[임신17주차] 열 한 번째로 챙겨보는 우리 남편 생일

남편 생일 축하해! 우리 우정 뽀에버하자 :)

by 리틀스타

임신 17주차

의사 선생님께서는 16주차에 성별을 알 수 있다고 하셨지만, 지난 주 초음파에서 가려져 있어서 제대로 안보여 성별을 확인하기 어렵다고 말씀해주신 선생님. 한 달 후에 다시 오라고 하셨다. 아무리 저희 부부가 성별은 상관 없이 누구든 좋다는 마음이었지만, 막상 한 달을 어떻게 기다릴 수 있나요, 선생님!ㅎㅎㅎ


Screenshot_20230607_165821.jpg?type=w1
Screenshot_20230607_165859.jpg?type=w1
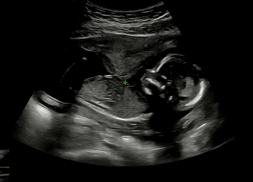
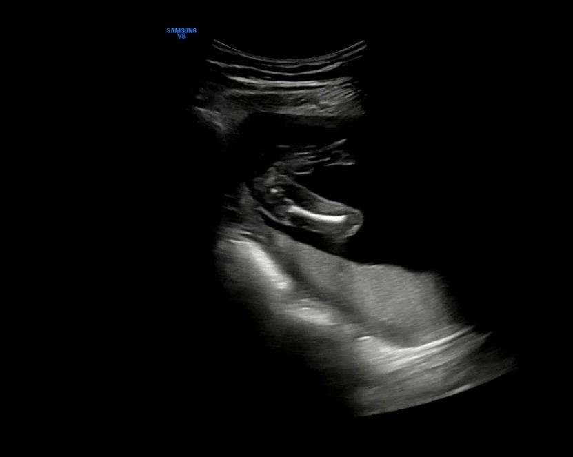
임신 17주차 초음파 사진


한 달이 아닌 한 주 후에 다시 병원에 갔다. 두 번째 초음파 사진처럼 양쪽 다리에 아무 것도 보이지 않는 것처럼 우리 집에는 딸이 찾아왔다 :) 16주차와 또 다르게 더욱 사람의 모습을 하고 있는 반짝이! #임신17주초음파



나의 최고의 단짝 친구, 내 남편 생일 축하해! (2023. 4. 6)


오늘은 내가 11번째로 남편의 생일을 축하해주는 날이다. 이번 생일에는 남편을 행복하게 만들어주고 싶다는 생각이 강했다. 입덧하는 아내 눈치 보느랴 매일 눈칫밥 먹고, 남편도 우리 집에 새 식구가 생긴다고 하니 부담감도 느끼고 힘들었을 텐데 너무 내 위주로 지낸 것 같아 미안한 마음이 들었다. 무엇보다 11번째로 챙겨주는 생일인데 기억될 만한 작고 소소한 이벤트도 해준 기억이 나지 않는 것이었다. 매번 받기만 하고 내가 제대로 챙겨준 적은 없었던 것 같아서 별거 아니지만 남편의 생일 파티를 위한 몇 가지 아이템을 구입했다. 그리고, 아주 오랜만에 남편에게 편지를 썼다. 생일 날엔 선물보다 편지지!!!! (ㅋㅋㅋㅋㅋ)


output_1368609785.jpg?type=w1
20230406_162822.jpg?type=w1
20230406_181335.jpg?type=w1
생일 편지와 생일 파티를 위해 구입한 아이템들 ㅎㅎ 썬그리 잘 어울리네 ^^?


이 날에는 딸인지 아들인지 모를 때였는데, 다이소에 팔던 아들 풍선보다는 딸 풍선이 그나마 귀엽길래 샀다. (표정이 삐친 것 같은 다이소 아기 풍선) 케이크 풍선을 살까 고민했는데 아기 풍선으로 사길 잘했다. 남편은 이거 보고 퇴근하자마자 빵터졌다. 풍선인데 뱃속에 있는 아기 같은 느낌이 들어 함부로 하지 못하고 쇼파에 모셔둔 아기 풍선. 볼 때마다 곧 태어날 아기를 생각하니 피식피식 웃음이 났던 우리.


20230406_185735.jpg?type=w1
20230406_185541.jpg?type=w1
20230406_192532.jpg?type=w1


원래는 맛있는 것을 먹으려 나갈 계획이었는데 이날 대전 미세먼지가 400 후반대였다. 그래서 우리는 외부 활동은 자제하기로 하고 외식보다 더 맛있게 먹을 #대학생치킨 을 남편이 퇴근 길에 픽업해서 가져왔다. 오자마자 싹 씻고 편안하게 치킨 먹으면서 생일 축하 파티를 열었다… ^^;;;; 근데 이 집 치킨 정말 맛이 좋다 좋아…!!


