치매 초기 증상 자가진단법? 종류 체크해보세요

내 이야기 같다면 하루라도 더 늦어선 안 됩니다

by 콕 선생님

안녕하세요.

치매는 멀리 있는 병 같다가도

어느 날 문득, 아주 가까이 다가옵니다.


“그때 조금만 더 일찍 알았더라면…”

진료실에서 이런 말을 들을 때마다

마음이 오래도록 무겁습니다. ㅜㅜ


작은 기억의 빈틈, 그 변화를

누구보다 먼저 발견해서

환자분과 가족의 하루를 지키고 싶은 저는,

콕통증의학과 뇌신경센터 조성호입니다.


그림8.png

오늘은 좀 특별한 이야기를 해드리려고 해요.

사실 진료실에서 겪는 일들을

이렇게 매번 블로그에 쓴다는 게 조금 어색하긴 한데...

최근에 정말 인상 깊었던 환자분 한 분이 계셔서

혹시 비슷한 상황에 있는 분들께

도움이 될까 해서 진료 후 키보드를 두드리고 있습니다.

아, 물론 환자분께서는

이런 내용 공유에 대해 흔쾌히 동의해 주셨어요 ^^

사실 신경과 의사로 일하다 보면

참 많은 분들을 만나게 되는데요.

특히 치매와 관련해서는



'이런 증상이 있으면 치매일까요?'

'자가진단 해봤는데 괜찮은 것 같은데요?'

이런 질문들을 정말 자주 받게 됩니다.

그런데 정말로,

진료실에서 만나는 실제 상황들은

인터넷에서 찾아볼 수 있는

그런 뻔한 증상 리스트와는

완전히 다른 경우가 많아요.

오늘 제가 말씀드릴 이야기도 그런 케이스입니다.

70대 할머니 한 분의 이야기인데...

정말 예상치 못한 방식으로

치매 초기를 발견하게 된 사례거든요.


그림9.jpg

이분은 원래 통증의학과에서

허리 치료를 받으시던 분이었어요.

수술까지 성공적으로 마치시고

경과도 정말 좋으셨던 분이죠.

그런데 어느 날... 집에서 라면을 끓이다가

화상을 입으시게 됐어요.

꽤 심한 화상이어서 대학병원에 입원까지 하셨다고 하더라고요.

여기까진 그냥 안타까운 사고였는데,

문제는 그 이후부터 시작됐어요.

퇴원하신 후에

✅ 밤에 잠을 제대로 못 주무시고

✅ 자꾸 헷갈리는 일이 생기고

✅ 걷는 것도 전보다 힘들어지셨대요

처음엔 당연히 화상 때문에

몸이 많이 약해진 거라고 생각하셨죠.

저도 그럴 거라고 생각했을 거예요 ;;

그런데 시간이 지나도

전혀 나아지지 않으니까

환자분도 그렇고 가족분들도

정말 걱정이 많으셨대요.

그래서 예전에 치료받았던

저희 병원 신경과로 오신 거였어요.

솔직히 말씀드리면

처음 진료실에서 환자분을 뵈었을 때

'아, 이건 단순히 화상 후유증이 아니구나'

하는 생각이 바로 들었어요.

물론 화상이라는 급성 스트레스가

인지기능에 영향을 줄 수는 있어요.

실제로 대학병원에서도

급성 섬망 증상이 나타났다고 하셨거든요.


그림10.jpg [원인을 알 수 없는 다양한 뇌신경 질환을 끝까지 추적하는 의사가 되겠습니다.]


하지만... 뭔가 더 있는 것 같았어요.

환자분과 보호자분께 자세히 여쭤보니

화상 사고 이전에도

아주 미묘하게나마

이상한 점들이 있었다는 얘기가 나오더라고요.

'그때는 그냥 나이 드니까 그러는 줄 알았는데...'

이런 말씀들이 계속 나오는 거예요.

그래서 저는 환자분께 이렇게 말씀드렸어요.

화상이 직접적인 원인일 수도 있지만,

혹시 원래 기저에 인지기능 문제가 있었는지

자세히 검사해보는 게 좋겠다고요.

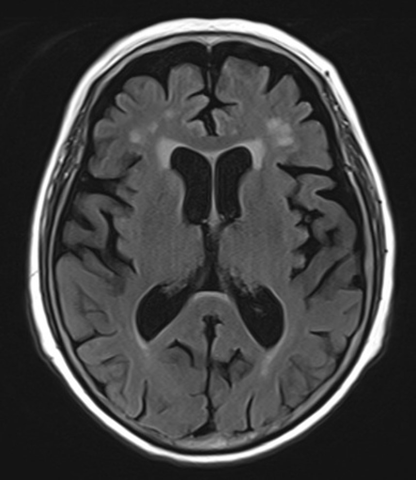
진단의 과정, 그리고 결과

뇌 MRI, MRA를 통한 뇌혈관 상태 평가부터 시작했어요.



