오른쪽 등위 통증 뒤 옆구리 찌릿한 고통에 못 눕겠다면

<이곳> 검사 더 빨리 했더라면

by 콕 선생님

몇 주 전 어떤 환자분이 오셨습니다.

"원장님, 오른쪽 등 뒤쪽이 너무 아픈데

어깨 치료받으러 왔어요."

50대 남성 환자분이셨는데

몸을 돌릴 때마다 견갑골 사이가 찌릿하고

평소에도 뻐근하면서 결리는 증상 때문에

몇 달째 고생하고 계셨다고 하더라고요.

근데 말이죠...

진료를 하다 보면 정말 신기한 게

환자분들이 생각하시는 아픈 부위와

실제 원인이 되는 부위가

전~혀 다른 경우가 너무 많아요

안녕하세요,

하루 종일 쌓인 피로 때문일 거라며

대수롭지 않게 넘겼던 등의 통증이,

어느 순간 숨을 쉬기조차 불편하게 만들거나

밤마다 눕는 것조차 힘들게 할 때가 있습니다.


그럴 때 가장 먼저 ‘혹시 큰 병이 아닐까?’ 하는

걱정이 들기도 하죠. ㅜㅜ


그 걱정을 어떻게든 해소하고 싶은,

콕통증의학과 통증 전문의 한예름입니다.


그림1.jpg


오늘은 제가 진료실에서 자주 만나는 사례 하나를

여러분과 공유해보려고 해요.

바로 위에서 말씀드린 그 환자분 이야기인데

결론부터 말씀드리면

오른쪽 등 통증의 진짜 범인은

'목디스크'였거든요.

어? 목은 전혀 안 아픈데?

네, 저도 처음엔 그랬어요 ㅜㅜ

진료실에서 벌어진 일

그분이 진료실에 들어오시자마자

"원장님, 여기 오른쪽 등 뒤가 너무 아파요.

특히 몸을 돌릴 때마다 찌릿찌릿하고

앉아서 일할 때도 계속 결려요."

하시면서 오른쪽 견갑골 주변을 가리키시더라고요.

일단 어깨 쪽을 만져보고

움직임도 확인해봤는데

어깨 관절 자체는 큰 문제가 없어 보였어요.

그런데 뭔가 이상했어요.

제가 목 쪽을 살짝 건드리자

"어? 그런데 목 쪽도 좀 뻐근하긴 해요."

라고 하시는 거예요.

이때부터 제 촉이 발동했습니다 ;;

혹시 연관통은 아닐까?

예상대로였습니다


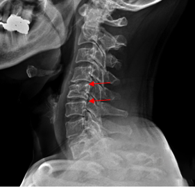
그림2.png 촬영 일시: 2025.06.18

<Fig 1. 추간판 탈출증이 확인된 목 X-Ray 영상>

목 X-Ray 검사를 해보니

경추 4-5번, 5-6번 부위

추간판탈출증과 협착증이 확인됐어요.

환자분은 깜짝 놀라시더라고요.

"어? 목디스크요?

목은 전혀 안 아픈데?"

네, 바로 이거예요.

의학에서 말하는 '연관통'이라는 현상이죠.

쉽게 말해서

실제 문제가 생긴 부위(목)와

아픔을 느끼는 부위(등, 어깨)

다른 경우를 말하는데요.

우리 뇌가 신경 신호를 해석하는 과정에서

원인 부위와 통증 부위를

명확하게 구별하지 못해서 생기는 현상이에요.


그림3.png 출처: rehabspot

특히 목디스크는


✅ 두통으로 나타나기도 하고

✅ 팔 저림으로 나타나기도 하고

✅ 등 통증으로 나타나기도 하고

✅ 어깨 통증으로 나타나기도 해요

그래서 환자분들이

"등이 아파서 왔는데 목을 치료한다고요?"

하시면서 의아해하시는 경우가 많아요.

치료 과정에서 느낀 점

이분의 경우 초기 목디스크 수준이었기 때문에

MRI까지는 촬영하지 않고

CI(C-arm Intervention) 주사치료를 적용했어요.

CI주사치료는

경추 추간공 경막외 주사치료의 줄임말로

목디스크로 인한 신경 염증과 부종을

직접적으로 치료하는 방법이에요.


