_뇌동맥류, 뇌지주막하출혈 사진1.jpg
5_뇌동맥류, 뇌지주막하출혈 사진2.jpg

1. 뇌혈관조영술에서 혈관벽이 풍선처럼 부풀어 오른 뇌동맥류 모습(빨간 원안).

2. 뇌지주막하출혈 뇌CT. 뇌 가운데에 흰색으로 보이는 별모양의 급성 출혈이 보임.


도움말 : 강동경희대병원 신경외과 고준석 교수


keyword
힐팁 건강 분야 크리에이터 직업 에디터 프로필
팔로워 518