뇌 MRA MRI 차이? 뇌혈관 MRA 이상 없다는데

또 검사받아야 하나요? 답지 드리겠습니다

by 콕 선생님


오늘도 진료실 문을 열고 들어오신 환자분의 첫 마디였습니다.

"원장님, 검사가 너무 많은 것 같은데... 꼭 다 해야 하나요?"

사실 이런 질문을 받을 때마다 마음이 복잡해집니다.

환자분 입장에서는 당연히 궁금하실테고,

또 비용적인 부담도 만만치 않으니까요.

하지만 며칠 전 만난 한 환자분의 사례를 경험하고 나서는

이 질문에 대한 답이 더욱 명확해졌습니다.

안녕하세요.

반복되는 신경병성 통증 때문에

불안한 마음으로 병원을 찾는 환자분들이 많습니다.

겉으로 보기에 단순한 두통 같아 보여도,

혹시 뇌에 이상이 있는 건 아닐까 하는 걱정이 들면

머릿속이 복잡해지고 검사 하나하나가 더 부담스럽게 느껴지기 마련이죠...


저 역시 그 마음을 잘 알기에,

환자분들이 놓치고 있는 작은 신호까지 꼼꼼히 살펴

정확한 원인을 찾는 데 집중하고 있습니다.

저는 콕통증의학과 신경과 전문의 조성호 원장입니다.


그림8.png

오늘은 진료실에서 직접 경험한 실제 사례를 통해

뇌 MRI, MRA, 그리고 뇌혈관 MRA의 차이점과

각각이 왜 필요한지에 대해 이야기해보려고 합니다.

그날의 환자분, 그리고 시작된 원인 찾기

며칠 전, 30대 남성 환자분이

저희 콕통증의학과를 찾아주셨습니다.

"원장님, 왼쪽 얼굴이 이상해요. 혀도 이상하고..."

자세히 들어보니 5일 전부터 시작된 증상이었는데요.

왼쪽 얼굴과 혀, 잇몸이 저리고

감각이 둔해지기 시작했다고 하시더라구요.

특히 혀의 감각이 많이 사라져서 음식 맛을 느끼기도 어렵고,

말하는 것도 불편해졌다고 하셨습니다. ㅜㅜ

처음에는 "아, 스트레스나 피로 때문이겠지" 싶었는데

환자분 표정을 보니 심상치 않더군요…

게다가 내원 하루 전에는 왼쪽 얼굴과 혀의 감각이 70% 정도 사라지고

발음까지 어눌해지는 증상이 나타났다고 하시니...

이건 단순한 피로가 아니구나 싶었습니다 ;;


그림9.jpg [항상 많은 분들이 찾아 주시는 콕통증의학과입니다 ^^ 환자분들이 원인 모를 통증에서 해방될 수 있도록 항상 노력하겠습니다]



원인 찾기 대작전

신경학적 진찰을 하면서 머릿속으로는

이미 여러 가능성들이 스쳐 지나갔어요.

✅ 삼차신경통일 가능성

✅ 뇌졸중 초기 증상일 가능성

✅ 목 신경 문제일 가능성

✅ 기타 중추신경계 문제일 가능성

이런 상황에서는 정말 꼼꼼하게 접근해야 합니다.

놓치면 안 되는 질환들이 너무 많거든요.

그래서 우선 기본적인 검사들을 진행했습니다.

목 X-ray부터 시작해서, 뇌 MRI, 그리고 MRA까지.

환자분께서 "검사가 많다"고 하셨지만

이런 증상에서는 정말 필수적인 검사들이었어요.

뇌 MRI vs MRA, 뭐가 다른 거죠?

여기서 잠깐, 많은 분들이

궁금해하시는 부분을 짚고 넘어가볼게요.

뇌 MRI는 뇌 조직 자체를 보는 검사입니다.

뇌의 구조, 뇌경색, 뇌출혈, 종양 등을 확인할 수 있어요.

마치 뇌를 얇게 썰어서 한 장 한 장 들여다보는 것처럼

세밀한 구조까지 파악할 수 있습니다.


그림10.png 촬영 일시: 2025.05.11

반면 MRA(자기공명혈관조영술)는 혈관을 보는 검사예요.

뇌혈관의 모양, 혈관 협착, 동맥류, 혈관 기형 등을 확인할 수 있죠.

혈관만 콕 찍어서 3D로 재구성해

보여주는 거라고 생각하시면 됩니다.

뇌혈관 MRA는 MRA의 한 종류로,

특히 뇌혈관에 특화된 검사라고 보시면 돼요.

쉽게 비유하면 이런 거예요.

