이상근증후군 스트레칭? 검사 받고 수술VS주사 고민이면

의사 찐 조언 브런치에서만 확인하세요

by 콕 선생님


지난주 금요일 오후, 평소보다 조금 일찍 마무리되어가던 진료 시간.

40대 중반쯤 되어 보이는 여성분이 지인분 소개로 내원하셨어요.


첫 만남에서부터 뭔가 심상치 않았습니다.

진료실 의자에 앉으시려다가 갑자기 "아!" 하시면서

몸을 살짝 비틀어 조심스럽게 앉으시더라고요.


"앉는 것도 무서워요, 선생님..."


이런 말씀을 하시는 환자분들, 생각보다 많이 계시거든요.

특히 엉덩이 쪽 통증으로 고생하시는 분들 중에서요.


하지만 보통 엉덩이 통증이 ‘허리디스크’라고

착각하시는 분들이 많은 것 같아요.

오늘은 그 통증의 진짜 비밀인

이상근증후군에 대해 이야기 나누려고 합니다.


안녕하세요,

이상근증후군… 사람 이름 같기도 하고,

쉽게 접하지 못할 것 같은 질환으로 고생하는 분들이 많습니다.

이게 허리디스크인가? 하고 헷갈려하시는 분도 많죠.


저는 그런 분들에게 진짜 원인을 찾아 주고,

비수술 치료로 통증을 해결해 주고 싶은

콕통증의학과 통증 전문의 김선옥 원장입니다.


그림1.png


오늘은 이상근증후군에 대해,

실제 진료실에서 만났던 분의 사례를 통해

자세히 이야기해보려고 해요.


딱히 뭐 제가 이렇게 잘났다!를 어필하려는 건 아니고…

그냥 진료하면서 느꼈던 점들,

환자분이 겪으셨던 과정들을

솔직하게 풀어보고 싶어서 키보드를 두드리게 됐습니다.


재미있게 봐 주시면 좋겠습니다. ㅎㅎ


작년 겨울, 그 한 번의 엉덩방아가 시작이었습니다


환자분께서 말씀하시길, 작년 겨울에 빙판길에서

엉덩방아를 찧으셨다고 하더라고요.

그때는 별거 아니라고 생각하셨대요.


누구나 한 번쯤은 넘어지잖아요?

며칠 지나면 괜찮아지겠지 하고 넘어가셨던 거죠.


그런데 시간이 지날수록 이상하게 엉덩이에서 고관절 쪽으로

뻗치는 통증이 점점 심해지시더라고요.


특히 앉았다가 일어날 때, 그 순간이 정말 지옥이셨다고 하셨어요.

처음엔 당연히 허리 문제라고 생각하셨겠죠?


실제로 다른 병원에서도 허리디스크 진단을 받으셨고요.

MRI도 찍어보고, 물리치료도 받으시고,

나중에는 한의원에서 침치료까지 받으셨다고 하시더라고요.


그런데... 호전이 없으셨어요.

아니, 호전이 없는 정도가 아니라

점점 더 아프셔서 일상생활이 힘들어지셨던 거죠 ;;


환자분이 특히 기억에 남는다고 하셨던 게,

최근에 오랜만에 영화를 보러 가셨던 일이었어요.


2시간짜리 영화였는데,

영화 끝나고 일어나는 순간...

엉치부터 다리 뒤쪽까지

전기가 흐르는 것 같은 통증이 확 올라오셨대요.

그때 정말 당황스러우셨다고 하시더라고요.


그림2.jpg


주변 사람들 시선도 신경 쓰이고,

통증 때문에 제대로 걷지도 못하겠고...

그 이후로는 아예 딱딱한 의자에 앉는 게 두려워지셨다고 하셨어요.


진료실에서 이런 이야기를 들으면서,

아, 이건 이상근증후군이구나 싶었습니다.


허리디스크 vs 이상근증후군, 이렇게 다릅니다


사실 이상근증후군은 허리디스크와 증상이 너무 비슷해서

오진되는 경우가 정말 많거든요.


둘 다 엉덩이에서 다리로 뻗치는 통증이 나타나니까

구분이 쉽지 않은 게 사실이에요.


하지만 자세히 관찰해보면 차이점이 있어요.


그림3.jpg 출처: Fizoterapija



허리디스크는 주로 허리를 앞으로 숙일 때 통증이 심해지고

이상근증후군은 앉은 자세에서 일어날 때,

특히 오래 앉아 있다가 일어날 때 통증이 심해집니다


이 환자분도 딱 그런 패턴이셨어요.

허리를 숙이는 건 괜찮은데,

앉았다 일어나는 동작에서 극심한 통증을 호소하셨거든요.


이상근증후군이 뭐길래 이렇게 아픈 걸까요?

이상근(piriformis muscle)이라는 건

엉덩이 깊숙한 곳에 있는 작은 근육이에요.

크기는 작지만 역할은 엄청 중요하거든요.


고관절을 회전시키는 역할을 하는데,

문제는 이 근육 바로 아래로 좌골신경이 지나간다는 거예요.


이상근이 경직되거나 부어오르면

좌골신경을 압박하게 되고,

그러면 좌골신경을 따라 엉덩이부터 다리까지

저릿저릿하고 타는 듯한 통증이 나타나는 거죠.


이 환자분의 경우엔 엉덩방아를 찧으시면서

이상근에 직접적인 외상이 가해졌고,

그로 인해 근육이 경직되면서 좌골신경을 압박하게 된 케이스였어요.


