마이 리틀 난포

나의 난임 연대기 _ 열네 번째 이야기

by 코랄코튼

의사 선생님은 또 걱정의 멘트로 인사를 해주셨다.


주사 맞는다고 고생이 많아요.

주사 잘 맞고 있죠?

(음.. 오늘이 마지막으로 알고 있는데 ing형 질문은 뭐지!)


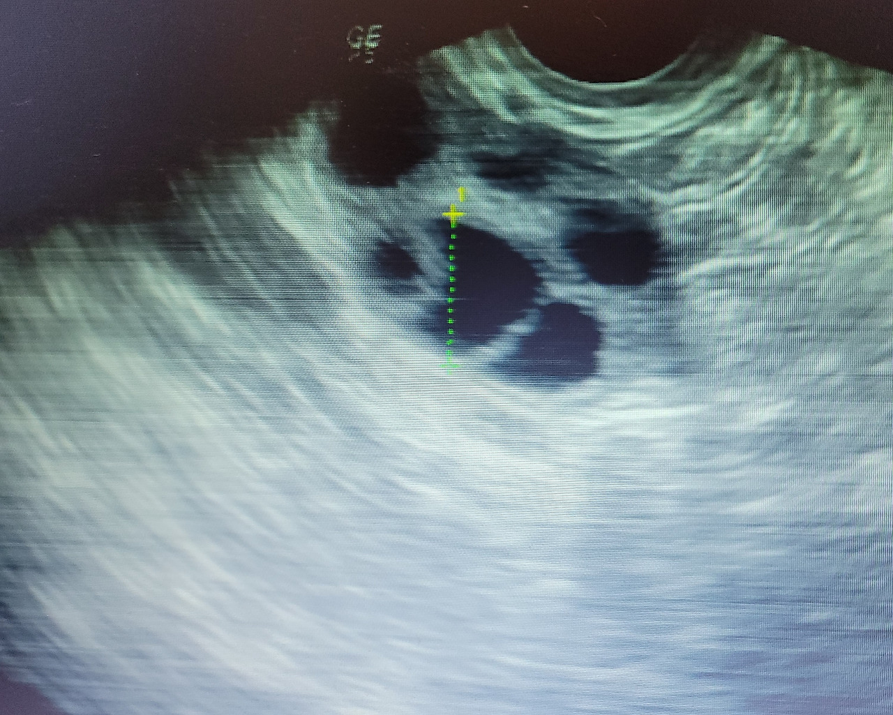
3일 전에는 여러 난포 중에서도 1개가 유독 컸는데
오늘은 비슷비슷하게 커 보였다.
저번에는 동그란 모양이 다 보였으면,
이번에는 몸집이 커졌다고 서로 겹쳐 보였다.
동그란 거품이 여럿 뭉치면 각이 생겨 보이는 거처럼 말이다.


골반이 틀어져서 그런가

오른쪽 난소는 잘 보이는데,

왼쪽 난소가 잘 안 보여서 배를 눌러 보여주셨다.

3일 전에도 그랬는데, 그땐 안 아팠지만

오늘은 배를 누르는 순간 너무 아파서 몸을 움츠릴 정도였다.

변비로 배가 꽉 차고, 빵빵해져 아픈 배를 누른 통증이었다.

와, 진짜 3일 만에 여러 개가 많이 컸구나!
이제 준비되었나 보다!!


그렇게 감상하던 차에
의사 선생님은 또 놀라셨다.


어라? 많이 안 자랐네
시험관이 아니고 인공수정이라
너무 한 번에 여러 개 난포가 자라면 안 돼서
약을 줄였더니
이번에는 또 얼마 안 자랐네요?
16은 돼야 하는데, 13 정도니까....
아직 더 키워야겠네요.

음.....??????


이 말은 즉슨

내일 시술이 물 건너갔으며

난 또 주사를 맞는다는 걸

예견하게 해 주었다.


옷을 갈아입고 진료실로 갔다.




음...

이게 시험관이 아니라서

난포가 여러 개가 크면 안 되거든?

근데,

지금 한 10개쯤 크고 있고,

그중에서도 속도 차이를 낸다 하면

3~5개가 될 거 같은데.....


이게 참 시험관이라면

그냥 속도 내서 확 키우고

병원도 한.. 두 번만 와도 채취가 딱 끝나는데

이게 인공수정이니까..

앞으로도 여러 번 병원을 와야겠어요.


고민이야.

난포 성장 곡선이 유지되거나 상승되야하거든?

떨어지면 안 된단 말이야.

그러니까 약을 또 약하게 쓰긴 좀 그래.

그래서 원래대로 높게 처방을 할 건데..


그러면 또 세 쌍둥이가 생길 확률이 높아진단 말이야.


이게 딱 배란할 시기를 잘 맞춰서

난포수도 맞춰야 하는데

확 키우다가 그냥 배란돼버리면 그것도 문제란 말이야.


음.. 이게 시험관이 아니라서

더 어려운 인공수정이 돼버린 거야.

그래서 예민하게 조율을 하는 중이긴 해요.


오늘 약을 크게 써보고

내일도 한 번 봅시다.

거의 이제 매일 지켜봐야 할 거 같아.




의사 선생님의 고민이 뭔지는 알겠는데

음.. 나도 덩달아 더 혼란스러워졌다.


나의 원래 배란 예정일은 토요일인데

난포들이 금요일까지 세팅이 덜 되었고


쌍둥이를 원하던 나에게

세 쌍둥이 확률이 높아졌다 라는 것

그것도 심지어 임신이 됐을 경우의 확률이라는 것


의사 선생님이 계속

시험관이랑 준비 방법이 같게 진행되고 있으며

난포 수도 많이 있어서 시험관 하기 더 나은 상태라는

말씀을 반복하셔서

지금이라도 안 늦었으니

시험관으로 틀자는 말로 들린다는 것


직장을 다니는 남편이 토, 일, 월, 화, 수까지

언제가 될지 모를 시술 대기를 해야 한다는 것


주사를 또 더 맞아야 한다는 것


병원이 차로 30~50분 거리인데

거의 매일 가게 생겼다는 것


일요일에 가족들과 전시 예약이 있는데

혹여나 그 시간에 소환될 수도 있지 않을까의 걱정


내가 아이를 잘 키울 수 있을까?

난 정말 아직도 어린 거 같다.

여러 생각을 하며 마음을 다잡은 텐션이 풀렸다는 것


나의 토, 일, 월, 화, 수 동안

나름의 계획에 의지를 불태우고 있던 것들이

다 혼란스러워졌다는 것


이러한 생각들로

집에 돌아와 냉장고에 주사기를 넣으면서

내 몸이 바닥으로 닿을 거 같이

축 쳐지고, 우울해지고, 배가 붑고, 가슴이 아프고,

두통이 더 심해졌다는 것


머릿속에는 시술 외에 모든 것들에 대한 의욕이

사라졌다.

밥도 굶었다.

아무것도 안 하고 그냥 멍하니 있다가

시간을 빠르게 재생하고,

시술받는 그날이 와버렸으면 좋겠다 싶어졌다.


호르몬에게 또다시 지배되는 순간이다.


이전 13화두 주사의 호르몬 연주