뇌 MRI는 '집의 구조'를 보는 것이고,

뇌혈관 MRA는 '집 안의 수도관'을 보는 것이죠.

둘 다 중요하지만, 보는 포인트가 완전히 다른 거예요.

그래서 검사 결과는?

그런데 첫 번째 검사 결과는 의외였습니다.

목 X-ray, 뇌 MRI, MRA 모두

뚜렷한 문제가 발견되지 않았어요.

이런 경우에는 우선 약물 치료를 시작하면서

경과를 지켜보는 것이 일반적입니다.

혹시 일시적인 신경 염증이나

바이러스 감염 등이 원인일 수도 있으니까요.

하지만 의사의 직감이라는 게 있잖아요.

뭔가 놓치고 있는 것 같은 그런 느낌...

특히 젊은 남성에서 이런 급성 증상이 나타나는 건

흔한 일이 아니거든요 ;;


그림11.jpg

며칠 후, 환자분께서 다시 연락을 주셨어요.

"원장님, 약을 먹고 있는데 오히려 더 심해진 것 같아요.

이제 잇몸까지 저려요..."

이 순간 저는 확신했습니다.

"이건 단순한 문제가 아니다."

바로 추가 검사를 결정했어요.

혈액 검사와 함께, 이번에는

뇌 MRI CE(조영제 강화 MRI)를 진행했습니다.

조영제를 사용하면 일반 MRI에서 놓칠 수 있는

미세한 병변이나 염증 반응을 더 잘 볼 수 있거든요.

추가 검사 결과가 나왔을 때의

그 순간을 지금도 생생히 기억해요.

"아, 여기 있었구나!"