그림4.jpg 출처: sprintrehab



진단, 그리고 치료 계획


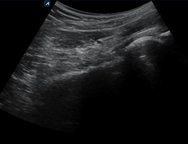
일단 이상근증후군이 의심되면 정확한 진단이 가장 중요해요.

MRI로는 한계가 있거든요.


이상근의 미세한 변화나 좌골신경과의 관계를

정확히 파악하기 어려운 경우가 많아서요.


그래서 저는 초음파 검사를 주로 활용해요.

실시간으로 이상근의 상태를 확인할 수 있고,

동시에 치료까지 할 수 있거든요.


이 환자분도 초음파로 확인해보니

우측 이상근이 확실히 부어있고 경직되어 있었어요.


그림5.jpg 촬영 일시: 2025.05.30

<Fig 1. 이상근증후군으로 진단된 x-ray>


좌골신경이 지나가는 부위도

염증으로 인해 공간이 좁아져 있는 상태였고요.


진단이 확실해지니까 치료 계획도 명확해졌습니다.


1️⃣ SI(초음파 유도하) 주사치료로 이상근의 경직을 풀어주고

2️⃣ 체외충격파 치료로 근육의 재생을 돕고

3️⃣ 재활치료와 스트레칭으로 재발을 방지하는 것


이 세 가지가 핵심이었어요.


초음파 유도하 주사치료, 생각보다 간단했습니다


환자분이 가장 걱정하셨던 게 주사치료였어요.

엉덩이 깊숙한 곳에 주사를 놓는다고 하니까

많이 무서워하시더라고요.


하지만 초음파 유도하에서 하는 시술이라

생각보다 간단하고 안전해요.


실시간으로 바늘의 위치를 확인하면서

정확히 이상근 부위에만 약물을 주입할 수 있거든요.


이 환자분도 시술 받으시면서

"생각보다 별로 안 아프네요?"

이렇게 말씀하시더라고요 ㅎㅎ


그림6.jpg 촬영 일시: 2025.05.30

<Fig 2. 원인부위에 SI치료하는 영상>


오히려 시술 직후부터

앉았다 일어나는 동작이 한결 편해지셨다고 하셨어요.


또 환자분은 일주일에 2회씩,

총 6회 정도 체외충격파 치료를 받으셨어요.


하지만 가장 중요한 건 역시 스트레칭이에요.

아무리 좋은 치료를 받아도

일상생활에서 관리를 안 하면 재발하기 쉬운 게 이상근증후군이거든요.


특히 이 환자분처럼 앉아서 일하시는 분들은 더더욱 중요해요.

오래 앉아 있으면 이상근이 또 경직될 수 있으니까요.


이 환자분은 이상근증후군 스트레칭 영상을 보고 따라하셨다고 했어요

요즘은 유튜브에 의자에 앉은 채로 할 수 있는 간단한 동작들이

잘 나와 있어서 그런가

직장에서도 부담 없이 할 수 있으셨던 것 같아요.


https://youtu.be/62XoIFxASxk

[이 영상을 보고 하셨다고 해요!]


그림7.jpg


3개월 후, 영화관에서의 리벤지


치료 시작하고 3개월 정도 지났을 때,

환자분이 정말 기쁜 소식을 전해주셨어요.


"선생님, 어제 영화 보고 왔어요!

2시간 30분짜리 긴 영화였는데,

일어날 때 전혀 아프지 않았어요!"


정말 뿌듯했습니다.

그동안 영화관 가는 것도 무서워하셨던 분이

이제는 자신 있게 영화를 즐기실 수 있게 된 거잖아요.


물론 완전히 나은 건 아니에요.

아직도 너무 오래 앉아 있으면 뻐근함은 있으시다고 하셨거든요.

하지만 일상생활에는 전혀 지장이 없는 수준까지 회복되셨어요.



이상근증후군 수술? 꼭 필요한 건 아니에요


이상근증후군 환자분들 중에

간혹 수술을 고려하시는 분들이 계세요.

하지만 대부분의 경우 수술 없이도 충분히 좋아질 수 있는 질환이에요.


수술은 정말 보존적 치료로 안 될 때

최후의 수단으로 생각하시는 게 좋아요.


주사치료, 체외충격파, 도수치료, 스트레칭...

이런 방법들을 먼저 충분히 시도해보시고요.


이 환자분도 처음엔

"수술해야 하는 거 아닌가요?"

걱정하셨는데, 지금은 수술 생각 전혀 안 하세요 ㅎㅎ


혹시 비슷한 증상으로 고생하고 계신다면


✅ 엉덩이에서 다리로 뻗치는 통증이 있고

✅ 앉았다 일어날 때 특히 아프고

✅ 오래 앉아 있으면 점점 심해지고

✅ 허리디스크 치료를 받았는데도 안 좋아진다면


이상근증후군을 한 번 의심해보세요.

정확한 진단만 받으면

충분히 좋아질 수 있는 질환이니까

너무 걱정하지 마시고요.


그리고 꼭 기억하세요.

치료만큼 중요한 게 일상에서의 관리예요.


스트레칭, 자세 교정, 적절한 휴식...

이런 것들이 재발 방지의 핵심이거든요.


유튜브에 올라온

이상근 스트레칭 영상들도

한번 찾아보시면 도움이 될 거예요.


긴 글 읽어주셔서 감사하고,

모든 분들이 건강하게 지내시길 바랍니다 :)


김선옥 드림



매거진의 이전글갑자기 어지럽고 메스꺼움? 식은땀나고 구토 증상까지!