의사 파업 단상
이 카툰을 보자마자 두 사람이 떠올랐어요. 최대집 의협 회장과 박지현 대한전공의협의회 회장.
의사 파업 관련 루리웹 예언 그대로 상황이 전개되었네요.
각자의 입장에 따라 여러 주장이 오갈 텐데요. 많은 상념과 만감이 교차하는 요즘입니다.
파업 투쟁을 이끌어온
젊은 의사 비대위를 배신하고
전체 의사들을 우롱한 최 회장 및
의협 집행부는 전원 사퇴하라!
대한병원의사협의회
아무튼 전 묵묵히 본연의 진료 이어갑니다. 인턴 없이 초심으로, 손수 초진하며 차분하게.
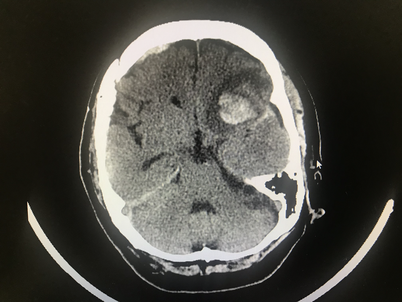
매일 소주 2~3병씩 드신다는 취객 아주머니께서 꽐라 남편(인 줄 알았는데, 나중에 보니 그냥 술친구)과 같이 119 구급대 통해 내원했습니다. 두통을 호소하시길래 brain CT 찍어보니 ICH(intracranial hemorrhage, 두개내출혈)과 SDH(subdural hemorrhage, 경막하출혈)가 같이 있네요. 잘 처치해서 중환자실로 올립니다. 이어서 심방세동으로 심계항진 호소하는 울혈성 심부전 아저씨 맞이했고요. 손이 찢어진 안하무인 취객도 줄줄이 방문하네요. 일하는 밤마다 하얗게 불태웁니다.

治國安家는 得人也요
亡國破家는 失人也라.
나라를 잘 다스리고 집안을 평안케 함은
사람을 얻는 데 달려 있고
나라가 망하고 집안을 망침은
사람을 잃는 데 있느니라.
道典 8:60:4
작금의 태풍 얼른 지나고 맑고 푸르른 하늘 속히 보길 염원합니다.