이상근증후군 주사 병원 3군데 다녀도 효과 없던 환자

정말 완치 가능할까요?

by 콕 선생님

진료실 문을 열고 들어오시는 환자분들의 표정을 보면,


그분이 얼마나 오랫동안 아프셨는지

대략 짐작할 수 있습니다.


특히 엉덩이 통증으로 고생하시는 분들께서는

앉는 것조차 두려워하시는 모습을 자주 보게 되는데요.


오늘 제가 말씀드리고 싶은 이야기는,

바로 그런 분 중 한 분과의 만남에서 시작됩니다.


안녕하세요.

매일 통증으로 고생하시는 분들 중에는

여러 병원에 다녀도 정확한 진단을 못 받고

고생하시는 분들을 보면 제 마음이 다 아픕니다. ㅜㅜ


그래도 그런 분들에게 저는 희망을 찾아드리고 싶습니다.

10년 동안 쌓은 수많은 경험으로,

찾기 어려운 진짜 원인을 밝혀드리고 싶거든요.

저는 <콕통증의학과> 통증의학과 전문의 김환희입니다.


그림1.png


8개월간의 고생, 그 끝에서 만난 진실


지난 봄, 지인분 소개로 제게 찾아오신

40대 여성분이 계셨습니다.


의자에 앉으려다 말고, 서성이시더니

조심스럽게 엉덩이 한쪽만 살짝 걸치고 앉으시는 모습.


그 모습만 봐도 얼마나 아프셨을지

충분히 짐작할 수 있었습니다.


환자분께서 털어놓으신 이야기는 이랬습니다.


작년 겨울, 빙판길에서 엉덩방아를 찧으신 후

엉덩이에서 고관절 쪽으로 뻗치는 통증이 시작되었다고 하시더군요.


처음에는 단순한 타박상이려니 했는데,

시간이 갈수록 통증은 더 심해지고

특히 앉았다 일어날 때의 고통은

말로 표현할 수 없을 정도였다고 하셨습니다.


그래서 근처 정형외과를 찾아가셨는데,

MRI 촬영 결과 허리디스크 진단을 받으셨다고 하시더군요.


그림2.jpg 촬영 일시: 2025.03.29

<Fig 1. 이상 소견 없는 X-Ray>


허리디스크 치료, 그러나 달라지지 않은 현실

허리디스크라는 진단 하에

물리치료, 약물치료를 몇 달간 받으셨지만


통증은 여전했습니다.


오히려 최근 들어서는

영화관에서 2시간 정도 앉아있고 난 후

엉치와 다리 뒤쪽까지 뻗치는 증상까지 생겼다고 하셨어요.


그래서 한의원 침치료도 시도해보셨는데,

아이러니하게도 통증은 점점 더 심해져만 갔다고 하시더군요.


딱딱한 곳에 앉았다 일어날 때의 고통이 너무 심해서

의자에 앉기가 두렵다고 하시며

눈물을 글썽이시던 모습...


8개월 동안 이런 고통을 견뎌내셨다는 사실이

통증의학과 전문의로서 마음이 아팠습니다.


그림3.jpg 출처: CLEVELAND CLINIC


진단의 실마리, 세심한 관찰에서 나온 답


제가 환자분을 진찰하면서

가장 먼저 주목한 부분은 통증의 양상이었습니다.


일반적인 허리디스크 환자분들과는

명확히 다른 패턴을 보이고 계셨거든요.


✅ 엉덩방아를 찧은 후 시작된 통증

✅ 앉은 자세에서 특히 악화되는 증상

✅ 엉덩이 깊숙한 곳에서 시작되는 통증

✅ 고관절 쪽으로 뻗치는 방사통


이 모든 증상들이 한 가지 질환을 강하게 시사하고 있었습니다.

바로 이상근증후군이었죠.


이상근증후군은 엉덩이 깊숙한 곳에 있는

이상근이라는 근육이 좌골신경을 압박하거나 자극해서

통증을 일으키는 질환입니다.


특히 외상 후에 발생하는 경우가 많고,

앉는 자세에서 증상이 악화되는 특징을 보입니다.


정확한 진단, 그리고 맞춤형 치료의 시작


환자분께 이상근증후군 가능성을 설명드리자

처음엔 다소 의아해하시더군요.


8개월 동안 허리디스크로 치료받았는데

갑자기 다른 진단이 나온다는 게 당황스러우셨을 겁니다.


하지만 제가 이상근의 위치와

증상에 대해 차근차근 설명해드리자

환자분께서도 고개를 끄덕이셨죠.


