brunch

귀차니즘은 과학이다

[52권 자기 혁명] 앤드류 스마트의 <뇌의 배신>

by 히말

이 책의 원제는 <게으름의 기술>이다. 저자는 한가하게 지내는 것이야말로 인생에서 가장 중요한 활동 중 하나라고 한다. 과학자 뉴턴과 시인 릴케도 게으름 피우다가 위대한 일을 해냈다. 뉴턴은 사과나무 아래에서 느긋하게 차를 마시며 공상에 빠졌다가 만유인력을 발견했고, 릴케는 한가하게 바닷바람이나 쐬면서 소일하다가 <두이노의 비가>를 썼다는 것이다. 르네 데카르트 역시 침대에 누워 천장에 붙어 있는 파리를 바라보다가 좌표 체계를 구상했다는 말이 있다.


KOR9788964711194.jpg?type=w773


자동항법장치 덕분에 비행기 조종사들은 이착륙에만 집중하면 된다. 비행기가 일직선으로 날아가는 도중에도 조종사들이 긴장해야 한다면, 항공 사고가 더 잦았을 것이다. 조종사들의 피로가 훨씬 심했을 테니 말이다.

인간의 뇌도 비슷한 자동운항 상태에 종종 돌입한다. 그런데 자본주의 사회는 뇌가 자동운항 상태로 돌입하는 것을 사사건건 방해한다. 잠시라도 가만히 있는 것을 죄악시하기 때문이다. 스마트폰의 보급으로 근로시간은 오히려 증가하고 있으며, 시간 관리 서적은 언제나 베스트셀러다.

뉴턴, 릴케, 그리고 현대인

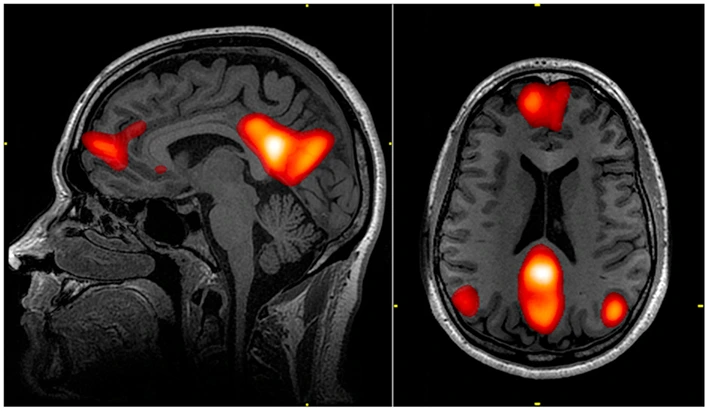
'디폴트 모드 네트워크'란 우리가 휴식할 때 뇌가 진입하는 자동운항 상태다. 깨어 있지만 아무것도 하지 않는 뇌의 기저상태. 이때 두뇌는 불필요한 정보를 삭제하고 필요한 정보를 장기기억 부위로 옮기는 등 정리작업을 수행한다. 불필요한 정보를 정리하지 않으면 저장공간이 부족해지고, 정보 찾기가 어려워진다.


Default_mode_network-WRNMMC.jpg?type=w773 디폴트 모드 네트워크의 위치


디폴트 모드 네트워크는 2001년 신경과학자 마커스 라이클에 의해 발견되었다. 그는 자기공명영상(MRI) 장치를 통해 뇌 영상을 관찰하다가, 피험자들이 문제 풀이에 몰두할 때 오히려 활동이 감소하는 뇌 영역을 발견했다. 이 부분은 피험자들이 쉬고 있을 때 오히려 활성화되었다.

저자는 따스한 오후 정원에 나가 햇살을 즐기면서 멍하게 긴장을 풀고 있는 뉴턴의 뇌를 다음과 같이 묘사한다.

이제 뉴턴의 두뇌는 남과 얘기하거나, 회의 일정을 잡거나, 일과를 계획하거나, 시간을 관리하는 데 신경을 쓸 필요가 없어졌기에, 평소 의식적 인식 대상이 아닌 채 장기 기억으로 저장돼 있던 방대한 물리학 지식이 의식의 수면 위로 떠 오른다. (제3장 중에서)


Sapling_of_newton_apple_tree.jpg?type=w773 캠브리지 트리니티 대학에 있는 뉴턴의 사과나무. 넓은 그늘이 쉬기 좋아 보인다.


일상적인 일을 처리할 때는 서로 연결되지 못했던 개념들이 무의식적으로 연결되면서 완전히 새로운 아이디어가 합성된다. 릴케의 경우도 마찬가지다. 특별히 정해진 일과가 없이 바닷가에서 바람을 쐬면서 산책하다가 떠오르는 시상을 급히 적고는 했는데, 릴케의 시를 영어로 번역한 미국 시인 로버트 블라이에 따르면, 릴케는 그렇게 갑작스레 떠오르는 시상을 적느라 운율을 못 맞추기도 했다고 한다.

그런데 현대의 우리는 어떤가? 아이들의 시간을 어떻게 관리해 주어야 하는지에 관한 책이 팔리고 있을 정도다. 어릴 적부터 무언가를 하고 있지 않으면 죄책감을 느끼도록 교육받은 아이들은 어른이 되어도 그 죄책감을 떨쳐 버리지 못한다. 하버드 대학교 학생들은 학교 분위기를 이렇게 말한다.

