귀에서 두두두 소리 지지직 삐 울리는 증상 있다면

찾아오는 환자들이 매달 늘어나는 이유

by 콕 선생님

진료실에서 가장 당황스러운 순간은 언제일까요?


제가 최근에 좀 놀랐을 때는 환자분이

"선생님, 귀에서 자꾸 두두두 소리가 나요"라고 하실 때였어요.


솔직히 말해서 처음 몇 년간은 저도 좀 멘붕이었어요 ㅜㅜ

이비인후과 질환일 수도 있으니 조심스럽기도 했거든요…


그런데 몇 년 전부터 이런 환자분들을 꾸준히 만나면서

아, 이게 단순한 귀 문제가 아니구나 싶었습니다.


안녕하세요.

유독 이명 환자분들의 표현법은 기억에 남는 것 같아요.

귀에서 삐소리가 난다, 지지직 소리가 난다,

두두두거리는 것 같다… 이런 말들을 자주 들었는데요.


귀쪽 검사를 면밀히 해 봐도 문제가 없다면,

이제 신경과를 찾아 주실 차례라고 말씀드리고 싶습니다.

콕통증의학과 신경과 전문의 조성호입니다.


그림7.png


오늘은 그 중에서도 가장 기억에 남는 한 분의 이야기를

진료실 뒷이야기로 풀어볼까 해요.


1년 동안 편두통 치료받았는데...


올해 초, 60세 남성 환자분이 저를 찾아오셨어요.

첫 진료 때부터 뭔가 특별했습니다.


"선생님, 제가 1년 동안 종합병원에서 편두통 치료를 받았는데

점점 더 심해져요. 그런데 이상한 게...

귀에서 자꾸 두두두 소리가 나면서 속도 울렁거리고..."


CT도 찍었는데 아무 이상 없다고 하고,

편두통약만 계속 처방받아서 먹었는데

오히려 증상은 더 심해졌다는 거예요.


이런 경우를 몇 번 겪어본 저로서는

'아, 이거 경추성 두통일 가능성이 높겠다' 싶었어요.


그림8.jpg 출처: Orion family



진단의 함정, 경추성 두통


사실 이 환자분 같은 케이스가 정말 많아요.


✅ 두통 + 이명 + 오심이 함께 나타나는 경우

✅ 일반적인 두통약에 반응이 없는 경우

✅ CT나 MRI에서 뚜렷한 이상이 안 보이는 경우


이런 상황에서는 경추성 두통을 꼭 의심해봐야 합니다.


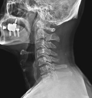
환자분이 가져오신 CT와 제가 새로 찍은 X-ray를 보니

역시나 경추 3-4번, 6-7번 추간판탈출증이 있더라고요.


"환자분, 이거 목디스크 때문에 생긴 두통이에요.

귀에서 나는 소리도,

속 울렁거리는 것도 다 연결된 증상입니다"

환자분 표정이 확 바뀌시더라고요.


왜 1년 동안 못 찾았을까요?

솔직히 이해는 돼요.


경추성 두통은 정말 까다로운 질환이거든요 ;;


그림9.png 촬영 일시: 2025.02.11

<Fig 1. 경추 X-RAY 영상>


✔️ 일반 두통과 증상이 거의 비슷함

✔️ 단순 CT로는 목디스크 확인이 어려움

✔️ 이명, 어지럼증까지 동반되면 더욱 헷갈림


게다가 환자분들도 목이 아프다고 호소하는 경우가 많지 않아요.


그냥 "머리가 아프다, 귀에서 소리가 난다"고만 하시니까

당연히 이비인후과로 가시게 되는 거죠.


그런데 문제는 거기서 원인을 못 찾으면

환자분이 계속 고생하게 된다는 점이에요.


저희는 이런 케이스에서 SI(초음파유도하)주사치료를 진행합니다.

일반 주사와는 완전히 다른 방식이에요.


✅ 초음파로 문제 부위를 정확히 확인

✅ 병변 부위에만 정밀하게 주사액 주입

✅ 최소한의 약물로 최대 효과를 노림

정확도가 99%에 달해서 일반 주사와는 차원이 다릅니다.

이 환자분도 SI주사치료와 약물치료를 병행했는데

정말 신기하게도 치료 후 며칠 만에


"선생님, 귀에서 나던 소리가 없어졌어요!

머리도 훨씬 덜 아프고, 속도 안 울렁거려요"


이런 순간이 정말 뿌듯해요.

