brunch

가수분해 사료는 알러지 해결사가 될 수 있을까

같이 먹자

by Hyukhokwon


지금도 전세계에는 많은 개들이 알러지로 인한 피부병 혹은 위장관계 질환으로 고통 받고 있다. 겉으로 멀쩡해보이는 반려동물일지라도 조금 더 질문을 해보면 귓병이나 발을 핥고, 입 주위에 피부병 정도는 기본으로 가지고 있다는 것을 알 수 있다. 병원에 와서 약 처방을 받고 주사를 맞아도 잠깐 그때뿐이다.


2.jfif




그래서 평생 따라다니는 알러지에 대한 해결책으로 나온 방편으로 알러지용 처방식 사료들이 존재한다. 하지만 이런 사료들로 바꾸어도 임상증상이 크게 개선이 되지 않는 경우가 많다. 그나마 그 전보다는 조금 덜 긁는 것 같고, 나아졌기 때문에 타협점을 찾은 뒤, 그래 이정도만 해도 어디야, 라는 생각으로 계속 같은 사료를 구매하게 된다.



그 사료가 바로 저알러지성 사료와 가수분해사료이다. 내가 누차 이야기 하지만 저알러지성 (hypoallergenic, an-allergenic)이라는 말은 마케팅 용어일 뿐이다. 큰 의미가 있지 않다는 뜻이다. 전세계에 수많은 반려동물들이 각자 알러지에 반응하는 원인이 다르다. 그런데 알러지 반응을 줄여주는 마법같은 사료라니, 이런 신묘한 방법이 있다면 왜 나같이 알러지로 고통받는 사람에서 진작 쓰이지 않았던 것일까?

당연히 그런건 없기 때문이다.


3.jpg



저알러지성 사료가 해결책이 아니라면 그 다음은 가수분해 사료이다. 가수분해 사료가 어떻게 만들어지는지에 대한 생각을 엿보면 합리적인 선택인 것 처럼 보인다. 하지만 자세히 살펴보면 꼭 그런것만은 아니다.



알러지 반응은 단백질로 인해서 발생한다. 알러지를 일으키는 원인물질을 알러젠 (Allergen) 이라고 부른다. 음식 알러지인 경우 알러젠은 단백질 혹은 당과 단백질이 붙어있는 당단백질인 경우가 많다. 사람에서 대부분의 음식 알러젠인 당단백질의 크기는 대략 14,000~40,000 달톤 (Da)정도의 크기를 가지고 있다. 저 정도 크기의 단백질은 장 점막조직을 그대로 통과하면서 우리몸에 있는 면역 세포인 B cell과 T cell들을 자극해서 과도한 면역 반응을 유발하기에 충분하다.

harmless+food+protein+%3D+threatening+substance+%28allergen%29.jpg





하지만 가수분해 단백질은 우리몸이 인식하는 크기의 큰 단백질을 10,000~18,000달톤 아래의 저분자형태의 펩타이드로 분해해서 우리몸의 항체인 면역글로불린(Ig)이 항원으로 인식을 하지 못하게 만들어주는 것이다. 그렇기 때문에 결과적으로 반려동물의 면역 시스템 반응을 줄여주는 역할을 한다. 단백질 전체를 분해하지 못하는 경우에는 단백질 구조에서 알러지를 유발하는 일부분인 항원결정부위 (Epitope)를 충분히 잘게 분해해서 몸에서 일어나는 면역반응을 피할 수 있게 만들어준다는 생각이다.




