brunch

한국인의 절반이 감염된 헬리코박터균. 치료해야 하나요?

쉽게 알려주는 소화기질환 시리즈(1)

by 전제혁

이른 더위가 찾아왔던 7월 초, 새벽에 응급실에서 전화가 왔습니다. 81세 여자환자가 토혈을 주소로 내원하였다는 보고였습니다. 환자의 피검사와 CT 소견을 종합해 본 결과 위궤양에 의한 출혈 가능성이 높다고 판단되었습니다. 혈압이 낮아 중환자실 치료가 필요하였습니다. 출혈로 인한 쇼크 상태로 판단되어 충분한 수액 공급과, 수혈 등 쇼크에 대한 치료를 부탁드렸고, 다음 날 오전 일찍 내시경을 시행하기로 하였습니다.


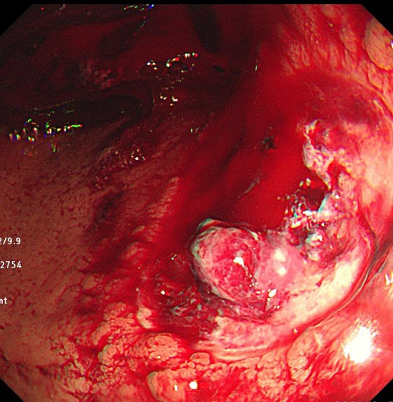
다음 날 시행한 내시경에서 위의 체부 소만에 약 6cm 크기의 큰 궤양이 관찰되며 그 부위에서 피가 계속 나고 있었습니다. (그림 1) 혈관의 노출이 의심된 부위에 클립(clip)을 사용하여 혈관노출부위를 묶어서 지혈을 하였습니다. (그림 2)

1.jpg 그림 1. 위의 체부 소만에 위궤양으로 인해 혈관에 노출이 있으면서 피가 나고 있는 모습.
2.jpg 그림 2. 혈관이 노출된 부위에 2개의 클립을 사용하여 지혈한 모습.

이후 약물치료를 병행하였고, 추적관찰한 내시경에서 궤양이 호전되어 (그림 3) 조직검사를 시행하였습니다. 조직검사 결과에서 ‘헬리코박터균’이 나왔습니다.

3.jpg 그림 3. 이전 출혈이 있던 궤양 부위가 호전된 것을 확인할 수 있다.


‘헬리코박터균’. 전세계적으로 약 50%가량의 사람이 감염되어 있는 것으로 추정되는 균입니다. 비슷한 이름의 요구르트를 통해서도 이름이 잘 알려져 있습니다. 그래서 그런지 헬리코박터는 좋은 균으로 알고 있는 분들도 계십니다. 헬리코박터균은 과연 좋은 균일까요?


4.jpg 그림 4. 인간의 위점막에 기생하는 그람 음성 나선균인 헬리코박터균


우리가 일반적으로 이야기하는 헬리코박터균의 정확한 명칭은 헬리코박터 파이로리 (Helicobacter pylori)으로, 모양이 헬리콥터처럼 생겼다고 해서 붙은 이름입니다. (그림 4) 주로 위장점막에 서식하며 상피세포를 손상시킵니다. 이 균은 급성과 만성위염, 위·십이지장궤양, 위암 발생의 주요 원인으로 알려져 있습니다.
대한상부위장관·헬리코박터학회에 따르면 지난 18년간 헬리코박터균의 유병률은 66.9% 에서 43.9% 로 급격하게 떨어졌습니다. 특히 2016~2017년을 기준으로 10대는 유병률이 6%, 20대는 14%로 60대의 54% 와 비교해서 크게 낮음을 알 수 있습니다. (그림 5)

5.jpg 그림 5 A: 전체유병률이 43.9% 로 감소 B: 10대와 20대의 유병률이 고령에 비해 낮음.



이 이유는 이전에 비해 경제적 여건과 위생 관념이 좋아졌기 때문으로 생각됩니다. 이는 전 세계의 유병률을 봐도 알 수가 있습니다. 헬리코박터균의 유병률은 북유럽에서는 11%, 캐나다와 미국에서는 각각 23.1%, 30%로 낮으나 남미 72~82%, 나이지리아에서는 91%를 육박하는 것을 보면, 나라의 경제 수준 및 위생에 따라 유병률이 큰 차이가 나는 것을 확인할 수 있습니다.