그림4.jpg

치료 후 2주 뒤에 오신 환자분은…

"우와, 정말 신기해요!

목을 치료했는데 등이 안 아파요!"

하시면서 환하게 웃으시더라고요 ^^

이런 순간이 제가 통증의학과 의사로서

가장 보람을 느끼는 때인 것 같아요.

단순히 아픈 부위만 보는 게 아니라

진짜 원인을 찾아서 치료했을 때

환자분이 좋아지시는 모습을 보면

아, 이래서 의사를 하는구나 싶어요.

이 환자분은 현재는 재발 방지를 위해

도수재활치료와 물리치료를 병행하고 계세요.

목디스크는 한 번 좋아졌다고 끝이 아니라

꾸준한 관리가 중요하거든요.

특히 요즘 같은 시대에

스마트폰, 컴퓨터 사용이 많아지면서

목에 가해지는 부담이

예전보다 훨씬 커졌잖아요.

그래서 저는 환자분들께 항상 말씀드려요.

"치료도 중요하지만

생활습관 개선이 더 중요해요!"


그림5.png 출처: Modern manual therapy


오른쪽 등 통증, 혹시 나도?

만약 여러분도

✅ 오른쪽 등이나 옆구리가 아프고

✅ 몸을 돌릴 때 찌릿한 느낌이 들고

✅ 평소에도 뻐근하고 결리는 증상이 있다면

한 번쯤은 목디스크를 의심해보셔야 해요.

특히 이런 증상들이 함께 있다면 더욱 그렇죠.

✔️ 어깨나 팔이 저릿저릿하거나

✔️ 가끔 두통이 있거나

✔️ 목 뒤쪽이 뻣뻣한 느낌이 들거나

물론 모든 등 통증이

목디스크 때문은 아니에요.

실제로 근육 문제일 수도 있고

다른 원인일 수도 있어요.

하지만 정확한 진단 없이

계속 아픈 부위만 치료하다 보면

시간과 비용만 낭비하고

정작 근본 원인은 해결되지 않을 수 있어요. ㅜㅜ

10년 넘게 통증의학과에서 일하면서

정말 다양한 환자분들을 만나봤는데요.

가장 안타까운 경우가

아픈 부위만 계속 치료하시다가

몇 년 후에야 저희를 찾아오시는 분들이에요.


그림6.png

"원장님, 어깨 치료를 1년 넘게 받았는데

전혀 안 나아요."

"등 마사지, 물리치료 다 해봤는데 소용없어요."

이런 말씀을 하실 때마다

마음이 좀 아파요.

물론 어깨나 등 치료가

잘못된 건 아니에요.

실제로 그 부위에 문제가 있을 수도 있거든요.

하지만 근본 원인을 찾지 못하고

증상만 치료하다 보면

일시적으로는 좋아질 수 있어도

결국 다시 아플 수밖에 없어요.

그래서 제가 환자분들께 항상 강조하는 게

"정확한 진단이 치료의 시작이다"

라는 점이에요.

아무리 좋은 치료 방법이 있어도

원인을 정확히 찾지 못하면

마치 엉뚱한 곳을 파는 것과 같거든요.

그림7.jpg

마지막으로 오늘 이 글을 쓰면서

다시 한 번 느끼는 건

의사로서 가장 중요한 건

환자분의 말씀을 잘 들어드리고

정확한 진단을 내리는 거라는 점이에요.

때로는 환자분이 생각하시는 것과

다른 부위에 원인이 있을 수도 있고

때로는 예상치 못한 곳에서

해답을 찾을 수도 있어요.

그래서 저는 항상 열린 마음으로

환자분을 진료하려고 노력해요.

혹시 지금 오른쪽 등이나 옆구리 통증으로

고생하고 계시는 분들이 있다면

한 번쯤은 다른 관점에서

접근해보시는 것도 좋을 것 같아요.

물론 모든 경우가 목디스크는 아니지만

적어도 가능성을 열어두고

전문의와 상담해보시길 권해드려요.

우리 몸은 정말 신기하고 복잡해서

때로는 예상치 못한 곳에서

답을 찾을 수 있거든요 ^^

오늘도 건강한 하루 되세요!

한예름 드림



매거진의 이전글앉을때 왼쪽 오른쪽 꼬리뼈 통증 있으면 확인하세요