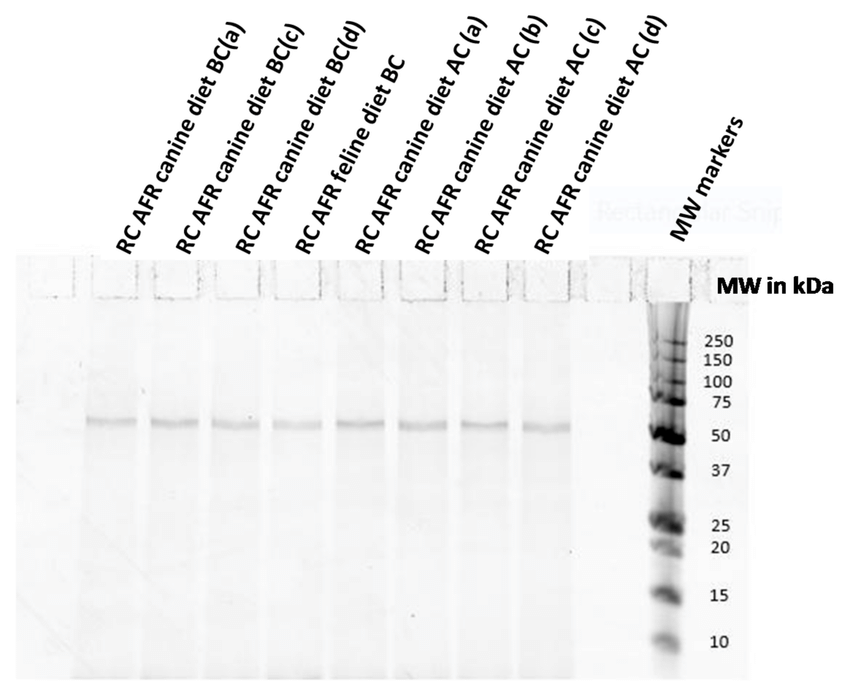
Protein-electrophoresis-of-different-production-lots-of-Royal-Canin-Anallergenic-canine.png

(로X캐닌에서 자기 사료에 들어있는 단백질 크기 입자를 측정한 자료)





문제는 가수분해과정이 단백질을 완벽하게 분해할 수 없다는 것이다. 모든 단백질 분자를 일정하게 아미노산으로 분해하는 것은 불가능하기 때문이다. 알러지원을 줄일 수는 있지만 면역반응을 완전히 제거할 수 없기 때문에 닭고기에 알러지가 있었던 반려동물이라면 닭고기를 가수분해한 단백질에 알러지 반응을 나타낼 확률이 굉장히 높다. 그리고 나중에 단백질 영동을 통해서 가수분해된 단백질의 크기를 측정할 때 모든 단백질이 아닌 평균적인 단백질의 크기를 측정하게 된다. 예를 들어 20KDa과 2KDa 단백질이 두개 존재하면 평균치인 11KDa이 나오게 된다. 이론적으로 11KDa은 알러지를 일으키지 않아야 하지만 사실상 20KDa이 있기 때문에 알러지 반응이 일어난다.







또한 그냥 단백질만 문제를 일으키는 것이 아니라 탄수화물에 들어있는 단백질 성분이나 식물성 오일에 들어있는 지질에 잘 붙는 알러젠들이 알러지원으로 작용할 수도 있다. 단백질이 아닌 분자라도 단백질과 결합해서 몸안에서 면역반응을 일으키는 물질들을 합텐 (Hapten)이라고 한다. 예를 들어 옥수수에 들어있는 탄수화물은 면역력이 없지만 다른 단백질과 결합에서 면역원성을 가지게 되면 알러지를 일으키게 될 수도 있다. 밀이나 보리에 자연적으로 함유되어 있는 단백질인 글루텐으로 발생하는 알러지도 비슷한 맥락으로 볼 수 있다. 그렇다고 사료를 만들 때 단백질이 아닌 모든 재료를 가수분해 할 수는 없는 노릇아닌가?


7.jpg

(생선을 가수분해 하는 공정)





단백질을 가수분해하는 방법은 어떤게 있을까. 아무래도 아래 두가지 방법이 가장 흔한게 사용되고 있다.

1. 효소를 이용하여 단백질을 분해하는 방법

2. 염산을 이용해서 분해하는 방법



효소를 이용하는 방법도 결국에는 발효로 인해 발생하는 알코올로 가수분해를 시키는 방법이다. 하지만 효소보다는 강산인 염산을 이용하는 방법이 간단하고 시간도 적게 걸린다. 당연히 비용도 저렴하다. 그래서 사람, 동물 할 것없이 대부분의 업체들은 염산을 이용해서 분해하고 있다. 사람에서는 조미료로 사용되기 때문에 크게 중요한 프로세스가 아니며 동물에 들어가는 가수분해 사료 제작에는 이런 절차에 대한 규제나 인증과정이 없기 때문이다.