밥을 먹고 편지 낭독식도 가졌다. 낭독식 때는 내가 눈물을 훔쳤기 때문에 사진은 생략 ^^***




건강하게 오래오래 함께 해준다면 더 바랄 게 없을 거야


나에게 남편은 정말정말 각별하고 소중한 사람이다. 우리 남편 스물 여섯, 꽃다운 나이에 나를 만나 나와 함께 열 한 번째 생일을 맞이해주다니 내 인생에 이토록 소중한 일이 있을 수 있을까.


연애 시절, 남편은 갑자기 아팠다. 사랑하는 사람이 하루 아침에 내 곁을 떠날 수도 있다는 것을 알게 된 후로 나는 이 사람이 건강하게 나와 오래오래 함께 해준다면 다른 것은 바랄 것이 없다고 생각했다. 그저 내 곁에만 있어주길, 매일매일 만나고 싶고, 함께 보고 싶은 것들이 너무 많고, 무엇보다 내가 해주지 못한 게 너무 많아서 남편이 내 옆에 있어만 준다면 세상에서 제일 행복한 사람으로 만들어주어야 겠다고 다짐했다.


20161214_121749_Original.JPG?type=w1


사실 이 사진만 보면 마음이 철렁한다… 한편으로는 이 사진을 오랜만에 보니 우리 남편 진짜 다시 한 번 소중해진다. 지금으로부터 6년 전 남자친구였던 남편이 치료 받을 때 병원에 가져다 둔 인형들. 삭막한 병원에서 이거 보면서 웃으라구!


남편의 힘든 시간을 옆에서 지켜보며 나는 그저 옆에서 응원해주는 일 말고는 할 수 있는 것이 없었는데 이 사람은 잘 낫기 위해 먹히지 않는 밥도 잘 챙겨 먹고, 힘들다는 투정 한 번 부리지 않고 치료를 잘 이겨냈다. 혼자 있는 시간에도 우울해지지 않도록 소소한 기쁨들로 자신의 하루를 채워나가고 있는 것을 보았다. 치료를 받는 1년 동안 단 한 번도 흐트러짐 없이 치료를 위해 매일을 성실하게 꾸려나가는 남편의 모습을 보면서 내가 해줄 수 있는 건 없지만, 평생 이 사람 옆에서 웃음을 주고 행복하게 해주어야 겠다고 다짐했다.


20230607_181406.jpg?type=w1 우리 집 현관 거울에 써둔 글귀 :)


IMG_7355.JPG_Original.JPG?type=w1
1595118476110-17_mr1595313820978_Original.JPG?type=w1
MTXX_MR20230609_220454249.jpg?type=w1
11년 전 & 결혼 사진 & 최근 사진


‘감사하게도’라는 말로는 너무나 부족하지만 감사하게도 남편은 치료를 잘 견뎠고, 치료를 잘 되었다. 우리에게 더 많은 시간이 주어졌고, 결혼도 해서 매일매일 함께 시간을 보낼 수 있게 되었고, 더 먼 미래를 함께 그려보고 살아갈 수 있게 되었다. 심지어 곧 있으면 우리 둘을 닮은 아기까지 만날 수 있게 되었다. 세상에 당연한 일이란 없다는 것을 나는 연애 시절 남편이 치료를 받는 과정을 옆에서 지켜보면서 크게 깨달았다.


우리 아기가 10센치가 넘는다고 한다. 나는 진심으로 아기가 남편을 많이 아주 아주 많이 닮았으면 좋겠다고 기도하고 있다. 남편을 닮아서 다정다감하고, 착하고, 성실하고, 똑소리나고, 믿음직스럽고, 의지가 강하고, 하고자 하는 것은 꼭 이루어 내며, 자기만의 생각을 갖고 자신의 길을 씩씩하게 나아가는 아기가 되었으면 좋겠다.



남편에게


남편! 태어나줘서, 나랑 많은 시간 재미나게 놀아줘서 고마워. 결혼도 해줘서 고마워 (ㅎㅎㅎ) 건강하게 내 옆에 있어줘서 고마워! 내가 정말로 정말로 많이 소중하게 여기고 사랑해. 우리 앞으로도 서로의 최고의 친구 사이로, 좋은 부부 사이로, 재미난 추억 많이 쌓으며 살아가자! 가을이면 우리에게 찾아올 소중한 반짝이까지 함께하게 될 테니 더욱 행복하게 즐거워질 우리의 날들을 기대하자. 어렵고 힘든 일이 있을지라도 우리 함께 한다면 즐겁게 헤쳐나갈 수 있을거야! 최고로 멋진 내 남편, 사랑해요! 생일 축하해요!


Screenshot_20230609_223406_KakaoTalk.jpg?type=w1







keyword
매거진의 이전글[임신16주차] 나의 입덧기간 동안 위로해준 음악들