brunch

C49.9 - Myxoid Liposarcoma

Episode 17 | 케모포트

by 기암

항암의 시작

약속한 입원날이 훌쩍 지났다. 분당서울대병원은 아침 11시반에 입원 관련 문자 메시지를 주는데, 오늘은 병실이 안났다는 카톡 메시지 뿐이다. 원무과, 예약실 등등 전화를 계속 돌려봐도 대기자만 수십명이라는 소리만 한다. 항암하기 두려웠는데 이제는 입원을 안 시켜주니 두려움은 온데간데 없어지고 기를 쓰고 항암 받고 싶어진다. 이럴줄 알았으면 미국에서 급하게 들어오지도 않았다.

기나긴 입원의 기다림 후에 (예정일보다 8일 미뤄짐) 드디어 희망적인 카톡 메시지가 왔다. 급하게 병원으로 향했다. 드디어 1차 항암 시작이다. 여러가지 익숙한 절차를 거쳐서 입원했다. 의료파업으로 절반 이상의 암 병동을 셧다운시켰으며, 1, 2인실은 아예 운영하지 않고 있었다. 대부분의 암환자들이 5인실에서 뭉쳐서 관리받고 있었다. 나는 다행이도 5인실 창가자리에 배정이 되었다. 벌써 4번째 입원이다. 이제는 입원 및 병원 생활이 재법 익숙하다. 앞으로 5번의 입원이 더 남았다.

첫날은 간단히 엑스레이 촬영과 피검사 이외에 아무 일정이 없었다. 입원복을 갈아입고 같은 암환자들과 사귀어볼까 싶어서 주변을 기웃거려 봤지만 다들 수차례 겪었을 항암을 온몸으로 이기고 계신 환자들 뿐이다. 5인실이지만 1인실인듯 조용했고, 커튼이 깊에 닫혀 있었고, 다들 몸을 한껏 웅크리고 계셨다. 섣불리 말걸기 어렵다. 반복되는 치료에 나도 그렇게 지쳐갈 수도 있겠다 싶다.

보호자들은 대부분 낮에 있다가 밤에 각자 집으로 돌아갔다. 정형외과 병동과는 다르게 보호자의 24시간 보호가 절실히 필요하지 않아서이겠다. 주무시겠다는 어머니를 집으로 돌려보내고 혼자만의 시간을 가졌다. 낮에는 몰랐는데 밤이되니, 오른쪽 80대 할아버지가 코콜이가 심하다 못해서 숨은 잘 쉬실까 걱정될 정도이다. 항암에 대한 불안한 마음을 코콜이 소리에 묻혀 잠을 청한다.


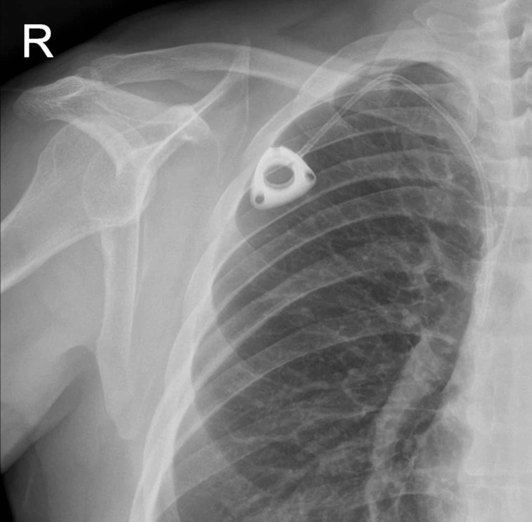
케모포트

둘째날 첫 일정이 케모포트 시술이다. 독한 항암약을 투여할 경우 팔에 맞는 혈관 주사는 위험하고 피부 괴사등의 부작용이 있어, 케모포트라는 장치로 항암약을 주사하는 보다 효과적인 방법이다. 케모포트는 목에서 심장으로 들어가는 정맥에 호스를 연결해서 항암제를 투여하는 방법으로써 항암의 Chemotherapy와 연결의 Port가 어원인 합성어인듯 보인다. 적적한 한국말을 찾지 못해 그냥 사용하나 싶다. (미국에서는 키모포트라고 발음하기도 한다.)

케모포트는 몇 주전부터 나를 두렵게 했다. 더 이상 몸에 생채기를 내기 싫었고, 심장 가까운 정맥에 호스를 넣는 컨셉도 너무 잔인했고, 기나긴 항암으로의 ‘포트‘를 열고 시작한다는 느낌도 있었고, 그 포트를 열고싶지 않았다. (공상과학영화에서는 순간이동을 ‘탤레포트’를 통해 넘나든다.)

첫타임 시술 환자로 혈관조형실로 이동침대를 타고 가서 대기실에 주차되었다. 간호사님이 케모포트 시술 관련해서 이것저것 설명해 주었고, 수면 후 국소마취를 원했으나 빨리 끝난다며 수면없이 그냥 국소마취만으로 진행되었다.

순서가 되어 시술대 위에 옮겨 누웠다. 역시나, 감염의 이유로 시술실 온도는 매우 낮았고, 환자복 상의를 벗겨서 온몸이 바들바들 떨렸다. 안그래도 무서운데 몸이 떨리니 그 두려움이 배가 되었다. 오른쪽 목 부위에 시술을 위해 고개를 왼쪽으로 돌리고, 춥다고 뭐라도 덮어달라는 부탁은 듣는 둥 마는 둥 간호사는 차디찬 소독약을 목에 발랐다. 수술 부위만을 남겨두고 덮어 둔 수술천 안으로 만들어진 에어포켓이 나의 한기를 좀 잦게 해 주었다. 몸이 더 떨리면 시술이 잘못될 수도 있겠다는 마음에 필사적으로 한기를 없에 봤다. 심호흡도 크게해서 에어포켓을 좀 더 따뜻하게 만들고, 마인드 컨트롤로 나는 떨리지 않는다고 정신무장했다.

시술은 대충 15분 정도 되었는데, 대충 기억하는 바는 다음과 같다. 마취주사를 여러번 놓고, 바로 칼로 피부를 두군데 절개하고, 아래쪽 절개면에 이내 케모포트를 삽입하는게 느껴졌다. 자리를 잡은 케모포트에서 연결 호스만 위쪽 절개면으로 뽑아내고, 위쪽 절개면에서 정맥을 찾아 구멍을 내고, 케모포트의 호스를 정맥 구멍으로 깊숙이 집어 넣었다. 뭔가가 심장 깊숙이 들어오는 느낌에 나도 모르게 ‘크억’하는 호흡을 하였다. 호스가 잘 동작하는지 테스트하기 위해 주사바늘을 케모포트에 장착하고, 서너번 주사액을 주사했다. 잘 자리잡았는지 케모포트를 잡고 흔들어보더니 두 절개면을 봉합하면 시술이 끝났다.

시술 후반에는 몸과 마음이 안정화되어서 잘 마무리 할 수 있었지만, 전체적인 시술 단계를 생생하게 기억하는 나는 그 시술이 아직도 두렵고 고통스럽다. 걱정할 가족들을 위해, 병실로 돌아와서는 시술 부위와 함께 아무렇지도 않았다는 웃는 표정을 지어 사진찍어 보낸다.


케모포트가 달린 나의 X-Ray: 캐모포트와 호스가 같이 보인다
keyword