환자분이 마지막에 하신 말씀이 아직도 기억나네요.


"경추성 두통이라는 게 있는 줄도 몰랐어요.

진작 여기 올걸 그랬네요.

1년 동안 고생한 게 억울하지만,

그래도 이제라도 나아져서 다행이에요"


사실 이런 말씀 들을 때마다 복잡한 감정이 들어요.


한편으로는 치료가 잘 돼서 기쁘지만

다른 한편으로는 '더 일찍 오셨으면

1년 동안 고생 안 하셨을 텐데...' 하는 아쉬움도 있거든요.


일반적인 편두통이나 긴장성 두통과는

확실히 다른 특징들이 있어요.


경추성 두통의 특징은?

✅ 목과 어깨의 경직감이 함께 나타남

✅ 이명, 어지럼증이 동반되는 경우가 많음

✅ 오심, 구토 증상도 함께 나타남

✅ 목을 특정 방향으로 움직일 때 두통이 심해짐

✅ 일반 두통약에 잘 반응하지 않음


특히 이명 증상이 함께 나타나는 경우에는

경추성 두통을 꼭 의심해보셔야 해요.


그림10.jpg [환자분들이 저를 찾아오는 모습을 볼 때마다 더 달라져야겠다는 생각이 듭니다. 믿고 찾아와 주시는 만큼 최선을 다하겠습니다. ^^]



이 환자분은 치료 후 정말 많이 달라지셨어요.


3개월 후 추적 관찰 때 오셨는데


"선생님, 이제 영화관도 갈 수 있고

독서도 할 수 있어요.

1년 동안 머리 아파서 아무것도 못 했었는데..."


이런 말씀 들으면 정말 의사 하길 잘했다 싶어요 ㅠㅠ


10년 가까이 신경과에 근무하며 하면서 느낀 건데

환자분들이 가장 답답해하시는 게

바로 이런 케이스더라고요.


증상은 분명히 있는데

검사에서는 이상이 없다고 나오고


병원을 여러 곳 다녀봐도

시원한 답을 못 듣는 경우 말이에요.


그럴 때마다 저는 환자분께 이렇게 말씀드려요.


"증상이 있다는 건 분명히 어딘가에 문제가 있다는 뜻이에요.

검사에 안 나온다고 해서 이상이 없는 게 아니라

다른 관점에서 봐야 할 수도 있어요"


그림11.jpg


왜 신경과에서 귀에서 지지직 소리를 검사해 줄까?


사실 이런 질문 많이 받아요.

"신경과에서 이명 치료도 하나요?"


맞아요, 일반적으로는 이비인후과 영역이죠.

하지만 저희는 조금 다른 접근을 해요.

이명의 원인이 귀에만 있지 않을 수도 있다는 관점이에요.


특히 목디스크로 인한 경추성 두통의 경우

이명이나 어지럼증이 동반되는 경우가 정말 많거든요.


만약 지금 이 글을 읽고 계시는 분 중에


� 귀에서 계속 이상한 소리가 들리고

� 두통이 계속되는데 일반 치료에 효과가 없고

� 어지럼증이나 오심도 함께 있다면

한 번쯤은 경추성 두통을 의심해보세요.

물론 모든 이명이 목디스크 때문은 아니에요.


하지만 다른 검사에서 이상이 없다면

한 번쯤은 다른 관점에서 접근해볼 필요가 있어요.


1년씩 고생하실 필요는 전혀 없어요.


그림12.png


경추성 두통은 적절한 치료를 받으면

비교적 빠른 시간 내에 호전될 수 있거든요.


오늘 이 글을 쓰면서 다시 한 번 느끼는 건

환자분 한 분 한 분의 이야기가 정말 소중하다는 것이에요.


이 60세 남성 환자분도 지금은 완전히 좋아지셔서

가끔 안부 인사차 병원에 들르시기도 해요.


그럴 때마다 "진짜 여기 와서 치료받길 잘했다"고 하시는데

그런 말씀이 저에게는 가장 큰 보람이에요.


앞으로도 이런 환자분들을 더 많이 도울 수 있도록

계속 공부하고 연구하고 노력하겠습니다.


혹시 비슷한 증상으로 고생하고 계신 분들께

이 글이 조금이나마 도움이 되었으면 좋겠네요.


건강하세요 :)

조성호 드림

매거진의 이전글왼쪽 엉덩이 밑 통증? 엉덩이뼈 위 찌릿 저림 원인