brunch

유치찬란 치아싹

by 일리

유치 찬란한 영구치!

이 찬란한 순간


유치하다는 말..유치 찬란하다는말.. 뭔가 애 같으면서 매우 봐주기 어렵다는 뜻이다.


그러나 유치.. 어린이 치아를 뜻하는 유치가 얼마나 소중하고 찬란한지를 생각해보면

유치 찬란....우리의 찬란한 어린이 치아를 떠올릴수 있게된다.

KakaoTalk_20231031_160806644.jpg

치과에 대한 그림책이나 이야기는 대부분 무섭고 공포스러운 내용이 많다.

치과는 생각만으로 무서운느낌이 있다. 그래서 더욱 아름답게 표현하고 소중함을 알려주는 내용이 필요하다.

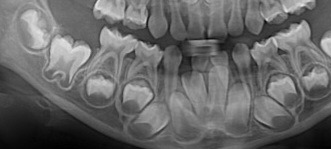
5살 정도의 유치열의 파노라마이다. 유치 아래로 영구치 치아싹이 보인다. 치배라고 한다. 사실 이런 이미지에 익숙한 사람들은 치과 종사자가 유일할것이다. 하지만 잘 보면 유치 아래로 한번 더 영구치가 나는 일생일대의 기회가 자라고 있다.


KakaoTalk_20231102_005912962.jpg


그래서 그 사실을 사랑과 새싹에 비유한 글을 써보았다. 실제 x-ray 파노라마상에서도 치배는 방울속에 둘러쌓인 하트 같아 보이기도한다. 나의 치아에 대한 각별한 사랑의 눈때문일수도 있지만..

그렇게 탄생한 유치 찬란 치아싹!

그림책으로 완성하기까지의 과정을 조금씩 올려볼께요... (응원해주세요!)

KakaoTalk_20231102_011005996.jpg


KakaoTalk_20231031_160813780.jpg

유치찬란 치아싹

글 그림 일리


유치 찬란 가족을 소개 할게요

우리는 유치, 어린이 치아지만 엄청 찬란하지요!

반짝반짝, 보석 같은 이 들이에요.

------------------------

유치 펄

앞니에요. 일등으로 나요

납작하게 생겼어요

유치 루비

앞니 옆에 있어요

두번째로 나요

유치 사파이어

송곳니에요

가장 뾰족해요

유치 애매랄드

약간 넓고 길죽해요

썩기 쉬워요

유치 다이아몬드

제일 커요

가장 늦게 나요

으꺠서 씹는걸 잘해요.

-------------

어느날 보석 앞니가 흔들려요

빠져 버릴것만 같아요.

흔들흔들.

그러나 “ 무서워 하지 말아요.”

치아싹이 말을 걸어요.

--------------

이 아래에 사는 씨앗들의 속삭임을 들어봐요

이 아래에는 사랑이 산다.

치아 싹 요정이 산다.

--------------

치아가 흔들릴때는

이 아래에 사는 치아싹이

사랑을 속삭이는 거래요

“세상 밖으로 나가고 싶어”

“더 크고 튼튼한 이가 되어줄게”

-----

하트를 닮은 치아싹이 말을 걸기 시작해요.

치아싹 우리는 사랑이야

수천 수만년 전부터

찬란한 유치가 빠지면

다시한번 기회를 주는 사랑이야

--------

새싹을 닮은 치아싹이 말을 걸기 시작해요

치아싹 우리는 새싹이야

가리지 않고 골고루 먹고

열심히 뛰어놀아 건강하게 키워야해

----

치아싹은 양치질을 좋아해

치약맛을 좋아하고

칫솔이 쓰다듬어 주는것을 좋아해

----

앞니가 없어져 아직 나지 않을때에도

치아싹은 사랑으로 열심히 크고있어요

조금만더 기다려 보아요

--------

까맣게 썩어 구멍난 이를 보면

치아싹 요정은 마음이아파요..

그리고 힘들어해요..

------

치아를 다시 원래대로 만들수는 없어

하지만 내가 새로운 이를

한번만 더,

한번만 더 만들어줄꺼야

----

유치 찬란 가족!

우리의 치아 아래에 있는

사랑 모양을 닮은 치아싹 요정이

다시한번 일생일대의 기회를 줄거에요

-----

기회는 딱! 한번뿐이에요

----

우리 이 한번뿐인 기회를 아끼고 키워서

예쁘고 건강한 치아를 가져보아요


keyword
작가의 이전글전문직이라는 우물