그동안 받으신 치료들이 왜 효과가 없었는지

이제야 이해가 된다고 하시면서요.


이상근증후군 진단을 확정한 후,

저는 다음과 같은 치료 계획을 세웠습니다.


1️⃣ SI(초음파 유도하) 주사치료

2️⃣ 체외충격파 치료

3️⃣ 맞춤형 스트레칭 교육

4️⃣ 도수재활치료


특히 주사치료의 경우,

이상근의 정확한 위치를 파악하는 것이 핵심입니다.

초음파를 이용해서 실시간으로 근육의 상태를 확인하면서

정확한 부위에 약물을 주입하는 것이 중요하죠.

그림4.png


치료 과정에서 느낀 환자분의 변화

첫 번째 주사치료 며칠 후

환자분께서 보여주신 반응은 놀라웠습니다.


시술 후부터 앉는 자세에서의 통증이

현저히 줄어들었다고 하시더군요.


8개월 만에 처음으로 의자에

제대로 앉을 수 있게 되었다며

환하게 웃으시던 모습이 인상적이었습니다.


하지만 치료는 여기서 끝이 아니었습니다.


이상근증후군은 단순히 근육 자체의 문제가 아니라

골반의 불균형, 자세의 문제 등이

복합적으로 작용하는 질환이기 때문에

종합적인 접근이 필요합니다.


환자분께서도 이 점을 이해하시고

적극적으로 치료에 참여해주셨습니다.


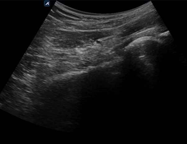
그림5.jpg 촬영 일시: 2025.03.29

<Fig 2. 원인 부위에 SI 치료하는 영상>


제가 운영하는 콕선생님 채널에서

이상근증후군 관련 스트레칭 영상들을 찾아보시더니

매일 꾸준히 실천하고 계시다고 하시더군요.


특히 이상근 스트레칭과

고관절 가동범위 운동을 열심히 하셨다고 하셨는데,

이런 환자분의 노력이 있었기에

치료 효과가 더욱 극대화될 수 있었습니다.


https://youtu.be/62XoIFxASxk?si=sfOv1gw693u-8eK4

[스트레칭 영상도 하나 첨부드립니다. ^^]


또, 환자분에게 체외충격파 치료도 병행하면서

근육의 염증과 유착을 해소하고

혈류 개선을 통해 자연치유력을 높였습니다.


2차, 3차 주사치료까지 진행하면서

환자분의 증상은 점진적으로 호전되었고,

마지막 내원 때는

일상생활에 거의 지장이 없을 정도로

회복되셨다고 기쁘게 말씀해주셨습니다.


이상근증후군 완치? 왜 진단이 이렇게 어려울까?


이 환자분의 사례를 통해

다시 한번 깨달은 것은

이상근증후군의 진단이 얼마나 까다로운지입니다.


✔️ 허리디스크와 증상이 매우 유사함

✔️ 일반적인 영상검사로는 진단이 어려움

✔️ 임상 증상과 이학적 검사에 의존해야 함

✔️ 전문의의 경험과 노하우가 중요함


많은 환자분들이 허리디스크로 진단받아서

장기간 효과 없는 치료를 받으시는 경우가 많습니다.


실제로 이상근증후군 환자분들의 상당수가

여러 병원을 전전하다가

저희 같은 통증의학과에 늦게 내원하시는 경우가 많아요.

그만큼 정확한 진단이 중요하다는 뜻이죠.


통증의학과 전문의로서

항상 강조하고 싶은 것은

치료의 시작은 정확한 진단이라는 점입니다.


그림6.jpg


같은 엉덩이 통증이라도

원인이 다르면 치료법도 완전히 달라지기 때문에

무엇보다 정확한 진단이 선행되어야 합니다.


또, 강조하고 싶은 건 완치를 바란다면

이 질환에 대한 충분한 경험과 노하우를 갖춘

전문의에게 치료받는 것입니다.


그게 꼭 저라는 건 아닙니다.

전국에는 많은 실력 있는 전문의들이 계시니까요.

그냥 좋은 전문의에게 진단을 받는 게 중요합니다.


그리고 치료 후에도 꾸준한 관리를 통해

재발을 방지하는 것이

진정한 치료의 완성이라는 점

꼭 기억해주시길 바랍니다.


여러분의 통증 없는 건강한 일상을 위해

오늘도 최선을 다하겠습니다.


김환희 드림



keyword
매거진의 이전글갑자기 어지럽고 구토 식은땀… 뇌질환인 줄 알았어요