등이 계속 아프면 췌장에 대해 검사하세요!

등이 아플때 어떤 검사를 해야 하는지

by 전제혁

잠을 잘 못 자거나, 무리를 하였을 경우 등이 아픈 경우가 종종 있습니다. 또한, 등이 아프면 보통 허리디스크인줄 알고 치료를 받게 됩니다. 하지만, 물리치료 후에도 증상 호전이 없으면 어떻게 해야 할까요? 디스크수술을 받아야 할까요? 아니면 다른 검사도 고려해야 할까요?

폭염 및 열대야로 더웠던 2023년 8월초, 50대 후반의 여자분이 외래를 방문하였습니다. 약 2달 정도 전부터 등이 아파 허리디스크로 생각해서 물리치료를 계속 받았으나 호전이 없었고 수술도 권유받았으나 다른 원인이 있나 해서 본원 소화기내과에 방문하였습니다.

이런 경우는 환자에게 명치가 아픈지, 아니면 자세 변화에 따라 통증이 변하는 지 물어보게 됩니다. ‘췌장’에 문제가 있는 경우에는 명치가 같이 아프기도 하고, 음식을 먹거나 똑바로 누우면 등의 통증이 심해집니다. 환자는 명치에 통증은 없으나, 똑바로 누우면 통증이 좀 더 심해서 옆으로 누워서 잔다고 하였습니다. 췌장에 대한 정확한 평가가 필요하다고 판단하여 피검사와 복부 CT 검사를 권유하여 진행하였습니다. 피검사에서는 췌장수치인 아밀라제, 리파아제는 정상이었고, 우리가 췌장암 표지자로 알고 있는 CA 19-9 가 정상수치는 34 미만이었으나, 1000 이상으로 상승되어 있었습니다.
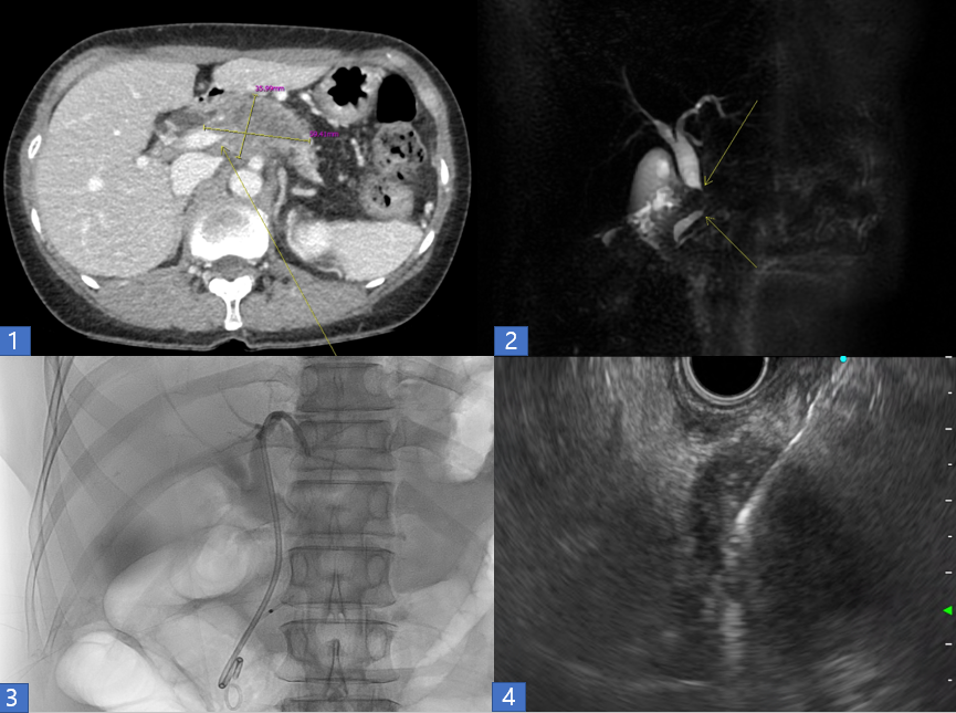
복부 CT 에서는 약 6cm 크기의 병변이 췌장에서 관찰되었습니다. 주변에 비해 색깔이 어두워 암이 의심되었고, 주변 혈관과 담관을 침범하고 있었습니다. (그림 1)

캡처_2023_09_19_20_38_13_754.png

그림 1 : CT 검사에는 약 6cm 크기의 저음영의 종괴가 췌장의 목과 몸에 관찰됨.