7.png





가수분해를 시키는 단백질의 종류는 크게 2가지로 나눈다. 동물성 단백질과 식물성 단백질이다. 동물성 단백질은 다양한 원재료를 사용할 수 있지만 젤라틴을 많이 사용하는 편이다. 그리고 식물성 단백질원으로 가장 많이 사용되는 것은 대두와, 소맥이다. 보통 대두 단백질! 하면 건강한 콩에서 추출한 단백질을 생각하지만 사실은 아니다. 가수분해로 얻고 싶은 건 단백질이기 때문에 좋은 콩은 필요하지 않다. 사람에서 필요한 대두유를 위해 기름을 짜내고 남은 콩찌꺼끼들이 훌륭한 가수분해 원료가 된다. 콩찌꺼기라고 나쁜건 아니지만 신선도와 보관의 문제이다. 몇일이 지난 콩찌꺼기를 사용하는지는 잘 모르겠다. 이렇게 염산을 붓고 가수분해를 시킨 단백질에 아미노산 원료를 조금 넣은 것을 단백질 가수분해물이라고 한다. 동물용 사료에 들어가는 가수분해 단백질은 이렇게 만들어진다.




Food-Additive-for-Seasoner-Flavor-Enhancer-Hydrolyzed-Vegetable-Protein-Hvp-.jpg

(중국의 가수분해 분말로 만든 조미료)




단백질에 염산 처리를 하고 나면 매우 불쾌하고 고약한 냄새가 난다. 한번 맡아본적이 있는데 진짜 지독하다. 하지만 단백질 가수분해물에 돼지뼈파우더나 가다랑어 농축액등을 넣으면 굉장히 풍부한 맛이 나는 조미료로 탈바꿈한다. 사람음식의 경우 단백질 가수분해물은 조미료 혹은 식품첨가물로 사용된다. 한국에서 이 조미료가 가장 많이 사용되는 곳은 라면 스푸이다. 곰탕맛, 된장맛 혹은 닭고기 육수맛을 낼 수 있다. 또한 대표적으로 다시x도 있다.





하지만 동물사료를 만들 때는 돼지뼈 파우더와 같은 추가 첨가물을 넣지 않는 경우가 많다. 조미료로 만드는 과정을 거치지 않기 때문이다. 그렇다 보니 냄새가 좋지 않아 반려동물의 기호성도 떨어지는 것이다 (지방함량이 낮은 이유도 있다). 이외에도 가수분해 사료의 단점은 몇가지가 더 있다. 단백질을 쪼개고 쪼개다 보면 가장 골격인 아미노산이 되는데 아미노산기들은 알러지반응을 일으키지는 않지만 입자가 크기 때문에 높은 삼투압 농도를 만든다. 그렇기 때문에 장에서 잘 흡수가 되지 않고 식이로 바로 사용할 수도 없다.


geis-0488-lysozyme.png

(아미노산은 이렇게 복잡하다)



또한 가수분해 사료를 오래 먹이게 되는 경우 영양 부족 및 불균형 현상이 오기도 한다. 염산이나 효모를 사용하는 방법 모두 단백질을 100% 가수분해할 수 없가 때문에 사료 회사에서는 알러지반응을 줄이기 위해서 단백질을 가수분해 시키는 것 뿐만이 아니라 아예 단백질 함량을 낮춰버리기 때문이다.





가수분해 사료는 만능 치료제가 아니다. 정해져 있는 치료약처럼 아무 생각없이 추천해주는 동물병원들도 반성을 해봐야 한다. 힘들고 지루하겠지만 무엇이 알러지를 일으키는 물질인지 하나하나 찾아나가는 긴 여정이 필요하다. 그러기 위해서는 내 반려동물이 지금까지 먹여보지 않았던, 혹은 알러지가 가장 적었던 것 같은 한가지 단백질원을 정해 최소 4~8주 동안 한가지 만을 급여하면서 간식을 주지 않고 관찰하는 것 만이 가장 근본적인 접근법이라고 할 수 있다.




참고논문

1. https://www.sciencedirect.com/science/article/abs/pii/S1359511317315313


2. https://www.researchgate.net/publication/326005003_DNA_and_Protein_Analyses_to_Confirm_the_Absence_of_Cross-Contamination_and_Support_the_Clinical_Reliability_of_Extensively_Hydrolysed_Diets_for_Adverse_Food_Reaction-Pets

keyword
작가의 이전글고양이 통증관리는 잘 되고 있을까