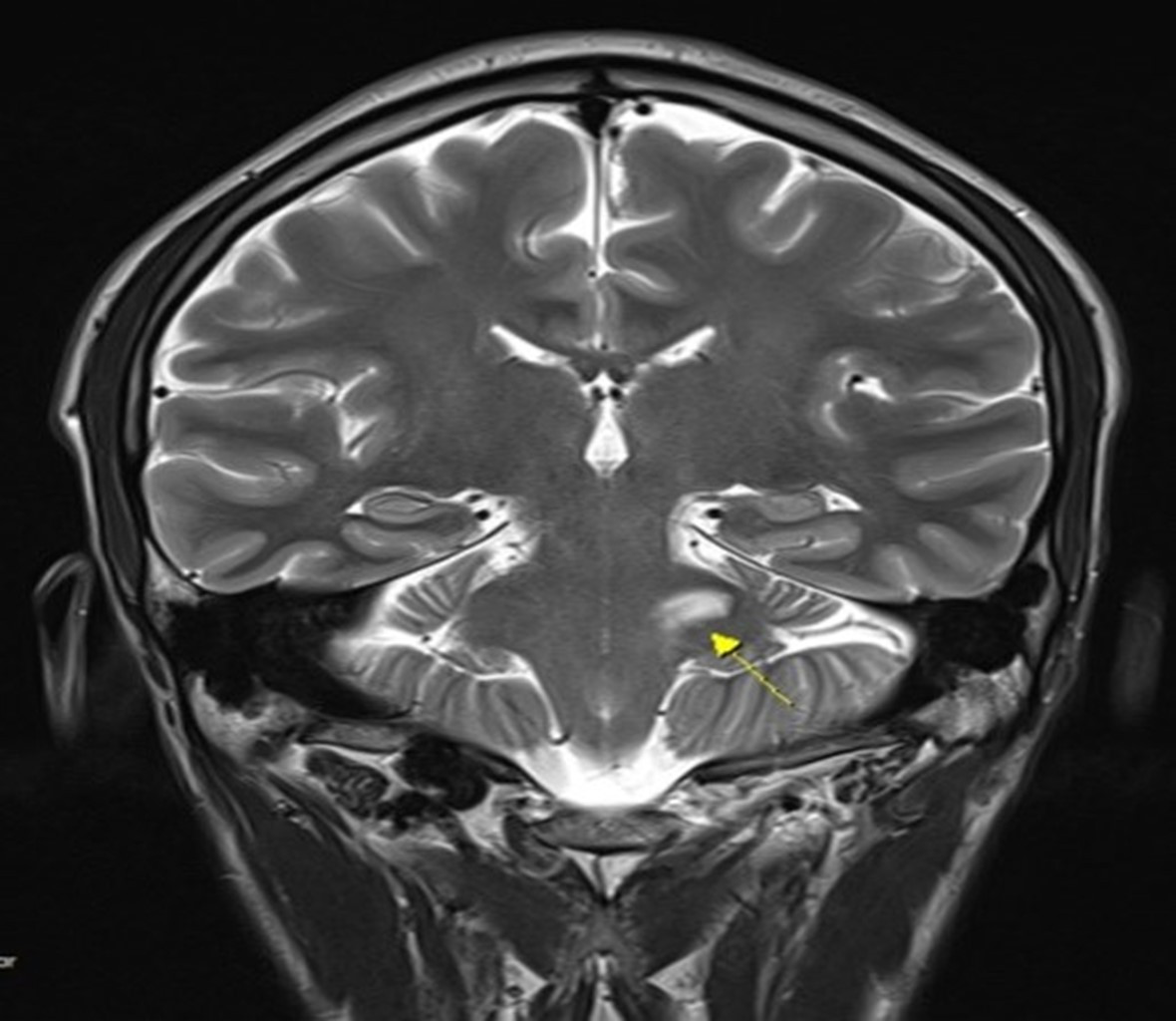
그림12.jpg 촬영 일시: 2025.05.11

<Fig 3. 뇌MRI (좌측 삼차신경핵 부위 고강도 영상 신호)>

왼쪽 소뇌의 삼차신경 부위에서 이상 신호가 확인되었습니다.

이건 중추신경계 문제나

종양 가능성을 시사하는 소견이었어요.

환자분께 결과를 설명드릴 때의 그 복잡한 마음...

한편으로는 원인을 찾아서 다행이었지만,

다른 한편으로는 환자분께 더 큰 검사와 치료가 필요하다는 걸

말씀드려야 하는 상황이었거든요.

이런 상황에서는 정말 빠른 판단과 협진이 중요합니다.

바로 협력 병원인 분당서울대병원에 연락을 드렸어요.

"환자분 상태가 이렇고, MRI CE 소견이 이런데

빨리 봐주실 수 있을까요?"

다행히 빠르게 진료 일정을 잡아주셔서

환자분께서는 더 정밀한 진단과

치료를 받으실 수 있게 되었습니다.

이 사례에서 배운 것들

이번 케이스를 통해 다시 한 번 깨달은 것들이 있어요.

첫째, 초기 검사에서 이상이 없다고 해서 끝이 아니다.

때로는 조영제 강화 검사나

추가적인 평가가 필요할 때가 있어요.

특히 증상이 진행하거나 악화되는 경우에는 더욱 그렇죠.

둘째, 뇌 MRI와 MRA는 각각 다른 정보를 제공한다.

이번 환자분의 경우,

일반 MRI에서는 초기에 발견되지 않았던 병변이

조영제 강화 MRI에서 명확하게 확인되었어요.

혈관 검사인 MRA도 마찬가지로 중요한 정보를 제공하지만,

조직 자체의 문제는 MRI가 더 잘 보여줍니다.


그림13.jpg

셋째, 의사와 환자 간의 소통이 정말 중요하다.

환자분께서 증상 변화를 바로 알려주셔서

추가 검사를 빠르게 결정할 수 있었어요.

만약 "약 먹고 있으니까 좀 더 기다려보자"고 하셨다면

진단이 늦어질 수도 있었을 거예요.

다행히 환자분께서는 분당서울대병원에서

정확한 진단을 받으시고 적절한 치료를 시작하셨어요.

중간중간 안부를 여쭤보는데,

다행히 호전되고 계신다고 하시더라구요.

사실 이런 케이스를 만날 때마다

의사로서의 책임감을 다시 한 번 느끼게 됩니다.

환자분의 작은 변화도 놓치지 않고,

필요하다면 추가 검사도 주저하지 않고,

적절한 시점에 상급 의료기관으로 연결해드리는 것...

이런 것들이 결국 환자분의 예후를 좌우할 수 있으니까요.

오늘 이야기를 통해 전해드리고 싶었던 것은

검사마다 각각의 역할이 있고,

때로는 여러 검사가 필요할 수 있다는 점이에요.

"꼭 다 해야 하나요?"라는 질문을 받을 때마다

이 환자분의 사례를 떠올리게 됩니다.


그림14.png

만약 MRA만 했다면?

만약 추가 검사를 하지 않았다면?

만약 증상 변화를 무시했다면?

아마 진단이 늦어졌을 거예요.

물론 모든 케이스가 이렇게 복잡하지는 않아요.

대부분은 간단한 치료로도 좋아지는 경우가 많죠.

하지만 "혹시 모를" 상황을 대비해서

필요한 검사를 권해드리는 것이

의사의 역할이라고 생각합니다.

오늘도 긴 글 읽어주셔서 감사드리고,

건강한 하루 보내세요!

조성호 드림



매거진의 이전글오른쪽 등위 통증 뒤 옆구리 찌릿한 고통에 못 눕겠다면