"이곳은 수영 레인을 숨 쉬지 않고 헤엄쳐가라고 요구하는 것 같은 분위기입니다."

저자에 따르면, 이 책을 쓰고 있을 당시 미국 아마존에서 팔리고 있던 시간 관리 관련 서적은 총 9만 5천 권이 넘는데, 이걸 전부 읽으려면 하루에 세 권씩 읽어도 72년이 걸린다는 계산이 나온단다. 시간 관리 책을 읽기 위해 시간 관리를 해야 할 지경이다.

노이즈가 균형을 만든다

뇌는 신경세포들이 이루는 거대한 네트워크다. 개미 하나하나는 자신에게 주어진 단순한 역할을 할 뿐이지만, 개미 군집은 식량도 구하고 전투도 한다. 마찬가지로, 신경 세포들은 신호를 전달할 뿐이지만 이들의 네트워크는 놀라운 일들을 해낸다.

인간의 뇌와 같이 역동적인 네트워크는 어떻게 균형을 유지할까? 이탈리아 물리학자 로베르토 벤치는 역동적 균형의 핵심이 노이즈라고 설명한다.

1_CPI-6ZtpYfMyV3bTt8EumQ.jpeg?type=w773 뇌는 신경세포들이 만드는 거대한 네트워크다. 이 거대한 네트워크의 균형은 노이즈에 달려 있다.


지구는 빙하기와 간빙기라는 두 개의 균형점 사이를 왕복하는데, 그 비결은 적절한 노이즈에 있다. 노이즈가 있기에 지구는 빙하기와 간빙기를 드나 들며 다양한 기후를 만들어 낸다. 노이즈가 지나치면 균형 자체가 무너지겠지만, 적절한 노이즈는 역동성과 균형, 즉, 안정성과 다양성을 동시에 달성한다. 마찬가지 이유로, 신경 네트워크 내 적절한 노이즈는 창의성을 불러온다.

그런데 현대 사회에서 노이즈는 박멸 대상이다. 정규분포에서 불량율을 6 표준편차까지 줄이겠다는 식스 시그마 운동은 100만 개 중 3.4개 이하의 불량품을 목표로 한다. 사실상 제로 노이즈를 추구한다. 노이즈의 전멸은 간질 발작을 가져온다고, 저자는 경고한다.

빙하는 어느 정도까지의 온기에는 저항할 수 있지만, 온도가 일정한 문턱 값을 넘어서면 설령 기온이 다시 내려간다 하더라도 해빙이 멈추지 않는다. 인류 사회가 파멸을 벗어나려면 적절한 노이즈를 허용해야 한다는 것이 저자의 주장이다. 저자는 뇌에 휴식을 허하라고 탄원하며 책을 끝맺는다.

비록 앞날이 어떻게 될지는 모르지만, 나는 한가한 사람 수십억 명의 정신에서 이에 대한 해답을 도출해 낼 수 있다고 믿는다. 그리고 현명한 사람이라면 자신에게 진정으로 필요한 것은 휴식이라는 사실을 깨닫고 아무 일도 하지 않을 기회가 얼마나 황금 같은 기회인지 느끼리라 믿는다. (제9장 중에서)

잠들기 전 해결책을 빌어라

디폴트 모드 네트워크를 활용하자! 거창한 이야기가 아니다. 단지 가끔 멍하게 있자는 거다. 의식적으로 멍 때리는 행위가 명상이다. 하지만 하루에 겨우 십 분 정도 하는 명상은 디폴트 모드 네트워크의 창의성을 깨우기에는 조금 부족하지 않을까. 그래서 나는 팀 페리스가 <타이탄의 도구들>에서 소개하는 방법을 활용하면 어떨까 제안한다.

리드는 날마다 자기 정신이 밤사이에 공들여 해결해주기를 원하는 문제들을 노트에 적는다. 그는 그 이유에 대해 이렇게 말했다. "나는 우리가 떠올리는 생각의 대부분은 당연히 잠재의식이 만들어낸 결과물이라고 생각한다. 따라서 우리가 수면을 취하며 긴장을 풀고 원기를 회복하는 동안 다양한 해결책이 잠재의식을 통해 떠오를 수도 있을지 모른다. 그걸 이용하자는 것이다." (팀 페리스, 109-110쪽)

링크트인 창립자 리드 호프먼은 "해결책이 떠오를 수도 있을지 모른다"라고 겸손하게 말했지만, <뇌의 배신>을 읽은 우리들은 디폴트 모드 네트워크가 정말로 해결책을 찾아줄 것이라는 사실을 안다. 잠자는 여덟 시간 동안 디폴트 모드 네트워크가 어떤 신기한 아이디어를 내놓을지 기대되지 않는가? 에디슨도 "자기 전에, 꼭 생각할 거리를 정해 두고 자라"라고 말했다.

밤새 생각하는 대신, 생각 좀 하다가 뇌를 쉬어주는 게 낫다는 말이다. 오늘부터 실천해 보자.

800px-%D0%AD%D0%B4%D0%B8%D1%81%D0%BE%D0%BD_%D0%A2%D0%BE%D0%BC%D0%B0%D1%81_%D0%90%D0%BB%D1%8C%D0%B2%D0%B0_%D1%84%D0%BE%D1%82%D0%BE_%D0%96%D0%97%D0%9B.JPG?type=w773 에디슨도 "자기 전에, 꼭 생각할 거리를 정해 두고 자라"라고 말했다
keyword