대성관과 민석매실농장과 진이네 참숯 양꼬치
간호사들이 간식으로 주문한 <청년다방>의 차돌박이 떡볶이는 기장이 길더군요. 똬리 튼 자태가 흡사 낚싯바늘 같다는 생각을 아주 잠시 했습니다. 그 ‘몹쓸’ 생각에 감응을 한 걸까요.
낚싯바늘이 손가락에 박힌 강태공 아저씨를 맞이했습니다. 낚시 여행 준비하시다 봉변을 당하셨다네요. 처치실로 환자분 모시고, 민원 해결을 시작합니다.
신경외과 혹은 일반외과를 지망한다는 여자 인턴 선생에게 잘 봐두라고 이르고, 홀더로 바늘을 꽉 잡고, 바늘 끝이 튀어나오도록 힘차게 전진. 니퍼로 니들을 뚝 끊고 손가락 이물을 깔끔하게 뽑아냅니다.
뽑아낸 낚싯바늘은 여수로 떠나실 거라는 조사님의 손에 꽉 쥐어드렸습니다. 풍성한 월척을 응원하며.
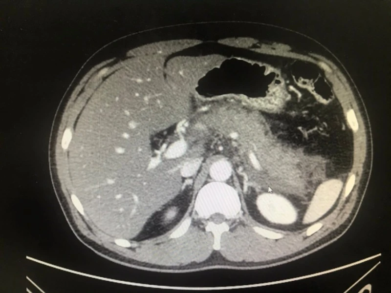
심야에 ER 찾아온 30대 중반 유부남의 (어지간한 약으론 전혀 잡히지 않던) 극심한 복통 원인은 췌장염이었어요. 드높은 리파아제 수치와 복부 CT의 심란한 풍경은 명백한 물증이었습니다.
혈액 검사 결과와 영상 소견을 환자와 보호자에게 상세히 보여주며 따끔하게 훈계했습니다. 반성하는 눈빛으로 고개를 주억거리며 입원은 하셨는데요. 차돌처럼 박힌 습관이 퇴원 후에 완전히 뽑힐 지는 미지수네요. 낚싯바늘은 뽑을 수나 있지, 몹쓸 중독은 남다른 각오 없인 뽑히지도 않잖아요.

너희는 낡은 삶을 버리고 새 삶을 도모하라.
묵은 습성이 하나라도 남아 있으면
그 몸이 따라서 망하느니라.
道典 2:41:2~3
아침에 퇴근하기 직전까지 당직실에서 <톡톡 증산도> 시즌 2 구원관 편을 모니터링했습니다.
7월에 당진, 김천, 영동, 양평, 오산 라이딩 등으로 날렵해진 모습이 한결 보기 좋네요. 다음 촬영도 잘 준비해서 흡족하게 마치렵니다.
점심 함께 먹을 지인 만나러 가는 길에 대전 곳곳을 기웃거렸습니다. 대지는 제대로 여름인데, 창공은 벌써 가을스럽네요. 콸콸콸 흐르는 개천에 얼굴 파묻고 더위 식히는 아재가 제 시선을 한참 뺏었습니다.
오픈라이더 어플이 알려주는 그대로 보문산 입구 지나 충남대병원 거쳐 내달렸는데, 목적지 인근에서 한동안 버퍼링. 고가도로를 탔어야 했는데 그 아래로 지나가버렸더군요. 방황한 덕분에 대전의 숨은 명소를 몇 군데 더 알게 되었습니다.
간만에 마주한 <대성관> 짬뽕은 이열치열에 일조했어요. 면 덜 먹겠다며 밥 한 공기 시켰는데, 모조리 다 빨아들였습니다. 찍먹으로 탕수육 씹는데, 친숙한 목소리가 국회 소식을 전해주네요.
삼형제 아빠 승배 목소리는 시끄러운 식당 안에서도 선명하게 고막에 빨려듭니다(승배네 가족과 반갑게 또 만날 날 학수고대).

땡볕에 대전 곳곳을 누비고 청주로 건너갔습니다. 울진 떠나 포항과 대구와 오송 거쳐 5시간 대장정 끝에 청주대 앞에 당도한 하민이 아빠랑 6개월 만에 재회했고요.
작년에 제 역사 특강 꾸준히 들어주시고 대한사랑 청주지부 적극 후원하셨던 박영진 대표님과도 근 1년 만에 상봉했습니다.영진이 형님이 하시는 업소용 식기세척기 사업도 코로나 때문에 꽤 타격을 입으셨다네요.
모처럼 만나는 제게 뭘 사줄까 고민하시다 닭도리탕으로 확정을 하셨답니다. 저한테 연락하려고 휴대폰에다 제 이름 치는데, 닭도리탕 끝내주는 <민석매실농장>이 상단에 뜨더래요. 성화동 한복판에 시골 느낌 물씬 풍기는 식당이 있다는 사실이 놀라웠습니다. 무슨 분야든 많이 해본 분에게 찰싹 붙으면 뜻밖의 득템이 이어지네요.
제가 소유한 농장에 온 듯한 기분으로 닭도리탕과 부침개와 볶음밥을 만끽하며 공사가 다망한 윤성찬 박사와도 간만에 대면했습니다.
향후 진로에 대해 여러 생각들을 품고 있길래 <진이네 참숯 양꼬치>에서 양갈비 뜯다가 타로카드 펼쳤네요. 당분간은 기존 일상을 유지하는 게 한결 좋아 보입니다.
영진이형이 아끼는 아우, 붉은악마 이끄셨던 최재영 회장님과도 소통할 수 있어 한결 더 뜻깊은 자리였어요. 동갑이라 더 정겨웠습니다. 자정 직후에 깔끔하게 해산했고요. 영진이 형님은 당신 자택에서 저랑 재우를 재우려는 시도를 하셨습니다. 형수님께 민폐 끼치기 싫어서 숙소를 잡았는데요. 배우자로부터 잠시 독립한 유부남 셋이서 뜻밖에 합숙을 했습니다.
각자가 좋아하는 캔맥주로 입가심하며, 전생의 기억을 소환하는 <봉오동 전투>를 프로젝터로 즐감했네요. ’위드 코로나 시대’에 소수정예 역사 세미나는 이런 신박한 공간에서 해도 좋겠습니다.
식민사학에 찌든 학교에선 일절 가르치지 않는 ‘독립운동사’를 주제로 가을엔 대한사랑 청주지부 강의를 진행해봐야겠네요.
세 개의 베드와 드넓은 소파에 각자 흩어져 숙면 취한 뒤 박대표님이 강추하신 <두아 콩나물 국밥>에서 해장을 했습니다. 모주의 유래 곱씹으며 해장술 홀짝였네요.
이 모든 맛집 순례를 전적으로 챙겨주신 영진이 형님께 다시금 감사의 인사 전합니다. 다음 달에 또 반갑게 만나요. 낚싯바늘 뽑듯 후련한 강의 알차게 준비해서 찾아뵙겠습니다.
