風流家와 경화대반점
‘평화로운 가족’을 울산에 두고, 대전역에서 병원으로 가기 전에 더위 식힐 겸 소제동의 카페들을 기웃거렸습니다. 정비가 채 끝나지 않은 듯한 도로와 고물상과 고물을 넘어 폐허가 된 집들 사이로 참신한 카페들이 박혀 있네요.
진흙 속 진주 같은 공간들을 탐문하다가 고물을 보물로 만든 찻집 앞에 브롬톤을 세웠습니다.
‘風流家’라고 쓰고 ‘풍뉴가’라고 읽는, 100년 된 관사를 개조한 티룸에서 케모마일과 로즈마리와 키위를 섞은 여름차랑 스콘을 음미했어요.
탈수와 저혈당 위기에서 벗어나니 대숲이 시야에 훅 들어옵니다. 요즘 아침마다 달리며 들르는 울산의 십리대숲을 압축, 요약한 듯한 대숲을 탁월한 선곡의 BGM 들으며 바라보니 굉장히 차분해지네요.
예전에 여기에 노부부가 살았답니다. 거동이 불편한 할머니를 위해 할아버지가 대나무를 한두 그루씩 심으셨는데 점차 숲을 이루었다죠.
누군가 꿋꿋하게 애써 심으면, 훗날엔 누구나 그 결실을 거저 누리네요. 유유자적 유쾌한 추억 하나, 아미그달라에 꾹꾹 심습니다.

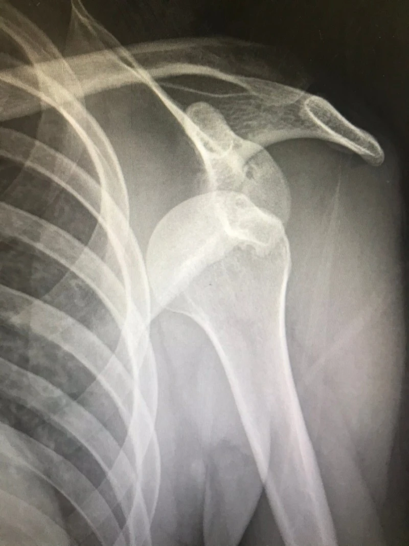
유쾌하고 출근해서 상쾌하게 진료하는데, 스무 살 청년이 축 처진 어깨를 붙잡고 응급실에 들어왔어요. 통증의 극심함이 관상에 온전히 드러납니다. 습관성 어깨 탈구로 수술도 받았고, 2주 전에도 재발하여 견인 치료를 받았다네요. 내원 40분 전에 운동하며 왼팔에 힘을 주다가 다시 어깨가 궤도를 이탈했답니다.
아파서 눕지도 못하길래 진통제부터 투여했고요. 통증은 진정되었으나 겁기劫氣는 증폭된 청년의 팔을 붙잡고 어깨 컴백홈 시술을 시행했습니다. 짧고 굵은 비명과 함께 청년의 윗팔뼈는 본연의 위치로 복귀했고요. 식은땀 지옥에 다녀온 청년에게 암슬링(arm sling) 장착하였습니다.
곡식을 심으면 봄철에 싹이 트고 여름철에 커서 가을 되면 제 모습을 찾는다. 원시로 반본한다는 것은 ‘근본으로 돌아간다, 제 모습으로 다시 돌아간다’는 말이다. 원시반본이라는 게 제 모습을 찾는다는 소리다.
_안운산 태사부님
제가 주로 애용하는 방법으로 정복했는데, 그 청년이 그러네요. 여지껏 여러 번 시술을 받았는데 가장 신박했다고. 다음 단계의 테크닉 쓰기 전에 정복이 잘 되어 다행이라고 내심 생각했습니다. 롤러코스터가 읊조린 바대로 습관이란 게 무서운 겁니다만, 학생과 저 다시 보진 말기로 해요. 지긋지긋한 탈구에서 완전히 탈출한, 신박한 여생이길 염원합니다.

지난 주 토요일에는 아버지, 이번 주 토요일엔 어머니 생신이라 모처럼 청주에 온 가족이 모였습니다. 전 오전에 퇴근하여 대전에서, 가장은 오후에 퇴근하여 조안이랑 울산에서, 장인어른와 장모님은 처외조모 추도식 참석하시고 천안에서, 형님네 가족은 대구에서 이동했네요. 이모와 이숙까지 모시고 오붓하게 중화요리 음미했습니다.
부모를 경애하지 않으면 천지를 섬기기 어려우니라. 천지는 억조창생의 부모요, 부모는 자녀의 천지니라.
_道典 2:26:4~5
든든하게 배 채운 2학년 조안이랑 1학년 임률이는 끝말 잇기 배틀을 끝없이 이어갔어요(장사꾼 다음엔 꾼만두! 대구 표준어랍니다). 아이들의 풍부한 어휘력에 감탄했습니다. 그간 적적하셨다는 부모님 표정이 밝아지셔서 무척 기쁘더군요. 더 자주 찾아뵙겠노라 다짐합니다. 어르신들이 지금의 건강을 끝없이 이어가셨으면 좋겠습니다.

조부모님 댁에서 아이들이 사이좋게 놉니다. 바누아투 과자점에서 아빠가 사온 케이크에 꽂힌 조안이 옆에서 임률이는 야구 시합에 시선을 오롯이 꽂네요. 찐팬인 조카를 위해 삼성은 롯데를 5 대 2로 눌렀습니다. 경기 보는 와중에 아해들이 완성한 클레이 아트 작품은 오롯이 제 차지였어요.
머리에 꽂힌 리본은 목걸이에도 부착이 가능하네요. 목걸이에 붙은 리본처럼 꼭 붙어있던 두 아이를 떼어내는 일은 언제나 쉽지 않습니다. 다음 달 광복절에 대구에서 만나 더 오래 놀자는 말로 임률이와의 이별에 울먹이는 조안이를 달랬네요.
서로 좋은 영향 끼치며 이대로 쭉 돈독하게 잘 지내길 열망합니다. 풍류를 아는 평화로운 하씨 가족, 앞으로 더 똘똘 뭉쳐요.