그림 2 : MR(자기공명영상) 에서 췌장의 종괴가 담관을 막고 있음.

그림 3 : ERCP(역행성 담췌관 조영술) 을 시행하여 담관에 스텐트를 거치하여 담관이 막히지 않게 함.

그림 4 : EUS(초음파내시경) 을 통해 췌장의 병변에 대해 조직검사를 하고 있다. (하얀색의 바늘이 조직을 떼어내고 있다.)


빠른 입원이 필요하다고 판단되어 환자에게 조심스럽게 나쁜 소식을 전할 수밖에 없었습니다.

“***님. 병원에 올 때 췌장에 대해 검사를 고려해서 오셨을 텐데, 췌장에 나쁜 덩어리가 있어서 조직검사를 해야 할 거 같습니다. 다행히 우리 병원은 대학병원에 있는 MR 이 있고, 저는 췌장담도인증의라서 초음파내시경, ERCP 가 모두 가능합니다. 대학병원에서는 빠른 입원이 되지 않아 입원을 기다리는 동안 불안해하실 테니. 내일 아침에 우리병원에 입원해서 내일 MR(자기공명영상) 검사를 오전에 하고, 오후에 EUS(초음파내시경) 과 ERCP(역행성담췌관 조영술) 검사를 시행해서 빠른 진단을 해야 하겠습니다. 조직검사와 MR까지 확인해서 수술이 가능한지, 아니면 항암치료부터 해야 할지 판단을 하겠습니다.”

환자분은 저를 믿고 다음날 입원을 하여 검사를 진행하였습니다. MR검사에서는 암이 담관을 침범하였고, 암은 3기이며, 혈관침범이 심해 수술을 진행하기 어려운 상황이었습니다. (그림 2) 오후에 ERCP 와 초음파내시경 검사를 시행하였고, ERCP 를 통해 담관에 스텐트를 삽입하여 황달이 생기지 않게 하였고, (그림 3) 초음파내시경 검사를 하여 췌장의 암 조직을 채취하였습니다. (그림 4)


약 5일 후에 조직검사가 나왔고, ‘선암(adenocarcinoma)’ 으로 진단되었습니다. 췌장암의 90% 이상을 차지하는 암으로 예후가 좋지 않지만, 환자의 전신상태가 나쁘지 않아 항암치료를 위해 혈액종양내과 전문의에게 의뢰를 드렸습니다.

이처럼 췌장암은 증상이 발생한지 2달 만에 진단하였다 하더라도 진행이 빠릅니다. 췌장암이 진단된 사람들 중에 3기이상으로 진단되는 경우가 80% 이상입니다. 췌장암의 조기 발견이 어려운 이유는 췌장은 등의 바로 앞인 후복막에 위치해 있어, 증상이 발생한 경우에는 이미 암이 커져 있을 경우가 많습니다. 따라서 조기 발견이 어려운 장기입니다. 그러므로, 췌장암의 증상을 잘 알고, 의심되었을 때 빨리 병원에 와서 검사를 해야 하겠습니다. 지금 말씀드릴 6가지의 증상을 꼭 기억해주시길 바랍니다.

췌장암의 증상 6가지!

1) 명치가 아프면서 등 뒤쪽으로 뻗치는 통증 또는 똑바로 누우면 심해지는 등 통증

2) 눈과 피부가 노래지는 황달

3) 당뇨가 40대 이후에 갑자기 생기거나, 당뇨가 있는 사람이 당뇨가 갑자기 조절 안 될 때

4) 6개월에서 1년 사이에 본인의 체중이 5~10% 이상 감소할 때

5) 대변이 둥둥 뜨는 지방변이 생길 때

6) 소화불량이 지속적으로 생기고 식욕이 계속 없을 때


이 여섯 가지를 꼭 기억하시고 위와 같은 증상이 생겼을 때 소화기내과 의사에게 방문하시길 바랍니다. 아니면 췌장담도내시경 (ERCP, EUS) 이 가능한 췌장담도 전문의에게 바로 오셔도 됩니다.


등이 아플 때 , 허리디스크만 생각하지 말고 췌장에 대한 검사도 고려하시길 바랍니다.

keyword
이전 06화우측 옆구리가 아플 때 내시경 검사를 해야 할까요?