직업별 척추질환 시리즈 02 자동차정비사

by 콕 선생님


안녕하세요. 콕통증의학과 대표원장 김환희입니다. 4월 매주마다 직업별 많이 겪는 척추관절 질환을 소개해드리고 있는데요, 오늘은 ‘자동차정비사’ 가 자주 겪는 질환을 살펴보고자 합니다.


1.jpg


대표적인 기술직인 자동차정비사, 그렇기 때문에 짧게는 수년 이상에서 길게는 평생을 같은 직종에서 일한 종사자가 많은 직업 중 하나입니다. 자동차 하체에서 작업하는 경우가 많으며 허리와 목이 뒤로 젖혀진 자세, 어깨가 들린 자세, 팔을 뻗어 부담이 되는 동작을 지속적으로 반복하게 됩니다. 그 때문에 자동차정비업에 종사하시는 분 상당 수가 만성 허리 통증과 무릎 통증을 겪고 있습니다.



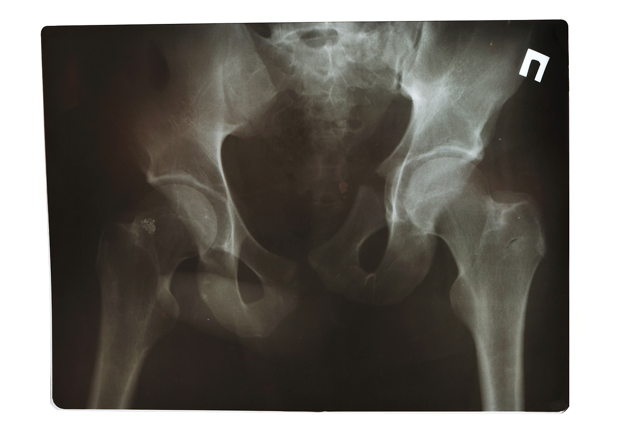
콕통증의학과 실제 환자 사례 ┃ 자동차정비사


평소와 같이 자동차정비 업무 중 장시간 쪼그려 앉아 있다가 일어나는 순간 고관절 통증이 심해져 거동에 불편함을 겪는 상태로 본원에 내원하신 환자 분이셨습니다. 허리 질환과 고관절 질환의 정확한 감별진단을 위해 고관절 굴곡과 외전, 외회전 신체검사를 진행했습니다. X-ray와 MRI 촬영 결과 허리디스크와 고관절 충돌증후군 진단을 내렸습니다. 특히 오랜 시간 쪼그려 앉는 동작이 반복되면서 나타난 결과로 볼 수 있었습니다.

2.jpg



자동차 정비사 자주 겪는 척추질환 ┃고관절 충돌증후군 및 허리디스크


고관절 충돌증후군은 오래 앉아 있거나 서 있는 시간이 많은 분에게 발생하기 쉽습니다. 초기에는 증상이 심하지 않아 방치되기 쉽지만 만성화될 수 있어 주의가 필요합니다. 크게 대퇴골 두가 변형되어 관절 손상이 나타나는 캠(Cam) 상태와 비구가 변형되어 관절 손상이 나타나는 핀서(Pincer) 상태가 있습니다. 초기 상태라면 비수술적치료가 가능하며 통증의학과 전문의의 진단 및 처방이 선행되어야 합니다.


3.JPG


허리디스크 원인은 매우 다양합니다. 잘못된 자세로 인해 나타나는 경우가 많지만 자동차정비사 종사자의 경우 허리를 굽혔다 폈다 하는 반복 동작이 많아 허리디스크로 이어지기 쉽습니다. 방치할 경우 퇴행성 허리디스크 및 협착증으로 악화될 수 있습니다.


콕통증의학과 실제 치료 사례 ┃ 자동차정비사


해당 환자 분은 고관절 통증이 주 증상이었습니다. 허리디스크로 인한 허리 통증을 호소하셨지만 다리 저림 증상은 없었습니다. CI주사로 허리디스크치료 를 선행하며 고관절충돌증후군 병변 부위의 경과를 관찰했으며, 고관절 부위 치료가 요망되는 바 체외충격파 치료를 진행했습니다.


4.jpg


CI주사치료와 체외충격파를 이용한 허리디스크치료 및 고관절치료를 통해 양반다리 자세가 가능해지고 허리 통증에도 빠른 개선이 나타나 치료를 마무리한 케이스였습니다.


앞서 설명드린 것과 같이 반복적인 신체활동이 많은 기술직 종사자는 각종 척추질환 위험이 더욱 높습니다. 지속적인 스트레칭과 운동, 꾸준한 관리가 필요하며 ‘참을만한’ 통증이더라도 통증의학과 전문의에 내원하여 정확한 진단을 받는 것을 권해드립니다.


5.jpg



이상 콕통증의학과 대표원장 김환희였습니다.

keyword
매거진의 이전글직업별 척추질환 시리즈 01 사무직