전방십자인대파열
무릎 관절경 타가건 재건술

무릎 관절의 안정성에 가장 중요한 인대

운동을 하기 좋은 계절인 요즘, 회사나 학교에서 운동을 많이 하게 되는 요즘, 무릎 부상 중에서 가장 흔한 스포츠 손상이 바로 전방십자인대파열입니다. 무릎 십자인대는 2개의 인대가 있으며 각각 전방십자인대와 후방십자인대로 구성되어 있고, 무릎 속 가운데에 십자 모양으로 있다고 하여 십자인대라고 합니다. 전방과 후방의 의미는 각각 무릎의 앞과 뒤로 빠지는 관절의 움직임을 잡아주게 되어 있습니다. 오늘은 이 중에서 전방십자인대파열에 대해 진단부터 시작하여 치료방법, 재활 그리고 관리하는 방법까지 이야기해보고자 합니다.


전방십자인대파열 타가건 재건술 (15).jpg 전방십자인대파열 타가건 재건술


무릎이 뒤틀렸어요

운동을 좋아하는 불혹이 안된 나이의 직장인 분으로 공을 이용한 운동은 다 좋아한다고 하셨다. 회사 사람들과 함께 운동하는 중에 공을 가지고 있다가, 급하게 방향을 바꾸는 과정에서 무릎이 뒤틀리는 느낌이 있어, 하루 이틀 지켜보았는데, 걷는 데에 있어서는 그렇게 심한 통증은 없는데, 무릎이 뻑뻑하고 무겁게 느껴지는 점이 일주일이 지나도록 없어지질 않아서 걱정되고 불안해서 내원하게 되었다고 하셨다.


기초 검사와 검진

전방 십자인대 파열에 대한 진료를 하는데 있어서 가장 기본이 되는 것은 바로 검진입니다. 말씀하시는 이야기를 듣고, 만져보는 것이 진단과 치료의 시작이라고 할 수 있습니다.


전방십자인대파열 타가건 재건술 (14).jpg 환자의 사진

기본 검사는 방사선 사진으로, 무릎 관절에 관여하는 뼈에 이상이 있는지 보는 검사로, 위의 사진을 보면 정상적인 사진입니다. 그 다음은 무릎을 직접 만져보는 이학적 검진을 시행합니다. 검진을 해보니 무릎이 부어있었고, 무릎이 앞으로 빠지는 느낌(Anterior Drawer test)과 비틀었을 때 튕기는 느낌(Pivot shift test)이 있었기에 전방십자인대 손상을 의심해야 했습니다.


전방십자인대 파열 검사

전방십자인대파열 타가건 재건술 (2).jpg 환자분의 MRI

의심되는 부위를 객관적으로 확인하는 방법은 현재는 MRI 밖에 없습니다. 십자인대 파열은 옆에서 보는 MRI 영상으로 진단하게 되며 위의 사진에서 보면, 화살표가 있는 부위가 전방 십자인대가 파열된 모습입니다.


전방십자인대 치료법

부분 파열인 경우라면, 보존적 치료 방법을 이용하여 약물과 재활을 통해 치교를 기대해볼 수 있지만, 파열의 정도가 심하다면 어쩔수 없이 관절경으로 전방십자인대를 다시 만드는 전방십자인대 재건술을 받으셔야 합니다.


전방십자인대파열 타가건 재건술 (5).jpg 타가건을 만드는 과정

자가건과 동종건을 이용하게 하게 되는데, 각각의 장단점은 반반이라고 설명드리고 싶습니다. 동종건을 이용한 경우이기에 먼저 보여드리며, 위의 사진처럼 이식할 인대의 모양으로 먼저 만들어 줍니다.


전방십자인대파열 타가건 재건술 (16).jpg 전방 십자인대 파열 모습

무릎 관절경으로 파열된 전방 십자인대를 확인합니다. 사진에서 보면 완전 파열의 형태를 보여주고 있습니다.


전방십자인대파열 타가건 재건술 (13).jpg 십자인대 위치 확인

이식할 인대를 통과시키기 위한 경골이란 뼈에 우선 터널을 만들 곳을 정하고,


전방십자인대파열 타가건 재건술 (12).jpg 경골터널 형성

가이드핀을 넣어서 터널이 만들어질 위치와 방향을 확인한 후 아래 터널부터 만들게 됩니다.