그리고 간이정신상태검사(MMSE),

치매임상평가척도(CDR) 같은

표준화된 인지기능 평가도 함께 진행했죠.

다행히 급성 뇌경색 같은

심각한 병변은 발견되지 않았어요.

하지만...

연령에 비해서는 좀 진행된 뇌위축 소견이 보였고,

인지기능 평가에서도

유의한 점수 저하가 관찰됐어요.


그림11.jpg 촬영 일시: 2025.07.11

<Fig 1. 뇌 mri>

결론적으로는 초기 치매를 진단할 수 있었습니다.

환자분께서는 처음엔 정말 충격을 받으셨어요.

당연하죠...

하지만 저는 오히려 다행이라고 말씀드렸어요.

왜냐하면 조기에 발견했기 때문에

적절한 치료를 시작하면

충분히 좋아질 수 있다고 확신했거든요.

약물 치료와 함께

수면장애와 보행장애에 대한

통합적 접근을 시행했어요.

그리고 정말로...

환자분의 상태가 현저히 개선되기 시작했어요.

지금은 가족분들과 함께

열심히 걷기 운동도 하고 계시고,

기억력도 예전보다 훨씬 좋아지셨어요.

환자분께서 하신 말씀이 지금도 기억에 남는데요.

'화상만 치료하고 끝났다면

이런 문제를 몰랐을 텐데,

정확한 진단을 해주셔서 정말 다행이에요'

저도 정말 뿌듯했던 순간이었어요.

치매 초기 증상, 생각보다 다양하고 미묘해요

이 사례를 통해 제가 꼭 말씀드리고 싶은 건

치매 초기 증상이 생각보다 훨씬

다양하고 미묘하다는 점이에요.

인터넷에서 찾아볼 수 있는

전형적인 치매 증상들 말고도

✔️ 갑작스러운 수면 패턴의 변화

✔️ 평소와 다른 감정 반응

✔️ 미묘한 판단력의 저하

✔️ 보행 패턴의 변화

이런 것들도 충분히 초기 신호가 될 수 있거든요.


그림12.png

그리고 이번 케이스처럼

다른 질환이나 외상 후에

기존에 숨어있던 인지기능 문제가

갑자기 드러나는 경우도 많아요.

요즘 인터넷에 치매 자가진단 테스트가 정말 많잖아요.

물론 스크리닝 용도로는

어느 정도 도움이 될 수 있어요.

하지만 이런 간단한 테스트로는



✅ 초기의 미묘한 변화를 잡아내기 어렵고

✅ 다른 질환과의 감별이 불가능하며

✅ 개인차를 반영하지 못하는 한계가 있어요

실제로 진료실에서 만나는 분들 중에는

'자가진단 해봤는데 괜찮다고 나왔어요'

하시면서도

정밀 검사를 해보면

문제가 발견되는 경우가 정말 많거든요 ㅠㅠ

반대로 자가진단에서는 문제가 있다고 나왔는데

실제로는 다른 원인(우울증, 수면장애 등)이었던 경우도

상당히 많고요.


그림13.jpg

분당치매검사병원 찾고 계신다면,

꼭 기억해 둘 점을 마지막으로 알려드릴게요.

치매 진단과 관리를 위한



✅ 표준화된 인지기능 검사

✅ 뇌영상 검사 (MRI/MRA)

✅ 혈액 검사를 통한 감별 진단

✅ 맞춤형 치료 계획 수립

이런 것들을 모두 진행하고 있는 곳에

방문하는 게 좋습니다.

평소에는 그냥 진료실에서만 환자분들과 이야기하는데

이렇게 블로그에 글을 쓴다는 건

아직 적응하기 어려운 것 같아요.

하지만 정말로 이번 케이스가 너무 인상적이어서,

그리고 비슷한 상황에 계신 분들께

도움이 될 수 있을 것 같아서

오늘도 열심히 적어봤어요.

혹시 여러분이나 가족분 중에

최근에 뭔가 이전과 달라진 점들이 있다면

혼자 고민하지 마시고

전문의와 상담해 보시기 바라요.

특히 다른 질환이나 사고 후에

갑자기 인지기능에 변화가 생겼다면

더욱 신중하게 접근하셔야 해요.


그림14.jpg

자가진단도 물론 의미가 있지만,

정확한 진단과 적절한 치료를 위해서는

전문의의 종합적인 평가가 필수적입니다.

오늘의 이야기가

누군가에게는 작은 도움이 되었으면 좋겠어요.

그럼 다음에 또 재미있는(?) 진료실 이야기로

찾아뵐게요 ^^

건강하세요!

조성호 드림



매거진의 이전글분당 치매 검사 병원, 검사 점수 20점이면 뭔가요?