brunch

일본 국제학회가 주목한 ‘무릎을 살리는 수술법’

일산백병원 나경욱 교수, '무릎절골술' 일본 국제학회 초청 강연

by 일산백병원

일산백병원 나경욱 교수, 일본 ‘무릎 절골술 및 관절보존국제학회(JKOPS)’ 초청 강연

– 아시아 대표 연자로 2년 연속 발표, 고난이도 절골술 치료 경험 세계에 공유


[사진] 나경욱 일산백병원 정형외과 교수 (4).jpg


일산백병원(원장 최원주) 정형외과 나경욱 교수가 국내 무릎 절골술 분야의 전문성을 바탕으로 일본에서 열린 국제학술대회에 초청받아 연속 강연을 진행하며, 한국의 우수한 의료기술을 국제 무대에 알렸습니다.


나 교수는 2024년 4월 19일 일본 가가와현 다카마쓰에서 열린 ‘제3회 일본 무릎 절골술 및 관절보존국제학회(JKOPS 2024)’**에 이어, 2025년 4월 11일 홋카이도 삿포로에서 개최된 ‘제4회 JKOPS’**에도 연속 초청을 받아 아시아 대표 연사로서 국제 세션에 참여했습니다.


KakaoTalk_20250714_103214336.jpg


■ 정형외과 절골술 분야의 국제적 주목


JKOPS는 무릎 관절 질환과 절골술(교정술)에 대한 최신 지견과 수술법을 공유하는 권위 있는 국제 학술 행사입니다. 아시아와 유럽의 절골술 전문가들이 모여 활발한 학술 교류를 이어가고 있으며, 정형외과 고난도 수술 사례 발표가 주를 이룹니다.


2024년 학회에서 나 교수는 “대퇴골 또는 경골 골절 부정유합에 대한 교정술”을 주제로, 휘어진 뼈로 인한 통증과 기능장애를 수술로 바로잡는 방법과 실제 임상 사례를 소개해 큰 주목을 받았습니다. 정밀한 뼈 정렬, 해부학적 복원 등 고난이도 절골술의 경험을 공유하며 현장의 의료진들로부터 깊은 인상을 남겼습니다.


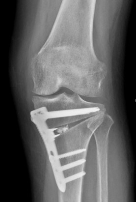
2025년 학회에서는 ▲근위 경골 절골술(HTO)의 합병증을 예방하는 수술 기법 ▲외반슬(Genu Valgum)과 동반된 슬개골 탈구 환자에게 시행하는 원위대퇴골 절골술(DFO) 등 두 개의 주제로 발표를 진행하며, 보다 정교한 절골술의 접근 방법과 실제 수술 사례를 통해 학회 참가자들과 노하우를 공유했습니다.


999.jpg
[사진] 나경욱 일산백병원 정형외과 교수 (1).jpg


■ “무릎 관절을 살리는 수술, 환자 맞춤형 계획이 핵심입니다”


나경욱 교수는 2002년부터 무릎절골술에 전념해 왔으며, 인공관절 없이도 무릎 기능을 오래 유지할 수 있는 치료 전략을 연구하고 실천하고 있습니다. 특히 환자마다 다른 뼈의 형태와 변형을 정밀하게 분석한 후, 개인 맞춤형 절골술을 시행하는 정밀 수술 역량은 국내외 의료계에서도 높은 평가를 받고 있습니다.


나경욱 교수는 “정확한 수술 계획과 시행이 무엇보다 중요하다”며, “앞으로도 세계 의료진과 지식을 나누며 한국의 치료 수준을 세계에 알리고, 환자에게 더욱 최선의 치료를 제공할 수 있도록 노력하겠다”고 밝혔습니다.


이번 연속 초청 발표는 일산백병원의 무릎 관절 보존 치료가 세계적으로도 인정받고 있음을 보여주는 사례로, 정형외과의 국제적 입지를 더욱 공고히 하는 계기가 되었습니다.


글(정리): 일산백병원 홍보실 송낙중

keyword
매거진의 이전글간암 정복의 새로운 출발! 간암학회 이준성 교수 취임