전방십자인대파열 타가건 재건술 (11).jpg 대퇴터널을 형성

아래 터널을 이용하여 위 터널도 같이 만든 후에 만드는 과정에서 나오는 뼈 가루들을 모두 제거합니다. 그렇지 않으면 가루들이 모여 관절 속에서 덩어리(유리체)를 만들수 있어 추후에 무릎에 통증을 유발할 수 있습니다.


전방십자인대파열 타가건 재건술 (9).jpg 타가건을 통과시키기 위해

인대에 실을 고정하여 끈처럼 이용하게 되는데 우선 이끈을 터널에 넣어서 통과시키게 되고,


전방십자인대파열 타가건 재건술 (8).jpg 동종건 통과 모습

아래에서 위 터널 방향으로 당기게 되면, 미리 만들어 놓은 동종 인대가 통과되게 됩니다.


전방십자인대파열 타가건 재건술 (7).jpg 인대 고정 과정

위 터널에는 동종 인대에서 뼈가 있는 부분이기에 때문에 나사못을 이용하고 단단하게 고정합니다. 위 터널을 고정하는 방법에는 여러 방법들이 있으나 초기 고정 강도가 강한 것일수록 재활을 빠르고 안전하게 시작할 수 있습니다.


전방십자인대파열 타가건 재건술 (6).jpg 관절경 재건술 완료

새로운 전방십자인대를 모두 고정하고 나서 인대가 흐르는 방향과 무릎을 구부리고 펴고 할 때 새로 장착한 인대가 주변 뼈에 닿는지 여부를 확인하게 됩니다.


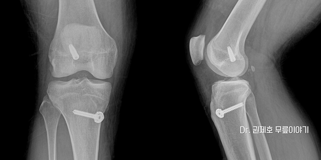
전방십자인대파열 타가건 재건술 (3).jpg 전방십자인대재건술 후 사진

모든 과정이 끝나고, 방사선 사진을 보면 위의 사진처럼 나사못이 두군데 삽입되어 있는 것을 확인할 수 있게 됩니다.


전방십자인대파열 타가건 재건술 (4).jpg 전방십자인대 재건술 후 MRI

전방십자인대재건술이 만족스러운지 확인하는 방법은 수술 후에 촬영하는 MRI로 이식한 인대가 문제없이 고정된 모습을 확인할 수 있습니다.


전방 십자인대 파열 재활

십자인대 수술 과정

수술 후 가장 중요한 것은 재활이라고 말씀드리고 싶습니다. 2주가 될 때까지는 상처 소독을 하면서 상처를 확인하게 되며, 봉합한 실은 2주가 되는 날에 제거하게 됩니다. 체중부하를 하기 전까지는 침상에서 다리를 올리고 버티는 운동을 통해 수술할 때 사용한 지혈대로 인한 허벅지 앞쪽 근육을 단련시켜야 하는데, 이게 대퇴사두근 운동이라고 해서 가장 기본이 되는 운동 방법입니다. 무릎 관절 각도 운동은 처음에는 CPM이라는 기계를 이용해서 부드럽게 시작하게 되고, 단독 파열인지 아니면 동반 손상이 있는지에 따라서 재활 과정이 조금은 다르긴 하지만, 단독 파열인 경우 2주째부터 처음으로 체중을 가할 수 있습니다. 여기서 강조하고 싶은 것은 구부리는 운동에만 신경 쓰지 말고 쭉 펴는 운동에도 신경 써야 한다. 침대에서 무릎을 쫙 폈을 때 침대에 닿을 때까지 펴는 운동을 하는 것 역시 잊어서는 않됩니다.


수술 및 관리에 대한 생각

전방십자인대 동종건 재건술은 연골이나 연골판 등의 동반 손상만 없다고 한다면, 비교적 회복이 빠르다고 설명합니다. 하지만 문제가 되는 경우는 대부분 수술 후 관리가 이루어지지 않아서 발생하는 경우가 많습니다. 다시 다칠 수 있는 상황에 가지 않는 것, 재활을 지치지 않고 꾸준하게 하는 것도 수술 후 관리의 하나입니다. 사소하다고 생각할 수도 있겠지만, 그런 하나하나가 행동과 생각이 무릎의 통증과 재발으로부터 보호할 수 있습니다.



SNS

보다 많은 무릎 이야기가 궁금하시면 >>


keyword