그렇다면 이 헬리코박터균이 어떤 문제를 일으키는지 자세히 알아보겠습니다.
국내의 경우 십이지장궤양 환자의 90-95%, 위궤양 환자의 60-80%에서 헬리코박터균이 발견되며, 헬리코박터균을 제균 치료(균을 죽이는 치료)를 하면 소화성궤양의 재발률이 현저히 감소됩니다.
또한 헬리코박터균은 위암과의 연관성이 입증되어 있는 상태로, 1994년 세계보건기구(WHO)에서 분명한 위암의 발암인자로 분류하였으며, 여러 연구에서 위암발생의 위험도를 약 3.8배 증가시키는 것으로 알려져 있습니다.
그 외 위축성 위염, 장상피화생, 위의 MALT 림프종 등이 헬리코박터균의 감염과 관련이 있습니다.
그리고 위궤양, 십이지장궤양, 위 MALT 림프종의 경우는 제균 치료를 시행하면 치유될 수 있지만, 위축성 위염, 장상피화생, 위암 등은 제균 치료 시 어느 정도 예방 및 진행을 막는 효과는 있지만 치료 효과는 없습니다.
위에서 언급한 환자도 조직검사에서 헬리코박터균이 나왔고, 2주간의 제균 치료 후 추적관찰 결과 궤양은 흔적만 남았으며, 헬리코박터균은 체내에서 더 이상 검출되지 않아 완치가 되었습니다. 이처럼 헬리터박터균의 치료는 중요합니다.

헬리코박터균의 검사는 내시경을 사용한 방법과 내시경을 사용하지 않는 방법이 있습니다.
내시경 도중 위 점막 조직을 채취하여 특수염색을 하여 균이 있나 보는 방법이 있고, 조직을 채취하여 요소분해효소 여부를 알아보는 방법도 있습니다. 검사키트에서 노란색이 붉은색으로 변하면 헬리코박터균이 있음을 의미합니다. (그림 6)

6.jpg 그림 6 노란색이 빨간색으로 변하면, 헬리코박터균이 있음을 의미합니다.

내시경을 시행하지 않고 볼 수 있는 검사로는 요소호기검사가 있습니다. 검사법에 쓰여 있는 대로 호기, 즉 내쉬는 숨으로 헬리코박터균 유무 확인이 가능합니다. 검사가 편리하고 정확도가 높아 널리 사용되는 검사로, 제균 치료 후 균이 죽었나 확인할 때 널리 사용됩니다. 그러나 위산 억제제나 항생제 등을 충분한 기간 중지하고 사용하지 않으면 검사의 정확도가 떨어져 4주 이상의 약제 중단이 필요합니다.


이렇게 헬리코박터균이 진단되면, 바로 제균 치료를 하지 않고 위궤양 등이 호전되는 것을 확인한 후 제균 치료를 합니다. 일반적으로 1차 제균 치료의 경우에는 위산분비억제제와 2종류의 항생제(아목시실린과 클라리스로마이신)를 하루 2회, 14일간 복용합니다. 이렇게 약을 복용한 사람 중 78.1%에서 제균 치료에 성공합니다. 만약 약제의 복용을 임의로 중단하거나, 규칙적으로 먹지 않으면 제균 치료의 성공률이 더 떨어지므로 주의를 요합니다. 1차 제균 치료가 실패한 경우는 다른 약으로 2주간 복용하는 데, 2차 제균 치료부터는 약의 개수가 늘어나고, 치료 성공률이 1차에 비해 떨어지므로 1차 제균 치료 때 약을 빼먹지 말고 복용해야 합니다.

제균 치료 시 부작용으로는 설사, 무른 변, 음식 맛이 이상하거나 쓴 맛, 발진이나 두드러기 등이 발생할 수 있는 데 대부분 경미한 증상이므로 약을 꾸준히 드시는 게 좋겠고, 만약 심한 설사나 두드러기 등 본인이 견디지 못할 증상이 생기면 꼭 병원에 방문해서 상담을 받아야겠습니다.


이처럼 헬리코박터균은 최근 감염률이 줄었음에도 한국인의 43.9%가 감염되어 있습니다. 위궤양, 위암 등을 일으킬 수 있는 균이므로, 균에 대한 검사를 적극 고려하고, 이 균이 걸려 있다면 균에 대한 치료를 꼭 고려해야 할 것입니다.

keyword
작가의 이전글꼬깃꼬깃한 일곱 장의 초록색 종이